We use cookies to enhance the usability of our website. If you continue, we'll assume that you are happy to receive all cookies. More information. Don't show this again.
SOD1
HPA
RESOURCES
  • TISSUE
  • BRAIN
  • SINGLE CELL
  • SUBCELLULAR
  • CANCER
  • BLOOD
  • CELL LINE
  • STRUCTURE & INTERACTION
ABOUT
  • INTRODUCTION
  • HISTORY
  • ORGANIZATION
  • PUBLICATIONS
  • ANTIBODY SUBMISSION
  • ANTIBODY AVAILABILITY
  • ACKNOWLEDGMENTS
  • CONTACT
NEWS
  • NEWS ARTICLES
  • PRESS ROOM
LEARN
  • DICTIONARY
  • PROTEIN CLASSES
  • PROTEIN EVIDENCE
  • METHODS
  • EDUCATIONAL VIDEOS
DATA
  • DOWNLOADABLE DATA
  • PUBLICATION DATA
  • RELEASE HISTORY
HELP
  • ANTIBODY VALIDATION
  • ASSAYS & ANNOTATION
  • DISCLAIMER
  • HELP & FAQ
  • PRIVACY STATEMENT
  • LICENCE & CITATION
Fields »
Search result

Field
Term
Gene name
Class
Subclass
Class
Keyword
Chromosome
External id
Tissue
Cell type
Expression
Antibody panel
Tissue
Main location
Patient ID
Annotation
Tissue
Category
Tau score
Cluster
Reliability
Brain region
Category
Tau score
Brain region
Category
Tau score
Brain region
Category
Tau score
Cluster
Reliability
Tissue
Cell type
Enrichment
Cell type
Category
Tau score
Cell type
Category
Tau score
Cell type
Category
Tau score
Cell lineage
Category
Tau score
Cluster
Cluster
Location
Searches
Location
Cell line
Class
Type
Phase
Reliability
Cancer
Prognosis
Cancer
Category
Cancer
Category
Tau score
Cluster
Variants
Interacting gene (ensg_id)
Type
Number of interactions
Pathway
Category
Score
Score
Score
Validation
Validation
Validation
Validation
Antibodies
Data type
Column


  • SUMMARY

  • TISSUE

  • BRAIN

  • SINGLE CELL

  • SUBCELL

  • CANCER

  • BLOOD

  • CELL LINE

  • STRUCT & INT

  • SOD1
TISSUE PRIMARY DATA BREAST Show tissue menu
ADIPOSE TISSUE ADRENAL GLAND AMYGDALA APPENDIX BASAL GANGLIA BONE MARROW BREAST BRONCHUS CEREBELLUM CEREBRAL CORTEX CERVIX CHOROID PLEXUS COLON DUODENUM
ENDOMETRIUM EPIDIDYMIS ESOPHAGUS FALLOPIAN TUBE GALLBLADDER HEART MUSCLE HIPPOCAMPAL FORMATION HYPOTHALAMUS KIDNEY LIVER LUNG LYMPH NODE MIDBRAIN NASOPHARYNX
ORAL MUCOSA OVARY PANCREAS PARATHYROID GLAND PITUITARY GLAND PLACENTA PROSTATE RECTUM RETINA SALIVARY GLAND SEMINAL VESICLE SKELETAL MUSCLE SKIN SMALL INTESTINE
SMOOTH MUSCLE SOFT TISSUE SPINAL CORD SPLEEN STOMACH TESTIS THYMUS THYROID GLAND TONGUE TONSIL URINARY BLADDER VAGINA
ANTIBODIES
AND
VALIDATION
Dictionary
Breast
Tissue proteome
Breast
BREAST - Expression summary
Protein expression
Breasti

On the top, protein expression in current human tissue, based on all annotated cell types, is reported with the units not detected (n), low (l), medium (m) and high (h). Underneath, protein expression in each annotated cell type are reported using the same units.

Protein expression data is based on knowledge-based annotation. For genes where more than one antibody has been used, a collective score is set.

If knowledge-based annotation could not be performed for a gene, no data is displayed here. View antibody staining data further down this page.

h
m
l
n
Adipocytes: Medium
Glandular cells: Medium
Myoepithelial cells: Medium
RNA expressioni

A summary of mRNA expression data available for current tissue based on several datasets. The mRNA expression levels in human tissues are based on RNA-seq data generated by the Human Protein Atlas (HPA), Genotype-Tissue Expression (GTEx) portal and CAGE data generated by the FANTOM5 consortium. Consensus normalized expression levels for human tissues was created by combining the data from HPA and GTEx datasets.

The mRNA expression levels in pig are based on RNA-seq data generated by the Human Protein Atlas (HPA), and for mouse, HPA data and in situ hybridization generated by the Allen brain atlas are reported.

Scroll down to view mRNA expression data in more detail.
Consensus:225.9 nTPM
HPA:208.6 nTPM
GTEx:225.9 nTPM
FANTOM5:1553.6 Scaled Tags Per Million

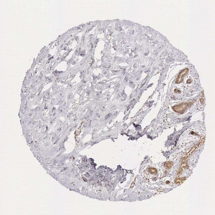
BREAST - Antibody stainingi

Antibody staining in the annotated cell types in the current human tissue is reported as not detected, low, medium, or high, based on conventional immunohistochemistry profiling in selected tissues. This score is based on the combination of the staining intensity and fraction of stained cells.

Each image is clickable and will lead to virtual microscopy that enables deeper exploration of all samples and also displays staining intensity scores, fraction scores and subcellular localization as well as patient and tissue information for each sample.

Antibody HPA001401Antibody CAB008670
Adipocytes MediumMedium
Glandular cells MediumMedium
Myoepithelial cells MediumMedium




BREAST - HPA RNA-seqi

The RNA-seq details section shows detailed information about the individual samples used for the transcript profiling and results of the RNA-seq analysis.

Information about each individual sample is listed below, including gender, age, a tissue section image and estimated fractions of cell types. nTPM (normalized transcripts per million) values give a quantification of the gene abundance which is comparable between different genes and samples.
Average nTPMi

Max subtype nTPM is the value for the subtype with the largest average nTPM across the subtype samples.

208.6
overview
Female, age 52
Breast sample 373
nTPM: 161.4
Cell types%
Glandular cells:
15

Adipocytes:
5

Other cell types:
80

overview
Female, age 80
Breast sample 390
nTPM: 212.2
Cell types%
Glandular cells:
5

Adipocytes:
15

Other cell types:
80

overview
Female, age 47
Breast sample 405
nTPM: 331.2
Cell types%
Glandular cells:
5

Adipocytes:
5

Other cell types:
90

overview
Female, age 38
Breast sample 410
nTPM: 129.7
Cell types%
Glandular cells:
40

Adipocytes:
5

Other cell types:
55


BREAST - GTEx RNA-seqi

RNA-Seq data generated by the Genotype-Tissue Expression (GTEx) project from human tissues is reported as mean nTPM. More information can be found on the GTEx portal.

Distribution across the dataset is visualized with box plots, shown as median and 25th and 75th percentiles. Points are displayed as outliers if they are above or below 1.5 times the interquartile range. nTPM values of the individual samples are presented next to the box plot.
Max subtype nTPMi

Max subtype nTPM is the value for the subtype with the largest average nTPM across the subtype samples.

225.9
GTEx sample id Sample description nTPM
Breast - Mammary Tissue
Average nTPM: 225.9
Samples: 459

Max nTPM: 685.2
Min nTPM: 85.0
Std nTPM: 81.2
Median nTPM: 206.7
GTEX-11P82-1326-SM-5HL62 20-29 years, male 685.2
GTEX-1AMEY-1026-SM-718AA 30-39 years, female 618.1
GTEX-13S86-1226-SM-5S2OA 40-49 years, male 531.7
GTEX-ZT9W-2026-SM-51MRA 50-59 years, male 521.8
GTEX-ZLWG-1926-SM-DO92J 50-59 years, female 515.3
GTEX-1L5NE-2126-SM-CY8IH 50-59 years, male 513.1
GTEX-14ABY-2126-SM-5QGQZ 50-59 years, male 479.2
GTEX-1F5PK-2126-SM-7PC28 50-59 years, male 472.1
GTEX-PSDG-1626-SM-48TCQ 50-59 years, male 471.8
GTEX-1NHNU-0926-SM-E9J2T 50-59 years, male 454.7
GTEX-1KANC-1426-SM-CYPT9 50-59 years, female 447.1
GTEX-18A66-1726-SM-7LG5N 60-69 years, male 437.8
GTEX-132AR-0826-SM-5EGK6 50-59 years, female 429.0
GTEX-ZZ64-1226-SM-5E43R 20-29 years, male 426.1
GTEX-1R7EV-1526-SM-E8VOD 40-49 years, male 423.4
GTEX-11ZTT-2326-SM-5EQLG 60-69 years, female 419.5
GTEX-ZLFU-2126-SM-DO931 40-49 years, male 417.5
GTEX-ZQG8-0726-SM-5P9H9 60-69 years, female 412.6
GTEX-14PJ4-2126-SM-6ETZJ 60-69 years, male 409.6
GTEX-1ICG6-1326-SM-ACKWR 70-79 years, female 395.5
GTEX-1HSEH-2026-SM-ADEHN 60-69 years, male 395.4
GTEX-Y8E4-1626-SM-5S2MW 40-49 years, male 386.3
GTEX-YB5E-1726-SM-5IFJ3 40-49 years, male 384.9
GTEX-UTHO-1026-SM-3GAF7 60-69 years, male 384.5
GTEX-1QP9N-1826-SM-E8VMP 30-39 years, male 377.7
GTEX-15G19-2126-SM-6M48J 60-69 years, male 372.6
GTEX-12KS4-0126-SM-5Q5A5 30-39 years, male 372.0
GTEX-XMK1-1126-SM-4IHJ8 40-49 years, male 368.1
GTEX-1MJK3-1126-SM-E9J3F 20-29 years, male 367.8
GTEX-14AS3-1626-SM-5S2OY 40-49 years, female 360.2
GTEX-ZAB4-2526-SM-5HL8M 40-49 years, male 357.8
GTEX-1JJEA-2726-SM-ARL8V 60-69 years, male 357.4
GTEX-13FTW-1426-SM-5LZWZ 40-49 years, male 354.9
GTEX-13CF3-2126-SM-5IFJP 60-69 years, female 351.4
GTEX-1CAMR-1426-SM-793BO 20-29 years, male 347.0
GTEX-18D9A-1526-SM-7LG4J 30-39 years, female 340.7
GTEX-14PJO-0726-SM-69LO8 60-69 years, male 339.5
GTEX-117YX-1426-SM-5H12H 50-59 years, male 339.4
GTEX-1LBAC-0926-SM-CXKY9 20-29 years, male 336.1
GTEX-14PN4-0626-SM-62LFP 50-59 years, male 334.1
GTEX-11DXZ-1926-SM-5GZZL 50-59 years, male 333.3
GTEX-1H11D-1526-SM-9MQJY 40-49 years, male 333.0
GTEX-1H1ZS-0126-SM-9YFKQ 70-79 years, male 332.8
GTEX-144GM-0926-SM-5O994 20-29 years, male 332.3
GTEX-Y5V6-2126-SM-4WWFX 60-69 years, male 328.8
GTEX-1N2EF-2226-SM-E9J33 60-69 years, male 327.9
GTEX-14B4R-1226-SM-5TDDT 30-39 years, male 325.7
GTEX-YEC3-1026-SM-5IFI5 50-59 years, male 325.3
GTEX-13O61-1826-SM-5KM4I 60-69 years, male 324.7
GTEX-ZDYS-1126-SM-5K7UB 50-59 years, male 323.4
GTEX-1S82U-1126-SM-E9U6I 30-39 years, female 323.3
GTEX-1B8SG-1226-SM-7IGPF 50-59 years, male 322.6
GTEX-ZQUD-1926-SM-51MSA 30-39 years, male 321.8
GTEX-U8XE-0826-SM-4E3J1 30-39 years, male 320.2
GTEX-12BJ1-1826-SM-5HL9N 60-69 years, male 319.4
GTEX-R55D-0826-SM-48FEA 50-59 years, male 318.8
GTEX-139T6-1626-SM-5PNYZ 50-59 years, male 317.6
GTEX-RUSQ-2026-SM-4GIAK 50-59 years, male 316.7
GTEX-1HCU7-1026-SM-ADEIP 50-59 years, male 312.5
GTEX-ZTPG-2826-SM-57WGA 20-29 years, female 310.6
GTEX-1OKEX-0826-SM-E9J2B 60-69 years, male 309.3
GTEX-1LSNL-2826-SM-E9U5L 50-59 years, male 308.9
GTEX-1QP28-1226-SM-E9J2M 50-59 years, female 307.3
GTEX-1JJE9-2326-SM-ARL8Q 70-79 years, male 305.9
GTEX-1ICLZ-0426-SM-B2LW2 60-69 years, male 305.6
GTEX-14DAR-1326-SM-7DUEG 50-59 years, male 304.5
GTEX-13FTX-1126-SM-5N9EN 20-29 years, female 304.4
GTEX-183WM-0726-SM-7LTAA 70-79 years, female 303.8
GTEX-13PVQ-1026-SM-5KM3M 50-59 years, male 303.5
GTEX-V955-2026-SM-3GAFA 60-69 years, male 301.1
GTEX-WY7C-2726-SM-3NB3P 50-59 years, male 300.1
GTEX-11DZ1-0326-SM-5N9BN 50-59 years, male 299.8
GTEX-ZTTD-1026-SM-51MRD 50-59 years, male 296.0
GTEX-1I1GP-0426-SM-COH3N 50-59 years, male 295.9
GTEX-1R9JW-0326-SM-EAZ45 30-39 years, female 295.8
GTEX-YECK-0726-SM-EZ6LV 60-69 years, male 295.7
GTEX-ZA64-1526-SM-5CVMD 20-29 years, male 295.4
GTEX-17GQL-0326-SM-7LG5U 60-69 years, male 294.9
GTEX-Z9EW-1526-SM-EZ6LU 40-49 years, male 294.7
GTEX-145ME-1526-SM-5Q5F2 40-49 years, female 294.1
GTEX-14BMV-0626-SM-793AU 50-59 years, male 292.2
GTEX-S33H-0326-SM-4AD6N 30-39 years, male 291.0
GTEX-14E6E-1326-SM-5S2NR 30-39 years, male 289.9
GTEX-S4Q7-1126-SM-4AD6R 20-29 years, male 289.9
GTEX-Y9LG-1426-SM-5IFJZ 30-39 years, male 289.9
GTEX-1I19N-2826-SM-CL55D 70-79 years, male 289.1
GTEX-TKQ1-0226-SM-33HB5 30-39 years, male 286.5
GTEX-1S82Z-0726-SM-E6CHX 30-39 years, female 285.6
GTEX-11ZUS-0826-SM-5FQUY 30-39 years, male 284.2
GTEX-1I1GU-1026-SM-ADEHJ 40-49 years, male 284.0
GTEX-XQ8I-2426-SM-4WAXY 50-59 years, male 283.7
GTEX-1QP29-1726-SM-E8VMQ 50-59 years, male 283.7
GTEX-YFCO-1826-SM-4W1YH 40-49 years, male 283.6
GTEX-1IDJF-2326-SM-ARL86 20-29 years, male 282.6
GTEX-YB5K-1626-SM-5IFIN 40-49 years, female 281.9
GTEX-16YQH-2826-SM-6PAMY 30-39 years, male 281.1
GTEX-QMRM-1626-SM-D4P1U 50-59 years, male 280.2
GTEX-1H23P-0726-SM-9WG7K 60-69 years, male 280.0
GTEX-1MJK2-2226-SM-EVYCR 50-59 years, male 279.7
GTEX-11TT1-2126-SM-5GU5Y 20-29 years, male 279.4
GTEX-1HCU9-0326-SM-9WYSC 20-29 years, male 277.5
GTEX-ZDTT-2126-SM-DKPOM 60-69 years, male 276.9
GTEX-17F97-2526-SM-7EWDV 50-59 years, male 276.3
GTEX-1IDJU-1826-SM-CMKHV 60-69 years, female 274.4
GTEX-11ONC-2126-SM-5HL6E 60-69 years, male 273.5
GTEX-15UF7-0726-SM-6M46D 40-49 years, male 272.0
GTEX-13SLW-2526-SM-62LDQ 70-79 years, male 271.6
GTEX-17F96-2426-SM-7IGLN 70-79 years, male 271.5
GTEX-145LT-0726-SM-5S2VM 40-49 years, male 270.1
GTEX-11EQ9-1826-SM-5Q5AJ 30-39 years, male 269.1
GTEX-X4XY-0926-SM-4E3JD 60-69 years, male 268.4
GTEX-XYKS-1326-SM-4BRUN 60-69 years, female 265.6
GTEX-ZVT2-1826-SM-5NQ8W 50-59 years, female 265.4
GTEX-14ICK-2426-SM-6EU27 40-49 years, male 264.5
GTEX-1GPI7-0926-SM-7PC3J 20-29 years, male 263.7
GTEX-145MF-2226-SM-7EPIR 50-59 years, male 263.3
GTEX-13NZB-2126-SM-5MR4Y 30-39 years, male 262.8
GTEX-1ICLY-1726-SM-B2LVT 50-59 years, male 261.3
GTEX-11O72-2126-SM-5N9FO 40-49 years, male 260.1
GTEX-16BQI-1026-SM-7KUEA 30-39 years, female 260.0
GTEX-11NSD-0926-SM-5N9DR 20-29 years, male 259.8
GTEX-183FY-1126-SM-7DHLJ 20-29 years, male 257.5
GTEX-1F75I-2026-SM-7SB7N 40-49 years, male 257.3
GTEX-1QW4Y-1026-SM-DTXE2 30-39 years, male 256.8
GTEX-11I78-2226-SM-5PNYA 50-59 years, female 254.9
GTEX-XV7Q-2326-SM-4BRVZ 40-49 years, female 252.8
GTEX-17MFQ-0926-SM-7LG4S 20-29 years, male 251.8
GTEX-ZPIC-1126-SM-5BC7F 40-49 years, female 251.8
GTEX-1H1DG-0526-SM-9YFLN 70-79 years, male 251.8
GTEX-Y114-2026-SM-4TT7L 50-59 years, female 251.3
GTEX-1PDJ9-1126-SM-EXUSW 20-29 years, male 250.7
GTEX-1HC8U-0826-SM-ADEIL 40-49 years, female 249.8
GTEX-1211K-1926-SM-5EQLB 60-69 years, female 249.2
GTEX-145MO-0826-SM-5NQBL 60-69 years, male 248.8
GTEX-1399U-1826-SM-5PNZ1 50-59 years, female 247.8
GTEX-1PPH7-0826-SM-E8VNX 40-49 years, male 247.6
GTEX-TKQ2-1826-SM-33HB2 50-59 years, male 247.2
GTEX-12WSN-1326-SM-5GCNT 40-49 years, male 245.4
GTEX-ZV6S-1826-SM-5NQ8D 40-49 years, female 244.2
GTEX-145MN-1926-SM-5SIAI 30-39 years, male 243.9
GTEX-1HFI7-0126-SM-CGQFQ 50-59 years, female 243.9
GTEX-1RLM8-2226-SM-EVYD1 50-59 years, male 243.8
GTEX-14753-2426-SM-5LU8U 60-69 years, male 242.4
GTEX-17F98-0526-SM-79OK5 40-49 years, female 241.8
GTEX-1LG7Z-0726-SM-CXKYD 30-39 years, male 241.7
GTEX-WFON-1826-SM-3GILG 40-49 years, male 241.6
GTEX-1QPFJ-2026-SM-EVYBE 30-39 years, female 240.2
GTEX-S4UY-0726-SM-4AD6X 40-49 years, female 239.1
GTEX-X62O-0526-SM-EWRMA 50-59 years, male 239.0
GTEX-ZYT6-0126-SM-5E45J 30-39 years, male 238.9
GTEX-146FH-0826-SM-5SI8T 50-59 years, female 238.4
GTEX-13N1W-0626-SM-5MR4U 70-79 years, male 237.8
GTEX-REY6-2426-SM-48FF5 60-69 years, male 236.9
GTEX-1QCLZ-2326-SM-DTXDO 60-69 years, female 236.5
GTEX-XQ3S-1326-SM-4BOPQ 20-29 years, male 235.7
GTEX-XGQ4-0926-SM-4AT4U 50-59 years, male 235.1
GTEX-11DXY-2326-SM-5GICW 60-69 years, male 234.8
GTEX-1KANA-2026-SM-DIPFB 20-29 years, male 234.7
GTEX-1GF9U-1726-SM-7MGY5 40-49 years, female 234.6
GTEX-17HGU-1326-SM-79OKB 50-59 years, male 232.9
GTEX-13VXU-2826-SM-664MA 50-59 years, male 232.4
GTEX-18A6Q-0926-SM-7LG4N 60-69 years, male 232.4
GTEX-11TUW-1826-SM-5BC5D 60-69 years, male 232.0
GTEX-1A3MX-2726-SM-718B6 60-69 years, male 231.2
GTEX-1I6K6-0826-SM-ARL7Z 30-39 years, male 228.7
GTEX-13NZ9-1026-SM-5MR5K 50-59 years, male 228.6
GTEX-11P7K-0726-SM-5EGKX 30-39 years, male 228.0
GTEX-13O3O-0826-SM-5K7WE 60-69 years, female 228.0
GTEX-132NY-0826-SM-5K7Y7 60-69 years, male 226.9
GTEX-1A8G7-2426-SM-731AK 60-69 years, male 226.9
GTEX-13113-5013-SM-7SB7G 60-69 years, female 226.8
GTEX-1LC47-1226-SM-D4P44 60-69 years, male 225.9
GTEX-1MA7X-1626-SM-E9U5B 60-69 years, male 225.2
GTEX-1IDJH-2226-SM-E6CJV 70-79 years, male 224.4
GTEX-1GN2E-2226-SM-9WG6J 60-69 years, male 223.9
GTEX-1JKYN-0726-SM-ARZMY 30-39 years, male 223.9
GTEX-R53T-1526-SM-48FEK 50-59 years, female 223.7
GTEX-14PKU-0426-SM-6EU1P 40-49 years, female 223.5
GTEX-1JN6P-2426-SM-ARL99 60-69 years, male 223.4
GTEX-1H3VY-0926-SM-ACKXE 50-59 years, male 222.9
GTEX-WHSB-1926-SM-EXOHH 50-59 years, male 221.9
GTEX-ZDXO-0126-SM-5S2ND 60-69 years, male 221.4
GTEX-11OF3-1926-SM-59889 60-69 years, male 221.3
GTEX-ZVTK-0326-SM-51MRR 20-29 years, male 220.5
GTEX-VUSG-2226-SM-4KKZO 50-59 years, male 219.6
GTEX-S32W-2026-SM-4AD6E 50-59 years, female 219.3
GTEX-1CB4E-0226-SM-79OLW 60-69 years, male 219.0
GTEX-1QMI2-0726-SM-E9J4F 60-69 years, male 219.0
GTEX-144GL-2026-SM-5LU3O 50-59 years, male 218.6
GTEX-1HT8W-2226-SM-CGQEC 30-39 years, male 217.8
GTEX-ZWKS-2826-SM-5NQ74 30-39 years, male 217.6
GTEX-1GMR2-1926-SM-9MQLZ 50-59 years, male 217.5
GTEX-1NUQO-2226-SM-E9U68 20-29 years, female 216.2
GTEX-12WSM-1726-SM-5BC6J 60-69 years, male 215.4
GTEX-1JKYR-0926-SM-CMKGJ 20-29 years, male 215.2
GTEX-13NZ8-0126-SM-5IJCT 60-69 years, female 215.1
GTEX-YJ8O-2226-SM-5IFHW 40-49 years, female 214.7
GTEX-1313W-0826-SM-5EQ4T 50-59 years, female 214.6
GTEX-ZVZQ-0826-SM-51MRF 60-69 years, female 214.0
GTEX-13O3Q-2226-SM-5KM4O 50-59 years, male 213.9
GTEX-1HCVE-2626-SM-ADEJ8 50-59 years, male 213.9
GTEX-15EOM-5019-SM-793DK 20-29 years, female 213.8
GTEX-15RJE-2626-SM-7KFT1 40-49 years, male 213.7
GTEX-1RQEC-2026-SM-DTXDM 60-69 years, male 213.1
GTEX-1I1GV-2426-SM-CGQFM 60-69 years, male 213.0
GTEX-1PPGY-1526-SM-EVYBK 60-69 years, male 213.0
GTEX-1J8Q3-1326-SM-CMKI1 60-69 years, male 212.3
GTEX-1KXAM-1026-SM-CY8IA 60-69 years, male 212.3
GTEX-1IDFM-0426-SM-B2LVV 60-69 years, male 212.0
GTEX-1I4MK-1626-SM-CM2TJ 50-59 years, female 211.8
GTEX-SE5C-2126-SM-4BRUJ 40-49 years, female 211.7
GTEX-1KD5A-1926-SM-DKPQA 50-59 years, male 211.6
GTEX-QEL4-2126-SM-447AE 50-59 years, male 211.5
GTEX-14E6C-1326-SM-62LEQ 40-49 years, male 211.3
GTEX-1M4P7-2626-SM-E9U5F 60-69 years, male 211.2
GTEX-11WQK-2426-SM-5GU5C 50-59 years, male 210.7
GTEX-T2YK-2226-SM-32QPT 50-59 years, male 210.5
GTEX-1CB4J-1826-SM-7EWF9 60-69 years, male 210.0
GTEX-14BMU-1626-SM-5TDE7 20-29 years, female 209.6
GTEX-17EVQ-0426-SM-7LG57 70-79 years, male 208.8
GTEX-1IOXB-1926-SM-ARL8E 50-59 years, male 208.8
GTEX-XMD2-0926-SM-4WWEF 60-69 years, female 208.6
GTEX-17F9E-2526-SM-7MGW2 50-59 years, male 208.1
GTEX-169BO-1126-SM-7MGWN 50-59 years, male 208.0
GTEX-18QFQ-0826-SM-718AX 30-39 years, male 207.9
GTEX-1IE54-0626-SM-ARL8D 40-49 years, female 207.7
GTEX-11GSP-0926-SM-9WYSG 60-69 years, female 207.2
GTEX-1EKGG-2626-SM-7IGPY 60-69 years, male 207.1
GTEX-1A3MV-1626-SM-731C1 30-39 years, male 206.9
GTEX-13OW8-0226-SM-5K7UP 60-69 years, male 206.7
GTEX-ZVT4-1026-SM-57WC4 50-59 years, female 206.4
GTEX-1N2EE-2126-SM-E8VNN 60-69 years, male 206.4
GTEX-1IKOE-1326-SM-CE6T6 30-39 years, female 202.7
GTEX-18465-2026-SM-718AP 50-59 years, male 202.6
GTEX-1B8KE-1226-SM-73KWK 50-59 years, male 201.8
GTEX-17KNJ-2026-SM-7LG53 50-59 years, male 201.6
GTEX-U412-1826-SM-4DXTJ 60-69 years, male 200.9
GTEX-1MCC2-2126-SM-EWRON 30-39 years, female 200.9
GTEX-11LCK-2426-SM-5HL5F 30-39 years, male 200.6
GTEX-12WSK-2226-SM-5GCO5 40-49 years, female 200.5
GTEX-11PRG-0826-SM-5EQ6A 50-59 years, male 200.4
GTEX-1314G-1226-SM-5BC6D 30-39 years, male 200.4
GTEX-1LNCM-0226-SM-DIPF4 50-59 years, female 199.0
GTEX-13PL6-2926-SM-5L3I2 40-49 years, female 198.0
GTEX-ZYW4-0826-SM-5GIDG 60-69 years, male 197.0
GTEX-1JMOU-2026-SM-CMKGU 60-69 years, female 196.9
GTEX-1N5O9-1126-SM-DTXEQ 60-69 years, male 196.8
GTEX-WOFL-0826-SM-3MJG1 60-69 years, male 196.6
GTEX-11NV4-2026-SM-5N9DG 60-69 years, male 196.3
GTEX-11WQC-1726-SM-5GU4W 60-69 years, male 195.7
GTEX-14PHY-1926-SM-5YY95 60-69 years, female 195.7
GTEX-1NV8Z-2826-SM-E8VME 60-69 years, male 195.0
GTEX-1GPI6-0626-SM-7RHHJ 60-69 years, male 194.5
GTEX-ZYFC-0826-SM-5E44K 50-59 years, male 193.9
GTEX-1HR98-0426-SM-COH36 60-69 years, male 193.9
GTEX-1KAFJ-0226-SM-DIPEL 50-59 years, male 193.8
GTEX-13W3W-1226-SM-5LU4H 60-69 years, female 193.7
GTEX-ZUA1-1526-SM-59HLS 40-49 years, male 193.2
GTEX-147F4-2826-SM-5NQBN 50-59 years, male 192.8
GTEX-1R9PM-1826-SM-EVYBH 20-29 years, male 192.6
GTEX-ZGAY-1726-SM-DO91P 40-49 years, female 192.5
GTEX-ZV7C-1826-SM-5NQ83 50-59 years, male 192.0
GTEX-ZU9S-1926-SM-5NQBP 30-39 years, male 191.4
GTEX-S7SE-0826-SM-4AT4D 50-59 years, male 191.1
GTEX-133LE-1726-SM-5K7VQ 20-29 years, female 190.8
GTEX-13CF2-2026-SM-5K7VI 60-69 years, male 190.6
GTEX-13D11-1026-SM-5IJFB 50-59 years, female 189.6
GTEX-1HSKV-2026-SM-CMKGX 60-69 years, male 189.6
GTEX-ZTX8-1226-SM-4YCE9 20-29 years, male 189.4
GTEX-14LLW-0626-SM-62LFC 70-79 years, female 189.3
GTEX-1122O-1226-SM-5H113 60-69 years, female 188.6
GTEX-1LSNM-1326-SM-E9TJ1 50-59 years, male 188.0
GTEX-1F75B-0626-SM-7SB8A 50-59 years, male 187.9
GTEX-1BAJH-0826-SM-7EWEF 70-79 years, male 187.4
GTEX-117XS-1926-SM-5GICO 60-69 years, male 187.3
GTEX-1MA7W-1026-SM-DKPQK 20-29 years, female 186.9
GTEX-1QEPI-0926-SM-DTXF3 60-69 years, female 186.8
GTEX-11EI6-0626-SM-5985T 60-69 years, male 186.7
GTEX-13SLX-2326-SM-5ZZWE 50-59 years, female 186.7
GTEX-T5JC-2126-SM-32PMO 20-29 years, male 186.5
GTEX-Y3I4-1526-SM-4TT7K 50-59 years, male 186.4
GTEX-XUW1-2326-SM-4BOO5 50-59 years, female 186.2
GTEX-139TU-0626-SM-5KM3X 60-69 years, male 186.0
GTEX-Y5V5-2126-SM-4WWFO 60-69 years, female 185.6
GTEX-ZF3C-2326-SM-5S2NC 50-59 years, female 185.1
GTEX-1C64O-0726-SM-7DUFU 60-69 years, male 183.9
GTEX-1C475-1226-SM-7SB72 40-49 years, female 183.9
GTEX-16NGA-0826-SM-718AF 40-49 years, female 183.6
GTEX-1HSMO-0826-SM-ADEIV 60-69 years, male 183.6
GTEX-VJWN-0726-SM-3GIJ8 50-59 years, female 183.5
GTEX-17HHE-1426-SM-7EPH4 50-59 years, male 183.0
GTEX-T6MO-0326-SM-32QOK 40-49 years, female 183.0
GTEX-1QCLY-1626-SM-DTXDW 30-39 years, male 183.0
GTEX-18A7A-0726-SM-7LTAI 50-59 years, female 182.9
GTEX-1R7EU-1226-SM-E8VMR 60-69 years, male 182.9
GTEX-17JCI-0726-SM-7EPH1 60-69 years, female 182.8
GTEX-14H4A-2526-SM-5YYAY 40-49 years, female 182.5
GTEX-ZLV1-1426-SM-DO92Z 60-69 years, female 182.5
GTEX-ZAJG-0626-SM-5HL8X 50-59 years, female 182.3
GTEX-17EVP-0226-SM-79OND 40-49 years, male 182.2
GTEX-1IGQW-0926-SM-ADEH6 60-69 years, male 182.1
GTEX-14E7W-0826-SM-62LEJ 70-79 years, male 182.0
GTEX-18A7B-2626-SM-7LG55 70-79 years, male 181.9
GTEX-1EWIQ-1726-SM-7SB7T 70-79 years, female 181.6
GTEX-1C6VS-0726-SM-7EPHF 60-69 years, male 181.5
GTEX-1R46S-2526-SM-E8VN2 60-69 years, female 181.4
GTEX-QEG5-0726-SM-D4P1T 20-29 years, male 181.0
GTEX-13W46-0826-SM-5LU3H 50-59 years, male 180.2
GTEX-13OW5-2226-SM-5L3HC 60-69 years, male 180.1
GTEX-1B97I-0426-SM-79OL7 40-49 years, male 179.9
GTEX-X4EP-2926-SM-3P5YQ 60-69 years, female 179.3
GTEX-1AX9J-1126-SM-731B7 60-69 years, male 178.9
GTEX-ZY6K-1626-SM-5GZWV 50-59 years, male 178.8
GTEX-17MF6-0326-SM-7EPH5 40-49 years, male 178.6
GTEX-1I1GT-1126-SM-ARL7J 60-69 years, female 177.8
GTEX-1GMR3-2626-SM-7RHHG 40-49 years, male 177.5
GTEX-Y3IK-2326-SM-4WWDT 50-59 years, female 177.3
GTEX-1HCU8-0126-SM-ADEHH 60-69 years, female 177.0
GTEX-11DXW-0626-SM-5N9ER 40-49 years, male 176.9
GTEX-Y8LW-1626-SM-5IFHX 50-59 years, female 176.7
GTEX-1192X-2326-SM-5987X 50-59 years, male 176.4
GTEX-1AX9I-0726-SM-73KWV 60-69 years, male 176.3
GTEX-1F5PL-1026-SM-7RHI1 40-49 years, female 175.5
GTEX-131YS-0626-SM-5EGKL 60-69 years, female 175.1
GTEX-1117F-2826-SM-5GZXL 60-69 years, female 175.0
GTEX-1LGRB-1826-SM-CNPQL 50-59 years, female 174.2
GTEX-1K2DA-1726-SM-CGQGS 50-59 years, male 174.1
GTEX-1J8Q2-2726-SM-A9G2X 60-69 years, male 174.0
GTEX-1CAMS-1426-SM-7IGPM 40-49 years, female 173.9
GTEX-1HCUA-0726-SM-ACKVU 50-59 years, female 173.9
GTEX-15ETS-0626-SM-7KUMX 40-49 years, female 173.5
GTEX-17EUY-1926-SM-7DUF6 20-29 years, male 173.0
GTEX-13FTY-2226-SM-5J1ND 40-49 years, female 172.2
GTEX-11GS4-2126-SM-5A5KR 60-69 years, male 171.8
GTEX-T6MN-0726-SM-32PML 50-59 years, male 171.7
GTEX-XMD1-0826-SM-4AT52 60-69 years, male 171.6
GTEX-1RAZQ-1226-SM-EWRNL 30-39 years, male 171.4
GTEX-1I6K7-1026-SM-A9SLK 40-49 years, male 171.2
GTEX-11GSO-1926-SM-5A5K3 60-69 years, male 171.1
GTEX-R3RS-0626-SM-48FE1 40-49 years, female 171.1
GTEX-1H4P4-2226-SM-9MQKQ 50-59 years, male 171.0
GTEX-X261-0626-SM-3NMD9 50-59 years, male 170.9
GTEX-1H1E6-0926-SM-9YFLT 30-39 years, male 170.8
GTEX-Y5LM-1726-SM-4VDSX 40-49 years, female 170.5
GTEX-1HR9M-2426-SM-ACKXI 60-69 years, male 170.5
GTEX-1GZ4H-0326-SM-7P8QX 50-59 years, female 169.9
GTEX-1JMPZ-1626-SM-COH31 30-39 years, male 169.8
GTEX-1E2YA-2726-SM-7IGPW 50-59 years, male 169.7
GTEX-1B97J-0426-SM-79OLQ 50-59 years, female 169.4
GTEX-1HUB1-1626-SM-CM2SL 60-69 years, male 168.6
GTEX-TML8-1226-SM-32QON 40-49 years, female 168.3
GTEX-UPK5-2326-SM-3P5Z8 40-49 years, male 167.8
GTEX-1IY9M-2726-SM-CMKG5 60-69 years, male 167.7
GTEX-11EMC-2026-SM-5A5JV 60-69 years, female 167.5
GTEX-1C6VQ-0426-SM-79OOX 50-59 years, male 167.2
GTEX-1EU9M-2826-SM-7EWFH 60-69 years, male 167.1
GTEX-QVJO-1826-SM-447C9 60-69 years, female 166.8
GTEX-1R9PN-0326-SM-DTX85 40-49 years, female 166.7
GTEX-1AX8Z-0926-SM-731AW 60-69 years, male 166.3
GTEX-X15G-1626-SM-3NMB3 50-59 years, female 166.2
GTEX-Y111-2026-SM-4SOJA 50-59 years, male 165.9
GTEX-1B933-2526-SM-7IGO5 50-59 years, female 165.5
GTEX-13FHO-0826-SM-5L3E8 60-69 years, male 165.3
GTEX-1GMRU-0826-SM-9WYT7 50-59 years, male 165.2
GTEX-15UF6-0126-SM-6PAMB 70-79 years, female 165.0
GTEX-UJHI-1426-SM-3DB9C 50-59 years, female 165.0
GTEX-ZEX8-2226-SM-57WC6 50-59 years, male 164.7
GTEX-1GZHY-0726-SM-9WG6B 50-59 years, female 164.6
GTEX-1RAZS-1226-SM-E8VMT 50-59 years, male 163.6
GTEX-1IDJE-0826-SM-CKZNZ 50-59 years, female 163.2
GTEX-1C6WA-2426-SM-7SB86 60-69 years, male 162.9
GTEX-ZC5H-2626-SM-5J2MG 40-49 years, female 162.3
GTEX-WYJK-1326-SM-3NB2T 50-59 years, male 162.2
GTEX-1LSVX-2426-SM-E6CJX 60-69 years, male 162.0
GTEX-W5X1-2326-SM-3GIL6 40-49 years, female 161.9
GTEX-1GF9X-1026-SM-ACKX2 40-49 years, female 161.9
GTEX-11EM3-1326-SM-5N9C6 20-29 years, female 161.7
GTEX-12ZZX-1126-SM-5EGKB 40-49 years, female 161.2
GTEX-13PVR-2226-SM-7DHKP 60-69 years, female 160.6
GTEX-1JK1U-1826-SM-ARL8W 60-69 years, male 160.5
GTEX-17HHY-0926-SM-793C1 50-59 years, male 160.3
GTEX-131XW-0726-SM-5EGK3 50-59 years, female 160.2
GTEX-1EN7A-1426-SM-7PBY4 40-49 years, male 160.2
GTEX-WRHU-0326-SM-3MJFY 50-59 years, female 160.0
GTEX-1LVAM-0926-SM-E9TJ2 50-59 years, female 159.9
GTEX-XBED-1626-SM-47JYN 60-69 years, male 159.8
GTEX-1JMLX-2026-SM-CMKGN 50-59 years, male 159.7
GTEX-1JN1M-3026-SM-CMKGK 60-69 years, female 159.3
GTEX-1K9T9-1426-SM-DIPFQ 50-59 years, female 159.0
GTEX-1GF9V-2526-SM-7SB8K 60-69 years, male 158.9
GTEX-15FZZ-0726-SM-7KUFZ 30-39 years, female 158.8
GTEX-1CB4G-2326-SM-79OOI 60-69 years, male 158.4
GTEX-1KD4Q-2326-SM-D4P3M 40-49 years, male 158.4
GTEX-15SHW-1326-SM-6PAL8 60-69 years, male 157.5
GTEX-1I1HK-2426-SM-ADEHX 60-69 years, male 157.5
GTEX-T5JW-2026-SM-4DM63 20-29 years, female 157.1
GTEX-WFG8-2026-SM-EXOHO 20-29 years, male 157.1
GTEX-1IKJJ-2326-SM-COH3U 60-69 years, male 156.3
GTEX-111YS-1926-SM-5GICC 60-69 years, male 155.6
GTEX-1HBPM-0126-SM-ARL9E 60-69 years, female 154.9
GTEX-WI4N-1426-SM-3LK7H 40-49 years, female 154.7
GTEX-1MCYP-0126-SM-E6CIS 20-29 years, female 154.2
GTEX-1JMQK-2626-SM-COH2W 60-69 years, male 153.2
GTEX-13N11-1726-SM-5J1OJ 50-59 years, female 153.0
GTEX-WXYG-2226-SM-4E3IM 50-59 years, female 152.9
GTEX-T2IS-1526-SM-32QPR 20-29 years, female 152.6
GTEX-1GMR8-0726-SM-9KNVI 50-59 years, female 152.2
GTEX-1269C-2426-SM-5FQSN 60-69 years, female 151.5
GTEX-WYBS-0926-SM-3NM94 60-69 years, female 150.5
GTEX-17HG3-0126-SM-7IGNH 30-39 years, female 150.1
GTEX-15ER7-1626-SM-6PAMZ 20-29 years, female 149.4
GTEX-1H1CY-2226-SM-9WG7E 60-69 years, female 148.7
GTEX-1M5QR-2526-SM-E9U5P 40-49 years, male 148.7
GTEX-1GZ4I-2826-SM-9MQK5 50-59 years, male 148.3
GTEX-1B8L1-2426-SM-9WYTE 60-69 years, male 148.0
GTEX-RU72-0626-SM-46MUI 50-59 years, female 147.7
GTEX-ZZPU-0626-SM-5E43T 50-59 years, female 147.1
GTEX-QDT8-0626-SM-48TYW 30-39 years, female 146.7
GTEX-1JMPY-0526-SM-CL54O 30-39 years, male 146.5
GTEX-1J8QM-2026-SM-ARZMW 60-69 years, female 146.1
GTEX-1HKZK-1826-SM-ADEJ2 40-49 years, male 145.7
GTEX-1LVAN-1326-SM-CNPQE 50-59 years, female 145.3
GTEX-11P81-1926-SM-5BC53 30-39 years, female 145.2
GTEX-13QIC-2326-SM-5LU5N 60-69 years, female 143.3
GTEX-1B8KZ-1526-SM-7DUG7 50-59 years, male 142.4
GTEX-1F6I4-2526-SM-7SB8F 60-69 years, male 142.4
GTEX-14A5I-0726-SM-5TDEB 50-59 years, female 142.1
GTEX-ZXES-0826-SM-5E43C 30-39 years, female 142.0
GTEX-YFC4-1426-SM-5IFJG 40-49 years, female 141.8
GTEX-XOT4-0726-SM-4GIAW 60-69 years, female 141.3
GTEX-RWS6-1926-SM-47JXY 60-69 years, female 141.1
GTEX-ZVE2-1226-SM-5NQ8R 50-59 years, male 140.4
GTEX-U3ZH-1426-SM-4DXSR 30-39 years, male 140.3
GTEX-1HBPN-2326-SM-9WPPU 50-59 years, male 139.5
GTEX-1J8EW-2626-SM-CL53E 60-69 years, female 139.2
GTEX-1F75A-1826-SM-7SB8G 50-59 years, male 135.1
GTEX-ZAK1-1326-SM-EVYAS 50-59 years, female 135.1
GTEX-1B932-0826-SM-73KXG 40-49 years, female 134.8
GTEX-U3ZN-1926-SM-4DXSG 30-39 years, female 134.1
GTEX-WYVS-1726-SM-3NMAY 40-49 years, female 133.3
GTEX-ZF29-1926-SM-5S2P1 60-69 years, female 133.0
GTEX-TMMY-0726-SM-33HBE 40-49 years, female 132.4
GTEX-S4P3-1326-SM-4AD6V 50-59 years, female 132.0
GTEX-1IKOH-2326-SM-CM2TW 60-69 years, female 131.7
GTEX-1GN1W-1926-SM-7P8TH 50-59 years, female 131.3
GTEX-1GZ2Q-2626-SM-7MXV9 40-49 years, male 130.7
GTEX-1POEN-0926-SM-DTX88 30-39 years, female 130.1
GTEX-ZF2S-2026-SM-5E461 50-59 years, female 128.5
GTEX-S341-1526-SM-4AD6K 40-49 years, female 127.5
GTEX-Q2AG-0326-SM-48U1O 40-49 years, female 127.4
GTEX-1GN1U-0526-SM-9KNTT 50-59 years, female 126.9
GTEX-13QJ3-0826-SM-7DHKK 50-59 years, male 125.3
GTEX-1P4AB-1826-SM-E76PU 50-59 years, male 122.3
GTEX-13O3P-0826-SM-5L3DH 50-59 years, male 121.0
GTEX-132Q8-1426-SM-5EGK7 60-69 years, male 120.9
GTEX-139T8-0826-SM-5L3DE 60-69 years, male 117.7
GTEX-1HSGN-1526-SM-A9SMO 40-49 years, female 113.5
GTEX-RU1J-0626-SM-4WAWY 20-29 years, female 108.8
GTEX-XUZC-1626-SM-4BRVP 30-39 years, female 85.0
Show allShow less

BREAST - FANTOM5 CAGEi

RNA expression in human tissues obtained through Cap Analysis of Gene Expression (CAGE) generated by the FANTOM5 project are reported as Scaled Tags Per Million.

Max subtype Scaled Tags Per Millioni

Max subtype Scaled Tags Per Million is the value for the subtype with the largest average Scaled Tags Per Million across the subtype samples.

1553.6
FANTOM5 sample id Sample description Scaled Tags Per Million
Breast
Scaled Tags Per Million: 1553.6
FF:10080-102A8 77 years, female 1553.6

Contact

  • NEWS ARTICLES
  • PRESS ROOM

The Project

  • INTRODUCTION
  • ORGANIZATION
  • PUBLICATIONS

The Human Protein Atlas

  • DOWNLOADABLE DATA
  • LICENCE & CITATION
  • HELP & FAQ
The Human Protein Atlas project is funded
by the Knut & Alice Wallenberg Foundation.


contact@proteinatlas.org