We use cookies to enhance the usability of our website. If you continue, we'll assume that you are happy to receive all cookies. More information. Don't show this again.
PEA15
HPA
RESOURCES
  • TISSUE
  • BRAIN
  • SINGLE CELL
  • SUBCELLULAR
  • CANCER
  • BLOOD
  • CELL LINE
  • STRUCTURE & INTERACTION
ABOUT
  • INTRODUCTION
  • HISTORY
  • ORGANIZATION
  • PUBLICATIONS
  • ANTIBODY SUBMISSION
  • ANTIBODY AVAILABILITY
  • ACKNOWLEDGMENTS
  • CONTACT
NEWS
  • NEWS ARTICLES
  • PRESS ROOM
LEARN
  • DICTIONARY
  • PROTEIN CLASSES
  • PROTEIN EVIDENCE
  • METHODS
  • EDUCATIONAL VIDEOS
DATA
  • DOWNLOADABLE DATA
  • PUBLICATION DATA
  • RELEASE HISTORY
HELP
  • ANTIBODY VALIDATION
  • ASSAYS & ANNOTATION
  • DISCLAIMER
  • HELP & FAQ
  • PRIVACY STATEMENT
  • LICENCE & CITATION
Fields »
Search result

Field
Term
Gene name
Class
Subclass
Class
Keyword
Chromosome
External id
Tissue
Cell type
Expression
Antibody panel
Tissue
Main location
Patient ID
Annotation
Tissue
Category
Tau score
Cluster
Reliability
Brain region
Category
Tau score
Brain region
Category
Tau score
Brain region
Category
Tau score
Cluster
Reliability
Tissue
Cell type
Enrichment
Cell type
Category
Tau score
Cell type
Category
Tau score
Cell type
Category
Tau score
Cell lineage
Category
Tau score
Cluster
Cluster
Location
Searches
Location
Cell line
Class
Type
Phase
Reliability
Cancer
Prognosis
Cancer
Category
Cancer
Category
Tau score
Cluster
Variants
Interacting gene (ensg_id)
Type
Number of interactions
Pathway
Category
Score
Score
Score
Validation
Validation
Validation
Validation
Antibodies
Data type
Column


  • SUMMARY

  • TISSUE

  • BRAIN

  • SINGLE CELL

  • SUBCELL

  • CANCER

  • BLOOD

  • CELL LINE

  • STRUCT & INT

  • PEA15
TISSUE PRIMARY DATA BREAST Show tissue menu
ADIPOSE TISSUE ADRENAL GLAND AMYGDALA APPENDIX BASAL GANGLIA BONE MARROW BREAST BRONCHUS CEREBELLUM CEREBRAL CORTEX CERVIX CHOROID PLEXUS COLON DUODENUM
ENDOMETRIUM EPIDIDYMIS ESOPHAGUS FALLOPIAN TUBE GALLBLADDER HEART MUSCLE HIPPOCAMPAL FORMATION HYPOTHALAMUS KIDNEY LIVER LUNG LYMPH NODE MIDBRAIN NASOPHARYNX
ORAL MUCOSA OVARY PANCREAS PARATHYROID GLAND PITUITARY GLAND PLACENTA PROSTATE RECTUM RETINA SALIVARY GLAND SEMINAL VESICLE SKELETAL MUSCLE SKIN SMALL INTESTINE
SMOOTH MUSCLE SOFT TISSUE SPINAL CORD SPLEEN STOMACH TESTIS THYMUS THYROID GLAND TONGUE TONSIL URINARY BLADDER VAGINA
ANTIBODIES
AND
VALIDATION
Dictionary
Breast
Tissue proteome
Breast
BREAST - Expression summary
Protein expression
Breasti

On the top, protein expression in current human tissue, based on all annotated cell types, is reported with the units not detected (n), low (l), medium (m) and high (h). Underneath, protein expression in each annotated cell type are reported using the same units.

Protein expression data is based on knowledge-based annotation. For genes where more than one antibody has been used, a collective score is set.

If knowledge-based annotation could not be performed for a gene, no data is displayed here. View antibody staining data further down this page.

h
m
l
n
Adipocytes: Not detected
Glandular cells: Low
Myoepithelial cells: Low
RNA expressioni

A summary of mRNA expression data available for current tissue based on several datasets. The mRNA expression levels in human tissues are based on RNA-seq data generated by the Human Protein Atlas (HPA), Genotype-Tissue Expression (GTEx) portal and CAGE data generated by the FANTOM5 consortium. Consensus normalized expression levels for human tissues was created by combining the data from HPA and GTEx datasets.

The mRNA expression levels in pig are based on RNA-seq data generated by the Human Protein Atlas (HPA), and for mouse, HPA data and in situ hybridization generated by the Allen brain atlas are reported.

Scroll down to view mRNA expression data in more detail.
Consensus:138.0 nTPM
HPA:94.9 nTPM
GTEx:138.0 nTPM
FANTOM5:369.3 Scaled Tags Per Million

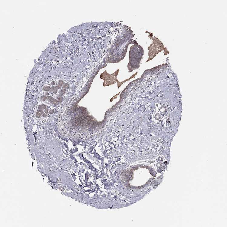
BREAST - Antibody stainingi

Antibody staining in the annotated cell types in the current human tissue is reported as not detected, low, medium, or high, based on conventional immunohistochemistry profiling in selected tissues. This score is based on the combination of the staining intensity and fraction of stained cells.

Each image is clickable and will lead to virtual microscopy that enables deeper exploration of all samples and also displays staining intensity scores, fraction scores and subcellular localization as well as patient and tissue information for each sample.

Antibody HPA070820
Adipocytes Not detected
Glandular cells Medium
Myoepithelial cells Low



BREAST - HPA RNA-seqi

The RNA-seq details section shows detailed information about the individual samples used for the transcript profiling and results of the RNA-seq analysis.

Information about each individual sample is listed below, including gender, age, a tissue section image and estimated fractions of cell types. nTPM (normalized transcripts per million) values give a quantification of the gene abundance which is comparable between different genes and samples.
Average nTPMi

Max subtype nTPM is the value for the subtype with the largest average nTPM across the subtype samples.

94.9
overview
Female, age 52
Breast sample 373
nTPM: 87
Cell types%
Glandular cells:
15

Adipocytes:
5

Other cell types:
80

overview
Female, age 80
Breast sample 390
nTPM: 113.9
Cell types%
Glandular cells:
5

Adipocytes:
15

Other cell types:
80

overview
Female, age 47
Breast sample 405
nTPM: 121.6
Cell types%
Glandular cells:
5

Adipocytes:
5

Other cell types:
90

overview
Female, age 38
Breast sample 410
nTPM: 57.3
Cell types%
Glandular cells:
40

Adipocytes:
5

Other cell types:
55


BREAST - GTEx RNA-seqi

RNA-Seq data generated by the Genotype-Tissue Expression (GTEx) project from human tissues is reported as mean nTPM. More information can be found on the GTEx portal.

Distribution across the dataset is visualized with box plots, shown as median and 25th and 75th percentiles. Points are displayed as outliers if they are above or below 1.5 times the interquartile range. nTPM values of the individual samples are presented next to the box plot.
Max subtype nTPMi

Max subtype nTPM is the value for the subtype with the largest average nTPM across the subtype samples.

138.0
GTEx sample id Sample description nTPM
Breast - Mammary Tissue
Average nTPM: 138.0
Samples: 459

Max nTPM: 376.5
Min nTPM: 45.7
Std nTPM: 54.8
Median nTPM: 131.4
GTEX-1N2EF-2226-SM-E9J33 60-69 years, male 376.5
GTEX-1JN1M-3026-SM-CMKGK 60-69 years, female 337.1
GTEX-1ICLZ-0426-SM-B2LW2 60-69 years, male 324.7
GTEX-11DZ1-0326-SM-5N9BN 50-59 years, male 320.1
GTEX-14PJ4-2126-SM-6ETZJ 60-69 years, male 309.9
GTEX-1I1GP-0426-SM-COH3N 50-59 years, male 304.4
GTEX-TKQ1-0226-SM-33HB5 30-39 years, male 296.3
GTEX-183WM-0726-SM-7LTAA 70-79 years, female 288.6
GTEX-1HSMO-0826-SM-ADEIV 60-69 years, male 286.9
GTEX-11WQK-2426-SM-5GU5C 50-59 years, male 286.8
GTEX-1ICLY-1726-SM-B2LVT 50-59 years, male 283.7
GTEX-13PVQ-1026-SM-5KM3M 50-59 years, male 277.9
GTEX-13S86-1226-SM-5S2OA 40-49 years, male 275.9
GTEX-U8XE-0826-SM-4E3J1 30-39 years, male 271.0
GTEX-1MJK3-1126-SM-E9J3F 20-29 years, male 270.3
GTEX-RUSQ-2026-SM-4GIAK 50-59 years, male 265.4
GTEX-1KANC-1426-SM-CYPT9 50-59 years, female 263.6
GTEX-11O72-2126-SM-5N9FO 40-49 years, male 262.3
GTEX-11TUW-1826-SM-5BC5D 60-69 years, male 255.9
GTEX-1GF9U-1726-SM-7MGY5 40-49 years, female 254.9
GTEX-1IDFM-0426-SM-B2LVV 60-69 years, male 250.7
GTEX-1HCU8-0126-SM-ADEHH 60-69 years, female 247.8
GTEX-1I1GU-1026-SM-ADEHJ 40-49 years, male 244.8
GTEX-1IOXB-1926-SM-ARL8E 50-59 years, male 244.6
GTEX-ZT9W-2026-SM-51MRA 50-59 years, male 241.8
GTEX-S32W-2026-SM-4AD6E 50-59 years, female 237.8
GTEX-16YQH-2826-SM-6PAMY 30-39 years, male 232.2
GTEX-REY6-2426-SM-48FF5 60-69 years, male 231.7
GTEX-1I1GV-2426-SM-CGQFM 60-69 years, male 231.0
GTEX-144GM-0926-SM-5O994 20-29 years, male 229.0
GTEX-17GQL-0326-SM-7LG5U 60-69 years, male 229.0
GTEX-15RJE-2626-SM-7KFT1 40-49 years, male 225.8
GTEX-XV7Q-2326-SM-4BRVZ 40-49 years, female 222.3
GTEX-YEC3-1026-SM-5IFI5 50-59 years, male 219.3
GTEX-UTHO-1026-SM-3GAF7 60-69 years, male 218.2
GTEX-1RLM8-2226-SM-EVYD1 50-59 years, male 213.8
GTEX-WOFL-0826-SM-3MJG1 60-69 years, male 213.5
GTEX-1PPGY-1526-SM-EVYBK 60-69 years, male 213.5
GTEX-13VXU-2826-SM-664MA 50-59 years, male 212.8
GTEX-1H23P-0726-SM-9WG7K 60-69 years, male 211.3
GTEX-12WSN-1326-SM-5GCNT 40-49 years, male 210.5
GTEX-ZDYS-1126-SM-5K7UB 50-59 years, male 210.5
GTEX-1PPH7-0826-SM-E8VNX 40-49 years, male 208.9
GTEX-WFON-1826-SM-3GILG 40-49 years, male 208.3
GTEX-YECK-0726-SM-EZ6LV 60-69 years, male 206.5
GTEX-S33H-0326-SM-4AD6N 30-39 years, male 206.3
GTEX-13QJ3-0826-SM-7DHKK 50-59 years, male 205.8
GTEX-1MA7X-1626-SM-E9U5B 60-69 years, male 205.7
GTEX-13N1W-0626-SM-5MR4U 70-79 years, male 204.9
GTEX-11OF3-1926-SM-59889 60-69 years, male 203.4
GTEX-15EOM-5019-SM-793DK 20-29 years, female 202.6
GTEX-ZZ64-1226-SM-5E43R 20-29 years, male 202.4
GTEX-1C6VQ-0426-SM-79OOX 50-59 years, male 200.6
GTEX-1HSEH-2026-SM-ADEHN 60-69 years, male 199.7
GTEX-S7SE-0826-SM-4AT4D 50-59 years, male 199.5
GTEX-17F97-2526-SM-7EWDV 50-59 years, male 198.6
GTEX-11EQ9-1826-SM-5Q5AJ 30-39 years, male 198.0
GTEX-1LSNL-2826-SM-E9U5L 50-59 years, male 196.9
GTEX-13113-5013-SM-7SB7G 60-69 years, female 195.7
GTEX-18A6Q-0926-SM-7LG4N 60-69 years, male 195.4
GTEX-X4XY-0926-SM-4E3JD 60-69 years, male 195.4
GTEX-15UF7-0726-SM-6M46D 40-49 years, male 194.8
GTEX-ZQG8-0726-SM-5P9H9 60-69 years, female 194.7
GTEX-X62O-0526-SM-EWRMA 50-59 years, male 194.7
GTEX-1HR9M-2426-SM-ACKXI 60-69 years, male 194.1
GTEX-13O3Q-2226-SM-5KM4O 50-59 years, male 193.9
GTEX-11P82-1326-SM-5HL62 20-29 years, male 193.8
GTEX-PSDG-1626-SM-48TCQ 50-59 years, male 193.5
GTEX-ZWKS-2826-SM-5NQ74 30-39 years, male 191.9
GTEX-11ZUS-0826-SM-5FQUY 30-39 years, male 190.1
GTEX-13O3O-0826-SM-5K7WE 60-69 years, female 189.9
GTEX-1HFI7-0126-SM-CGQFQ 50-59 years, female 189.9
GTEX-1JMOU-2026-SM-CMKGU 60-69 years, female 189.9
GTEX-V955-2026-SM-3GAFA 60-69 years, male 189.4
GTEX-145MF-2226-SM-7EPIR 50-59 years, male 189.3
GTEX-14E6E-1326-SM-5S2NR 30-39 years, male 189.3
GTEX-1H3VY-0926-SM-ACKXE 50-59 years, male 188.8
GTEX-18D9A-1526-SM-7LG4J 30-39 years, female 187.1
GTEX-1NV8Z-2826-SM-E8VME 60-69 years, male 187.1
GTEX-XQ8I-2426-SM-4WAXY 50-59 years, male 186.6
GTEX-183FY-1126-SM-7DHLJ 20-29 years, male 186.1
GTEX-1LC47-1226-SM-D4P44 60-69 years, male 186.1
GTEX-11NSD-0926-SM-5N9DR 20-29 years, male 185.9
GTEX-1JN6P-2426-SM-ARL99 60-69 years, male 185.9
GTEX-YFCO-1826-SM-4W1YH 40-49 years, male 185.6
GTEX-1S82U-1126-SM-E9U6I 30-39 years, female 185.1
GTEX-1M4P7-2626-SM-E9U5F 60-69 years, male 184.8
GTEX-Z9EW-1526-SM-EZ6LU 40-49 years, male 184.1
GTEX-1IGQW-0926-SM-ADEH6 60-69 years, male 183.9
GTEX-132AR-0826-SM-5EGK6 50-59 years, female 183.4
GTEX-1L5NE-2126-SM-CY8IH 50-59 years, male 183.2
GTEX-TKQ2-1826-SM-33HB2 50-59 years, male 180.6
GTEX-1HT8W-2226-SM-CGQEC 30-39 years, male 180.6
GTEX-Y5V6-2126-SM-4WWFX 60-69 years, male 178.0
GTEX-ZYW4-0826-SM-5GIDG 60-69 years, male 177.9
GTEX-14B4R-1226-SM-5TDDT 30-39 years, male 177.8
GTEX-145MO-0826-SM-5NQBL 60-69 years, male 176.7
GTEX-1EKGG-2626-SM-7IGPY 60-69 years, male 175.5
GTEX-1117F-2826-SM-5GZXL 60-69 years, female 174.8
GTEX-YJ8O-2226-SM-5IFHW 40-49 years, female 174.5
GTEX-11DXY-2326-SM-5GICW 60-69 years, male 174.0
GTEX-1H4P4-2226-SM-9MQKQ 50-59 years, male 173.6
GTEX-XMK1-1126-SM-4IHJ8 40-49 years, male 173.5
GTEX-17F9E-2526-SM-7MGW2 50-59 years, male 173.4
GTEX-1A3MX-2726-SM-718B6 60-69 years, male 173.3
GTEX-ZYFC-0826-SM-5E44K 50-59 years, male 173.2
GTEX-1QW4Y-1026-SM-DTXE2 30-39 years, male 172.7
GTEX-Y8E4-1626-SM-5S2MW 40-49 years, male 172.0
GTEX-1QP9N-1826-SM-E8VMP 30-39 years, male 171.4
GTEX-1HCU7-1026-SM-ADEIP 50-59 years, male 171.2
GTEX-17HGU-1326-SM-79OKB 50-59 years, male 171.1
GTEX-ZTTD-1026-SM-51MRD 50-59 years, male 170.9
GTEX-1IDJH-2226-SM-E6CJV 70-79 years, male 169.9
GTEX-12KS4-0126-SM-5Q5A5 30-39 years, male 169.1
GTEX-ZPIC-1126-SM-5BC7F 40-49 years, female 168.5
GTEX-ZVZQ-0826-SM-51MRF 60-69 years, female 168.0
GTEX-13FTW-1426-SM-5LZWZ 40-49 years, male 167.7
GTEX-X261-0626-SM-3NMD9 50-59 years, male 166.7
GTEX-18A7B-2626-SM-7LG55 70-79 years, male 165.9
GTEX-117XS-1926-SM-5GICO 60-69 years, male 165.6
GTEX-1OKEX-0826-SM-E9J2B 60-69 years, male 165.2
GTEX-15G19-2126-SM-6M48J 60-69 years, male 165.0
GTEX-1JKYN-0726-SM-ARZMY 30-39 years, male 164.8
GTEX-1GF9V-2526-SM-7SB8K 60-69 years, male 164.1
GTEX-13CF3-2126-SM-5IFJP 60-69 years, female 163.8
GTEX-U412-1826-SM-4DXTJ 60-69 years, male 163.8
GTEX-1QMI2-0726-SM-E9J4F 60-69 years, male 163.7
GTEX-S4Q7-1126-SM-4AD6R 20-29 years, male 163.5
GTEX-1R9PM-1826-SM-EVYBH 20-29 years, male 163.4
GTEX-1NHNU-0926-SM-E9J2T 50-59 years, male 163.1
GTEX-14E6C-1326-SM-62LEQ 40-49 years, male 162.9
GTEX-13OW8-0226-SM-5K7UP 60-69 years, male 162.8
GTEX-1R7EV-1526-SM-E8VOD 40-49 years, male 162.6
GTEX-R55D-0826-SM-48FEA 50-59 years, male 162.2
GTEX-1LBAC-0926-SM-CXKY9 20-29 years, male 162.1
GTEX-XQ3S-1326-SM-4BOPQ 20-29 years, male 161.9
GTEX-1J8Q3-1326-SM-CMKI1 60-69 years, male 161.8
GTEX-1C6VS-0726-SM-7EPHF 60-69 years, male 161.7
GTEX-1GZ2Q-2626-SM-7MXV9 40-49 years, male 161.7
GTEX-17MF6-0326-SM-7EPH5 40-49 years, male 161.3
GTEX-1I6K6-0826-SM-ARL7Z 30-39 years, male 161.2
GTEX-11ZTT-2326-SM-5EQLG 60-69 years, female 160.9
GTEX-WHSB-1926-SM-EXOHH 50-59 years, male 160.6
GTEX-ZUA1-1526-SM-59HLS 40-49 years, male 160.1
GTEX-12BJ1-1826-SM-5HL9N 60-69 years, male 159.1
GTEX-14753-2426-SM-5LU8U 60-69 years, male 159.1
GTEX-1F75B-0626-SM-7SB8A 50-59 years, male 159.1
GTEX-1KD5A-1926-SM-DKPQA 50-59 years, male 158.9
GTEX-17EVQ-0426-SM-7LG57 70-79 years, male 158.4
GTEX-1EU9M-2826-SM-7EWFH 60-69 years, male 157.8
GTEX-1H1ZS-0126-SM-9YFKQ 70-79 years, male 157.4
GTEX-ZV6S-1826-SM-5NQ8D 40-49 years, female 155.9
GTEX-QEL4-2126-SM-447AE 50-59 years, male 154.7
GTEX-1S82Z-0726-SM-E6CHX 30-39 years, female 154.5
GTEX-ZDTT-2126-SM-DKPOM 60-69 years, male 154.1
GTEX-XGQ4-0926-SM-4AT4U 50-59 years, male 153.3
GTEX-169BO-1126-SM-7MGWN 50-59 years, male 153.3
GTEX-13W46-0826-SM-5LU3H 50-59 years, male 152.6
GTEX-ZVT4-1026-SM-57WC4 50-59 years, female 152.5
GTEX-1IDJF-2326-SM-ARL86 20-29 years, male 152.0
GTEX-WY7C-2726-SM-3NB3P 50-59 years, male 151.5
GTEX-144GL-2026-SM-5LU3O 50-59 years, male 151.2
GTEX-145ME-1526-SM-5Q5F2 40-49 years, female 151.2
GTEX-12WSM-1726-SM-5BC6J 60-69 years, male 151.1
GTEX-1HCU9-0326-SM-9WYSC 20-29 years, male 150.7
GTEX-1E2YA-2726-SM-7IGPW 50-59 years, male 150.6
GTEX-1C6WA-2426-SM-7SB86 60-69 years, male 150.2
GTEX-11NV4-2026-SM-5N9DG 60-69 years, male 149.8
GTEX-1AMEY-1026-SM-718AA 30-39 years, female 149.3
GTEX-ZLWG-1926-SM-DO92J 50-59 years, female 148.9
GTEX-1HBPM-0126-SM-ARL9E 60-69 years, female 148.8
GTEX-QMRM-1626-SM-D4P1U 50-59 years, male 148.4
GTEX-13O61-1826-SM-5KM4I 60-69 years, male 148.2
GTEX-1313W-0826-SM-5EQ4T 50-59 years, female 147.7
GTEX-1EWIQ-1726-SM-7SB7T 70-79 years, female 146.7
GTEX-1B933-2526-SM-7IGO5 50-59 years, female 146.0
GTEX-1LG7Z-0726-SM-CXKYD 30-39 years, male 146.0
GTEX-146FH-0826-SM-5SI8T 50-59 years, female 145.5
GTEX-17F96-2426-SM-7IGLN 70-79 years, male 145.3
GTEX-17MFQ-0926-SM-7LG4S 20-29 years, male 145.3
GTEX-18465-2026-SM-718AP 50-59 years, male 145.3
GTEX-1H11D-1526-SM-9MQJY 40-49 years, male 144.6
GTEX-ZQUD-1926-SM-51MSA 30-39 years, male 144.5
GTEX-ZLFU-2126-SM-DO931 40-49 years, male 143.5
GTEX-13NZ8-0126-SM-5IJCT 60-69 years, female 143.4
GTEX-17F98-0526-SM-79OK5 40-49 years, female 142.2
GTEX-14PKU-0426-SM-6EU1P 40-49 years, female 142.0
GTEX-Y9LG-1426-SM-5IFJZ 30-39 years, male 142.0
GTEX-X4EP-2926-SM-3P5YQ 60-69 years, female 141.7
GTEX-XYKS-1326-SM-4BRUN 60-69 years, female 141.5
GTEX-1MJK2-2226-SM-EVYCR 50-59 years, male 141.3
GTEX-14E7W-0826-SM-62LEJ 70-79 years, male 141.2
GTEX-1GPI7-0926-SM-7PC3J 20-29 years, male 141.2
GTEX-11GSO-1926-SM-5A5K3 60-69 years, male 141.0
GTEX-13FTX-1126-SM-5N9EN 20-29 years, female 139.7
GTEX-1H1DG-0526-SM-9YFLN 70-79 years, male 139.4
GTEX-R53T-1526-SM-48FEK 50-59 years, female 139.1
GTEX-ZDXO-0126-SM-5S2ND 60-69 years, male 139.0
GTEX-1QEPI-0926-SM-DTXF3 60-69 years, female 138.7
GTEX-11LCK-2426-SM-5HL5F 30-39 years, male 138.4
GTEX-14PJO-0726-SM-69LO8 60-69 years, male 138.1
GTEX-1CB4E-0226-SM-79OLW 60-69 years, male 137.7
GTEX-1314G-1226-SM-5BC6D 30-39 years, male 137.5
GTEX-YB5E-1726-SM-5IFJ3 40-49 years, male 137.4
GTEX-1QCLZ-2326-SM-DTXDO 60-69 years, female 137.0
GTEX-ZYT6-0126-SM-5E45J 30-39 years, male 136.4
GTEX-1HR98-0426-SM-COH36 60-69 years, male 136.4
GTEX-1A8G7-2426-SM-731AK 60-69 years, male 136.2
GTEX-WRHU-0326-SM-3MJFY 50-59 years, female 136.1
GTEX-139T6-1626-SM-5PNYZ 50-59 years, male 136.0
GTEX-145MN-1926-SM-5SIAI 30-39 years, male 135.3
GTEX-XMD2-0926-SM-4WWEF 60-69 years, female 135.0
GTEX-18A66-1726-SM-7LG5N 60-69 years, male 135.0
GTEX-1LSVX-2426-SM-E6CJX 60-69 years, male 135.0
GTEX-1GZHY-0726-SM-9WG6B 50-59 years, female 134.9
GTEX-QVJO-1826-SM-447C9 60-69 years, female 134.4
GTEX-1AX9J-1126-SM-731B7 60-69 years, male 133.9
GTEX-1KD4Q-2326-SM-D4P3M 40-49 years, male 133.8
GTEX-1B8KE-1226-SM-73KWK 50-59 years, male 133.2
GTEX-1ICG6-1326-SM-ACKWR 70-79 years, female 133.2
GTEX-1JMLX-2026-SM-CMKGN 50-59 years, male 132.7
GTEX-1LGRB-1826-SM-CNPQL 50-59 years, female 132.7
GTEX-1R46S-2526-SM-E8VN2 60-69 years, female 132.7
GTEX-ZAB4-2526-SM-5HL8M 40-49 years, male 132.4
GTEX-14DAR-1326-SM-7DUEG 50-59 years, male 132.1
GTEX-1F5PK-2126-SM-7PC28 50-59 years, male 132.1
GTEX-1IDJU-1826-SM-CMKHV 60-69 years, female 132.1
GTEX-1QPFJ-2026-SM-EVYBE 30-39 years, female 131.9
GTEX-17EVP-0226-SM-79OND 40-49 years, male 131.8
GTEX-1B8L1-2426-SM-9WYTE 60-69 years, male 131.4
GTEX-1QP28-1226-SM-E9J2M 50-59 years, female 131.2
GTEX-SE5C-2126-SM-4BRUJ 40-49 years, female 129.3
GTEX-11ONC-2126-SM-5HL6E 60-69 years, male 128.9
GTEX-14ICK-2426-SM-6EU27 40-49 years, male 128.1
GTEX-1JJE9-2326-SM-ARL8Q 70-79 years, male 127.0
GTEX-13NZ9-1026-SM-5MR5K 50-59 years, male 125.8
GTEX-ZU9S-1926-SM-5NQBP 30-39 years, male 125.7
GTEX-11EI6-0626-SM-5985T 60-69 years, male 125.6
GTEX-17JCI-0726-SM-7EPH1 60-69 years, female 125.6
GTEX-ZA64-1526-SM-5CVMD 20-29 years, male 125.1
GTEX-1A3MV-1626-SM-731C1 30-39 years, male 125.0
GTEX-11GSP-0926-SM-9WYSG 60-69 years, female 124.9
GTEX-1GF9X-1026-SM-ACKX2 40-49 years, female 124.6
GTEX-1I19N-2826-SM-CL55D 70-79 years, male 124.6
GTEX-WI4N-1426-SM-3LK7H 40-49 years, female 123.7
GTEX-1HC8U-0826-SM-ADEIL 40-49 years, female 123.7
GTEX-1PDJ9-1126-SM-EXUSW 20-29 years, male 123.5
GTEX-1J8Q2-2726-SM-A9G2X 60-69 years, male 123.3
GTEX-Y114-2026-SM-4TT7L 50-59 years, female 122.7
GTEX-1B8SG-1226-SM-7IGPF 50-59 years, male 122.6
GTEX-1KAFJ-0226-SM-DIPEL 50-59 years, male 122.6
GTEX-14BMV-0626-SM-793AU 50-59 years, male 122.5
GTEX-Y3I4-1526-SM-4TT7K 50-59 years, male 121.9
GTEX-132NY-0826-SM-5K7Y7 60-69 years, male 121.2
GTEX-1122O-1226-SM-5H113 60-69 years, female 121.0
GTEX-13SLW-2526-SM-62LDQ 70-79 years, male 120.7
GTEX-1192X-2326-SM-5987X 50-59 years, male 120.5
GTEX-12WSK-2226-SM-5GCO5 40-49 years, female 120.4
GTEX-XUW1-2326-SM-4BOO5 50-59 years, female 119.6
GTEX-1BAJH-0826-SM-7EWEF 70-79 years, male 119.4
GTEX-YB5K-1626-SM-5IFIN 40-49 years, female 119.2
GTEX-1AX9I-0726-SM-73KWV 60-69 years, male 118.7
GTEX-Y5V5-2126-SM-4WWFO 60-69 years, female 118.3
GTEX-147F4-2826-SM-5NQBN 50-59 years, male 117.9
GTEX-1GZ4I-2826-SM-9MQK5 50-59 years, male 117.9
GTEX-14PN4-0626-SM-62LFP 50-59 years, male 117.1
GTEX-1211K-1926-SM-5EQLB 60-69 years, female 116.7
GTEX-1GN2E-2226-SM-9WG6J 60-69 years, male 116.5
GTEX-1IKOE-1326-SM-CE6T6 30-39 years, female 116.4
GTEX-17HG3-0126-SM-7IGNH 30-39 years, female 116.3
GTEX-W5X1-2326-SM-3GIL6 40-49 years, female 115.7
GTEX-Y111-2026-SM-4SOJA 50-59 years, male 115.6
GTEX-139TU-0626-SM-5KM3X 60-69 years, male 115.5
GTEX-VUSG-2226-SM-4KKZO 50-59 years, male 115.3
GTEX-T2YK-2226-SM-32QPT 50-59 years, male 114.9
GTEX-1KXAM-1026-SM-CY8IA 60-69 years, male 114.8
GTEX-ZLV1-1426-SM-DO92Z 60-69 years, female 114.6
GTEX-11I78-2226-SM-5PNYA 50-59 years, female 114.3
GTEX-1JKYR-0926-SM-CMKGJ 20-29 years, male 114.3
GTEX-1J8EW-2626-SM-CL53E 60-69 years, female 113.5
GTEX-ZAJG-0626-SM-5HL8X 50-59 years, female 112.4
GTEX-11TT1-2126-SM-5GU5Y 20-29 years, male 112.2
GTEX-11P81-1926-SM-5BC53 30-39 years, female 111.9
GTEX-T5JC-2126-SM-32PMO 20-29 years, male 111.9
GTEX-1AX8Z-0926-SM-731AW 60-69 years, male 111.5
GTEX-1MCC2-2126-SM-EWRON 30-39 years, female 111.3
GTEX-1B97J-0426-SM-79OLQ 50-59 years, female 111.0
GTEX-1CB4J-1826-SM-7EWF9 60-69 years, male 111.0
GTEX-11DXZ-1926-SM-5GZZL 50-59 years, male 110.8
GTEX-1RQEC-2026-SM-DTXDM 60-69 years, male 110.6
GTEX-ZV7C-1826-SM-5NQ83 50-59 years, male 110.0
GTEX-13O3P-0826-SM-5L3DH 50-59 years, male 109.8
GTEX-ZVTK-0326-SM-51MRR 20-29 years, male 109.4
GTEX-11DXW-0626-SM-5N9ER 40-49 years, male 108.5
GTEX-1RAZQ-1226-SM-EWRNL 30-39 years, male 108.5
GTEX-UPK5-2326-SM-3P5Z8 40-49 years, male 108.4
GTEX-1GMRU-0826-SM-9WYT7 50-59 years, male 108.4
GTEX-ZEX8-2226-SM-57WC6 50-59 years, male 108.0
GTEX-14AS3-1626-SM-5S2OY 40-49 years, female 107.5
GTEX-1R9JW-0326-SM-EAZ45 30-39 years, female 106.9
GTEX-13NZB-2126-SM-5MR4Y 30-39 years, male 106.8
GTEX-TML8-1226-SM-32QON 40-49 years, female 106.7
GTEX-1JJEA-2726-SM-ARL8V 60-69 years, male 106.5
GTEX-1IE54-0626-SM-ARL8D 40-49 years, female 106.1
GTEX-13W3W-1226-SM-5LU4H 60-69 years, female 105.8
GTEX-1NUQO-2226-SM-E9U68 20-29 years, female 105.6
GTEX-16BQI-1026-SM-7KUEA 30-39 years, female 105.5
GTEX-15SHW-1326-SM-6PAL8 60-69 years, male 104.6
GTEX-11GS4-2126-SM-5A5KR 60-69 years, male 104.5
GTEX-15UF6-0126-SM-6PAMB 70-79 years, female 104.5
GTEX-133LE-1726-SM-5K7VQ 20-29 years, female 104.2
GTEX-18QFQ-0826-SM-718AX 30-39 years, male 104.2
GTEX-1EN7A-1426-SM-7PBY4 40-49 years, male 104.2
GTEX-1R9PN-0326-SM-DTX85 40-49 years, female 104.2
GTEX-1F75A-1826-SM-7SB8G 50-59 years, male 104.0
GTEX-1C475-1226-SM-7SB72 40-49 years, female 103.6
GTEX-1H1CY-2226-SM-9WG7E 60-69 years, female 103.3
GTEX-17KNJ-2026-SM-7LG53 50-59 years, male 103.2
GTEX-1B97I-0426-SM-79OL7 40-49 years, male 103.0
GTEX-1399U-1826-SM-5PNZ1 50-59 years, female 102.9
GTEX-11WQC-1726-SM-5GU4W 60-69 years, male 102.7
GTEX-1I4MK-1626-SM-CM2TJ 50-59 years, female 102.7
GTEX-14PHY-1926-SM-5YY95 60-69 years, female 102.6
GTEX-1I1HK-2426-SM-ADEHX 60-69 years, male 102.4
GTEX-1K9T9-1426-SM-DIPFQ 50-59 years, female 101.8
GTEX-13D11-1026-SM-5IJFB 50-59 years, female 101.4
GTEX-14LLW-0626-SM-62LFC 70-79 years, female 101.1
GTEX-17HHY-0926-SM-793C1 50-59 years, male 101.1
GTEX-117YX-1426-SM-5H12H 50-59 years, male 100.8
GTEX-1LNCM-0226-SM-DIPF4 50-59 years, female 100.5
GTEX-14A5I-0726-SM-5TDEB 50-59 years, female 99.9
GTEX-1N2EE-2126-SM-E8VNN 60-69 years, male 98.9
GTEX-1IKJJ-2326-SM-COH3U 60-69 years, male 98.8
GTEX-18A7A-0726-SM-7LTAI 50-59 years, female 98.7
GTEX-T2IS-1526-SM-32QPR 20-29 years, female 98.7
GTEX-1GZ4H-0326-SM-7P8QX 50-59 years, female 98.7
GTEX-RWS6-1926-SM-47JXY 60-69 years, female 98.1
GTEX-VJWN-0726-SM-3GIJ8 50-59 years, female 98.0
GTEX-17HHE-1426-SM-7EPH4 50-59 years, male 97.8
GTEX-1JK1U-1826-SM-ARL8W 60-69 years, male 97.7
GTEX-1LSNM-1326-SM-E9TJ1 50-59 years, male 97.7
GTEX-1GPI6-0626-SM-7RHHJ 60-69 years, male 97.5
GTEX-T6MO-0326-SM-32QOK 40-49 years, female 97.4
GTEX-1KANA-2026-SM-DIPFB 20-29 years, male 97.2
GTEX-13OW5-2226-SM-5L3HC 60-69 years, male 97.1
GTEX-17EUY-1926-SM-7DUF6 20-29 years, male 97.0
GTEX-1N5O9-1126-SM-DTXEQ 60-69 years, male 96.1
GTEX-15ETS-0626-SM-7KUMX 40-49 years, female 96.0
GTEX-QEG5-0726-SM-D4P1T 20-29 years, male 95.6
GTEX-R3RS-0626-SM-48FE1 40-49 years, female 95.4
GTEX-RU72-0626-SM-46MUI 50-59 years, female 95.3
GTEX-13CF2-2026-SM-5K7VI 60-69 years, male 95.1
GTEX-145LT-0726-SM-5S2VM 40-49 years, male 95.0
GTEX-1HUB1-1626-SM-CM2SL 60-69 years, male 94.6
GTEX-1I1GT-1126-SM-ARL7J 60-69 years, female 94.6
GTEX-ZY6K-1626-SM-5GZWV 50-59 years, male 94.1
GTEX-1CB4G-2326-SM-79OOI 60-69 years, male 94.0
GTEX-1F5PL-1026-SM-7RHI1 40-49 years, female 93.9
GTEX-1GMR3-2626-SM-7RHHG 40-49 years, male 93.1
GTEX-1B8KZ-1526-SM-7DUG7 50-59 years, male 91.9
GTEX-1P4AB-1826-SM-E76PU 50-59 years, male 91.8
GTEX-1F75I-2026-SM-7SB7N 40-49 years, male 91.4
GTEX-1C64O-0726-SM-7DUFU 60-69 years, male 91.1
GTEX-ZTX8-1226-SM-4YCE9 20-29 years, male 90.4
GTEX-1R7EU-1226-SM-E8VMR 60-69 years, male 90.4
GTEX-ZF3C-2326-SM-5S2NC 50-59 years, female 90.2
GTEX-S4UY-0726-SM-4AD6X 40-49 years, female 89.9
GTEX-11P7K-0726-SM-5EGKX 30-39 years, male 89.4
GTEX-Y5LM-1726-SM-4VDSX 40-49 years, female 88.4
GTEX-1QP29-1726-SM-E8VMQ 50-59 years, male 88.2
GTEX-XBED-1626-SM-47JYN 60-69 years, male 88.0
GTEX-1IDJE-0826-SM-CKZNZ 50-59 years, female 88.0
GTEX-13FHO-0826-SM-5L3E8 60-69 years, male 87.3
GTEX-1HSKV-2026-SM-CMKGX 60-69 years, male 87.3
GTEX-U3ZN-1926-SM-4DXSG 30-39 years, female 87.2
GTEX-1B932-0826-SM-73KXG 40-49 years, female 87.1
GTEX-ZAK1-1326-SM-EVYAS 50-59 years, female 86.6
GTEX-T5JW-2026-SM-4DM63 20-29 years, female 86.5
GTEX-WYJK-1326-SM-3NB2T 50-59 years, male 86.2
GTEX-XMD1-0826-SM-4AT52 60-69 years, male 85.9
GTEX-13QIC-2326-SM-5LU5N 60-69 years, female 85.6
GTEX-UJHI-1426-SM-3DB9C 50-59 years, female 85.3
GTEX-1IY9M-2726-SM-CMKG5 60-69 years, male 85.1
GTEX-Q2AG-0326-SM-48U1O 40-49 years, female 85.0
GTEX-1JMPZ-1626-SM-COH31 30-39 years, male 84.8
GTEX-1269C-2426-SM-5FQSN 60-69 years, female 84.7
GTEX-13SLX-2326-SM-5ZZWE 50-59 years, female 84.4
GTEX-13PVR-2226-SM-7DHKP 60-69 years, female 84.3
GTEX-14ABY-2126-SM-5QGQZ 50-59 years, male 84.2
GTEX-X15G-1626-SM-3NMB3 50-59 years, female 83.9
GTEX-1F6I4-2526-SM-7SB8F 60-69 years, male 83.9
GTEX-T6MN-0726-SM-32PML 50-59 years, male 83.6
GTEX-XOT4-0726-SM-4GIAW 60-69 years, female 83.2
GTEX-1M5QR-2526-SM-E9U5P 40-49 years, male 82.9
GTEX-1CAMR-1426-SM-793BO 20-29 years, male 82.6
GTEX-1JMQK-2626-SM-COH2W 60-69 years, male 82.5
GTEX-1HCUA-0726-SM-ACKVU 50-59 years, female 82.4
GTEX-111YS-1926-SM-5GICC 60-69 years, male 82.3
GTEX-Y3IK-2326-SM-4WWDT 50-59 years, female 81.8
GTEX-1K2DA-1726-SM-CGQGS 50-59 years, male 81.5
GTEX-S4P3-1326-SM-4AD6V 50-59 years, female 80.6
GTEX-Y8LW-1626-SM-5IFHX 50-59 years, female 80.2
GTEX-14BMU-1626-SM-5TDE7 20-29 years, female 80.1
GTEX-11EMC-2026-SM-5A5JV 60-69 years, female 79.6
GTEX-1MCYP-0126-SM-E6CIS 20-29 years, female 79.3
GTEX-TMMY-0726-SM-33HBE 40-49 years, female 78.8
GTEX-ZGAY-1726-SM-DO91P 40-49 years, female 78.7
GTEX-ZVT2-1826-SM-5NQ8W 50-59 years, female 78.5
GTEX-1HCVE-2626-SM-ADEJ8 50-59 years, male 77.8
GTEX-1IKOH-2326-SM-CM2TW 60-69 years, female 77.5
GTEX-1I6K7-1026-SM-A9SLK 40-49 years, male 77.4
GTEX-1H1E6-0926-SM-9YFLT 30-39 years, male 77.3
GTEX-WXYG-2226-SM-4E3IM 50-59 years, female 77.0
GTEX-ZVE2-1226-SM-5NQ8R 50-59 years, male 77.0
GTEX-1HBPN-2326-SM-9WPPU 50-59 years, male 76.8
GTEX-QDT8-0626-SM-48TYW 30-39 years, female 76.6
GTEX-S341-1526-SM-4AD6K 40-49 years, female 76.6
GTEX-1RAZS-1226-SM-E8VMT 50-59 years, male 76.3
GTEX-1J8QM-2026-SM-ARZMW 60-69 years, female 76.1
GTEX-12ZZX-1126-SM-5EGKB 40-49 years, female 75.2
GTEX-ZZPU-0626-SM-5E43T 50-59 years, female 74.9
GTEX-1QCLY-1626-SM-DTXDW 30-39 years, male 74.6
GTEX-U3ZH-1426-SM-4DXSR 30-39 years, male 74.3
GTEX-ZXES-0826-SM-5E43C 30-39 years, female 74.2
GTEX-1MA7W-1026-SM-DKPQK 20-29 years, female 73.7
GTEX-1GMR2-1926-SM-9MQLZ 50-59 years, male 73.4
GTEX-WYBS-0926-SM-3NM94 60-69 years, female 72.6
GTEX-1GMR8-0726-SM-9KNVI 50-59 years, female 72.6
GTEX-1JMPY-0526-SM-CL54O 30-39 years, male 72.0
GTEX-WFG8-2026-SM-EXOHO 20-29 years, male 71.7
GTEX-15FZZ-0726-SM-7KUFZ 30-39 years, female 71.4
GTEX-132Q8-1426-SM-5EGK7 60-69 years, male 71.2
GTEX-1HKZK-1826-SM-ADEJ2 40-49 years, male 70.3
GTEX-1GN1W-1926-SM-7P8TH 50-59 years, female 70.2
GTEX-YFC4-1426-SM-5IFJG 40-49 years, female 69.7
GTEX-ZC5H-2626-SM-5J2MG 40-49 years, female 69.7
GTEX-1CAMS-1426-SM-7IGPM 40-49 years, female 69.6
GTEX-11PRG-0826-SM-5EQ6A 50-59 years, male 69.5
GTEX-1LVAN-1326-SM-CNPQE 50-59 years, female 69.0
GTEX-1POEN-0926-SM-DTX88 30-39 years, female 68.7
GTEX-13PL6-2926-SM-5L3I2 40-49 years, female 68.6
GTEX-ZF29-1926-SM-5S2P1 60-69 years, female 67.7
GTEX-13N11-1726-SM-5J1OJ 50-59 years, female 67.5
GTEX-131YS-0626-SM-5EGKL 60-69 years, female 66.2
GTEX-ZF2S-2026-SM-5E461 50-59 years, female 66.1
GTEX-1LVAM-0926-SM-E9TJ2 50-59 years, female 63.6
GTEX-139T8-0826-SM-5L3DE 60-69 years, male 63.0
GTEX-13FTY-2226-SM-5J1ND 40-49 years, female 62.9
GTEX-11EM3-1326-SM-5N9C6 20-29 years, female 62.6
GTEX-15ER7-1626-SM-6PAMZ 20-29 years, female 60.3
GTEX-16NGA-0826-SM-718AF 40-49 years, female 57.7
GTEX-131XW-0726-SM-5EGK3 50-59 years, female 57.6
GTEX-RU1J-0626-SM-4WAWY 20-29 years, female 56.4
GTEX-WYVS-1726-SM-3NMAY 40-49 years, female 54.4
GTEX-XUZC-1626-SM-4BRVP 30-39 years, female 53.2
GTEX-14H4A-2526-SM-5YYAY 40-49 years, female 53.1
GTEX-1GN1U-0526-SM-9KNTT 50-59 years, female 51.5
GTEX-ZTPG-2826-SM-57WGA 20-29 years, female 50.7
GTEX-1HSGN-1526-SM-A9SMO 40-49 years, female 45.7
Show allShow less

BREAST - FANTOM5 CAGEi

RNA expression in human tissues obtained through Cap Analysis of Gene Expression (CAGE) generated by the FANTOM5 project are reported as Scaled Tags Per Million.

Max subtype Scaled Tags Per Millioni

Max subtype Scaled Tags Per Million is the value for the subtype with the largest average Scaled Tags Per Million across the subtype samples.

369.3
FANTOM5 sample id Sample description Scaled Tags Per Million
Breast
Scaled Tags Per Million: 369.3
FF:10080-102A8 77 years, female 369.3

Contact

  • NEWS ARTICLES
  • PRESS ROOM

The Project

  • INTRODUCTION
  • ORGANIZATION
  • PUBLICATIONS

The Human Protein Atlas

  • DOWNLOADABLE DATA
  • LICENCE & CITATION
  • HELP & FAQ
The Human Protein Atlas project is funded
by the Knut & Alice Wallenberg Foundation.


contact@proteinatlas.org