We use cookies to enhance the usability of our website. If you continue, we'll assume that you are happy to receive all cookies. More information. Don't show this again.
SOD1
HPA
RESOURCES
  • TISSUE
  • BRAIN
  • SINGLE CELL
  • SUBCELLULAR
  • CANCER
  • BLOOD
  • CELL LINE
  • STRUCTURE & INTERACTION
ABOUT
  • INTRODUCTION
  • HISTORY
  • ORGANIZATION
  • PUBLICATIONS
  • ANTIBODY SUBMISSION
  • ANTIBODY AVAILABILITY
  • ACKNOWLEDGMENTS
  • CONTACT
NEWS
  • NEWS ARTICLES
  • PRESS ROOM
LEARN
  • DICTIONARY
  • PROTEIN CLASSES
  • PROTEIN EVIDENCE
  • METHODS
  • EDUCATIONAL VIDEOS
DATA
  • DOWNLOADABLE DATA
  • PUBLICATION DATA
  • RELEASE HISTORY
HELP
  • ANTIBODY VALIDATION
  • ASSAYS & ANNOTATION
  • DISCLAIMER
  • HELP & FAQ
  • PRIVACY STATEMENT
  • LICENCE & CITATION
Fields »
Search result

Field
Term
Gene name
Class
Subclass
Class
Keyword
Chromosome
External id
Tissue
Cell type
Expression
Antibody panel
Tissue
Main location
Patient ID
Annotation
Tissue
Category
Tau score
Cluster
Reliability
Brain region
Category
Tau score
Brain region
Category
Tau score
Brain region
Category
Tau score
Cluster
Reliability
Tissue
Cell type
Enrichment
Cell type
Category
Tau score
Cell type
Category
Tau score
Cell type
Category
Tau score
Cell lineage
Category
Tau score
Cluster
Cluster
Location
Searches
Location
Cell line
Class
Type
Phase
Reliability
Cancer
Prognosis
Cancer
Category
Cancer
Category
Tau score
Cluster
Variants
Interacting gene (ensg_id)
Type
Number of interactions
Pathway
Category
Score
Score
Score
Validation
Validation
Validation
Validation
Antibodies
Data type
Column


  • SUMMARY

  • TISSUE

  • BRAIN

  • SINGLE CELL

  • SUBCELL

  • CANCER

  • BLOOD

  • CELL LINE

  • STRUCT & INT

  • SOD1
TISSUE PRIMARY DATA PANCREAS Show tissue menu
ADIPOSE TISSUE ADRENAL GLAND AMYGDALA APPENDIX BASAL GANGLIA BONE MARROW BREAST BRONCHUS CEREBELLUM CEREBRAL CORTEX CERVIX CHOROID PLEXUS COLON DUODENUM
ENDOMETRIUM EPIDIDYMIS ESOPHAGUS FALLOPIAN TUBE GALLBLADDER HEART MUSCLE HIPPOCAMPAL FORMATION HYPOTHALAMUS KIDNEY LIVER LUNG LYMPH NODE MIDBRAIN NASOPHARYNX
ORAL MUCOSA OVARY PANCREAS PARATHYROID GLAND PITUITARY GLAND PLACENTA PROSTATE RECTUM RETINA SALIVARY GLAND SEMINAL VESICLE SKELETAL MUSCLE SKIN SMALL INTESTINE
SMOOTH MUSCLE SOFT TISSUE SPINAL CORD SPLEEN STOMACH TESTIS THYMUS THYROID GLAND TONGUE TONSIL URINARY BLADDER VAGINA
ANTIBODIES
AND
VALIDATION
Dictionary
Pancreas
Tissue proteome
Pancreas
PANCREAS - Expression summary
Protein expression
Pancreasi

On the top, protein expression in current human tissue, based on all annotated cell types, is reported with the units not detected (n), low (l), medium (m) and high (h). Underneath, protein expression in each annotated cell type are reported using the same units.

Protein expression data is based on knowledge-based annotation. For genes where more than one antibody has been used, a collective score is set.

If knowledge-based annotation could not be performed for a gene, no data is displayed here. View antibody staining data further down this page.

h
m
l
n
Exocrine glandular cells: Low
Pancreatic endocrine cells: Medium
RNA expressioni

A summary of mRNA expression data available for current tissue based on several datasets. The mRNA expression levels in human tissues are based on RNA-seq data generated by the Human Protein Atlas (HPA), Genotype-Tissue Expression (GTEx) portal and CAGE data generated by the FANTOM5 consortium. Consensus normalized expression levels for human tissues was created by combining the data from HPA and GTEx datasets.

The mRNA expression levels in pig are based on RNA-seq data generated by the Human Protein Atlas (HPA), and for mouse, HPA data and in situ hybridization generated by the Allen brain atlas are reported.

Scroll down to view mRNA expression data in more detail.
Consensus:113.8 nTPM
HPA:95.4 nTPM
GTEx:113.8 nTPM
FANTOM5:390.8 Scaled Tags Per Million

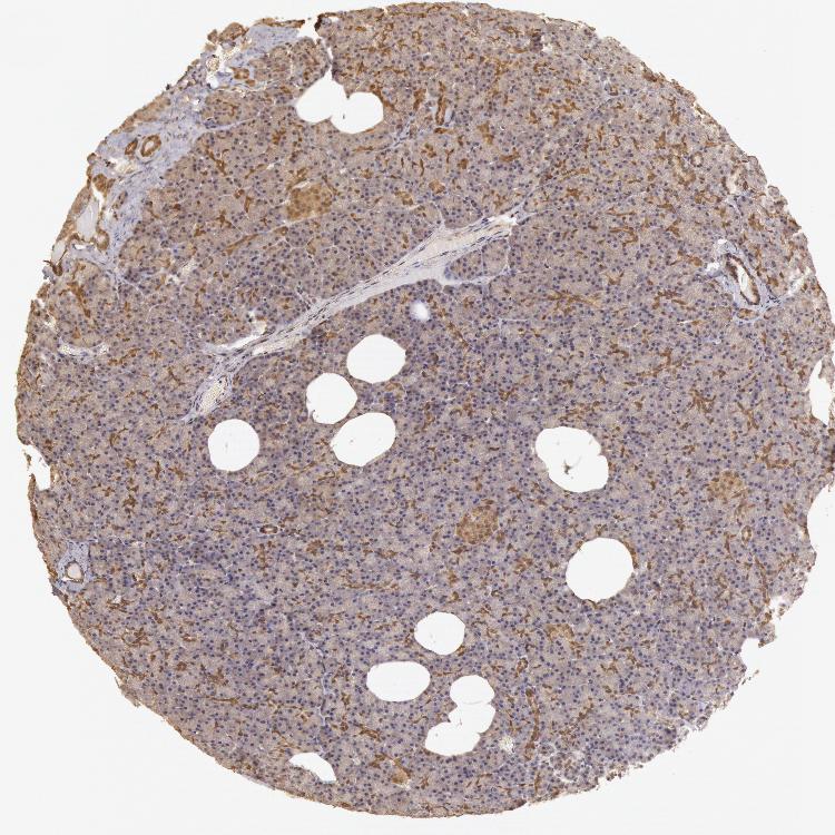
PANCREAS - Antibody stainingi

Antibody staining in the annotated cell types in the current human tissue is reported as not detected, low, medium, or high, based on conventional immunohistochemistry profiling in selected tissues. This score is based on the combination of the staining intensity and fraction of stained cells.

Each image is clickable and will lead to virtual microscopy that enables deeper exploration of all samples and also displays staining intensity scores, fraction scores and subcellular localization as well as patient and tissue information for each sample.

Antibody HPA001401Antibody CAB008670
Exocrine glandular cells LowMedium
Pancreatic endocrine cells MediumMedium





PANCREAS - HPA RNA-seqi

The RNA-seq details section shows detailed information about the individual samples used for the transcript profiling and results of the RNA-seq analysis.

Information about each individual sample is listed below, including gender, age, a tissue section image and estimated fractions of cell types. nTPM (normalized transcripts per million) values give a quantification of the gene abundance which is comparable between different genes and samples.
Average nTPMi

Max subtype nTPM is the value for the subtype with the largest average nTPM across the subtype samples.

95.4
overview
Female, age 59
Pancreas sample 194
nTPM: 93.5
Cell types%
Exocrine glandular cells:
75

Pancreatic endocrine cells:
10

Ductal cells:
5

Other cell types:
10

overview
Male, age 60
Pancreas sample 195
nTPM: 97.3
Cell types%
Exocrine glandular cells:
90

Pancreatic endocrine cells:
5

Ductal cells:
5


PANCREAS - GTEx RNA-seqi

RNA-Seq data generated by the Genotype-Tissue Expression (GTEx) project from human tissues is reported as mean nTPM. More information can be found on the GTEx portal.

Distribution across the dataset is visualized with box plots, shown as median and 25th and 75th percentiles. Points are displayed as outliers if they are above or below 1.5 times the interquartile range. nTPM values of the individual samples are presented next to the box plot.
Max subtype nTPMi

Max subtype nTPM is the value for the subtype with the largest average nTPM across the subtype samples.

113.8
GTEx sample id Sample description nTPM
Pancreas
Average nTPM: 113.8
Samples: 328

Max nTPM: 271.7
Min nTPM: 53.4
Std nTPM: 22.3
Median nTPM: 111.6
GTEX-132AR-1826-SM-5EGHR 50-59 years, female 271.7
GTEX-144FL-1526-SM-5Q5CA 50-59 years, male 252.7
GTEX-131XE-1926-SM-5IFER 50-59 years, male 192.6
GTEX-1JMPZ-1026-SM-CXZJS 30-39 years, male 168.6
GTEX-OHPM-1026-SM-3LK74 50-59 years, male 165.0
GTEX-1R9K5-1226-SM-E6CPQ 50-59 years, male 162.6
GTEX-1JK1U-1026-SM-AHZ44 60-69 years, male 157.7
GTEX-XV7Q-0926-SM-4BRVQ 40-49 years, female 157.4
GTEX-ZYT6-1326-SM-5E453 30-39 years, male 156.8
GTEX-WFON-0626-SM-4LVLX 40-49 years, male 155.2
GTEX-1AX9K-2026-SM-731D1 50-59 years, male 155.1
GTEX-1HSMO-2026-SM-CNNQO 60-69 years, male 154.2
GTEX-OIZF-1026-SM-2HML5 60-69 years, male 152.0
GTEX-1K2DU-1026-SM-DHXKC 20-29 years, male 150.4
GTEX-146FQ-1526-SM-5Q5CX 30-39 years, male 149.8
GTEX-WY7C-1026-SM-4OND3 50-59 years, male 147.6
GTEX-1QW4Y-0926-SM-DPRY2 30-39 years, male 146.8
GTEX-YB5E-0526-SM-4VDSD 40-49 years, male 146.6
GTEX-1PFEY-1126-SM-DPRZ3 30-39 years, male 146.5
GTEX-1QEPI-1626-SM-EAZ3I 60-69 years, female 146.3
GTEX-18A67-1726-SM-7KFT9 50-59 years, male 146.0
GTEX-1PWST-1526-SM-EXOIT 70-79 years, male 145.5
GTEX-1LGRB-0426-SM-CNNRD 50-59 years, female 143.4
GTEX-1CB4G-1826-SM-7MKGO 60-69 years, male 142.8
GTEX-1QPFJ-2226-SM-EXOJW 30-39 years, female 142.3
GTEX-Y3I4-0826-SM-4TT2A 50-59 years, male 141.9
GTEX-15FZZ-0626-SM-7KFTO 30-39 years, female 140.7
GTEX-XQ8I-1926-SM-4BOOK 50-59 years, male 140.7
GTEX-13FTX-1226-SM-5IFGN 20-29 years, female 140.4
GTEX-1CAMR-1126-SM-7MGXF 20-29 years, male 139.9
GTEX-11EQ9-1026-SM-5H134 30-39 years, male 139.6
GTEX-1F5PL-0726-SM-7MKH8 40-49 years, female 139.5
GTEX-1R7EV-1126-SM-DPRXU 40-49 years, male 139.2
GTEX-139YR-1526-SM-5IFJ1 50-59 years, male 139.0
GTEX-15SHV-1526-SM-6LLIB 60-69 years, male 138.8
GTEX-14ICL-1126-SM-5S2RE 30-39 years, male 138.7
GTEX-T5JW-0226-SM-4DM7I 20-29 years, female 138.3
GTEX-1R46S-1426-SM-EXOJD 60-69 years, female 138.1
GTEX-13FLV-0626-SM-5IFEY 50-59 years, male 137.9
GTEX-17MF6-1426-SM-7IGOX 40-49 years, male 137.7
GTEX-13N11-0226-SM-5KM3C 50-59 years, female 136.9
GTEX-QDVN-0926-SM-2I5GL 50-59 years, male 135.7
GTEX-13OVI-0526-SM-5IFFQ 60-69 years, female 135.5
GTEX-1I1GU-0326-SM-AHZ2K 40-49 years, male 135.5
GTEX-14DAR-0526-SM-664MX 50-59 years, male 135.1
GTEX-1C6VQ-1726-SM-7IGLQ 50-59 years, male 135.1
GTEX-P4PQ-1026-SM-3NMCN 60-69 years, male 134.6
GTEX-14AS3-0326-SM-5Q5DB 40-49 years, female 133.9
GTEX-T8EM-0826-SM-4DM76 40-49 years, male 133.3
GTEX-14PJ4-0726-SM-6872E 60-69 years, male 132.9
GTEX-14PHY-1126-SM-664OR 60-69 years, female 132.7
GTEX-QDVJ-1226-SM-48U1V 50-59 years, male 132.4
GTEX-ZEX8-1026-SM-4WKHE 50-59 years, male 131.8
GTEX-17KNJ-1926-SM-7KFRV 50-59 years, male 131.2
GTEX-11I78-0626-SM-5A5LZ 50-59 years, female 130.8
GTEX-15CHR-2026-SM-7MXU2 50-59 years, male 130.8
GTEX-NPJ8-2126-SM-3MJGK 40-49 years, male 130.4
GTEX-13O1R-1826-SM-5KM3B 60-69 years, male 129.8
GTEX-1LVAN-1226-SM-CNNQY 50-59 years, female 129.7
GTEX-1MUQO-1426-SM-DPRYJ 60-69 years, male 129.6
GTEX-1M5QR-0926-SM-DHXK8 40-49 years, male 128.8
GTEX-13PVR-0726-SM-5S2PX 60-69 years, female 128.3
GTEX-13CF3-1026-SM-5LZWY 60-69 years, female 127.9
GTEX-1H11D-0926-SM-9OSXO 40-49 years, male 127.9
GTEX-11XUK-0626-SM-5N9ES 40-49 years, female 127.6
GTEX-1H1E6-0826-SM-9WG83 30-39 years, male 127.5
GTEX-1GF9X-1126-SM-7MKHC 40-49 years, female 127.4
GTEX-1H1DG-1426-SM-9OSXP 70-79 years, male 127.4
GTEX-Q734-0426-SM-48TZX 40-49 years, female 127.0
GTEX-1JKYR-1026-SM-CGQGI 20-29 years, male 126.6
GTEX-Q2AI-0426-SM-48U13 40-49 years, male 126.5
GTEX-WHPG-0326-SM-4M1XV 50-59 years, male 126.5
GTEX-144GM-0726-SM-79OJQ 20-29 years, male 126.1
GTEX-1NSGN-1726-SM-EXOJG 50-59 years, male 126.1
GTEX-11VI4-0426-SM-5EGHZ 40-49 years, female 126.0
GTEX-X15G-0726-SM-4PQZ5 50-59 years, female 125.9
GTEX-X4LF-0326-SM-4QAS9 50-59 years, male 125.8
GTEX-1QP29-1926-SM-DPRZO 50-59 years, male 125.7
GTEX-145MN-1426-SM-5SI9H 30-39 years, male 125.4
GTEX-1497J-0426-SM-5Q5CO 60-69 years, male 125.4
GTEX-XUW1-1726-SM-4BOOZ 50-59 years, female 125.2
GTEX-16Z82-1726-SM-7MGX3 60-69 years, male 125.1
GTEX-R53T-0426-SM-48FEM 50-59 years, female 124.9
GTEX-WFG8-0326-SM-4LVN4 20-29 years, male 124.7
GTEX-N7MT-1626-SM-3LK71 60-69 years, female 124.1
GTEX-14PHX-2026-SM-6872C 50-59 years, male 124.0
GTEX-13U4I-1526-SM-5IFFF 40-49 years, female 123.9
GTEX-Y9LG-0726-SM-4VDS3 30-39 years, male 123.7
GTEX-YF7O-1326-SM-4W1ZR 50-59 years, male 123.5
GTEX-ZF29-1126-SM-4WKGO 60-69 years, female 123.4
GTEX-111YS-1226-SM-5EGGJ 60-69 years, male 122.9
GTEX-XYKS-1226-SM-4BRVI 60-69 years, female 122.9
GTEX-1IDJC-0526-SM-AHZ2Q 50-59 years, male 122.7
GTEX-1OFPY-0626-SM-EXOJ4 60-69 years, male 122.6
GTEX-ZVZP-0626-SM-59HL5 50-59 years, male 122.5
GTEX-ZLWG-0326-SM-4WWC7 50-59 years, female 122.2
GTEX-1I1GT-0926-SM-AHZ2G 60-69 years, female 122.2
GTEX-15RIF-0626-SM-6LLI3 20-29 years, male 122.1
GTEX-ZYW4-2126-SM-59HJ9 60-69 years, male 122.1
GTEX-1N2DV-1726-SM-DPRYR 40-49 years, male 122.1
GTEX-1JKYN-0426-SM-CGQG2 30-39 years, male 121.9
GTEX-1128S-0826-SM-5GZZI 60-69 years, female 121.8
GTEX-1IDJU-0326-SM-CGQEE 60-69 years, female 121.7
GTEX-13PL7-2226-SM-5L3IC 60-69 years, female 121.6
GTEX-1K2DA-0326-SM-CGQGX 50-59 years, male 121.6
GTEX-1QP2A-1326-SM-EAZ3K 50-59 years, male 121.5
GTEX-17HGU-2026-SM-79OKS 50-59 years, male 120.9
GTEX-11P7K-0526-SM-5BC5I 30-39 years, male 120.8
GTEX-1339X-1026-SM-5IFH5 40-49 years, male 120.8
GTEX-1CAMQ-1626-SM-7MGXG 40-49 years, male 120.8
GTEX-13D11-2226-SM-5IFEO 50-59 years, female 120.7
GTEX-1R7EU-0726-SM-DPRZM 60-69 years, male 119.9
GTEX-15UF7-0826-SM-6M46E 40-49 years, male 119.8
GTEX-18D9U-1626-SM-7KFTW 40-49 years, male 119.6
GTEX-15ER7-1326-SM-6LPK9 20-29 years, female 119.4
GTEX-14PJ2-1526-SM-686Z4 50-59 years, male 119.3
GTEX-1399R-0426-SM-5IJE3 30-39 years, male 119.0
GTEX-NFK9-1626-SM-3LK5J 40-49 years, male 118.9
GTEX-1C64O-1426-SM-7EWER 60-69 years, male 118.8
GTEX-14JG6-0426-SM-68715 30-39 years, female 118.4
GTEX-1PPH8-2326-SM-EAZ48 20-29 years, male 118.3
GTEX-OOBK-1026-SM-48TC2 40-49 years, male 118.2
GTEX-1GMR3-1226-SM-7MGY1 40-49 years, male 118.2
GTEX-13FTW-0526-SM-5IFIP 40-49 years, male 118.0
GTEX-1LG7Z-0326-SM-DHXK3 30-39 years, male 117.9
GTEX-117YX-0226-SM-5EGH6 50-59 years, male 117.5
GTEX-1O97I-1726-SM-EXOIP 60-69 years, male 116.8
GTEX-1RAZQ-1426-SM-EV7B2 30-39 years, male 116.7
GTEX-XBEW-1626-SM-4SOJP 40-49 years, male 116.3
GTEX-SNOS-0926-SM-4DM7A 40-49 years, male 116.1
GTEX-13O61-2126-SM-5IJEO 60-69 years, male 116.0
GTEX-14PN4-1626-SM-6AJB5 50-59 years, male 116.0
GTEX-ZF3C-2026-SM-4WWB5 50-59 years, female 115.9
GTEX-QESD-0226-SM-447BH 20-29 years, male 115.8
GTEX-1S83E-1426-SM-EV7B8 40-49 years, male 115.8
GTEX-ZPCL-0726-SM-DO91S 60-69 years, female 115.8
GTEX-1S831-0626-SM-EV79N 20-29 years, male 115.7
GTEX-1N2EF-2126-SM-DPRYL 60-69 years, male 115.6
GTEX-ZAB4-1726-SM-5HL8C 40-49 years, male 115.3
GTEX-1LSNM-0726-SM-DHXL1 50-59 years, male 115.2
GTEX-14E6E-1426-SM-5RQI2 30-39 years, male 115.1
GTEX-132QS-0926-SM-5P9GB 60-69 years, male 114.9
GTEX-UJMC-1126-SM-3GADP 50-59 years, male 114.8
GTEX-16MT8-1726-SM-7EWE7 60-69 years, female 114.7
GTEX-13W3W-1026-SM-5IFG4 60-69 years, female 114.6
GTEX-13X6H-0626-SM-5LU53 50-59 years, female 114.6
GTEX-1KXAM-0226-SM-EV7AP 60-69 years, male 114.1
GTEX-14PJ3-0426-SM-6LLHF 50-59 years, male 113.5
GTEX-O5YT-1026-SM-3MJGF 20-29 years, male 113.5
GTEX-WHSB-0726-SM-4M1XQ 50-59 years, male 113.3
GTEX-11DXX-0926-SM-5H112 60-69 years, female 112.8
GTEX-QV44-0426-SM-4R1KF 50-59 years, male 112.8
GTEX-ZDTT-1126-SM-4WKFW 60-69 years, male 112.8
GTEX-1KANA-1526-SM-CXZKG 20-29 years, male 112.8
GTEX-ZYFG-0826-SM-5BC5T 60-69 years, female 112.7
GTEX-1QAET-1326-SM-E9U64 50-59 years, male 112.7
GTEX-Y8E4-1326-SM-5IFIY 40-49 years, male 112.4
GTEX-WHWD-0726-SM-4OORX 50-59 years, male 112.2
GTEX-178AV-0226-SM-793B7 40-49 years, male 112.0
GTEX-18A7A-1726-SM-7LT93 50-59 years, female 111.9
GTEX-PLZ6-0726-SM-3P619 30-39 years, male 111.9
GTEX-QEL4-1326-SM-447AD 50-59 years, male 111.9
GTEX-RM2N-0326-SM-48FD8 50-59 years, male 111.8
GTEX-ZPU1-0226-SM-4WWC9 40-49 years, male 111.6
GTEX-13SLX-1326-SM-5S2QS 50-59 years, female 111.5
GTEX-V1D1-0726-SM-4JBH7 50-59 years, male 111.2
GTEX-15RJ7-0826-SM-6LLI8 40-49 years, male 111.0
GTEX-15UF6-1826-SM-6LLI9 70-79 years, female 110.8
GTEX-1RAZA-1626-SM-EV79I 20-29 years, male 110.7
GTEX-1J8Q3-0626-SM-AHZ3V 60-69 years, male 110.5
GTEX-1S82P-1026-SM-EAZ4W 60-69 years, female 110.5
GTEX-1GZ4H-0626-SM-9OSXJ 50-59 years, female 110.4
GTEX-WFG7-0426-SM-4LMK5 20-29 years, male 110.0
GTEX-1122O-0726-SM-5GIEV 60-69 years, female 109.9
GTEX-ZYY3-0826-SM-5E44R 60-69 years, female 109.9
GTEX-18A6Q-1726-SM-7LT9A 60-69 years, male 109.8
GTEX-XPVG-0326-SM-4B653 50-59 years, male 109.5
GTEX-17F98-0426-SM-79ONZ 40-49 years, female 109.3
GTEX-1QP28-1026-SM-EAZ4K 50-59 years, female 109.3
GTEX-ZVP2-0726-SM-59HKY 50-59 years, male 109.1
GTEX-1GN1W-1126-SM-9OSW3 50-59 years, female 109.0
GTEX-1IL2U-2326-SM-CNNQV 60-69 years, male 108.9
GTEX-Y3IK-0426-SM-4WWE2 50-59 years, female 108.6
GTEX-1HSGN-1426-SM-A8NAA 40-49 years, female 108.5
GTEX-13YAN-2126-SM-5Q5C4 60-69 years, male 108.2
GTEX-Y5LM-0526-SM-4V6G3 40-49 years, female 108.1
GTEX-1A8FM-1826-SM-7MGXO 50-59 years, female 108.1
GTEX-1I4MK-1026-SM-AHZ2H 50-59 years, female 108.1
GTEX-1OKEX-1726-SM-E9U4F 60-69 years, male 108.0
GTEX-12BJ1-1126-SM-5EGGG 60-69 years, male 107.9
GTEX-1CAMS-1926-SM-7DUEU 40-49 years, female 107.8
GTEX-ZAB5-0826-SM-5P9FU 50-59 years, male 107.8
GTEX-1HKZK-1126-SM-9WG82 40-49 years, male 107.8
GTEX-WYJK-2426-SM-4ONDQ 50-59 years, male 107.4
GTEX-ZT9W-0926-SM-57WFS 50-59 years, male 107.2
GTEX-ZZPU-0726-SM-5N9C8 50-59 years, female 107.1
GTEX-11NSD-0526-SM-5A5LT 20-29 years, male 107.0
GTEX-12WSL-0426-SM-5GCNX 50-59 years, male 107.0
GTEX-V955-0326-SM-4JBGV 60-69 years, male 106.7
GTEX-YFCO-1026-SM-5LU9S 40-49 years, male 106.3
GTEX-14PKU-0626-SM-6EU1Q 40-49 years, female 105.8
GTEX-ZVT2-2026-SM-5NQ8Q 50-59 years, female 105.8
GTEX-1A3MW-1926-SM-7IGM8 60-69 years, female 105.6
GTEX-ZTPG-1026-SM-5DUWP 20-29 years, female 105.6
GTEX-15UKP-1326-SM-6LPI8 20-29 years, male 105.5
GTEX-12WSK-0226-SM-5BC62 40-49 years, female 105.3
GTEX-1GL5R-0926-SM-9JGFO 50-59 years, male 105.3
GTEX-P4QS-1026-SM-3NMCW 60-69 years, male 105.2
GTEX-WRHK-0226-SM-4MVOH 20-29 years, female 104.9
GTEX-ZPIC-0926-SM-4WWFK 40-49 years, female 104.7
GTEX-14PJ6-0926-SM-686ZA 60-69 years, female 104.5
GTEX-14PN3-0126-SM-6AJAU 60-69 years, female 104.4
GTEX-12WSG-1026-SM-5EGII 50-59 years, female 104.3
GTEX-ZDYS-2526-SM-4WKGU 50-59 years, male 104.0
GTEX-W5WG-0826-SM-4RGNE 50-59 years, female 103.5
GTEX-1AYCT-1226-SM-7EPGH 50-59 years, male 103.4
GTEX-YB5K-1826-SM-5IFJC 40-49 years, female 103.1
GTEX-17F9E-1426-SM-793BG 50-59 years, male 103.0
GTEX-WXYG-0826-SM-4ONC7 50-59 years, female 102.9
GTEX-11GSP-0426-SM-5A5KX 60-69 years, female 102.7
GTEX-1AX8Z-1726-SM-731DE 60-69 years, male 102.7
GTEX-ZG7Y-0326-SM-4WWEY 50-59 years, male 102.7
GTEX-1PBJI-2126-SM-DPRYG 20-29 years, female 102.5
GTEX-OOBJ-1026-SM-3NB2L 60-69 years, male 102.4
GTEX-XXEK-1726-SM-4BRVB 50-59 years, male 102.4
GTEX-Y114-0826-SM-4TT77 50-59 years, female 102.4
GTEX-UJHI-0626-SM-3DB8T 50-59 years, female 102.3
GTEX-15EU6-1126-SM-68721 50-59 years, male 102.2
GTEX-1399U-0926-SM-5IFHA 50-59 years, female 102.1
GTEX-17HHE-0526-SM-7DUGR 50-59 years, male 102.1
GTEX-1CB4F-1226-SM-7DHKU 60-69 years, male 102.1
GTEX-OXRK-1526-SM-E6CHJ 50-59 years, female 101.9
GTEX-QMRM-0326-SM-CKZNB 50-59 years, male 101.9
GTEX-QCQG-0426-SM-48U29 50-59 years, female 101.4
GTEX-146FR-0126-SM-5Q5F3 60-69 years, female 101.3
GTEX-PSDG-1526-SM-48TCY 50-59 years, male 101.0
GTEX-1CB4I-1326-SM-79OLY 50-59 years, male 100.7
GTEX-XBED-0226-SM-47JY8 60-69 years, male 99.9
GTEX-1399S-0326-SM-5IFFS 30-39 years, female 99.7
GTEX-S3XE-0526-SM-4AD4G 50-59 years, male 99.7
GTEX-WQUQ-2126-SM-4OOSO 60-69 years, male 99.7
GTEX-Q2AH-0926-SM-48TZK 40-49 years, male 99.4
GTEX-QV31-0226-SM-447BO 30-39 years, male 99.4
GTEX-ZP4G-0426-SM-4YCER 20-29 years, female 99.3
GTEX-131XG-1426-SM-5GCMO 50-59 years, female 99.1
GTEX-XMK1-0326-SM-4B652 40-49 years, male 99.1
GTEX-S95S-0726-SM-4B64H 60-69 years, male 99.0
GTEX-WH7G-0826-SM-4LVMR 40-49 years, male 99.0
GTEX-S33H-1226-SM-4AD69 30-39 years, male 98.9
GTEX-1K9T9-1726-SM-CXZK1 50-59 years, female 98.8
GTEX-1MGNQ-1226-SM-EV7BM 40-49 years, male 98.8
GTEX-RWS6-1126-SM-47JXC 60-69 years, female 98.6
GTEX-R55D-1426-SM-48FEN 50-59 years, male 98.4
GTEX-U8XE-2026-SM-3DB8S 30-39 years, male 98.0
GTEX-1211K-1126-SM-5EGGB 60-69 years, female 97.9
GTEX-S4P3-0626-SM-4AD59 50-59 years, female 97.8
GTEX-148VI-0826-SM-5TDDI 60-69 years, female 97.6
GTEX-Y8LW-1026-SM-5IFJY 50-59 years, female 97.6
GTEX-15SB6-0226-SM-6LLIA 50-59 years, female 97.2
GTEX-1C2JI-0926-SM-731F1 50-59 years, male 97.0
GTEX-QLQ7-0626-SM-CE6QX 60-69 years, male 97.0
GTEX-1B933-1726-SM-731FC 50-59 years, female 96.9
GTEX-R55G-0326-SM-48FDM 40-49 years, female 96.9
GTEX-PX3G-1026-SM-48TZW 20-29 years, female 96.8
GTEX-ZLFU-0726-SM-57WF6 40-49 years, male 96.8
GTEX-OHPL-1026-SM-3MJGI 60-69 years, female 96.7
GTEX-TML8-0526-SM-32QOQ 40-49 years, female 96.7
GTEX-13VXT-1226-SM-5LU3M 20-29 years, female 96.6
GTEX-14PJM-2126-SM-6AJAS 50-59 years, female 96.4
GTEX-1B8KE-0726-SM-72D7G 50-59 years, male 96.4
GTEX-1AYD5-0326-SM-7EWEO 50-59 years, male 96.3
GTEX-1B97J-1526-SM-79ONI 50-59 years, female 96.2
GTEX-145MO-2126-SM-5Q5CZ 60-69 years, male 96.1
GTEX-1L5NE-0826-SM-DHXKU 50-59 years, male 96.0
GTEX-1IDJD-0126-SM-C1YQZ 30-39 years, male 95.6
GTEX-14PK6-1026-SM-664NZ 70-79 years, female 95.0
GTEX-144GN-0826-SM-5LU5G 50-59 years, male 94.9
GTEX-X3Y1-0726-SM-3P5YU 40-49 years, male 94.9
GTEX-1I1GQ-2226-SM-B2LX1 50-59 years, male 94.9
GTEX-12WSN-0826-SM-5GCOF 40-49 years, male 94.7
GTEX-PW2O-0826-SM-48TC5 20-29 years, male 94.6
GTEX-YEC3-0626-SM-CMKFG 50-59 years, male 94.2
GTEX-TKQ2-0426-SM-4DXUO 50-59 years, male 94.0
GTEX-145ME-0326-SM-5S2QO 40-49 years, female 93.7
GTEX-14C39-1026-SM-73KWG 40-49 years, male 93.7
GTEX-QLQW-0326-SM-447A8 30-39 years, male 93.7
GTEX-1GN1U-1126-SM-9WPPZ 50-59 years, female 93.4
GTEX-WFJO-0626-SM-4LVMC 30-39 years, male 92.8
GTEX-WYVS-0926-SM-4SOJV 40-49 years, female 92.8
GTEX-S32W-0826-SM-4AD5Z 50-59 years, female 91.8
GTEX-SE5C-0326-SM-4BRWX 40-49 years, female 90.9
GTEX-TMMY-1326-SM-4DXU9 40-49 years, female 90.9
GTEX-XGQ4-0226-SM-4GIDS 50-59 years, male 90.4
GTEX-15SDE-0826-SM-6M463 50-59 years, female 90.3
GTEX-YEC4-1326-SM-5IFHG 40-49 years, male 90.2
GTEX-14PJN-1526-SM-6AJBP 30-39 years, male 90.1
GTEX-18A66-2126-SM-7189D 60-69 years, male 90.0
GTEX-ZV7C-0726-SM-59HKH 50-59 years, male 90.0
GTEX-VJYA-0826-SM-4KL1M 60-69 years, male 89.3
GTEX-14PKV-0926-SM-6AJB4 20-29 years, female 89.1
GTEX-11TT1-0326-SM-5LUAY 20-29 years, male 88.5
GTEX-1B996-1326-SM-731EO 60-69 years, male 88.0
GTEX-11LCK-0226-SM-5A5M6 30-39 years, male 87.7
GTEX-VUSG-0326-SM-3GIJ7 50-59 years, male 87.4
GTEX-1AX9J-1726-SM-731FF 60-69 years, male 87.0
GTEX-ZC5H-0826-SM-5N9FH 40-49 years, female 86.9
GTEX-131XF-1426-SM-5BC68 60-69 years, male 86.8
GTEX-U4B1-0726-SM-4DXUA 40-49 years, male 86.5
GTEX-1AMFI-0726-SM-731D9 50-59 years, female 85.9
GTEX-11ONC-0526-SM-5BC57 60-69 years, male 85.6
GTEX-111CU-0526-SM-5EGHK 50-59 years, male 85.3
GTEX-SUCS-1426-SM-4DM5W 70-79 years, male 85.3
GTEX-P4PP-1026-SM-3NM9O 30-39 years, female 85.0
GTEX-15DYW-1626-SM-6LLI1 60-69 years, female 84.8
GTEX-OIZI-1526-SM-E6CHI 40-49 years, male 84.5
GTEX-1B932-1626-SM-731EA 40-49 years, female 83.9
GTEX-WI4N-1826-SM-4OOSF 40-49 years, female 83.7
GTEX-1H23P-2026-SM-9OSXY 60-69 years, male 82.9
GTEX-1C4CL-0926-SM-79OL2 30-39 years, male 82.7
GTEX-14PJO-1826-SM-69LPR 60-69 years, male 82.0
GTEX-13FH7-1426-SM-5IFIC 50-59 years, female 81.2
GTEX-12WSD-1626-SM-5GCNR 60-69 years, female 80.4
GTEX-1B8KZ-0926-SM-731D7 50-59 years, male 79.9
GTEX-ZAK1-2326-SM-5CVMY 50-59 years, female 76.8
GTEX-1NUQO-0826-SM-DPS16 20-29 years, female 71.9
GTEX-X5EB-0526-SM-46MVP 40-49 years, male 69.2
GTEX-1J8EW-1926-SM-CGQGR 60-69 years, female 60.9
GTEX-14BMU-0726-SM-73KXS 20-29 years, female 53.4
Show allShow less

PANCREAS - FANTOM5 CAGEi

RNA expression in human tissues obtained through Cap Analysis of Gene Expression (CAGE) generated by the FANTOM5 project are reported as Scaled Tags Per Million.

Max subtype Scaled Tags Per Millioni

Max subtype Scaled Tags Per Million is the value for the subtype with the largest average Scaled Tags Per Million across the subtype samples.

390.8
FANTOM5 sample id Sample description Scaled Tags Per Million
Pancreas
Scaled Tags Per Million: 390.8
FF:10049-101G4 52 years, male 390.8

Contact

  • NEWS ARTICLES
  • PRESS ROOM

The Project

  • INTRODUCTION
  • ORGANIZATION
  • PUBLICATIONS

The Human Protein Atlas

  • DOWNLOADABLE DATA
  • LICENCE & CITATION
  • HELP & FAQ
The Human Protein Atlas project is funded
by the Knut & Alice Wallenberg Foundation.


contact@proteinatlas.org