We use cookies to enhance the usability of our website. If you continue, we'll assume that you are happy to receive all cookies. More information. Don't show this again.
SOD1
HPA
RESOURCES
  • TISSUE
  • BRAIN
  • SINGLE CELL
  • SUBCELLULAR
  • CANCER
  • BLOOD
  • CELL LINE
  • STRUCTURE & INTERACTION
ABOUT
  • INTRODUCTION
  • HISTORY
  • ORGANIZATION
  • PUBLICATIONS
  • ANTIBODY SUBMISSION
  • ANTIBODY AVAILABILITY
  • ACKNOWLEDGMENTS
  • CONTACT
NEWS
  • NEWS ARTICLES
  • PRESS ROOM
LEARN
  • DICTIONARY
  • PROTEIN CLASSES
  • PROTEIN EVIDENCE
  • METHODS
  • EDUCATIONAL VIDEOS
DATA
  • DOWNLOADABLE DATA
  • PUBLICATION DATA
  • RELEASE HISTORY
HELP
  • ANTIBODY VALIDATION
  • ASSAYS & ANNOTATION
  • DISCLAIMER
  • HELP & FAQ
  • PRIVACY STATEMENT
  • LICENCE & CITATION
Fields »
Search result

Field
Term
Gene name
Class
Subclass
Class
Keyword
Chromosome
External id
Tissue
Cell type
Expression
Antibody panel
Tissue
Main location
Patient ID
Annotation
Tissue
Category
Tau score
Cluster
Reliability
Brain region
Category
Tau score
Brain region
Category
Tau score
Brain region
Category
Tau score
Cluster
Reliability
Tissue
Cell type
Enrichment
Cell type
Category
Tau score
Cell type
Category
Tau score
Cell type
Category
Tau score
Cell lineage
Category
Tau score
Cluster
Cluster
Location
Searches
Location
Cell line
Class
Type
Phase
Reliability
Cancer
Prognosis
Cancer
Category
Cancer
Category
Tau score
Cluster
Variants
Interacting gene (ensg_id)
Type
Number of interactions
Pathway
Category
Score
Score
Score
Validation
Validation
Validation
Validation
Antibodies
Data type
Column


  • SUMMARY

  • TISSUE

  • BRAIN

  • SINGLE CELL

  • SUBCELL

  • CANCER

  • BLOOD

  • CELL LINE

  • STRUCT & INT

  • SOD1
TISSUE PRIMARY DATA SKIN Show tissue menu
ADIPOSE TISSUE ADRENAL GLAND AMYGDALA APPENDIX BASAL GANGLIA BONE MARROW BREAST BRONCHUS CEREBELLUM CEREBRAL CORTEX CERVIX CHOROID PLEXUS COLON DUODENUM
ENDOMETRIUM EPIDIDYMIS ESOPHAGUS FALLOPIAN TUBE GALLBLADDER HEART MUSCLE HIPPOCAMPAL FORMATION HYPOTHALAMUS KIDNEY LIVER LUNG LYMPH NODE MIDBRAIN NASOPHARYNX
ORAL MUCOSA OVARY PANCREAS PARATHYROID GLAND PITUITARY GLAND PLACENTA PROSTATE RECTUM RETINA SALIVARY GLAND SEMINAL VESICLE SKELETAL MUSCLE SKIN SMALL INTESTINE
SMOOTH MUSCLE SOFT TISSUE SPINAL CORD SPLEEN STOMACH TESTIS THYMUS THYROID GLAND TONGUE TONSIL URINARY BLADDER VAGINA
ANTIBODIES
AND
VALIDATION
Dictionary
Skin
Tissue proteome
Skin
SKIN - Expression summary
Protein expression
Skini

On the top, protein expression in current human tissue, based on all annotated cell types, is reported with the units not detected (n), low (l), medium (m) and high (h). Underneath, protein expression in each annotated cell type are reported using the same units.

Protein expression data is based on knowledge-based annotation. For genes where more than one antibody has been used, a collective score is set.

If knowledge-based annotation could not be performed for a gene, no data is displayed here. View antibody staining data further down this page.

h
m
l
n
Arrector pili muscle cells: Not detected
Cells in basal layer: Medium
Cells in corneal layer: Not detected
Cells in granular layer: Low
Cells in spinous layer: Low
Eccrine glands: Low
Endothelial cells: Medium
Extracellular matrix: Not detected
Fibrohistiocytic cells: Medium
Langerhans cells: Low
Lymphocytes: Medium
Melanocytes: Low
Vascular mural cells: Medium
RNA expressioni

A summary of mRNA expression data available for current tissue based on several datasets. The mRNA expression levels in human tissues are based on RNA-seq data generated by the Human Protein Atlas (HPA), Genotype-Tissue Expression (GTEx) portal and CAGE data generated by the FANTOM5 consortium. Consensus normalized expression levels for human tissues was created by combining the data from HPA and GTEx datasets.

The mRNA expression levels in pig are based on RNA-seq data generated by the Human Protein Atlas (HPA), and for mouse, HPA data and in situ hybridization generated by the Allen brain atlas are reported.

Scroll down to view mRNA expression data in more detail.
Consensus:147.4 nTPM
HPA:113.7 nTPM
GTEx:147.4 nTPM

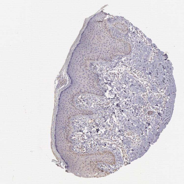
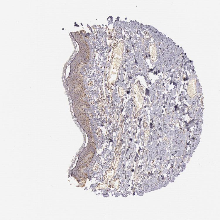
SKIN 1 - Antibody stainingi

Antibody staining in the annotated cell types in the current human tissue is reported as not detected, low, medium, or high, based on conventional immunohistochemistry profiling in selected tissues. This score is based on the combination of the staining intensity and fraction of stained cells.

Each image is clickable and will lead to virtual microscopy that enables deeper exploration of all samples and also displays staining intensity scores, fraction scores and subcellular localization as well as patient and tissue information for each sample.

Antibody HPA001401Antibody CAB008670
Langerhans -Medium
Arrector pili muscle cells Not detected-
Cells in basal layer Medium-
Cells in corneal layer Not detected-
Cells in granular layer Low-
Cells in spinous layer Low-
Endothelial cells Medium-
Extracellular matrix Not detected-
Fibroblasts -Medium
Fibrohistiocytic cells Medium-
Keratinocytes -Medium
Langerhans cells Low-
Lymphocytes Medium-
Melanocytes LowMedium
Vascular mural cells Medium-


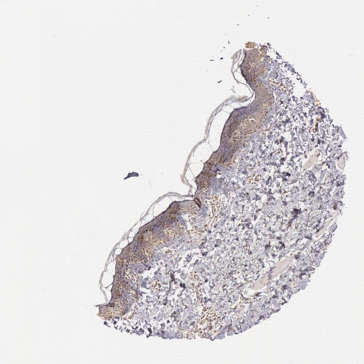
SKIN 2 - Antibody stainingi

Antibody staining in the annotated cell types in the current human tissue is reported as not detected, low, medium, or high, based on conventional immunohistochemistry profiling in selected tissues. This score is based on the combination of the staining intensity and fraction of stained cells.

Each image is clickable and will lead to virtual microscopy that enables deeper exploration of all samples and also displays staining intensity scores, fraction scores and subcellular localization as well as patient and tissue information for each sample.

Antibody HPA001401Antibody CAB008670
Cells in basal layer Low-
Cells in corneal layer Not detected-
Cells in granular layer Not detected-
Cells in spinous layer Not detected-
Eccrine glands Low-
Endothelial cells Low-
Epidermal cells -Medium
Extracellular matrix Not detected-
Fibrohistiocytic cells Medium-
Langerhans cells Not detected-
Lymphocytes Low-
Melanocytes Not detected-
Vascular mural cells Not detected-
  
  




SKIN - HPA RNA-seqi

The RNA-seq details section shows detailed information about the individual samples used for the transcript profiling and results of the RNA-seq analysis.

Information about each individual sample is listed below, including gender, age, a tissue section image and estimated fractions of cell types. nTPM (normalized transcripts per million) values give a quantification of the gene abundance which is comparable between different genes and samples.
Average nTPMi

Max subtype nTPM is the value for the subtype with the largest average nTPM across the subtype samples.

113.7
overview
Female, age 34
Skin sample 225
nTPM: 119.1
Cell types%
Keratinocytes:
60

Other cell types:
40

overview
Female, age 30
Skin sample 226
nTPM: 104.5
Cell types%
Keratinocytes:
55

Other cell types:
45

N/A
Male, age 57
Skin sample 227
nTPM: 117.4

SKIN - GTEx RNA-seqi

RNA-Seq data generated by the Genotype-Tissue Expression (GTEx) project from human tissues is reported as mean nTPM. More information can be found on the GTEx portal.

Distribution across the dataset is visualized with box plots, shown as median and 25th and 75th percentiles. Points are displayed as outliers if they are above or below 1.5 times the interquartile range. nTPM values of the individual samples are presented next to the box plot.
Max subtype nTPMi

Max subtype nTPM is the value for the subtype with the largest average nTPM across the subtype samples.

147.4
GTEx sample id Sample description nTPM
Skin - Not Sun Exposed (Suprapubic)
Average nTPM: 147.4
Samples: 604

Max nTPM: 246.2
Min nTPM: 84.0
Std nTPM: 24.5
Median nTPM: 144.5
GTEX-ZF3C-0626-SM-DO92O 50-59 years, female 246.2
GTEX-11DYG-1526-SM-5A5JS 60-69 years, male 244.4
GTEX-1E2YA-2126-SM-7MXUO 50-59 years, male 231.3
GTEX-146FQ-2126-SM-5RQHU 30-39 years, male 227.7
GTEX-1PIGE-1826-SM-E8VOU 20-29 years, male 223.9
GTEX-YB5K-2026-SM-4VDT3 40-49 years, female 223.0
GTEX-ZYW4-0626-SM-59HJR 60-69 years, male 222.7
GTEX-16YQH-2226-SM-7IGM2 30-39 years, male 217.9
GTEX-Y114-2126-SM-4TT8B 50-59 years, female 213.0
GTEX-WH7G-2026-SM-3NMBL 40-49 years, male 209.0
GTEX-13YAN-0226-SM-5TDC6 60-69 years, male 208.7
GTEX-1HSMP-0926-SM-A9SKX 70-79 years, male 205.7
GTEX-14A5H-0826-SM-5QGPJ 60-69 years, male 205.2
GTEX-1497J-0226-SM-5QGPU 60-69 years, male 203.9
GTEX-11OF3-0126-SM-5PNYF 60-69 years, male 203.2
GTEX-XYKS-1426-SM-4BRUO 60-69 years, female 202.7
GTEX-11DZ1-2426-SM-5GZZX 50-59 years, male 202.6
GTEX-1HCU6-2526-SM-ADEHL 60-69 years, female 199.4
GTEX-WXYG-2026-SM-4E3IY 50-59 years, female 199.1
GTEX-15DYW-2726-SM-6EU2I 60-69 years, female 197.3
GTEX-Y5V6-2326-SM-4VDSA 60-69 years, male 196.9
GTEX-1H1DG-2426-SM-9QEHJ 70-79 years, male 196.7
GTEX-14A6H-2026-SM-5Q5DD 30-39 years, male 195.2
GTEX-Y3IK-1626-SM-4YCF5 50-59 years, female 194.9
GTEX-145MG-1526-SM-5Q5EM 50-59 years, male 194.0
GTEX-15RIG-0726-SM-7KUM7 40-49 years, male 193.3
GTEX-15RIE-1926-SM-7KUKJ 60-69 years, male 192.9
GTEX-18A6Q-0626-SM-7KFRP 60-69 years, male 192.9
GTEX-1H1CY-0126-SM-9YFLY 60-69 years, female 192.3
GTEX-15SHW-0226-SM-7LTAT 60-69 years, male 191.3
GTEX-1H1ZS-2726-SM-9WG75 70-79 years, male 191.3
GTEX-13112-0126-SM-5P9IU 50-59 years, male 191.0
GTEX-ZAJG-1526-SM-5CVML 50-59 years, female 190.1
GTEX-13RTJ-0126-SM-5S2NN 60-69 years, male 189.6
GTEX-1LVA9-2626-SM-EVYD4 50-59 years, male 189.2
GTEX-1HFI6-0126-SM-CNPPI 40-49 years, male 189.1
GTEX-UPK5-0426-SM-3GAEK 40-49 years, male 188.9
GTEX-11TT1-1826-SM-5EQLV 20-29 years, male 188.8
GTEX-1N2DV-1526-SM-DTXEP 40-49 years, male 188.2
GTEX-ZTX8-1326-SM-4YCEL 20-29 years, male 187.4
GTEX-ZT9X-1526-SM-5DUXD 40-49 years, male 186.0
GTEX-13PL6-1126-SM-5L3IE 40-49 years, female 185.8
GTEX-139TS-2126-SM-5K7XC 60-69 years, male 185.4
GTEX-1JN1M-2726-SM-CY8I4 60-69 years, female 185.3
GTEX-145ME-1726-SM-5Q5EU 40-49 years, female 184.9
GTEX-148VJ-0626-SM-5LUAW 70-79 years, male 184.4
GTEX-139UW-0326-SM-5J1ML 60-69 years, male 184.1
GTEX-1OJC3-1226-SM-DTXER 20-29 years, male 184.1
GTEX-13IVO-0726-SM-5LZYV 70-79 years, male 184.0
GTEX-13FTY-2126-SM-5IFFB 40-49 years, female 183.4
GTEX-14E6C-2426-SM-5S2NF 40-49 years, male 183.4
GTEX-15G19-2426-SM-7KUMR 60-69 years, male 183.4
GTEX-13N11-2326-SM-5IJBF 50-59 years, female 183.2
GTEX-1IKOE-1426-SM-CE6T7 30-39 years, female 182.1
GTEX-1HR98-2226-SM-ADEI2 60-69 years, male 182.0
GTEX-1QP66-1226-SM-DTX7U 50-59 years, male 182.0
GTEX-14PJ3-1126-SM-5ZZVX 50-59 years, male 181.6
GTEX-1NSGN-0726-SM-DTXEF 50-59 years, male 181.6
GTEX-1EX96-1026-SM-7MKG2 50-59 years, male 181.5
GTEX-1117F-2926-SM-5GZYI 60-69 years, female 180.6
GTEX-117YX-1926-SM-5GIEC 50-59 years, male 180.2
GTEX-1PBJJ-1026-SM-E76OS 30-39 years, male 180.1
GTEX-12WSL-2026-SM-5GCML 50-59 years, male 180.0
GTEX-131XH-0126-SM-5LZUY 50-59 years, male 179.8
GTEX-1QP9N-1226-SM-E76QN 30-39 years, male 179.1
GTEX-ZYT6-2326-SM-5GZY3 30-39 years, male 178.8
GTEX-1J8QM-2426-SM-A9SLS 60-69 years, female 178.7
GTEX-XBEW-1126-SM-4QARW 40-49 years, male 178.3
GTEX-16MT9-0126-SM-7EPI8 60-69 years, female 178.2
GTEX-17MFQ-1526-SM-7KFRR 20-29 years, male 177.5
GTEX-14E1K-2026-SM-7DUEI 50-59 years, male 177.2
GTEX-13NYB-0126-SM-5J1MD 40-49 years, male 176.6
GTEX-W5X1-2526-SM-3GILC 40-49 years, female 176.6
GTEX-11PRG-0726-SM-5EGL1 50-59 years, male 176.5
GTEX-13X6H-0926-SM-5SIB2 50-59 years, female 176.5
GTEX-14DAR-1226-SM-73KYV 50-59 years, male 176.5
GTEX-15RJ7-2126-SM-6PAMD 40-49 years, male 176.2
GTEX-15SKB-2826-SM-6PAMH 60-69 years, male 175.6
GTEX-1JMQK-1226-SM-D4P2S 60-69 years, male 175.6
GTEX-ZXG5-2126-SM-59HKD 60-69 years, male 175.5
GTEX-1399R-1326-SM-5PNYS 30-39 years, male 174.7
GTEX-WFG7-2026-SM-5SI7P 20-29 years, male 174.5
GTEX-ZE7O-2726-SM-51MT5 50-59 years, female 174.5
GTEX-13SLX-2226-SM-62LEP 50-59 years, female 174.4
GTEX-13FTX-1526-SM-5K7VJ 20-29 years, female 174.3
GTEX-ZPU1-1126-SM-4YCF3 40-49 years, male 173.6
GTEX-1C6WA-2626-SM-7MKGM 60-69 years, male 173.3
GTEX-1I1GP-1326-SM-A9G28 50-59 years, male 173.1
GTEX-11WQC-1826-SM-5GU59 60-69 years, male 173.0
GTEX-12126-0826-SM-5FQTZ 20-29 years, male 173.0
GTEX-11EM3-1226-SM-5N9DD 20-29 years, female 172.7
GTEX-11P7K-1126-SM-5HL4L 30-39 years, male 172.6
GTEX-12WSD-0626-SM-5GCMW 60-69 years, female 172.6
GTEX-11EQ8-0926-SM-5H12V 60-69 years, male 171.9
GTEX-ZVE1-0726-SM-51MRN 50-59 years, female 171.6
GTEX-1KANC-1226-SM-CYPT7 50-59 years, female 171.4
GTEX-13O61-1426-SM-5KM3D 60-69 years, male 171.3
GTEX-1F6RS-2026-SM-7RHHC 60-69 years, female 171.0
GTEX-14ICL-1626-SM-5YYAO 30-39 years, male 170.8
GTEX-15DDE-2926-SM-6LLJ3 50-59 years, female 170.8
GTEX-1313W-0626-SM-5EQ4H 50-59 years, female 170.3
GTEX-1O9I2-0226-SM-EYYXD 50-59 years, male 170.3
GTEX-YF7O-1526-SM-5IFI6 50-59 years, male 170.1
GTEX-ZYFC-0426-SM-5GICQ 50-59 years, male 170.1
GTEX-1GMRU-2126-SM-7P8RA 50-59 years, male 169.3
GTEX-1LGOU-1326-SM-D3L8M 20-29 years, female 169.0
GTEX-XQ8I-0926-SM-4BOOF 50-59 years, male 168.8
GTEX-1GN73-0726-SM-7P8TJ 60-69 years, male 168.8
GTEX-1I19N-0126-SM-CYPSF 70-79 years, male 168.8
GTEX-1QCLY-0226-SM-EWRNH 30-39 years, male 168.8
GTEX-11DXY-0126-SM-5H11Q 60-69 years, male 168.6
GTEX-1RAZR-2126-SM-E9U6T 40-49 years, male 168.6
GTEX-1BAJH-2426-SM-7IGP8 70-79 years, male 168.5
GTEX-14BMV-2826-SM-5TDED 50-59 years, male 168.0
GTEX-X8HC-0626-SM-4E3HQ 50-59 years, female 167.9
GTEX-14PHX-2226-SM-6EU2P 50-59 years, male 167.8
GTEX-1QW4Y-1126-SM-DTXE3 30-39 years, male 167.6
GTEX-1IDJE-1426-SM-ADEIW 50-59 years, female 167.4
GTEX-14C38-0726-SM-5SI6M 50-59 years, male 167.3
GTEX-13FLV-0126-SM-5K7WT 50-59 years, male 167.2
GTEX-11ZUS-2626-SM-5FQUR 30-39 years, male 166.3
GTEX-WFG8-2126-SM-3GIKQ 20-29 years, male 166.3
GTEX-1RAZS-2526-SM-E6CHT 50-59 years, male 166.2
GTEX-15ER7-0626-SM-6PANF 20-29 years, female 166.1
GTEX-1211K-1526-SM-5FQU4 60-69 years, female 166.0
GTEX-16BQI-1326-SM-6M486 30-39 years, female 165.9
GTEX-1RB15-1326-SM-E76Q9 60-69 years, male 165.3
GTEX-11DXX-2126-SM-5PNYR 60-69 years, female 164.9
GTEX-17F97-2626-SM-7IGM5 50-59 years, male 164.9
GTEX-ZF29-0926-SM-4WKFZ 60-69 years, female 164.8
GTEX-1LKK1-2626-SM-DKPQE 50-59 years, female 164.7
GTEX-WEY5-2326-SM-3GIKK 40-49 years, female 164.6
GTEX-ZYVF-0926-SM-5E44J 50-59 years, female 164.6
GTEX-1F75A-0726-SM-7RHHD 50-59 years, male 164.6
GTEX-1HC8U-1326-SM-9YFMJ 40-49 years, female 164.6
GTEX-144FL-0626-SM-5LU43 50-59 years, male 164.3
GTEX-14753-0726-SM-5QGQO 60-69 years, male 164.2
GTEX-XK95-0226-SM-4AT58 40-49 years, male 164.2
GTEX-14LZ3-0126-SM-69LPM 60-69 years, female 164.0
GTEX-X3Y1-2026-SM-3P5YM 40-49 years, male 164.0
GTEX-145MI-0626-SM-5SI8S 60-69 years, female 163.9
GTEX-1A8FM-0626-SM-7PC25 50-59 years, female 163.6
GTEX-11NSD-0626-SM-5A5LU 20-29 years, male 163.5
GTEX-1IKJJ-2226-SM-CJI4C 60-69 years, male 163.2
GTEX-12WSH-1526-SM-5BC5W 50-59 years, male 163.0
GTEX-ZAK1-0626-SM-5HL8E 50-59 years, female 162.9
GTEX-1H11D-1826-SM-9QEHM 40-49 years, male 162.6
GTEX-13113-1626-SM-5EQ4I 60-69 years, female 162.5
GTEX-111VG-1626-SM-5EGIO 60-69 years, male 162.2
GTEX-ZE9C-2526-SM-5IJDR 60-69 years, male 162.2
GTEX-1JMQL-2226-SM-CNPP4 50-59 years, female 162.1
GTEX-12WSK-2126-SM-5CVNC 40-49 years, female 162.0
GTEX-18A7B-2726-SM-7LG56 70-79 years, male 162.0
GTEX-13PVR-0426-SM-5RQK2 60-69 years, female 161.7
GTEX-1LG7Y-2526-SM-EWRO7 50-59 years, male 161.7
GTEX-1399Q-2326-SM-5KM2X 40-49 years, male 161.5
GTEX-ZF2S-1626-SM-57WES 50-59 years, female 161.5
GTEX-ZVT4-2426-SM-5GIEI 50-59 years, female 160.5
GTEX-ZVZP-1226-SM-5GID7 50-59 years, male 160.3
GTEX-XXEK-1626-SM-4BRUZ 50-59 years, male 160.2
GTEX-13VXT-1926-SM-5K7UO 20-29 years, female 160.1
GTEX-17EVQ-0126-SM-7IGLR 70-79 years, male 160.1
GTEX-13NYC-0126-SM-5L3F4 60-69 years, male 160.0
GTEX-144GO-2026-SM-5O99P 60-69 years, male 160.0
GTEX-ZC5H-1526-SM-5HL9Y 40-49 years, female 160.0
GTEX-11VI4-1126-SM-5EQMD 40-49 years, female 159.7
GTEX-131XW-0626-SM-5PNVD 50-59 years, female 159.6
GTEX-18A66-0626-SM-7LT8Z 60-69 years, male 159.6
GTEX-YEC4-1826-SM-4W1YP 40-49 years, male 159.6
GTEX-1CAMR-1326-SM-7PC1F 20-29 years, male 159.6
GTEX-145MH-2826-SM-5RQJF 50-59 years, male 159.5
GTEX-13JVG-0726-SM-5KM16 60-69 years, male 158.9
GTEX-1PPH8-0126-SM-EWRN8 20-29 years, male 158.7
GTEX-147GR-2426-SM-5ZZWQ 60-69 years, male 158.6
GTEX-1QMI2-2526-SM-E8VNZ 60-69 years, male 158.3
GTEX-16AAH-0626-SM-793C9 50-59 years, male 158.2
GTEX-XMD2-2126-SM-4YCF8 60-69 years, female 158.1
GTEX-1HBPI-2126-SM-ARL9K 50-59 years, male 158.1
GTEX-14JFF-0626-SM-5ZZVT 60-69 years, male 157.9
GTEX-1C64N-2626-SM-7PC2N 50-59 years, male 157.8
GTEX-12584-0726-SM-5FQTK 40-49 years, male 157.6
GTEX-12ZZX-2426-SM-5GCOE 40-49 years, female 157.6
GTEX-12KS4-2126-SM-5FQUT 30-39 years, male 157.5
GTEX-XAJ8-1426-SM-47JYM 40-49 years, male 157.5
GTEX-ZUA1-2626-SM-5NQ92 40-49 years, male 157.3
GTEX-1HCUA-0826-SM-ADEHM 50-59 years, female 156.7
GTEX-1POEN-2326-SM-E9J2L 30-39 years, female 156.5
GTEX-1H3O1-1326-SM-9MQLD 60-69 years, male 156.3
GTEX-1H3VE-0726-SM-9YFL5 40-49 years, male 156.3
GTEX-1HSMO-0626-SM-ACKXC 60-69 years, male 156.2
GTEX-X585-2426-SM-46MW2 50-59 years, male 156.1
GTEX-1MCC2-1826-SM-DIPEX 30-39 years, female 156.1
GTEX-111FC-2526-SM-5GZXU 60-69 years, male 156.0
GTEX-15EU6-2226-SM-6EU2L 50-59 years, male 155.9
GTEX-133LE-2326-SM-5K7W3 20-29 years, female 155.7
GTEX-18D9B-0926-SM-7LG4U 60-69 years, male 155.7
GTEX-16GPK-0626-SM-7KFSF 60-69 years, male 155.5
GTEX-11DXW-0826-SM-5H118 40-49 years, male 155.2
GTEX-1RAZA-2226-SM-E9U4X 20-29 years, male 155.1
GTEX-15UF6-1926-SM-7KUDV 70-79 years, female 154.9
GTEX-183WM-0326-SM-72D5V 70-79 years, female 154.9
GTEX-WI4N-2726-SM-3LK7Y 40-49 years, female 154.9
GTEX-1S82U-1026-SM-E6CJK 30-39 years, female 154.7
GTEX-1GTWX-2026-SM-9YFLM 60-69 years, male 154.4
GTEX-Y111-0626-SM-4SOIT 50-59 years, male 154.3
GTEX-1AYD5-2626-SM-7PBXY 50-59 years, male 154.1
GTEX-17F9E-2326-SM-79OKD 50-59 years, male 154.0
GTEX-13N1W-2426-SM-5IJD1 70-79 years, male 153.8
GTEX-13O3O-2326-SM-5IJD6 60-69 years, female 153.7
GTEX-13X6K-0626-SM-5LU5D 60-69 years, female 153.6
GTEX-145MF-0926-SM-5Q5EA 50-59 years, male 153.6
GTEX-15EO6-2426-SM-6PALZ 50-59 years, male 153.4
GTEX-1GZ4I-2626-SM-9KNU3 50-59 years, male 153.0
GTEX-14ABY-2026-SM-62LDL 50-59 years, male 152.9
GTEX-1F48J-0726-SM-7RHGS 50-59 years, female 152.9
GTEX-XOT4-0626-SM-4B66L 60-69 years, female 152.8
GTEX-12WSF-1626-SM-7KUG5 70-79 years, male 152.7
GTEX-1S3DN-2126-SM-E9TIN 50-59 years, male 152.7
GTEX-13OVL-0126-SM-5L3GJ 50-59 years, male 152.6
GTEX-1L5NE-1126-SM-D3L9P 50-59 years, male 152.6
GTEX-147F3-1726-SM-5SIAW 50-59 years, female 152.4
GTEX-14PJO-2526-SM-6AJBQ 60-69 years, male 152.2
GTEX-1LSVX-2526-SM-DIPEU 60-69 years, male 152.2
GTEX-1F6I4-2326-SM-7RHGL 60-69 years, male 152.1
GTEX-11ZU8-0126-SM-5EQ58 60-69 years, male 152.0
GTEX-1H4P4-2126-SM-9WYSL 50-59 years, male 152.0
GTEX-1JMQJ-0826-SM-CNPP7 50-59 years, male 152.0
GTEX-1JN76-0626-SM-CKZOQ 20-29 years, female 152.0
GTEX-14PJ5-1526-SM-6LLIL 60-69 years, female 151.9
GTEX-YECK-0326-SM-4W1YS 60-69 years, male 151.9
GTEX-12BJ1-0926-SM-5EQ62 60-69 years, male 151.8
GTEX-18D9A-1426-SM-7LT8M 30-39 years, female 151.8
GTEX-XBED-1926-SM-47JYP 60-69 years, male 151.7
GTEX-14C39-1726-SM-5RQIL 40-49 years, male 151.6
GTEX-ZTTD-2826-SM-4YCFA 50-59 years, male 151.5
GTEX-13OW5-2326-SM-5L3HO 60-69 years, male 151.4
GTEX-14BIN-1126-SM-5RQJZ 50-59 years, female 151.4
GTEX-1CAV2-0126-SM-7IGN7 40-49 years, female 151.3
GTEX-11EQ9-1626-SM-5PNY8 30-39 years, male 150.9
GTEX-13FH7-1126-SM-5K7UG 50-59 years, female 150.9
GTEX-13OVJ-0826-SM-5J1OK 50-59 years, female 150.9
GTEX-ZGAY-1826-SM-DO91Q 40-49 years, female 150.9
GTEX-11NUK-2726-SM-5A5MC 50-59 years, male 150.8
GTEX-15G1A-1626-SM-7KUKN 30-39 years, male 150.7
GTEX-11P82-1426-SM-DTXFY 20-29 years, male 150.7
GTEX-12696-0126-SM-5EQ4L 60-69 years, male 150.5
GTEX-Z93S-1626-SM-5CVMB 50-59 years, male 150.5
GTEX-1GN1U-0626-SM-9MQL9 50-59 years, female 150.5
GTEX-14AS3-1526-SM-5Q5ED 40-49 years, female 150.3
GTEX-1AX9J-1326-SM-731BJ 60-69 years, male 150.2
GTEX-1EMGI-2326-SM-7PBYA 60-69 years, male 150.2
GTEX-17F98-1326-SM-7DUEP 40-49 years, female 150.1
GTEX-ZU9S-1826-SM-5NQ9E 30-39 years, male 149.9
GTEX-1R9PM-1926-SM-EVR3O 20-29 years, male 149.9
GTEX-1RLM8-2926-SM-E8VON 50-59 years, male 149.9
GTEX-14XAO-1226-SM-6EU1C 60-69 years, female 149.8
GTEX-131XG-0326-SM-5L3DX 50-59 years, female 149.3
GTEX-1JMPZ-0726-SM-CY8HZ 30-39 years, male 149.1
GTEX-1JJ6O-2726-SM-CNPOG 60-69 years, male 148.8
GTEX-11UD2-2526-SM-5CVNU 50-59 years, male 148.7
GTEX-X4EO-2926-SM-4E3JH 60-69 years, female 148.7
GTEX-1122O-1026-SM-9WYSF 60-69 years, female 148.7
GTEX-132AR-0326-SM-5KM2C 50-59 years, female 148.6
GTEX-139D8-1126-SM-5LU8W 30-39 years, female 148.5
GTEX-11O72-0626-SM-5PNYE 40-49 years, male 148.3
GTEX-1GN1V-2826-SM-9JGIA 60-69 years, male 148.3
GTEX-145MN-1526-SM-5SI9T 30-39 years, male 148.2
GTEX-ZDYS-2426-SM-4WKGI 50-59 years, male 148.2
GTEX-1QCLZ-2426-SM-EVYBW 60-69 years, female 148.2
GTEX-14JG1-1526-SM-5YY9X 40-49 years, male 147.8
GTEX-ZLWG-0826-SM-59888 50-59 years, female 147.7
GTEX-1HCU9-0426-SM-9WYSD 20-29 years, male 147.6
GTEX-139TT-2126-SM-5LZWC 60-69 years, male 147.5
GTEX-1EKGG-0626-SM-7DUGJ 60-69 years, male 147.5
GTEX-XQ3S-1426-SM-4BOPR 20-29 years, male 147.5
GTEX-13SLW-0626-SM-5Q5ER 70-79 years, male 147.4
GTEX-13X6I-1826-SM-5SIAO 60-69 years, male 147.4
GTEX-ZVTK-0226-SM-51MRG 20-29 years, male 147.4
GTEX-111YS-1526-SM-5GZYW 60-69 years, male 147.0
GTEX-1KANB-2826-SM-CY8I6 50-59 years, male 147.0
GTEX-1H1DF-1126-SM-9WG7G 40-49 years, female 146.9
GTEX-YFCO-1226-SM-5LUAT 40-49 years, male 146.7
GTEX-1MJK3-0726-SM-E6CJC 20-29 years, male 146.7
GTEX-1PPGY-1626-SM-EVYBL 60-69 years, male 146.7
GTEX-ZT9W-1126-SM-57WDR 50-59 years, male 146.4
GTEX-1ICG6-1226-SM-A9SLN 70-79 years, female 146.4
GTEX-139TU-0726-SM-5L3EK 60-69 years, male 146.1
GTEX-14PHY-1226-SM-5ZZWK 60-69 years, female 146.1
GTEX-1B97I-0626-SM-73KUZ 40-49 years, male 146.1
GTEX-1IDFM-0326-SM-ARL7V 60-69 years, male 145.9
GTEX-14JG6-1426-SM-9WG7C 30-39 years, female 145.8
GTEX-1HUB1-1426-SM-CGQF5 60-69 years, male 145.7
GTEX-1GZ2Q-0126-SM-9WG6M 40-49 years, male 145.4
GTEX-1PDJ9-1226-SM-EXUSX 20-29 years, male 145.2
GTEX-11P81-2226-SM-5PNYI 30-39 years, female 145.1
GTEX-1A3MV-1826-SM-731CD 30-39 years, male 145.1
GTEX-YJ8O-2526-SM-5HL85 40-49 years, female 145.1
GTEX-13O3Q-0126-SM-5KM34 50-59 years, male 145.0
GTEX-ZYFG-1526-SM-5GZYM 60-69 years, female 144.9
GTEX-WY7C-2126-SM-3NB2R 50-59 years, male 144.6
GTEX-ZZ64-1026-SM-5GZXG 20-29 years, male 144.6
GTEX-WHSB-1326-SM-3LK6W 50-59 years, male 144.5
GTEX-1F75W-2726-SM-7SB8H 60-69 years, male 144.5
GTEX-1IDJC-1526-SM-B2LW4 50-59 years, male 144.5
GTEX-ZYFD-0626-SM-5E44E 50-59 years, male 144.4
GTEX-ZDTT-0426-SM-4WKFL 60-69 years, male 144.3
GTEX-13G51-1826-SM-5KLZH 60-69 years, male 144.2
GTEX-14PJ6-2626-SM-6EU2T 60-69 years, female 144.1
GTEX-1E1VI-0326-SM-793D1 50-59 years, male 144.1
GTEX-1KANA-1326-SM-DIPFA 20-29 years, male 144.0
GTEX-1KWVE-1026-SM-D3L9O 30-39 years, male 144.0
GTEX-1IOXB-2726-SM-CM2RI 50-59 years, male 143.9
GTEX-1MCYP-0526-SM-E9U6Q 20-29 years, female 143.7
GTEX-1F6IF-0926-SM-7SB7M 60-69 years, male 143.5
GTEX-13NZ8-1226-SM-5KM4A 60-69 years, female 143.3
GTEX-1A32A-0626-SM-731AQ 50-59 years, female 143.2
GTEX-1JMQI-1726-SM-ARL93 50-59 years, male 143.2
GTEX-11WQK-1026-SM-5EQLX 50-59 years, male 143.1
GTEX-145LS-0626-SM-7EPG7 60-69 years, female 143.0
GTEX-12WSJ-1126-SM-5LZVJ 40-49 years, female 142.9
GTEX-1S831-1826-SM-EWROF 20-29 years, male 142.9
GTEX-1B8SF-0126-SM-7DUG3 60-69 years, male 142.8
GTEX-131XF-2626-SM-5EQ6K 60-69 years, male 142.6
GTEX-14E6E-0526-SM-793DN 30-39 years, male 142.6
GTEX-1HKZK-0726-SM-ACKW2 40-49 years, male 142.6
GTEX-1HT8W-0626-SM-A9G2H 30-39 years, male 142.4
GTEX-1IDJF-2026-SM-CL53V 20-29 years, male 142.4
GTEX-1GMR2-0826-SM-7PC3V 50-59 years, male 142.2
GTEX-U8XE-0226-SM-4E3J3 30-39 years, male 142.1
GTEX-12ZZZ-0726-SM-5GCNZ 60-69 years, male 142.0
GTEX-17F96-0126-SM-7EWDU 70-79 years, male 142.0
GTEX-144GM-0526-SM-79OJO 20-29 years, male 141.9
GTEX-13OVH-0526-SM-5L3E6 70-79 years, male 141.8
GTEX-ZLFU-1826-SM-4WWBV 40-49 years, male 141.7
GTEX-1C64O-1326-SM-7MGWR 60-69 years, male 141.4
GTEX-1GZHY-0626-SM-9KNVC 50-59 years, female 141.4
GTEX-1F52S-2926-SM-7MKGA 60-69 years, female 141.3
GTEX-1269C-0126-SM-5EQ5L 60-69 years, female 141.2
GTEX-15CHC-1126-SM-6LLHQ 60-69 years, female 141.2
GTEX-13D11-0926-SM-5J2NC 50-59 years, female 141.1
GTEX-1GMR8-0626-SM-7RHI7 50-59 years, female 140.8
GTEX-1J8Q3-0526-SM-ARL8U 60-69 years, male 140.7
GTEX-13NYS-0626-SM-5L3F1 60-69 years, male 140.6
GTEX-ZA64-1026-SM-5HL8R 20-29 years, male 140.6
GTEX-1M4P7-0726-SM-E6CJ3 60-69 years, male 140.5
GTEX-14BMU-1226-SM-5S2OR 20-29 years, female 140.4
GTEX-17KNJ-2126-SM-718AM 50-59 years, male 140.4
GTEX-13OVG-1626-SM-5J1NF 60-69 years, male 140.2
GTEX-18A67-1626-SM-7LT9T 50-59 years, male 140.2
GTEX-1A8G6-2726-SM-731AR 60-69 years, male 140.1
GTEX-13NZ9-2626-SM-5L3FK 50-59 years, male 140.0
GTEX-WFON-1926-SM-3LK7L 40-49 years, male 139.9
GTEX-17HHE-1326-SM-7EWDZ 50-59 years, male 139.8
GTEX-1F75I-2226-SM-7SB8U 40-49 years, male 139.8
GTEX-12WSM-1926-SM-5BC65 60-69 years, male 139.7
GTEX-1C475-1326-SM-7SB73 40-49 years, female 139.6
GTEX-1GPI7-1826-SM-9KNU1 20-29 years, male 139.6
GTEX-13JUV-2026-SM-5K7UA 40-49 years, female 139.5
GTEX-15RJE-2826-SM-7KUM9 40-49 years, male 139.4
GTEX-1JMLX-0626-SM-ARL8T 50-59 years, male 139.4
GTEX-1B8L1-2226-SM-7P8PT 60-69 years, male 139.2
GTEX-16Z82-2626-SM-7KULU 60-69 years, male 139.1
GTEX-WK11-2726-SM-3NMAQ 50-59 years, male 139.1
GTEX-1399U-1126-SM-5L3DB 50-59 years, female 138.9
GTEX-ZPCL-1126-SM-4WWFE 60-69 years, female 138.9
GTEX-XV7Q-1826-SM-4BRUV 40-49 years, female 138.8
GTEX-1PPH7-1126-SM-DTX9A 40-49 years, male 138.7
GTEX-145MO-2826-SM-5LU96 60-69 years, male 138.4
GTEX-ZAB4-2126-SM-5HL8U 40-49 years, male 138.3
GTEX-1C6VQ-1226-SM-73KYD 50-59 years, male 138.0
GTEX-ZDXO-3126-SM-5IJDF 60-69 years, male 138.0
GTEX-11DXZ-2026-SM-5987S 50-59 years, male 137.8
GTEX-13PVQ-0626-SM-5LU47 50-59 years, male 137.8
GTEX-1I6K7-1926-SM-B2LXR 40-49 years, male 137.8
GTEX-17HHY-0426-SM-7DHLC 50-59 years, male 137.6
GTEX-144GL-0626-SM-5LU4D 50-59 years, male 137.5
GTEX-14C5O-0326-SM-5ZZUX 60-69 years, male 137.4
GTEX-16NGA-0726-SM-731AO 40-49 years, female 137.3
GTEX-1ICLZ-0326-SM-ARL82 60-69 years, male 137.2
GTEX-15D1Q-2826-SM-6LLH7 40-49 years, male 137.1
GTEX-1LVAN-0626-SM-CNPOQ 50-59 years, female 136.8
GTEX-13OW6-2726-SM-5J2OE 50-59 years, male 136.6
GTEX-ZVP2-0326-SM-57WBP 50-59 years, male 136.6
GTEX-1IDJH-0126-SM-D3L92 70-79 years, male 136.6
GTEX-1JJEA-1826-SM-ARU8P 60-69 years, male 136.5
GTEX-15CHQ-0326-SM-69LQD 60-69 years, male 136.4
GTEX-1F5PL-0926-SM-7PC2W 40-49 years, female 136.4
GTEX-14PJ2-0626-SM-6LLII 50-59 years, male 136.3
GTEX-1IL2V-1926-SM-B2LW8 70-79 years, male 136.3
GTEX-1J8EW-2726-SM-CY8HR 60-69 years, female 136.1
GTEX-13QBU-1226-SM-5LU4G 40-49 years, female 136.0
GTEX-1GF9W-1426-SM-7PBYM 60-69 years, male 136.0
GTEX-14B4R-1326-SM-5Q5EZ 30-39 years, male 135.8
GTEX-YEC3-1326-SM-DO92X 50-59 years, male 135.7
GTEX-Y8E4-2026-SM-5IFJB 40-49 years, male 135.6
GTEX-1JMOU-1026-SM-CYPSS 60-69 years, female 135.4
GTEX-16NPX-0726-SM-7KULC 50-59 years, male 135.3
GTEX-1JK1U-0226-SM-ARZMX 60-69 years, male 135.0
GTEX-13OVK-1426-SM-6PAN7 40-49 years, male 134.8
GTEX-1H1E6-0426-SM-9WYUS 30-39 years, male 134.8
GTEX-1NV5F-0626-SM-DTXEG 60-69 years, female 134.8
GTEX-1IE54-1126-SM-A9G2Z 40-49 years, female 134.6
GTEX-13VXU-0626-SM-5L3F9 50-59 years, male 134.4
GTEX-1CAMS-2226-SM-7PBXQ 40-49 years, female 134.4
GTEX-12ZZY-0726-SM-5EQ66 60-69 years, male 134.3
GTEX-1314G-1326-SM-5BC6E 30-39 years, male 134.3
GTEX-13FHO-0426-SM-5L3F5 60-69 years, male 134.3
GTEX-VUSG-2326-SM-4KL1U 50-59 years, male 134.2
GTEX-17HG3-2626-SM-7DUF2 30-39 years, female 134.1
GTEX-1I1GV-0626-SM-ARL7M 60-69 years, male 134.1
GTEX-1QP29-1826-SM-DTX9S 50-59 years, male 134.1
GTEX-11ZTT-2126-SM-5CVLO 60-69 years, female 134.0
GTEX-18QFQ-1826-SM-72D52 30-39 years, male 134.0
GTEX-16XZZ-0726-SM-7KUF2 60-69 years, male 133.9
GTEX-WYJK-0526-SM-3NM8Z 50-59 years, male 133.8
GTEX-ZDTS-0826-SM-4WKHL 60-69 years, male 133.8
GTEX-1GF9V-0826-SM-9KNUV 60-69 years, male 133.7
GTEX-1GPI6-1926-SM-9KNV7 60-69 years, male 133.7
GTEX-1AX8Z-0726-SM-73KTS 60-69 years, male 133.5
GTEX-1GF9U-2026-SM-7SB92 40-49 years, female 133.4
GTEX-1EH9U-2826-SM-7DUGT 60-69 years, male 133.3
GTEX-1F75B-0726-SM-7PC3R 50-59 years, male 133.3
GTEX-1IDJI-0126-SM-CMKHS 50-59 years, female 133.3
GTEX-13X6J-0626-SM-5LU5F 50-59 years, male 133.2
GTEX-1F5PK-2226-SM-7SB6N 50-59 years, male 133.2
GTEX-147F4-0726-SM-5TDDD 50-59 years, male 133.0
GTEX-1J8Q2-2626-SM-ACKWQ 60-69 years, male 132.9
GTEX-Y5LM-0926-SM-6LLJG 40-49 years, female 132.7
GTEX-X5EB-1926-SM-4E3IW 40-49 years, male 132.6
GTEX-1I6K6-1726-SM-CGQFD 30-39 years, male 132.6
GTEX-13N2G-0226-SM-5K7VF 60-69 years, male 132.5
GTEX-1I1CD-0626-SM-CE6SW 60-69 years, female 132.5
GTEX-1I1GS-2626-SM-B2LY3 60-69 years, male 132.5
GTEX-13PDP-0726-SM-5L3HP 60-69 years, male 132.3
GTEX-1QEPI-2626-SM-DTXF4 60-69 years, female 132.2
GTEX-1QPFJ-1926-SM-EVYBD 30-39 years, female 132.2
GTEX-11EI6-2826-SM-5H11D 60-69 years, male 132.0
GTEX-18D9U-0126-SM-731BM 40-49 years, male 132.0
GTEX-ZZPU-0826-SM-5GZX5 50-59 years, female 132.0
GTEX-WRHU-2826-SM-3MJG8 50-59 years, female 131.7
GTEX-1QAET-0326-SM-EVR3U 50-59 years, male 131.7
GTEX-1EWIQ-0326-SM-7DHMQ 70-79 years, female 131.6
GTEX-1R9PN-0426-SM-DTXDT 40-49 years, female 131.6
GTEX-1S5ZU-2526-SM-E6CIF 20-29 years, female 131.6
GTEX-1B8KE-1126-SM-7EPHI 50-59 years, male 131.3
GTEX-1A8G7-1326-SM-73KVM 60-69 years, male 131.0
GTEX-139YR-1026-SM-5LZYN 50-59 years, male 130.8
GTEX-1CB4F-1026-SM-7DUH1 60-69 years, male 130.8
GTEX-1C6VR-0126-SM-7RHGB 60-69 years, male 130.7
GTEX-1J8JJ-0626-SM-ARZMQ 60-69 years, female 130.7
GTEX-1IY9M-2826-SM-ARU8H 60-69 years, male 130.6
GTEX-1HFI7-2326-SM-CGQFS 50-59 years, female 130.3
GTEX-13QJC-0126-SM-5ZZWJ 60-69 years, female 130.0
GTEX-1LBAC-0826-SM-CY8IJ 20-29 years, male 130.0
GTEX-1F88F-0126-SM-9WYSZ 60-69 years, female 129.9
GTEX-1CAMQ-1326-SM-7P8RV 40-49 years, male 129.8
GTEX-12C56-1526-SM-5FQUQ 20-29 years, male 129.6
GTEX-14PK6-0226-SM-62LF5 70-79 years, female 129.5
GTEX-14PII-0726-SM-6EU2B 60-69 years, male 129.4
GTEX-1HBPN-0126-SM-CGQEF 50-59 years, male 129.4
GTEX-1H1DE-1326-SM-9KNUG 20-29 years, male 129.3
GTEX-1KD5A-0126-SM-E9U54 50-59 years, male 129.3
GTEX-17HII-1426-SM-7EPGG 50-59 years, male 129.2
GTEX-1GN1W-2426-SM-9KNUU 50-59 years, female 129.2
GTEX-ZY6K-1426-SM-5GZX2 50-59 years, male 128.9
GTEX-147JS-0226-SM-5S2U9 60-69 years, male 128.7
GTEX-15FZZ-0526-SM-7KUGD 30-39 years, female 128.7
GTEX-111CU-1126-SM-5EGIM 50-59 years, male 128.4
GTEX-ZPIC-0526-SM-DO91W 40-49 years, female 128.4
GTEX-ZLV1-1526-SM-DO91J 60-69 years, female 128.2
GTEX-1RAZQ-1326-SM-E9TK6 30-39 years, male 128.1
GTEX-13OW7-0426-SM-5K7VK 50-59 years, male 128.0
GTEX-1B996-0426-SM-7EWF8 60-69 years, male 128.0
GTEX-WHPG-2626-SM-3NMBR 50-59 years, male 128.0
GTEX-1LB8K-0726-SM-D5OV2 50-59 years, male 127.9
GTEX-13FTW-0326-SM-5K7UW 40-49 years, male 127.6
GTEX-1CB4J-1326-SM-7P8RX 60-69 years, male 127.6
GTEX-1EN7A-2426-SM-793DB 40-49 years, male 127.5
GTEX-1IDJD-2326-SM-ACKWX 30-39 years, male 127.5
GTEX-1JN6P-2926-SM-CL54D 60-69 years, male 127.5
GTEX-1HSMQ-2626-SM-A9SML 50-59 years, male 127.4
GTEX-14DAQ-0626-SM-793DS 60-69 years, female 127.3
GTEX-1CB4I-0126-SM-7RHGG 50-59 years, male 127.3
GTEX-Y3I4-1726-SM-4TT89 50-59 years, male 127.1
GTEX-14LLW-2626-SM-62LDZ 70-79 years, female 127.0
GTEX-1HSGN-0826-SM-ACKW3 40-49 years, female 126.9
GTEX-1LVAO-2726-SM-E9TJ8 60-69 years, male 126.9
GTEX-145LU-1926-SM-79OJN 50-59 years, male 126.6
GTEX-Y8LW-1526-SM-5IFHL 50-59 years, female 126.5
GTEX-1GL5R-1326-SM-7RHHF 50-59 years, male 126.5
GTEX-1AMFI-1326-SM-7939R 50-59 years, female 126.4
GTEX-1GMR3-0126-SM-A9SLW 40-49 years, male 126.3
GTEX-1HR9M-2226-SM-CNPPY 60-69 years, male 126.3
GTEX-1LSNM-0826-SM-DIPG8 50-59 years, male 126.3
GTEX-1GN2E-0226-SM-9WG6K 60-69 years, male 126.2
GTEX-1N5O9-0926-SM-E9J3C 60-69 years, male 126.0
GTEX-1K2DA-1026-SM-CGQGF 50-59 years, male 125.7
GTEX-1QP28-1126-SM-EVYC4 50-59 years, female 125.7
GTEX-1QP2A-1726-SM-E76QC 50-59 years, male 125.5
GTEX-1K2DU-1226-SM-CYPT4 20-29 years, male 125.4
GTEX-1399S-0126-SM-5IJCF 30-39 years, female 125.3
GTEX-XUW1-0926-SM-4BONX 50-59 years, female 125.2
GTEX-1H3NZ-2726-SM-9WYTQ 60-69 years, male 125.1
GTEX-1212Z-0126-SM-59HK4 60-69 years, male 124.9
GTEX-14PKV-1126-SM-6LLJ1 20-29 years, female 124.9
GTEX-1HSKV-1226-SM-ADEI4 60-69 years, male 124.7
GTEX-1PIIG-2326-SM-DTXFR 30-39 years, male 124.7
GTEX-13W3W-0726-SM-5IJDQ 60-69 years, female 124.6
GTEX-1H2FU-0926-SM-9WPPT 60-69 years, female 124.5
GTEX-18A7A-0126-SM-731AH 50-59 years, female 124.2
GTEX-1I1HK-2326-SM-CKZOH 60-69 years, male 124.2
GTEX-WYBS-0626-SM-3NMAS 60-69 years, female 124.1
GTEX-1LG7Z-1626-SM-CXKYR 30-39 years, male 124.0
GTEX-12WSC-2826-SM-5BC5Y 50-59 years, male 123.8
GTEX-17EVP-2626-SM-7IGMA 40-49 years, male 123.5
GTEX-1ICLY-0826-SM-CMKG1 50-59 years, male 123.4
GTEX-1N2EE-0626-SM-E76PW 60-69 years, male 123.4
GTEX-14PJ4-0226-SM-5YY92 60-69 years, male 123.3
GTEX-1GZ4H-0526-SM-9KNU9 50-59 years, female 123.3
GTEX-ZWKS-0626-SM-5GIDV 30-39 years, male 123.0
GTEX-1LSNL-2726-SM-E9TKJ 50-59 years, male 122.8
GTEX-1J1OQ-0126-SM-D4P2N 40-49 years, female 122.6
GTEX-18465-2826-SM-7LT9J 50-59 years, male 122.5
GTEX-14PJN-1826-SM-6AJ98 30-39 years, male 122.4
GTEX-139T8-0626-SM-5KLZX 60-69 years, male 122.3
GTEX-17F9Y-0126-SM-79OKX 70-79 years, female 122.3
GTEX-1HGF4-0126-SM-CNPPX 60-69 years, male 122.2
GTEX-1KXAM-1626-SM-D3LAD 60-69 years, male 122.1
GTEX-VJYA-1526-SM-3GIJV 60-69 years, male 122.0
GTEX-1HCVE-2726-SM-CL54F 50-59 years, male 121.8
GTEX-X4EP-0626-SM-3P621 60-69 years, female 121.1
GTEX-WHSE-0126-SM-3NMBT 20-29 years, male 121.0
GTEX-1CB4H-1126-SM-7MKGL 60-69 years, female 120.9
GTEX-11GS4-0226-SM-5HL77 60-69 years, male 120.2
GTEX-1IDJU-1726-SM-CMKHU 60-69 years, female 120.1
GTEX-XBEC-0726-SM-4QARZ 50-59 years, male 119.9
GTEX-1JKYR-0626-SM-ARL8R 20-29 years, male 119.8
GTEX-1JMPY-0226-SM-CKZOK 30-39 years, male 119.6
GTEX-WHWD-1826-SM-3LK6I 50-59 years, male 119.4
GTEX-145LT-0526-SM-5LUB2 40-49 years, male 119.3
GTEX-17HGU-2326-SM-7DUFE 50-59 years, male 119.2
GTEX-11LCK-2226-SM-5HL4Q 30-39 years, male 119.1
GTEX-1B933-2426-SM-7DHMD 50-59 years, female 119.1
GTEX-1IDJV-0126-SM-COH3Y 60-69 years, male 119.1
GTEX-1AX9I-2226-SM-73KUO 60-69 years, male 118.7
GTEX-1HB9E-0126-SM-CM2S5 50-59 years, male 118.7
GTEX-1I4MK-0126-SM-CY8G6 50-59 years, female 118.7
GTEX-11TUW-0626-SM-5LU9M 60-69 years, male 118.5
GTEX-178AV-1726-SM-7KUL8 40-49 years, male 118.4
GTEX-1I1GU-0926-SM-ACKVS 40-49 years, male 117.9
GTEX-1R9K4-2826-SM-DTX8F 60-69 years, male 117.9
GTEX-16MT8-2926-SM-7DUFO 60-69 years, female 117.3
GTEX-1CB4E-0926-SM-7EPHT 60-69 years, male 117.1
GTEX-1OJC4-2726-SM-E76PJ 50-59 years, female 117.1
GTEX-1F88E-1626-SM-7SB8Z 60-69 years, female 117.0
GTEX-1JKYN-0826-SM-ARU8S 30-39 years, male 116.4
GTEX-13OW8-1026-SM-5J1NQ 60-69 years, male 116.3
GTEX-1A3MW-0626-SM-731CB 60-69 years, female 116.3
GTEX-1LGRB-0926-SM-COH3K 50-59 years, female 115.8
GTEX-1K9T9-1526-SM-DIPFR 50-59 years, female 115.7
GTEX-1J1R8-2026-SM-CL53Y 40-49 years, male 115.4
GTEX-1JJE9-2626-SM-ARZMT 70-79 years, male 115.2
GTEX-ZTSS-1426-SM-5985P 40-49 years, male 114.8
GTEX-1B8KZ-0326-SM-73KY4 50-59 years, male 114.5
GTEX-17MF6-2626-SM-79OKQ 40-49 years, male 114.4
GTEX-Y9LG-1126-SM-4VBQ7 30-39 years, male 113.7
GTEX-1S83E-1326-SM-E6CJM 40-49 years, male 113.6
GTEX-131YS-2826-SM-5EQ47 60-69 years, female 113.4
GTEX-1C2JI-1026-SM-73KY1 50-59 years, male 113.2
GTEX-14PKU-0126-SM-6LLHV 40-49 years, female 112.8
GTEX-Y5V5-0126-SM-5S2NW 60-69 years, female 112.8
GTEX-1R7EU-1626-SM-DTXG3 60-69 years, male 112.8
GTEX-ZVE2-2826-SM-5GU51 50-59 years, male 112.6
GTEX-1LVAM-0726-SM-E6CIL 50-59 years, female 112.3
GTEX-12WSA-0426-SM-5EQ5X 60-69 years, male 112.0
GTEX-11GSP-2326-SM-5HL63 60-69 years, female 111.7
GTEX-ZYY3-2926-SM-5GIEB 60-69 years, female 111.6
GTEX-1H23P-0626-SM-9WG6T 60-69 years, male 111.5
GTEX-1KAFJ-0126-SM-DIPEK 50-59 years, male 111.5
GTEX-UPJH-0226-SM-3GADV 50-59 years, male 111.2
GTEX-15CHR-1126-SM-7EWF4 50-59 years, male 111.0
GTEX-16MTA-0926-SM-6M47Z 50-59 years, male 111.0
GTEX-1192X-2726-SM-5N9DN 50-59 years, male 110.3
GTEX-ZP4G-1426-SM-4WWCL 20-29 years, female 110.0
GTEX-1EU9M-1426-SM-793AI 60-69 years, male 109.8
GTEX-1HCU7-0726-SM-A9SL1 50-59 years, male 109.3
GTEX-13U4I-2226-SM-5LU5H 40-49 years, female 109.0
GTEX-1477Z-0326-SM-7IGLA 60-69 years, male 108.6
GTEX-1I1GT-1026-SM-ARZLV 60-69 years, female 108.1
GTEX-1RMOY-1326-SM-E9TIH 50-59 years, male 108.0
GTEX-1R46S-2426-SM-E76QA 60-69 years, female 106.3
GTEX-XPVG-2126-SM-4B667 50-59 years, male 105.9
GTEX-183FY-1026-SM-7939A 20-29 years, male 105.0
GTEX-1HBPM-0726-SM-9YFL7 60-69 years, female 104.8
GTEX-V1D1-2026-SM-3GAF4 50-59 years, male 104.5
GTEX-ZVT2-0126-SM-5GIDQ 50-59 years, female 104.4
GTEX-1GF9X-1326-SM-7PC2Y 40-49 years, female 103.9
GTEX-WYVS-1626-SM-3NM9R 40-49 years, female 103.3
GTEX-17JCI-2926-SM-7DUFF 60-69 years, female 98.2
GTEX-1B932-2326-SM-79OL5 40-49 years, female 98.1
GTEX-1S82P-2126-SM-E6CI5 60-69 years, female 98.0
GTEX-1HCU8-2526-SM-CE6RX 60-69 years, female 91.0
GTEX-1AMEY-0826-SM-72D65 30-39 years, female 85.2
GTEX-1A3MX-2626-SM-7PC24 60-69 years, male 84.0
Show allShow less
Skin - Sun Exposed (Lower leg)
Average nTPM: 143.7
Samples: 701

Max nTPM: 388.9
Min nTPM: 89.2
Std nTPM: 25.7
Median nTPM: 141.6
GTEX-SE5C-1626-SM-2XCE3 40-49 years, female 388.9
GTEX-15SB6-1726-SM-6PAME 50-59 years, female 273.1
GTEX-OIZH-0126-SM-2HMIS 50-59 years, male 248.5
GTEX-14E6C-0126-SM-5RQIP 40-49 years, male 243.9
GTEX-1QP67-1626-SM-EAZ3X 40-49 years, female 239.1
GTEX-14753-0426-SM-5NQAM 60-69 years, male 228.8
GTEX-OIZG-0726-SM-33HBL 50-59 years, male 221.2
GTEX-Y3IK-2426-SM-4WWDU 50-59 years, female 215.7
GTEX-1KANC-1526-SM-D3LAB 50-59 years, female 212.4
GTEX-1497J-2426-SM-7IGNX 60-69 years, male 210.1
GTEX-145LT-1726-SM-5QGP3 40-49 years, male 210.0
GTEX-146FQ-0126-SM-5NQA9 30-39 years, male 210.0
GTEX-S33H-1026-SM-EZ6L6 30-39 years, male 209.9
GTEX-RVPV-0126-SM-EAZAW 60-69 years, male 208.6
GTEX-PWCY-1826-SM-DHXIZ 20-29 years, female 206.1
GTEX-W5X1-3026-SM-EAZAX 40-49 years, female 205.5
GTEX-XYKS-2126-SM-4E3IB 60-69 years, female 203.1
GTEX-1HCUA-2426-SM-ADEIS 50-59 years, female 200.6
GTEX-13N11-2526-SM-5K7UE 50-59 years, female 200.2
GTEX-POMQ-2226-SM-2I5FK 20-29 years, female 199.9
GTEX-P4PQ-0126-SM-2S1NM 60-69 years, male 199.3
GTEX-O5YT-0126-SM-48TBW 20-29 years, male 199.2
GTEX-11P82-1626-SM-59879 20-29 years, male 197.2
GTEX-1C6VQ-0126-SM-7P8RI 50-59 years, male 196.9
GTEX-1LBAC-0126-SM-DIPEZ 20-29 years, male 193.8
GTEX-1122O-2126-SM-5EGIR 60-69 years, female 193.3
GTEX-14PK6-1926-SM-6ETZU 70-79 years, female 190.8
GTEX-14PJ6-2126-SM-6EU1V 60-69 years, female 190.4
GTEX-X8HC-0126-SM-4E3JW 50-59 years, female 190.3
GTEX-139UW-2826-SM-5L3E7 60-69 years, male 190.2
GTEX-1H1CY-2826-SM-9MQM3 60-69 years, female 189.7
GTEX-13YAN-0326-SM-5O9DF 60-69 years, male 188.0
GTEX-P4PP-0126-SM-3LK69 30-39 years, female 187.5
GTEX-WVJS-0126-SM-4MVOT 50-59 years, male 187.0
GTEX-PLZ6-1426-SM-DKPOT 30-39 years, male 186.6
GTEX-1EWIQ-0126-SM-7RHH2 70-79 years, female 185.9
GTEX-11DYG-0126-SM-59883 60-69 years, male 185.7
GTEX-145MO-0326-SM-5Q5B3 60-69 years, male 185.4
GTEX-Y5V6-2426-SM-4VDSB 60-69 years, male 185.2
GTEX-NPJ8-0126-SM-2YUNR 40-49 years, male 184.9
GTEX-ZE9C-2726-SM-57WB5 60-69 years, male 184.7
GTEX-X88G-0126-SM-47JZ3 30-39 years, male 184.4
GTEX-11EM3-2426-SM-59861 20-29 years, female 184.3
GTEX-T2YK-0526-SM-32QPJ 50-59 years, male 184.2
GTEX-131XE-2326-SM-5PNZ2 50-59 years, male 184.1
GTEX-PLZ4-0126-SM-5SI8O 50-59 years, female 183.0
GTEX-TML8-1926-SM-32QOS 40-49 years, female 181.9
GTEX-15D1Q-0126-SM-7KUG6 40-49 years, male 180.8
GTEX-1HSMO-0126-SM-CL547 60-69 years, male 180.4
GTEX-ZVT2-2526-SM-51MT1 50-59 years, female 180.1
GTEX-1CAMS-0426-SM-7P8T2 40-49 years, female 180.0
GTEX-11H98-0126-SM-5EGHG 50-59 years, male 179.9
GTEX-Y114-2426-SM-4TT8A 50-59 years, female 179.4
GTEX-13PVR-2326-SM-5QGR1 60-69 years, female 178.8
GTEX-ZDYS-2026-SM-5HL5L 50-59 years, male 178.5
GTEX-1QW4Y-1526-SM-EAZ3Z 30-39 years, male 178.4
GTEX-15DDE-0126-SM-6LPKH 50-59 years, female 178.1
GTEX-13CF2-2526-SM-5LZYX 60-69 years, male 177.7
GTEX-12126-0326-SM-5PNW3 20-29 years, male 177.1
GTEX-1269C-2526-SM-5EGJ3 60-69 years, female 177.1
GTEX-14BMU-2226-SM-5TDE9 20-29 years, female 177.1
GTEX-11OF3-2626-SM-5GU7F 60-69 years, male 176.8
GTEX-15EOM-0126-SM-7KUGG 20-29 years, female 176.7
GTEX-1HFI6-0226-SM-ADEHZ 40-49 years, male 176.6
GTEX-11WQK-0526-SM-5EQLD 50-59 years, male 174.9
GTEX-1RAZQ-0726-SM-EAZ43 30-39 years, male 174.6
GTEX-QV44-1926-SM-2S1RF 50-59 years, male 174.5
GTEX-RTLS-0126-SM-447CA 60-69 years, female 174.5
GTEX-1RLM8-2326-SM-EWRN4 50-59 years, male 174.4
GTEX-139TS-2826-SM-5J1OO 60-69 years, male 174.2
GTEX-1MA7W-2026-SM-E9TJ6 20-29 years, female 173.7
GTEX-1HGF4-2426-SM-ACKXM 60-69 years, male 173.5
GTEX-13FTX-1826-SM-5J1NX 20-29 years, female 172.5
GTEX-PX3G-0126-SM-2I3EN 20-29 years, female 172.5
GTEX-14PN4-0126-SM-6EU2V 50-59 years, male 172.2
GTEX-ZQG8-1626-SM-DHXIT 60-69 years, female 172.0
GTEX-1B8SF-1426-SM-7DUGL 60-69 years, male 171.8
GTEX-13113-5016-SM-7EPIP 60-69 years, female 171.7
GTEX-U8XE-0326-SM-3DB8P 30-39 years, male 171.3
GTEX-1AX8Z-0126-SM-7DHM6 60-69 years, male 170.5
GTEX-146FH-0126-SM-5QGPP 50-59 years, female 170.2
GTEX-Y3I4-2126-SM-4TT7C 50-59 years, male 170.2
GTEX-14JIY-0126-SM-6LLH6 60-69 years, male 170.1
GTEX-17HII-0226-SM-7LG4E 50-59 years, male 169.4
GTEX-SSA3-0126-SM-32QPU 60-69 years, male 168.8
GTEX-1ICG6-2526-SM-CGQFZ 70-79 years, female 168.5
GTEX-13G51-2526-SM-5LZYK 60-69 years, male 168.4
GTEX-147F3-0526-SM-5SI98 50-59 years, female 168.2
GTEX-1211K-2026-SM-5EQ4Z 60-69 years, female 168.1
GTEX-14A5I-0126-SM-5TDEA 50-59 years, female 168.0
GTEX-XBEW-0626-SM-4QASP 40-49 years, male 167.7
GTEX-SN8G-0126-SM-32PLI 50-59 years, female 167.6
GTEX-1R9PO-2126-SM-E9J4O 60-69 years, female 167.6
GTEX-QESD-1426-SM-2S1R9 20-29 years, male 167.5
GTEX-1HCU6-0126-SM-CL54K 60-69 years, female 167.4
GTEX-1AYCT-2426-SM-7IGQ3 50-59 years, male 166.6
GTEX-12WSE-0526-SM-793B2 20-29 years, male 166.2
GTEX-1399U-2326-SM-5K7WY 50-59 years, female 166.2
GTEX-1N2DW-0226-SM-E9TK2 50-59 years, male 165.5
GTEX-ZF29-2326-SM-DO92K 60-69 years, female 165.3
GTEX-U412-0426-SM-3DB9O 60-69 years, male 165.2
GTEX-1JN6P-0126-SM-D3L98 60-69 years, male 165.2
GTEX-13OVI-1426-SM-5L3EY 60-69 years, female 165.1
GTEX-1EMGI-0126-SM-9KNUE 60-69 years, male 164.8
GTEX-11TTK-0126-SM-5987B 60-69 years, female 164.5
GTEX-131XW-0426-SM-5LZWP 50-59 years, female 164.4
GTEX-WXYG-2326-SM-4E3I6 50-59 years, female 164.4
GTEX-117YW-2626-SM-5GZZH 50-59 years, male 164.3
GTEX-11UD1-0126-SM-5PNYG 40-49 years, female 164.3
GTEX-1N2EF-0226-SM-EYYXB 60-69 years, male 164.3
GTEX-14BIM-0226-SM-7IGLD 60-69 years, female 163.8
GTEX-14BIL-0126-SM-5SI92 50-59 years, male 163.6
GTEX-WRHK-1426-SM-3MJF9 20-29 years, female 163.3
GTEX-1KD4Q-0226-SM-E9TJ9 40-49 years, male 163.3
GTEX-17HHY-0126-SM-7LG5D 50-59 years, male 163.1
GTEX-1313W-0126-SM-5LZUN 50-59 years, female 162.7
GTEX-15ER7-0326-SM-7KUEV 20-29 years, female 162.5
GTEX-17F98-0626-SM-79OMX 40-49 years, female 162.3
GTEX-18A6Q-0126-SM-731BZ 60-69 years, male 161.9
GTEX-XAJ8-0826-SM-47JY6 40-49 years, male 161.7
GTEX-X4XY-0226-SM-4E3IZ 60-69 years, male 161.6
GTEX-1PPH7-2326-SM-EVYB8 40-49 years, male 161.6
GTEX-145LS-0126-SM-5QGP1 60-69 years, female 161.5
GTEX-O5YW-0126-SM-3LK6D 50-59 years, male 161.5
GTEX-17EVQ-0226-SM-7LG4P 70-79 years, male 161.4
GTEX-183FY-0126-SM-7LT9P 20-29 years, male 161.3
GTEX-1H1DG-0126-SM-9WYU2 70-79 years, male 161.3
GTEX-UJHI-1526-SM-3DB99 50-59 years, female 161.2
GTEX-148VJ-0126-SM-5TDDN 70-79 years, male 161.1
GTEX-12584-0126-SM-5EGKQ 40-49 years, male 160.7
GTEX-146FR-1326-SM-E9J48 60-69 years, female 160.7
GTEX-1B8L1-2526-SM-9WYTF 60-69 years, male 160.5
GTEX-1POEN-0126-SM-EYYXJ 30-39 years, female 160.4
GTEX-1PIIG-0226-SM-EWRN6 30-39 years, male 160.2
GTEX-11WQC-2526-SM-5CVLE 60-69 years, male 159.8
GTEX-P4QT-0126-SM-2I3FL 50-59 years, female 159.4
GTEX-1IDJF-0126-SM-CM2RS 20-29 years, male 159.3
GTEX-1MCYP-1926-SM-E9J2R 20-29 years, female 159.2
GTEX-1HUB1-0426-SM-E9U4U 60-69 years, male 159.0
GTEX-13U4I-0126-SM-5LU38 40-49 years, female 158.9
GTEX-1IE54-0126-SM-CMKHW 40-49 years, female 158.9
GTEX-11ZVC-2526-SM-5FQTE 50-59 years, female 158.7
GTEX-13X6J-0126-SM-5QGOU 50-59 years, male 158.6
GTEX-XQ8I-0426-SM-4BOPO 50-59 years, male 158.6
GTEX-132NY-0326-SM-5IJBL 60-69 years, male 158.5
GTEX-15RIG-0226-SM-7KFTL 40-49 years, male 158.4
GTEX-Q2AI-1326-SM-2S1PL 40-49 years, male 158.4
GTEX-14PJM-0226-SM-62LF1 50-59 years, female 158.2
GTEX-15SHW-0326-SM-6PAML 60-69 years, male 158.0
GTEX-11ZUS-0626-SM-59885 30-39 years, male 157.8
GTEX-1LNCM-1126-SM-E9U5E 50-59 years, female 157.8
GTEX-11DXX-2426-SM-5GZZW 60-69 years, female 157.7
GTEX-X4EO-0326-SM-3P5YO 60-69 years, female 157.4
GTEX-ZVTK-0426-SM-51MRS 20-29 years, male 157.4
GTEX-1LGOU-2026-SM-DIPFF 20-29 years, female 157.3
GTEX-13OVK-2026-SM-7KUEO 40-49 years, male 157.2
GTEX-1GZ4H-1726-SM-7PBZJ 50-59 years, female 157.0
GTEX-1A3MV-1926-SM-718BT 30-39 years, male 156.9
GTEX-XQ3S-1526-SM-4BOOC 20-29 years, male 156.8
GTEX-1MGNQ-0126-SM-EVYCJ 40-49 years, male 156.7
GTEX-1B933-0126-SM-7PC29 50-59 years, female 156.6
GTEX-1LVAN-0226-SM-COH3S 50-59 years, female 156.6
GTEX-15UF6-0826-SM-6PALJ 70-79 years, female 156.5
GTEX-TMZS-0126-SM-3DB9Q 60-69 years, male 156.5
GTEX-113JC-2326-SM-5EQ4E 50-59 years, female 156.4
GTEX-13FHP-0126-SM-5IJBG 50-59 years, male 156.3
GTEX-1GZHY-0326-SM-9QEHI 50-59 years, female 156.3
GTEX-Z93S-0126-SM-5HL7M 50-59 years, male 156.2
GTEX-ZAK1-0126-SM-5IJD3 50-59 years, female 156.2
GTEX-WFG8-2226-SM-3GIL9 20-29 years, male 156.1
GTEX-1GMR3-1926-SM-9KNUZ 40-49 years, male 156.1
GTEX-S7SE-0126-SM-2XCD5 50-59 years, male 155.9
GTEX-U3ZH-2026-SM-3DB78 30-39 years, male 155.8
GTEX-131XH-2226-SM-5DUXJ 50-59 years, male 155.7
GTEX-1M5QR-1226-SM-EWROB 40-49 years, male 155.7
GTEX-11TT1-2526-SM-5EGIB 20-29 years, male 155.5
GTEX-ZYFD-0126-SM-5GIDL 50-59 years, male 155.5
GTEX-1CAV2-2226-SM-7P8P2 40-49 years, female 155.5
GTEX-YFC4-0126-SM-5CVLY 40-49 years, female 155.4
GTEX-1QMI2-0226-SM-EVYBX 60-69 years, male 155.3
GTEX-XMD2-0126-SM-4YCDU 60-69 years, female 155.0
GTEX-1PWST-0226-SM-E76QJ 70-79 years, male 154.8
GTEX-11DXZ-2326-SM-5EGGV 50-59 years, male 154.7
GTEX-SIU8-0126-SM-2XCDT 50-59 years, male 154.7
GTEX-11OC5-0126-SM-5HL6A 60-69 years, male 154.6
GTEX-13OW6-0426-SM-5L3HM 50-59 years, male 154.6
GTEX-1B996-0226-SM-7RHGO 60-69 years, male 154.3
GTEX-1GN1U-0126-SM-7PBZK 50-59 years, female 154.3
GTEX-14LLW-0126-SM-6LLIO 70-79 years, female 154.0
GTEX-XUW1-0426-SM-4BOOT 50-59 years, female 153.8
GTEX-13RTK-1426-SM-5QGQJ 20-29 years, male 153.7
GTEX-X261-0126-SM-3NMD6 50-59 years, male 153.6
GTEX-131XF-5016-SM-7MGWE 60-69 years, male 153.6
GTEX-1H3VE-0326-SM-9YFLH 40-49 years, male 153.6
GTEX-X5EB-2226-SM-46MW4 40-49 years, male 153.4
GTEX-X62O-0126-SM-4E3JN 50-59 years, male 153.4
GTEX-15EU6-0426-SM-6PAN5 50-59 years, male 153.3
GTEX-113IC-0126-SM-5HL6T 60-69 years, male 153.2
GTEX-1GN2E-0426-SM-9MQKX 60-69 years, male 152.9
GTEX-15G19-0126-SM-6PANQ 60-69 years, male 152.8
GTEX-R3RS-0126-SM-3GIJL 40-49 years, female 152.8
GTEX-1I4MK-2226-SM-ACKWD 50-59 years, female 152.7
GTEX-OXRK-0226-SM-3NB2G 50-59 years, female 152.6
GTEX-1F7RK-0126-SM-7PC2S 20-29 years, female 152.5
GTEX-144GN-2326-SM-5LU4F 50-59 years, male 152.4
GTEX-1OJC4-0126-SM-E9J2E 50-59 years, female 152.4
GTEX-X4EP-0126-SM-3P5YV 60-69 years, female 152.3
GTEX-145MF-0626-SM-5LUAI 50-59 years, male 152.2
GTEX-1CB4G-0226-SM-7PC3O 60-69 years, male 152.2
GTEX-1F75B-0126-SM-9KNVL 50-59 years, male 152.2
GTEX-U8T8-0126-SM-3DB94 60-69 years, male 152.0
GTEX-1C6WA-0126-SM-7PC2B 60-69 years, male 151.9
GTEX-1AX9K-2326-SM-73KWU 50-59 years, male 151.8
GTEX-12ZZX-0126-SM-5EGK9 40-49 years, female 151.6
GTEX-1OJC3-0126-SM-E76QX 20-29 years, male 151.5
GTEX-1R7EV-2426-SM-EVYBG 40-49 years, male 151.5
GTEX-13FHO-0226-SM-5IFGY 60-69 years, male 151.4
GTEX-1PIGE-0126-SM-EVYBJ 20-29 years, male 151.3
GTEX-YJ89-0126-SM-4TT3X 60-69 years, male 151.1
GTEX-111VG-2426-SM-5GZXD 60-69 years, male 151.0
GTEX-11DZ1-0126-SM-5985Q 50-59 years, male 151.0
GTEX-15ETS-0126-SM-7KUMW 40-49 years, female 151.0
GTEX-1JMQJ-0526-SM-CYPSU 50-59 years, male 150.7
GTEX-1IDFM-0126-SM-COH2V 60-69 years, male 150.6
GTEX-1J8JJ-0226-SM-CL53I 60-69 years, female 150.6
GTEX-11GS4-2726-SM-5A5LE 60-69 years, male 150.5
GTEX-11UD2-0226-SM-5EQKY 50-59 years, male 150.5
GTEX-12696-2426-SM-5EQ6H 60-69 years, male 150.4
GTEX-1S83E-0126-SM-EWRO4 40-49 years, male 150.4
GTEX-147F4-0226-SM-5QGPW 50-59 years, male 150.3
GTEX-QDT8-0126-SM-48TZ1 30-39 years, female 150.2
GTEX-13O1R-0126-SM-5L3EH 60-69 years, male 150.1
GTEX-1GF9V-0326-SM-7RHI5 60-69 years, male 150.1
GTEX-13FTW-2626-SM-5K7WL 40-49 years, male 149.9
GTEX-14PHX-2326-SM-62LEM 50-59 years, male 149.8
GTEX-11DXW-0226-SM-5H122 40-49 years, male 149.6
GTEX-13OW5-0126-SM-DTXFS 60-69 years, male 149.6
GTEX-1HBPI-1526-SM-C1YQ1 50-59 years, male 149.4
GTEX-S7PM-0126-SM-4AD6S 60-69 years, male 149.3
GTEX-1QP66-1726-SM-E8VO1 50-59 years, male 149.3
GTEX-Q734-1926-SM-2I5EV 40-49 years, female 149.2
GTEX-X585-0226-SM-4QAS2 50-59 years, male 149.2
GTEX-ZEX8-2426-SM-4WKG4 50-59 years, male 149.2
GTEX-ZVZO-0126-SM-5A5L9 40-49 years, male 149.2
GTEX-1N2DV-0226-SM-E6CJ6 40-49 years, male 149.2
GTEX-13N1W-0126-SM-5K7VT 70-79 years, male 149.1
GTEX-13O3P-0126-SM-5KM4S 50-59 years, male 149.1
GTEX-183WM-0126-SM-7LTAB 70-79 years, female 149.0
GTEX-QDVJ-1726-SM-2I5FX 50-59 years, male 148.9
GTEX-T2IS-0126-SM-4DM6O 20-29 years, female 148.9
GTEX-1JMQK-0226-SM-CL543 60-69 years, male 148.8
GTEX-15SHU-0126-SM-7KUEH 40-49 years, female 148.7
GTEX-1EX96-1626-SM-7PBXR 50-59 years, male 148.6
GTEX-1MJK2-0426-SM-DTXE5 50-59 years, male 148.4
GTEX-13O21-1426-SM-5K7XI 50-59 years, male 148.3
GTEX-13W46-0226-SM-5SIAG 50-59 years, male 148.3
GTEX-18D9A-1926-SM-7LG6P 30-39 years, female 148.3
GTEX-OXRO-0126-SM-2YUN4 60-69 years, female 148.3
GTEX-139T4-0226-SM-5HL5S 50-59 years, female 148.2
GTEX-1GN73-0226-SM-9WG67 60-69 years, male 148.1
GTEX-11TUW-2726-SM-E9J4M 60-69 years, male 147.9
GTEX-11EMC-2926-SM-5EQ4F 60-69 years, female 147.8
GTEX-1IDJH-0326-SM-A9SLQ 70-79 years, male 147.8
GTEX-13RTJ-2426-SM-5S2Q2 60-69 years, male 147.5
GTEX-ZYW4-0126-SM-5E44A 60-69 years, male 147.5
GTEX-131YS-0126-SM-5KM1M 60-69 years, female 147.3
GTEX-14A6H-0126-SM-5QGPK 30-39 years, male 147.1
GTEX-X638-0126-SM-47JZ8 70-79 years, female 147.1
GTEX-ZVT4-0126-SM-DTXFN 50-59 years, female 147.0
GTEX-13X6H-2126-SM-7EWD5 50-59 years, female 146.9
GTEX-1F75A-0126-SM-7RHGM 50-59 years, male 146.9
GTEX-OHPL-0126-SM-2HMJ7 60-69 years, female 146.8
GTEX-1PDJ9-0326-SM-DTX95 20-29 years, male 146.6
GTEX-1S5ZA-0126-SM-EVYCV 20-29 years, male 146.6
GTEX-OOBJ-0126-SM-E6CJW 60-69 years, male 146.6
GTEX-11ZU8-2526-SM-5EQKI 60-69 years, male 146.5
GTEX-148VI-1626-SM-5SI6E 60-69 years, female 146.5
GTEX-1C64N-0126-SM-793D7 50-59 years, male 146.5
GTEX-1KXAM-2226-SM-CYPTC 60-69 years, male 146.5
GTEX-18A7A-0226-SM-718BH 50-59 years, female 146.4
GTEX-1GF9W-0326-SM-9KNUN 60-69 years, male 146.4
GTEX-117YX-2326-SM-5H12W 50-59 years, male 146.3
GTEX-13JUV-2726-SM-5LZZ8 40-49 years, female 146.3
GTEX-SJXC-0126-SM-2XCFF 60-69 years, male 146.3
GTEX-1H3O1-0426-SM-9YFKY 60-69 years, male 146.3
GTEX-1JMPZ-0226-SM-CNPP1 30-39 years, male 146.2
GTEX-14E6D-0126-SM-62LDV 50-59 years, male 146.1
GTEX-1OFPY-2426-SM-DTXEJ 60-69 years, male 146.1
GTEX-Y8DK-0126-SM-4TT3L 60-69 years, male 145.9
GTEX-11O72-0126-SM-59887 40-49 years, male 145.8
GTEX-13OVJ-0126-SM-5KM36 50-59 years, female 145.8
GTEX-1F88F-2726-SM-7PBZZ 60-69 years, female 145.8
GTEX-14PII-0226-SM-6EU1T 60-69 years, male 145.7
GTEX-R45C-0126-SM-EAZ2R 60-69 years, female 145.7
GTEX-13NZ8-0826-SM-5MR3I 60-69 years, female 145.6
GTEX-11GSP-2526-SM-5N9BP 60-69 years, female 145.5
GTEX-13VXT-0126-SM-5LU4I 20-29 years, female 145.4
GTEX-13VXU-0126-SM-5SI9F 50-59 years, male 145.3
GTEX-1A32A-0126-SM-718B1 50-59 years, female 145.3
GTEX-XUYS-0126-SM-47JWZ 50-59 years, male 145.3
GTEX-1M4P7-0226-SM-DIPEV 60-69 years, male 145.2
GTEX-13112-2826-SM-5DUWH 50-59 years, male 145.1
GTEX-1HT8W-0126-SM-CNPPP 30-39 years, male 145.1
GTEX-18D9B-0526-SM-7LTAS 60-69 years, male 145.0
GTEX-13OW7-0126-SM-5MR3B 50-59 years, male 144.9
GTEX-1H1ZS-0426-SM-9WG6G 70-79 years, male 144.9
GTEX-1LB8K-0226-SM-EWRNW 50-59 years, male 144.9
GTEX-1NHNU-1026-SM-E9J2A 50-59 years, male 144.9
GTEX-1F6I4-0126-SM-9MQL2 60-69 years, male 144.8
GTEX-14ABY-0226-SM-5TDCQ 50-59 years, male 144.7
GTEX-1ICLY-0126-SM-D4P36 50-59 years, male 144.6
GTEX-11NSD-2226-SM-5986V 20-29 years, male 144.5
GTEX-QDVN-2026-SM-3GAEP 50-59 years, male 144.4
GTEX-1F48J-0126-SM-7P8TT 50-59 years, female 144.4
GTEX-14PJ3-1826-SM-62LEX 50-59 years, male 144.0
GTEX-ZVZP-2426-SM-59HKJ 50-59 years, male 144.0
GTEX-1I19N-0326-SM-ACKVX 70-79 years, male 144.0
GTEX-14DAR-2026-SM-5S2O3 50-59 years, male 143.8
GTEX-QCQG-1726-SM-3GIJ9 50-59 years, female 143.6
GTEX-13IVO-0126-SM-5J1NG 70-79 years, male 143.3
GTEX-13NZA-0226-SM-5K7Z7 60-69 years, male 143.3
GTEX-1I1GP-2226-SM-CGQFK 50-59 years, male 143.3
GTEX-QVJO-1626-SM-2S1QW 60-69 years, female 143.2
GTEX-1J8EW-0126-SM-CJI4F 60-69 years, female 143.1
GTEX-ZF3C-0126-SM-DO92D 50-59 years, female 143.1
GTEX-OXRP-0126-SM-3NB32 60-69 years, female 143.0
GTEX-11NUK-0126-SM-5A5L3 50-59 years, male 142.9
GTEX-YEC4-2126-SM-5IFJH 40-49 years, male 142.9
GTEX-12WSK-2326-SM-5GCOH 40-49 years, female 142.8
GTEX-Y5LM-1926-SM-5RQJH 40-49 years, female 142.8
GTEX-OOBK-0126-SM-2YUND 40-49 years, male 142.7
GTEX-1F75I-0326-SM-9YFLU 40-49 years, male 142.7
GTEX-OXRL-0126-SM-2YUMP 50-59 years, male 142.6
GTEX-1GN1V-0126-SM-9WPOS 60-69 years, male 142.6
GTEX-1AYD5-2426-SM-73KXR 50-59 years, male 142.5
GTEX-UPJH-0326-SM-3GADU 50-59 years, male 142.5
GTEX-144FL-0126-SM-5TDC8 50-59 years, male 142.4
GTEX-1GN1W-0526-SM-9MQJQ 50-59 years, female 142.4
GTEX-1GZ2Q-0226-SM-7P8TL 40-49 years, male 142.2
GTEX-139T8-0126-SM-5K7XZ 60-69 years, male 142.0
GTEX-1HBPH-0426-SM-B2LW5 40-49 years, female 141.9
GTEX-T6MN-0126-SM-32PLP 50-59 years, male 141.8
GTEX-W5WG-1826-SM-4KL2Y 50-59 years, female 141.8
GTEX-1GTWX-0126-SM-9YFLK 60-69 years, male 141.8
GTEX-1H1E6-1726-SM-ACKVK 30-39 years, male 141.8
GTEX-1MUQO-0126-SM-EAZ58 60-69 years, male 141.7
GTEX-1QEPI-0126-SM-EWRMQ 60-69 years, female 141.7
GTEX-1RB15-2126-SM-E9TIM 60-69 years, male 141.7
GTEX-13D11-2426-SM-5KM1V 50-59 years, female 141.6
GTEX-ZE7O-0126-SM-57WC1 50-59 years, female 141.6
GTEX-ZZ64-1726-SM-5GZYB 20-29 years, male 141.6
GTEX-13FXS-0226-SM-5IJCK 50-59 years, male 141.5
GTEX-1HR98-0126-SM-B2LWI 60-69 years, male 141.5
GTEX-1MCQQ-0826-SM-DLHC2 60-69 years, male 141.4
GTEX-14ICK-0226-SM-6EU25 40-49 years, male 140.9
GTEX-YB5K-2126-SM-4WWDJ 40-49 years, female 140.7
GTEX-14E6E-1826-SM-5S2R7 30-39 years, male 140.6
GTEX-RWSA-0126-SM-2XCBB 40-49 years, male 140.6
GTEX-ZAJG-0126-SM-5HL94 50-59 years, female 140.6
GTEX-1GMRU-0126-SM-9YFLV 50-59 years, male 140.6
GTEX-13O3Q-2426-SM-5IJBR 50-59 years, male 140.5
GTEX-QLQ7-1626-SM-2S1R8 60-69 years, male 140.5
GTEX-1F5PL-0326-SM-7P8PQ 40-49 years, female 140.5
GTEX-12WSD-0126-SM-59HKN 60-69 years, female 140.4
GTEX-ZTPG-0326-SM-5O9AX 20-29 years, female 140.4
GTEX-WY7C-2326-SM-3NB2U 50-59 years, male 140.3
GTEX-ZAB5-1826-SM-5HL7C 50-59 years, male 140.1
GTEX-15SDE-2226-SM-7IGLO 50-59 years, female 140.0
GTEX-XV7Q-2526-SM-4BRV9 40-49 years, female 140.0
GTEX-1EKGG-0226-SM-9WYTH 60-69 years, male 140.0
GTEX-13RTL-0126-SM-7LG5S 40-49 years, male 139.8
GTEX-1C6VS-0526-SM-7DUEN 60-69 years, male 139.8
GTEX-1R46S-0626-SM-E9J41 60-69 years, female 139.7
GTEX-13OVL-0226-SM-5L3E9 50-59 years, male 139.6
GTEX-RU72-0926-SM-2TF6B 50-59 years, female 139.6
GTEX-14JG6-2226-SM-6EU2G 30-39 years, female 139.5
GTEX-1PPH8-0226-SM-E8VND 20-29 years, male 139.5
GTEX-WYJK-0126-SM-3NMAB 50-59 years, male 139.2
GTEX-ZGAY-0526-SM-4WWBB 40-49 years, female 139.1
GTEX-145LV-2126-SM-5LU8N 50-59 years, male 138.8
GTEX-11ZTT-2426-SM-5EQLS 60-69 years, female 138.7
GTEX-13111-1626-SM-5EGJY 50-59 years, male 138.7
GTEX-XBED-2226-SM-47JYQ 60-69 years, male 138.7
GTEX-1LC47-0326-SM-E9TJP 60-69 years, male 138.6
GTEX-14JG1-0426-SM-6ETZZ 40-49 years, male 138.5
GTEX-PWO3-1526-SM-48TCM 60-69 years, female 138.4
GTEX-1GF9U-2126-SM-7SB7L 40-49 years, female 138.4
GTEX-1I1GV-0526-SM-A9G29 60-69 years, male 138.4
GTEX-1B8SG-0126-SM-73KZ3 50-59 years, male 138.3
GTEX-V1D1-2226-SM-3NMAX 50-59 years, male 138.3
GTEX-1LG7Y-0526-SM-DKPQC 50-59 years, male 138.3
GTEX-1QP9N-1426-SM-DTXFL 30-39 years, male 138.3
GTEX-WZTO-0126-SM-3NM95 40-49 years, male 138.1
GTEX-Z9EW-1626-SM-5CVMN 40-49 years, male 138.1
GTEX-X4XX-0126-SM-3NMC2 60-69 years, male 137.9
GTEX-1GPI6-0126-SM-9WG69 60-69 years, male 137.8
GTEX-17MF6-0126-SM-7LG4F 40-49 years, male 137.7
GTEX-WH7G-2326-SM-3NMBC 40-49 years, male 137.7
GTEX-ZZPT-0226-SM-5E43X 50-59 years, male 137.7
GTEX-S95S-1226-SM-4GICG 60-69 years, male 137.6
GTEX-1H1DE-2126-SM-9WG6R 20-29 years, male 137.6
GTEX-1IY9M-0126-SM-D3L8S 60-69 years, male 137.6
GTEX-VJWN-0126-SM-3GIK7 50-59 years, female 137.4
GTEX-16XZZ-0126-SM-793DV 60-69 years, male 137.3
GTEX-1AX9I-0126-SM-7SB74 60-69 years, male 137.2
GTEX-1JKYR-0126-SM-CNPOJ 20-29 years, male 137.1
GTEX-1R7EU-0226-SM-EVR4G 60-69 years, male 137.1
GTEX-ZTX8-1426-SM-5DUVO 20-29 years, male 136.8
GTEX-1JN1M-0326-SM-CYPT3 60-69 years, female 136.8
GTEX-1PFEY-1526-SM-E76PP 30-39 years, male 136.8
GTEX-1RDX4-0126-SM-E9J4P 50-59 years, female 136.7
GTEX-XXEK-2226-SM-4BRUM 50-59 years, male 136.5
GTEX-ZPIC-1726-SM-DHXIU 40-49 years, female 136.5
GTEX-14BMV-0126-SM-5S2PO 50-59 years, male 136.3
GTEX-145MN-2226-SM-5SIAU 30-39 years, male 136.2
GTEX-1CAMR-1926-SM-7EPI2 20-29 years, male 136.2
GTEX-1K2DA-1826-SM-CGQGT 50-59 years, male 136.2
GTEX-ZYT6-0226-SM-5NQ6T 30-39 years, male 136.1
GTEX-1I6K6-0126-SM-A9SLE 30-39 years, male 136.1
GTEX-1IGQW-0126-SM-COH42 60-69 years, male 136.1
GTEX-1IOXB-0126-SM-ARL8G 50-59 years, male 136.1
GTEX-145ME-1826-SM-5SI9G 40-49 years, female 136.0
GTEX-ZC5H-0226-SM-4WAY9 40-49 years, female 136.0
GTEX-12WSG-2826-SM-E9J4H 50-59 years, female 136.0
GTEX-1JMQI-2226-SM-CM2SD 50-59 years, male 136.0
GTEX-11LCK-1026-SM-5A5KB 30-39 years, male 135.8
GTEX-SUCS-1926-SM-32PM3 70-79 years, male 135.8
GTEX-1192W-2626-SM-5Q5AF 60-69 years, male 135.7
GTEX-1HBPM-0226-SM-ARL9F 60-69 years, female 135.7
GTEX-ZU9S-0226-SM-5E441 30-39 years, male 135.6
GTEX-1CB4J-0626-SM-7DHMP 60-69 years, male 135.5
GTEX-QEG4-0226-SM-2S1PY 30-39 years, male 135.5
GTEX-XPVG-2626-SM-4B669 50-59 years, male 135.5
GTEX-13X6I-0626-SM-5QGP9 60-69 years, male 135.4
GTEX-18A67-0126-SM-7LG5P 50-59 years, male 135.4
GTEX-WFON-2126-SM-3LK7O 40-49 years, male 135.4
GTEX-16MT8-0426-SM-7KUEY 60-69 years, female 135.2
GTEX-PVOW-0126-SM-2XCFA 40-49 years, male 135.2
GTEX-T8EM-1026-SM-3DB7M 40-49 years, male 135.2
GTEX-13O3O-0126-SM-E9J49 60-69 years, female 135.2
GTEX-1212Z-2526-SM-5EGKP 60-69 years, male 135.1
GTEX-12WSJ-1826-SM-5GCNY 40-49 years, female 135.0
GTEX-17JCI-0126-SM-7LG5G 60-69 years, female 134.8
GTEX-139TT-0126-SM-5K7Y5 60-69 years, male 134.7
GTEX-1A3MX-0126-SM-731BR 60-69 years, male 134.7
GTEX-P44H-0226-SM-2XCEU 40-49 years, male 134.7
GTEX-12WSC-0126-SM-5EQ4P 50-59 years, male 134.6
GTEX-1H4P4-0726-SM-9YFLR 50-59 years, male 134.5
GTEX-1HSMQ-1226-SM-CGQFX 50-59 years, male 134.5
GTEX-WQUQ-0426-SM-3MJFU 60-69 years, male 134.4
GTEX-ZQUD-1426-SM-57WER 30-39 years, male 134.3
GTEX-17GQL-2026-SM-718BA 60-69 years, male 134.1
GTEX-T5JC-0426-SM-32PLO 20-29 years, male 134.1
GTEX-ZY6K-1826-SM-5GZXK 50-59 years, male 133.9
GTEX-1HSMP-0126-SM-E6CJS 70-79 years, male 133.8
GTEX-1KANB-0526-SM-E6CJH 50-59 years, male 133.8
GTEX-1QPFJ-0226-SM-E76PB 30-39 years, female 133.7
GTEX-1R9K4-0126-SM-DTX9X 60-69 years, male 133.7
GTEX-1J8Q3-1626-SM-CMKGC 60-69 years, male 133.5
GTEX-13W3W-2426-SM-5LU5B 60-69 years, female 133.3
GTEX-14C5O-0126-SM-5SI6N 60-69 years, male 133.3
GTEX-16YQH-0126-SM-7DUFJ 30-39 years, male 133.3
GTEX-TMMY-0226-SM-33HBA 40-49 years, female 133.3
GTEX-1GPI7-0126-SM-9MQL8 20-29 years, male 133.3
GTEX-1IKK5-0626-SM-ARL8A 60-69 years, male 133.3
GTEX-1EU9M-0226-SM-7P8SP 60-69 years, male 133.2
GTEX-1JKYN-1326-SM-CGQG9 30-39 years, male 132.8
GTEX-PSDG-0226-SM-DKPOZ 50-59 years, male 132.8
GTEX-17HHE-2026-SM-79OKF 50-59 years, male 132.7
GTEX-16XZY-2126-SM-79OK1 70-79 years, male 132.5
GTEX-1JJEA-0326-SM-CNPOT 60-69 years, male 132.5
GTEX-14PN3-2426-SM-6LLHS 60-69 years, female 132.4
GTEX-TSE9-0126-SM-3DB83 60-69 years, female 132.4
GTEX-RUSQ-1526-SM-2TF62 50-59 years, male 132.3
GTEX-ZVT3-0126-SM-5GU6I 60-69 years, female 132.3
GTEX-1S82Y-2026-SM-EVYCM 40-49 years, male 132.3
GTEX-111FC-0126-SM-5N9DL 60-69 years, male 132.1
GTEX-1QP29-0626-SM-EWRMX 50-59 years, male 132.1
GTEX-12ZZZ-0626-SM-5DUXI 60-69 years, male 132.0
GTEX-13S7M-0126-SM-5SI6A 60-69 years, female 132.0
GTEX-1O97I-0326-SM-EYYX7 60-69 years, male 132.0
GTEX-Q2AG-0126-SM-33HBV 40-49 years, female 131.9
GTEX-S32W-2126-SM-2XCB1 50-59 years, female 131.9
GTEX-WI4N-1026-SM-3LK7N 40-49 years, female 131.8
GTEX-11XUK-2026-SM-5EQLF 40-49 years, female 131.7
GTEX-Y111-0126-SM-4SOIV 50-59 years, male 131.6
GTEX-1J8QM-2126-SM-CYPSJ 60-69 years, female 131.4
GTEX-1F6IF-0726-SM-7P8TW 60-69 years, male 131.3
GTEX-1QAET-0926-SM-E76QM 50-59 years, male 131.2
GTEX-1S3DN-2226-SM-EVYCD 50-59 years, male 131.2
GTEX-14BIN-0626-SM-793DP 50-59 years, female 131.1
GTEX-145LU-0126-SM-5TDCB 50-59 years, male 131.0
GTEX-13PDP-0126-SM-5L3HD 60-69 years, male 130.7
GTEX-1GMR8-0126-SM-9WYTM 50-59 years, female 130.7
GTEX-1NV5F-0226-SM-E8VNY 60-69 years, female 130.6
GTEX-13NYS-0126-SM-5MR3W 60-69 years, male 130.5
GTEX-11GSO-2426-SM-5A5LY 60-69 years, male 130.1
GTEX-Y8LW-1826-SM-5S2MV 50-59 years, female 130.1
GTEX-U4B1-1826-SM-4DXSU 40-49 years, male 129.9
GTEX-RM2N-1426-SM-2TF4H 50-59 years, male 129.7
GTEX-YJ8A-0426-SM-5IFID 20-29 years, male 129.7
GTEX-139TU-0126-SM-5K7WH 60-69 years, male 129.6
GTEX-13SLX-0526-SM-5S2ON 50-59 years, female 129.5
GTEX-1JMQL-0226-SM-CNPP5 50-59 years, female 129.4
GTEX-18A7B-0126-SM-7LG64 70-79 years, male 129.3
GTEX-1399R-2726-SM-5IJBA 30-39 years, male 129.0
GTEX-1CB4F-0426-SM-9KNV4 60-69 years, male 129.0
GTEX-1IKOH-0226-SM-COH4E 60-69 years, female 129.0
GTEX-11DXY-2626-SM-5GIE7 60-69 years, male 128.9
GTEX-VUSG-2526-SM-4KL1V 50-59 years, male 128.9
GTEX-12ZZY-0226-SM-5LZVE 60-69 years, male 128.6
GTEX-1LGRB-2526-SM-CNPPQ 50-59 years, female 128.6
GTEX-16GPK-0126-SM-7DHLE 60-69 years, male 128.5
GTEX-1ICLZ-0126-SM-CKZPO 60-69 years, male 128.5
GTEX-1KD5A-0226-SM-D5OV3 50-59 years, male 128.5
GTEX-11P7K-2126-SM-5GU7G 30-39 years, male 128.4
GTEX-144GL-0126-SM-5TDE2 50-59 years, male 128.4
GTEX-1RQEC-0426-SM-E6CHU 60-69 years, male 128.4
GTEX-17HGU-0226-SM-7DHKV 50-59 years, male 128.3
GTEX-QLQW-1126-SM-2S1Q8 30-39 years, male 128.3
GTEX-1HB9E-0226-SM-E9U4R 50-59 years, male 128.3
GTEX-OXRN-0126-SM-48TDM 50-59 years, male 128.2
GTEX-139D8-0226-SM-5KLZO 30-39 years, female 128.1
GTEX-ZUA1-0126-SM-5GU76 40-49 years, male 128.1
GTEX-ZAB4-0226-SM-5N9F5 40-49 years, male 128.0
GTEX-VJYA-1126-SM-3GIJU 60-69 years, male 127.9
GTEX-Y8E4-0626-SM-4WWDL 40-49 years, male 127.9
GTEX-1PBJI-0526-SM-E8VNK 20-29 years, female 127.9
GTEX-117XS-2726-SM-5N9BL 60-69 years, male 127.8
GTEX-1AMEY-1326-SM-73KYK 30-39 years, female 127.8
GTEX-OHPM-0126-SM-2YUN9 50-59 years, male 127.8
GTEX-14LZ3-0226-SM-62LET 60-69 years, female 127.7
GTEX-13QJ3-0326-SM-5S2RA 50-59 years, male 127.5
GTEX-12WSL-2526-SM-5GCNJ 50-59 years, male 127.4
GTEX-ZDTS-0126-SM-4WAY5 60-69 years, male 127.4
GTEX-12KS4-0326-SM-5EQ41 30-39 years, male 127.3
GTEX-Z93T-0126-SM-5HL5N 50-59 years, male 127.3
GTEX-18465-0126-SM-731BN 50-59 years, male 127.2
GTEX-18QFQ-0126-SM-731BE 30-39 years, male 127.2
GTEX-ZTSS-1926-SM-57WEW 40-49 years, male 127.2
GTEX-13OVG-1926-SM-5L3DK 60-69 years, male 127.1
GTEX-1HCU8-0626-SM-A9SM9 60-69 years, female 127.0
GTEX-1BAJH-0526-SM-793CQ 70-79 years, male 126.9
GTEX-133LE-1826-SM-5J1MV 20-29 years, female 126.6
GTEX-1I1GS-0126-SM-B2LVW 60-69 years, male 126.6
GTEX-ZVE2-0226-SM-59HJB 50-59 years, male 126.4
GTEX-1C64O-0126-SM-7SB8P 60-69 years, male 126.3
GTEX-ZYFC-0226-SM-5NQ75 50-59 years, male 126.2
GTEX-1HFI7-1826-SM-ACKXH 50-59 years, female 126.0
GTEX-1QP2A-0126-SM-E9J43 50-59 years, male 125.9
GTEX-1H3VY-0126-SM-ACKXD 50-59 years, male 125.7
GTEX-1R9PM-2026-SM-E76OY 20-29 years, male 125.7
GTEX-ZYFG-2326-SM-5E44B 60-69 years, female 125.4
GTEX-1GL5R-1826-SM-9KNUY 50-59 years, male 125.3
GTEX-NFK9-0226-SM-2HMKQ 40-49 years, male 125.2
GTEX-1I1HK-0126-SM-COH49 60-69 years, male 125.1
GTEX-1IKJJ-0126-SM-CNPQB 60-69 years, male 124.9
GTEX-R55E-0126-SM-2TC5Y 20-29 years, male 124.8
GTEX-1JK1U-2026-SM-CM2RZ 60-69 years, male 124.8
GTEX-1MA7X-2226-SM-E6CIY 60-69 years, male 124.8
GTEX-13NYB-2526-SM-5K7Z6 40-49 years, male 124.7
GTEX-ZDTT-2726-SM-4WKF8 60-69 years, male 124.7
GTEX-15DYW-0126-SM-7KULE 60-69 years, female 124.6
GTEX-11ZTS-0126-SM-5EQ6M 60-69 years, female 124.5
GTEX-17KNJ-2326-SM-7DHLQ 50-59 years, male 124.5
GTEX-11VI4-1726-SM-5CVLH 40-49 years, female 124.4
GTEX-ZXG5-0126-SM-5GIEU 60-69 years, male 124.1
GTEX-1314G-1526-SM-5EGK2 30-39 years, male 124.0
GTEX-16AAH-1726-SM-7939C 50-59 years, male 124.0
GTEX-U3ZM-1526-SM-3DB9D 40-49 years, male 124.0
GTEX-1KWVE-1426-SM-E9TJO 30-39 years, male 123.9
GTEX-1H3NZ-0126-SM-ACKX7 60-69 years, male 123.6
GTEX-1C4CL-0526-SM-73KVK 30-39 years, male 123.3
GTEX-11P81-2326-SM-59875 30-39 years, female 123.1
GTEX-17EVP-0326-SM-7DHLG 40-49 years, male 122.8
GTEX-1HSGN-0226-SM-CGQFV 40-49 years, female 122.8
GTEX-13NZB-2526-SM-5J1OM 30-39 years, male 122.7
GTEX-ZF2S-2326-SM-4WWCE 50-59 years, female 122.7
GTEX-RN64-0126-SM-2TC68 50-59 years, male 122.6
GTEX-13CF3-2426-SM-5IFGX 60-69 years, female 122.4
GTEX-15CHC-2126-SM-6EU21 60-69 years, female 122.3
GTEX-16NPX-0226-SM-79OMT 50-59 years, male 122.1
GTEX-1H2FU-0126-SM-9WYSI 60-69 years, female 122.0
GTEX-1QCLY-0326-SM-E8VOG 30-39 years, male 122.0
GTEX-16BQI-0226-SM-7KUEX 30-39 years, female 121.8
GTEX-T6MO-1626-SM-32QOM 40-49 years, female 121.8
GTEX-1K9T9-0126-SM-EVYCF 50-59 years, female 121.7
GTEX-WOFL-0126-SM-3MJG2 60-69 years, male 121.5
GTEX-ZV6S-2326-SM-4YCEY 40-49 years, female 121.4
GTEX-RWS6-2026-SM-2XCB5 60-69 years, female 121.3
GTEX-1JJ6O-0126-SM-E6CI8 60-69 years, male 121.3
GTEX-16NGA-1726-SM-731B4 40-49 years, female 121.0
GTEX-TKQ1-1026-SM-4GICL 30-39 years, male 120.9
GTEX-1HKZK-0326-SM-9WYUH 40-49 years, male 120.9
GTEX-1399T-2826-SM-5KLYZ 60-69 years, male 120.8
GTEX-145MI-0526-SM-5O9A8 60-69 years, female 120.8
GTEX-1192X-0226-SM-5H12D 50-59 years, male 120.6
GTEX-R55G-2526-SM-2TC6D 40-49 years, female 120.3
GTEX-1C2JI-1826-SM-73KXC 50-59 years, male 120.2
GTEX-RNOR-0126-SM-E9J4R 50-59 years, female 120.2
GTEX-1I1GU-2226-SM-CGQFA 40-49 years, male 120.0
GTEX-18A66-0226-SM-718BD 60-69 years, male 119.8
GTEX-PW2O-1526-SM-7RHHB 20-29 years, male 119.6
GTEX-12WSN-5019-SM-79OM6 40-49 years, male 119.0
GTEX-WYVS-2126-SM-3NMA3 40-49 years, female 118.9
GTEX-11EI6-0126-SM-5985R 60-69 years, male 118.6
GTEX-1RAZA-0126-SM-E6CI3 20-29 years, male 118.6
GTEX-1128S-2326-SM-5GZZY 60-69 years, female 118.5
GTEX-1J8Q2-0526-SM-CM2RW 60-69 years, male 118.5
GTEX-1JN76-0126-SM-CNPPE 20-29 years, female 118.4
GTEX-13OVH-0126-SM-5MR4B 70-79 years, male 118.2
GTEX-1HBPN-0226-SM-9YFM1 50-59 years, male 118.2
GTEX-ZDXO-3026-SM-5J1N5 60-69 years, male 118.1
GTEX-1I1CD-0126-SM-CM2TK 60-69 years, female 118.1
GTEX-1JMOU-1526-SM-CL54I 60-69 years, female 118.0
GTEX-ZYY3-0126-SM-5GZY5 60-69 years, female 117.8
GTEX-17F97-0326-SM-7LG5B 50-59 years, male 117.6
GTEX-131XG-2626-SM-5KM17 50-59 years, female 117.5
GTEX-12C56-1726-SM-5EQ61 20-29 years, male 117.3
GTEX-1AMFI-2026-SM-731BH 50-59 years, female 116.9
GTEX-14DAQ-0126-SM-5S2MQ 60-69 years, female 116.8
GTEX-SNMC-1226-SM-2XCFP 20-29 years, male 116.8
GTEX-1IDJU-2626-SM-CM2RT 60-69 years, female 116.5
GTEX-1A8FM-0226-SM-7SB7Q 50-59 years, female 116.2
GTEX-1J1R8-1726-SM-ARL8M 40-49 years, male 116.2
GTEX-1JMPY-1326-SM-ARL8Y 30-39 years, male 116.2
GTEX-PLZ5-2026-SM-2S1O4 50-59 years, male 115.6
GTEX-1IL2V-0126-SM-CM2TX 70-79 years, male 115.6
GTEX-1JMLX-0226-SM-CM2RO 50-59 years, male 115.6
GTEX-1I1GR-0126-SM-CL55F 60-69 years, male 115.5
GTEX-YB5E-2026-SM-5IFIS 40-49 years, male 115.4
GTEX-18D9U-0226-SM-718BP 40-49 years, male 115.0
GTEX-1H23P-0126-SM-ADEJ3 60-69 years, male 114.7
GTEX-13OW8-1326-SM-5J1OW 60-69 years, male 114.5
GTEX-OIZF-0126-SM-7SB8I 60-69 years, male 114.5
GTEX-1HSKV-0226-SM-A9SKJ 60-69 years, male 114.4
GTEX-1E1VI-0126-SM-7DHMZ 50-59 years, male 114.1
GTEX-1J1OQ-0226-SM-CYPSH 40-49 years, female 114.0
GTEX-ZWKS-0126-SM-5SIAA 30-39 years, male 113.8
GTEX-147GR-0526-SM-5S2MY 60-69 years, male 113.7
GTEX-ZF28-0126-SM-4WKGK 60-69 years, male 113.7
GTEX-11EQ9-2426-SM-5HL5T 30-39 years, male 113.1
GTEX-1F6RS-0126-SM-9MQKZ 60-69 years, female 112.9
GTEX-ZV68-0126-SM-59HKS 50-59 years, female 112.8
GTEX-1C475-1826-SM-73KWA 40-49 years, female 112.4
GTEX-13NYC-0326-SM-E9J4S 60-69 years, male 112.4
GTEX-1HSEH-0126-SM-ACKXN 60-69 years, male 112.2
GTEX-1B8KE-2126-SM-73KYX 50-59 years, male 111.8
GTEX-1HCU9-1526-SM-A9SL7 20-29 years, male 111.8
GTEX-1B97I-1626-SM-73KYO 40-49 years, male 111.4
GTEX-169BO-1326-SM-9MQK2 50-59 years, male 110.9
GTEX-17MFQ-1726-SM-793C7 20-29 years, male 110.7
GTEX-1CB4E-2226-SM-793DC 60-69 years, male 110.5
GTEX-Y5V5-2326-SM-4V6GA 60-69 years, female 110.4
GTEX-13FH7-2026-SM-E9J4I 50-59 years, female 110.3
GTEX-T5JW-1626-SM-3GADZ 20-29 years, female 110.1
GTEX-1A3MW-0126-SM-73KXX 60-69 years, female 110.0
GTEX-13N2G-2626-SM-5J1OT 60-69 years, male 109.2
GTEX-1B8KZ-2026-SM-7DHMB 50-59 years, male 109.0
GTEX-1F5PK-2426-SM-7RHHY 50-59 years, male 109.0
GTEX-15DCD-0126-SM-7KUEK 70-79 years, female 108.9
GTEX-1AX9J-0226-SM-73KXM 60-69 years, male 108.9
GTEX-13SLW-0126-SM-5SI6C 70-79 years, male 108.8
GTEX-17HG3-2226-SM-7938L 30-39 years, female 108.8
GTEX-1C6VR-2426-SM-79OLD 60-69 years, male 108.4
GTEX-Q2AH-1626-SM-3GAF8 40-49 years, male 108.4
GTEX-17EUY-0426-SM-793BD 20-29 years, male 108.2
GTEX-1CB4H-0226-SM-7PBXM 60-69 years, female 107.9
GTEX-1F52S-0126-SM-9MQJU 60-69 years, female 107.9
GTEX-1LSNM-1926-SM-E6CII 50-59 years, male 107.6
GTEX-ZXES-1826-SM-5E43S 30-39 years, female 107.5
GTEX-1GF9X-2026-SM-7PC3A 40-49 years, female 107.2
GTEX-12WSA-0226-SM-5BC5V 60-69 years, male 107.1
GTEX-1LH75-2426-SM-E9TJE 50-59 years, female 107.1
GTEX-1HCVE-0126-SM-CGQEU 50-59 years, male 106.8
GTEX-1E2YA-0126-SM-9KNUC 50-59 years, male 106.7
GTEX-1LG7Z-1726-SM-D3LA4 30-39 years, male 106.3
GTEX-1KAFJ-2026-SM-CY8ID 50-59 years, male 106.2
GTEX-1K2DU-2326-SM-E9TIV 20-29 years, male 105.6
GTEX-1H11D-0226-SM-9WG6Z 40-49 years, male 105.3
GTEX-1I1GQ-0126-SM-COH3H 50-59 years, male 105.3
GTEX-13FTY-0526-SM-5L3EV 40-49 years, female 105.2
GTEX-14PHW-0126-SM-6LLJI 60-69 years, female 105.0
GTEX-17F96-1626-SM-7DUFL 70-79 years, male 103.7
GTEX-14E7W-0126-SM-6LLJ9 70-79 years, male 103.6
GTEX-14XAO-2326-SM-6EU1B 60-69 years, female 102.7
GTEX-1KANA-0726-SM-D3L9I 20-29 years, male 102.5
GTEX-1IL2U-0226-SM-CE6T8 60-69 years, male 101.5
GTEX-14A5H-0426-SM-5QGQF 60-69 years, male 101.4
GTEX-1EN7A-0126-SM-7SB81 40-49 years, male 101.4
GTEX-1CB4I-0226-SM-79OLH 50-59 years, male 101.2
GTEX-1S82Z-0826-SM-E6CHY 30-39 years, female 101.2
GTEX-1I1GT-0626-SM-CGQER 60-69 years, female 98.1
GTEX-XUZC-1726-SM-4BRWS 30-39 years, female 97.3
GTEX-15F5U-1526-SM-6PANO 40-49 years, male 96.9
GTEX-1HCU7-0226-SM-CL545 50-59 years, male 96.1
GTEX-1CAMQ-0226-SM-7IGPK 40-49 years, male 95.4
GTEX-1JJE9-0326-SM-CL53Z 70-79 years, male 94.9
GTEX-U3ZN-2326-SM-3DB7W 30-39 years, female 89.9
GTEX-15UKP-0426-SM-7KUFQ 20-29 years, male 89.7
GTEX-1L5NE-2526-SM-E6CIE 50-59 years, male 89.2
Show allShow less

Contact

  • NEWS ARTICLES
  • PRESS ROOM

The Project

  • INTRODUCTION
  • ORGANIZATION
  • PUBLICATIONS

The Human Protein Atlas

  • DOWNLOADABLE DATA
  • LICENCE & CITATION
  • HELP & FAQ
The Human Protein Atlas project is funded
by the Knut & Alice Wallenberg Foundation.


contact@proteinatlas.org