We use cookies to enhance the usability of our website. If you continue, we'll assume that you are happy to receive all cookies. More information. Don't show this again.
PEA15
HPA
RESOURCES
  • TISSUE
  • BRAIN
  • SINGLE CELL
  • SUBCELLULAR
  • CANCER
  • BLOOD
  • CELL LINE
  • STRUCTURE & INTERACTION
ABOUT
  • INTRODUCTION
  • HISTORY
  • ORGANIZATION
  • PUBLICATIONS
  • ANTIBODY SUBMISSION
  • ANTIBODY AVAILABILITY
  • ACKNOWLEDGMENTS
  • CONTACT
NEWS
  • NEWS ARTICLES
  • PRESS ROOM
LEARN
  • DICTIONARY
  • PROTEIN CLASSES
  • PROTEIN EVIDENCE
  • METHODS
  • EDUCATIONAL VIDEOS
DATA
  • DOWNLOADABLE DATA
  • PUBLICATION DATA
  • RELEASE HISTORY
HELP
  • ANTIBODY VALIDATION
  • ASSAYS & ANNOTATION
  • DISCLAIMER
  • HELP & FAQ
  • PRIVACY STATEMENT
  • LICENCE & CITATION
Fields »
Search result

Field
Term
Gene name
Class
Subclass
Class
Keyword
Chromosome
External id
Tissue
Cell type
Expression
Antibody panel
Tissue
Main location
Patient ID
Annotation
Tissue
Category
Tau score
Cluster
Reliability
Brain region
Category
Tau score
Brain region
Category
Tau score
Brain region
Category
Tau score
Cluster
Reliability
Tissue
Cell type
Enrichment
Cell type
Category
Tau score
Cell type
Category
Tau score
Cell type
Category
Tau score
Cell lineage
Category
Tau score
Cluster
Cluster
Location
Searches
Location
Cell line
Class
Type
Phase
Reliability
Cancer
Prognosis
Cancer
Category
Cancer
Category
Tau score
Cluster
Variants
Interacting gene (ensg_id)
Type
Number of interactions
Pathway
Category
Score
Score
Score
Validation
Validation
Validation
Validation
Antibodies
Data type
Column


  • SUMMARY

  • TISSUE

  • BRAIN

  • SINGLE CELL

  • SUBCELL

  • CANCER

  • BLOOD

  • CELL LINE

  • STRUCT & INT

  • PEA15
TISSUE PRIMARY DATA HEART MUSCLE Show tissue menu
ADIPOSE TISSUE ADRENAL GLAND AMYGDALA APPENDIX BASAL GANGLIA BONE MARROW BREAST BRONCHUS CEREBELLUM CEREBRAL CORTEX CERVIX CHOROID PLEXUS COLON DUODENUM
ENDOMETRIUM EPIDIDYMIS ESOPHAGUS FALLOPIAN TUBE GALLBLADDER HEART MUSCLE HIPPOCAMPAL FORMATION HYPOTHALAMUS KIDNEY LIVER LUNG LYMPH NODE MIDBRAIN NASOPHARYNX
ORAL MUCOSA OVARY PANCREAS PARATHYROID GLAND PITUITARY GLAND PLACENTA PROSTATE RECTUM RETINA SALIVARY GLAND SEMINAL VESICLE SKELETAL MUSCLE SKIN SMALL INTESTINE
SMOOTH MUSCLE SOFT TISSUE SPINAL CORD SPLEEN STOMACH TESTIS THYMUS THYROID GLAND TONGUE TONSIL URINARY BLADDER VAGINA
ANTIBODIES
AND
VALIDATION
Dictionary
Heart muscle
Tissue proteome
Heart
HEART MUSCLE - Expression summary
Protein expression
Heart musclei

On the top, protein expression in current human tissue, based on all annotated cell types, is reported with the units not detected (n), low (l), medium (m) and high (h). Underneath, protein expression in each annotated cell type are reported using the same units.

Protein expression data is based on knowledge-based annotation. For genes where more than one antibody has been used, a collective score is set.

If knowledge-based annotation could not be performed for a gene, no data is displayed here. View antibody staining data further down this page.

h
m
l
n
Cardiomyocytes: Not detected
RNA expressioni

A summary of mRNA expression data available for current tissue based on several datasets. The mRNA expression levels in human tissues are based on RNA-seq data generated by the Human Protein Atlas (HPA), Genotype-Tissue Expression (GTEx) portal and CAGE data generated by the FANTOM5 consortium. Consensus normalized expression levels for human tissues was created by combining the data from HPA and GTEx datasets.

The mRNA expression levels in pig are based on RNA-seq data generated by the Human Protein Atlas (HPA), and for mouse, HPA data and in situ hybridization generated by the Allen brain atlas are reported.

Scroll down to view mRNA expression data in more detail.
Consensus:234.0 nTPM
HPA:215.8 nTPM
GTEx:234.0 nTPM
FANTOM5:463.7 Scaled Tags Per Million

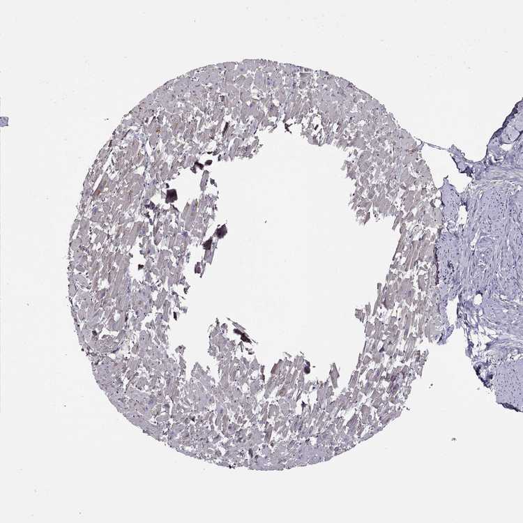
HEART MUSCLE - Antibody stainingi

Antibody staining in the annotated cell types in the current human tissue is reported as not detected, low, medium, or high, based on conventional immunohistochemistry profiling in selected tissues. This score is based on the combination of the staining intensity and fraction of stained cells.

Each image is clickable and will lead to virtual microscopy that enables deeper exploration of all samples and also displays staining intensity scores, fraction scores and subcellular localization as well as patient and tissue information for each sample.

Antibody HPA070820
Cardiomyocytes Not detected



HEART MUSCLE - HPA RNA-seqi

The RNA-seq details section shows detailed information about the individual samples used for the transcript profiling and results of the RNA-seq analysis.

Information about each individual sample is listed below, including gender, age, a tissue section image and estimated fractions of cell types. nTPM (normalized transcripts per million) values give a quantification of the gene abundance which is comparable between different genes and samples.
Average nTPMi

Max subtype nTPM is the value for the subtype with the largest average nTPM across the subtype samples.

215.8
overview
Female, age 48
Heart muscle sample 149
nTPM: 304.2
Cell types%
Myocytes:
15

Fibroblasts:
55

Endothelial cells:
25

Other cell types:
5

overview
Female, age 42
Heart muscle sample 150
nTPM: 311
Cell types%
Myocytes:
20

Fibroblasts:
45

Endothelial cells:
30

Other cell types:
5

overview
Male, age 53
Heart muscle sample 151
nTPM: 119.9
Cell types%
Myocytes:
20

Fibroblasts:
45

Endothelial cells:
30

Other cell types:
5

overview
Female, age 69
Heart muscle sample 152
nTPM: 128.2
Cell types%
Myocytes:
20

Fibroblasts:
45

Endothelial cells:
30

Other cell types:
5


HEART MUSCLE - GTEx RNA-seqi

RNA-Seq data generated by the Genotype-Tissue Expression (GTEx) project from human tissues is reported as mean nTPM. More information can be found on the GTEx portal.

Distribution across the dataset is visualized with box plots, shown as median and 25th and 75th percentiles. Points are displayed as outliers if they are above or below 1.5 times the interquartile range. nTPM values of the individual samples are presented next to the box plot.
Max subtype nTPMi

Max subtype nTPM is the value for the subtype with the largest average nTPM across the subtype samples.

234.0
GTEx sample id Sample description nTPM
Heart - Atrial Appendage
Average nTPM: 164.2
Samples: 429

Max nTPM: 382.7
Min nTPM: 96.2
Std nTPM: 41.6
Median nTPM: 155.6
GTEX-YF7O-0526-SM-5P9IO 50-59 years, male 382.7
GTEX-WHSE-0826-SM-4SOJU 20-29 years, male 331.1
GTEX-1GN1W-0226-SM-7P8QY 50-59 years, female 315.5
GTEX-1C6WA-0826-SM-7PBXS 60-69 years, male 290.2
GTEX-1H2FU-0826-SM-9WYSU 60-69 years, female 287.3
GTEX-11WQK-0226-SM-5EQLI 50-59 years, male 284.5
GTEX-145MN-0726-SM-5NQBH 30-39 years, male 283.7
GTEX-X62O-0826-SM-46MW8 50-59 years, male 283.2
GTEX-13OW5-0926-SM-5L3GZ 60-69 years, male 280.7
GTEX-X8HC-1026-SM-46MWH 50-59 years, female 277.2
GTEX-131XG-0526-SM-5DUWF 50-59 years, female 276.6
GTEX-15SKB-0926-SM-7KUFC 60-69 years, male 274.3
GTEX-1H1ZS-1026-SM-9WG6E 70-79 years, male 270.5
GTEX-11O72-1026-SM-5986B 40-49 years, male 266.9
GTEX-1K2DU-0226-SM-DIPF6 20-29 years, male 262.1
GTEX-1B996-1026-SM-793CF 60-69 years, male 261.4
GTEX-1A32A-1326-SM-73KWW 50-59 years, female 260.8
GTEX-13O3Q-0326-SM-5L3FE 50-59 years, male 258.4
GTEX-145LS-1326-SM-5Q5EP 60-69 years, female 257.7
GTEX-XYKS-0226-SM-4BRW3 60-69 years, female 257.1
GTEX-14BIM-2726-SM-5Q5EG 60-69 years, female 256.6
GTEX-XV7Q-0726-SM-4BRV6 40-49 years, female 254.8
GTEX-13PDP-1326-SM-5K7U9 60-69 years, male 253.7
GTEX-WY7C-1126-SM-3NB3A 50-59 years, male 251.1
GTEX-ZVT4-1326-SM-5NQ8E 50-59 years, female 250.3
GTEX-1J1OQ-2226-SM-A96SS 40-49 years, female 245.3
GTEX-1GZ4I-0826-SM-9WG6O 50-59 years, male 242.1
GTEX-131XE-0526-SM-5K7YT 50-59 years, male 241.7
GTEX-11EQ8-1326-SM-5EGJQ 60-69 years, male 237.6
GTEX-1GF9U-0526-SM-7P8SK 40-49 years, female 234.4
GTEX-13PVQ-1326-SM-5LU4J 50-59 years, male 234.2
GTEX-132Q8-1126-SM-5K7XS 60-69 years, male 233.8
GTEX-13S86-0326-SM-5SI6K 40-49 years, male 232.5
GTEX-1RLM8-0226-SM-E6CJY 50-59 years, male 232.3
GTEX-11GSP-1226-SM-5985M 60-69 years, female 231.4
GTEX-1IKK5-1726-SM-CM2RU 60-69 years, male 231.3
GTEX-1GN1U-1426-SM-7P8TF 50-59 years, female 229.4
GTEX-14C39-0726-SM-5RQIK 40-49 years, male 229.3
GTEX-13X6J-1226-SM-79OMF 50-59 years, male 226.8
GTEX-1GZ2Q-0926-SM-7RHHN 40-49 years, male 226.7
GTEX-17F9Y-1226-SM-7EPGE 70-79 years, female 225.2
GTEX-1LGRB-1026-SM-CNPQD 50-59 years, female 223.4
GTEX-ZTTD-0626-SM-4YCCY 50-59 years, male 221.7
GTEX-1MJIX-0426-SM-DTXEN 40-49 years, male 221.7
GTEX-14PJO-0826-SM-6ETZK 60-69 years, male 220.4
GTEX-1GN1V-1026-SM-CNPPS 60-69 years, male 219.6
GTEX-1HBPH-0226-SM-9WYSM 40-49 years, female 219.1
GTEX-1GMR3-0426-SM-7PC17 40-49 years, male 218.2
GTEX-12WSG-1226-SM-5EQ4C 50-59 years, female 217.0
GTEX-1QEPI-1126-SM-E8VN7 60-69 years, female 215.5
GTEX-ZYFD-2026-SM-5E459 50-59 years, male 214.3
GTEX-11TUW-1126-SM-5EQKJ 60-69 years, male 212.7
GTEX-139TU-1926-SM-5J2OC 60-69 years, male 212.3
GTEX-UPK5-0226-SM-3GAEV 40-49 years, male 211.8
GTEX-1P4AB-0926-SM-E76PV 50-59 years, male 211.5
GTEX-WI4N-0726-SM-3TW93 40-49 years, female 210.5
GTEX-1HBPM-1026-SM-ARL9D 60-69 years, female 209.3
GTEX-1RB15-0426-SM-E9U4Y 60-69 years, male 209.0
GTEX-11UD2-0926-SM-5CVL6 50-59 years, male 208.6
GTEX-17JCI-0826-SM-7LT8W 60-69 years, female 207.4
GTEX-1IDJF-0826-SM-ARU7N 20-29 years, male 205.5
GTEX-XLM4-2026-SM-4AT4X 60-69 years, male 203.9
GTEX-13D11-1526-SM-5J2NA 50-59 years, female 203.1
GTEX-1B97J-0326-SM-7939H 50-59 years, female 201.5
GTEX-12BJ1-0326-SM-5FQUB 60-69 years, male 200.1
GTEX-1HT8W-1326-SM-CGQEN 30-39 years, male 200.1
GTEX-132AR-1926-SM-5EGK5 50-59 years, female 199.0
GTEX-1JMLX-1826-SM-CNPOX 50-59 years, male 198.5
GTEX-1I19N-0626-SM-A9SKY 70-79 years, male 198.2
GTEX-12696-1226-SM-5FQSM 60-69 years, male 197.5
GTEX-12WSI-0426-SM-5EQ5J 50-59 years, male 197.4
GTEX-1EMGI-1126-SM-9KNUF 60-69 years, male 196.2
GTEX-13X6K-1726-SM-7IGLG 60-69 years, female 196.0
GTEX-13N11-0726-SM-5L3DP 50-59 years, female 195.3
GTEX-WWYW-1126-SM-3NB2Q 50-59 years, female 195.0
GTEX-1212Z-0726-SM-5EGI5 60-69 years, male 194.9
GTEX-XPVG-0726-SM-4B658 50-59 years, male 193.7
GTEX-1C6VQ-0826-SM-7PBZT 50-59 years, male 191.0
GTEX-15SHV-0526-SM-7KUEN 60-69 years, male 190.9
GTEX-13NYB-0326-SM-5IJDP 40-49 years, male 189.5
GTEX-13NZB-0426-SM-5KM26 30-39 years, male 189.4
GTEX-1192X-0726-SM-5987R 50-59 years, male 189.1
GTEX-16XZY-0526-SM-7DHKY 70-79 years, male 188.9
GTEX-1JJEA-0926-SM-CYPSO 60-69 years, male 188.8
GTEX-1LH75-0526-SM-DIPG2 50-59 years, female 187.9
GTEX-1GMRU-1326-SM-9WYUI 50-59 years, male 187.2
GTEX-1HSMO-1126-SM-CGQF2 60-69 years, male 187.1
GTEX-13PL6-0826-SM-5IJBI 40-49 years, female 187.0
GTEX-14PN4-0826-SM-69LON 50-59 years, male 187.0
GTEX-ZTPG-1326-SM-51MSQ 20-29 years, female 186.8
GTEX-1F6I4-0826-SM-7RHGK 60-69 years, male 186.5
GTEX-15ER7-0826-SM-6PALW 20-29 years, female 186.3
GTEX-1JJ6O-2226-SM-AHZ3I 60-69 years, male 186.2
GTEX-13OW7-1626-SM-5IJDH 50-59 years, male 186.0
GTEX-U8XE-0926-SM-3DB8V 30-39 years, male 185.7
GTEX-146FH-1126-SM-5NQAT 50-59 years, female 185.5
GTEX-1E1VI-1426-SM-793CY 50-59 years, male 185.1
GTEX-1JMQL-1026-SM-CMKGV 50-59 years, female 185.0
GTEX-14C5O-1226-SM-664N3 60-69 years, male 184.9
GTEX-1POEN-0726-SM-DTXDU 30-39 years, female 184.4
GTEX-13CF2-0226-SM-5L3DV 60-69 years, male 183.9
GTEX-1KD5A-0926-SM-D4P3U 50-59 years, male 183.4
GTEX-13O3P-1426-SM-5L3DT 50-59 years, male 182.8
GTEX-17EVP-0526-SM-7EPGY 40-49 years, male 182.0
GTEX-14A5I-1026-SM-5Q5E3 50-59 years, female 181.7
GTEX-1F75B-1126-SM-7RHGP 50-59 years, male 181.2
GTEX-147F4-1126-SM-5TDDE 50-59 years, male 180.9
GTEX-1R9K4-1026-SM-EXUT1 60-69 years, male 180.8
GTEX-132NY-1426-SM-5J1MJ 60-69 years, male 180.3
GTEX-13RTJ-0526-SM-62LDP 60-69 years, male 180.3
GTEX-1H3NZ-1026-SM-A9SM5 60-69 years, male 180.3
GTEX-ZDYS-0326-SM-5HL4W 50-59 years, male 180.2
GTEX-1IKOH-0926-SM-A9SLU 60-69 years, female 180.1
GTEX-ZAJG-0926-SM-5Q5AB 50-59 years, female 180.0
GTEX-1IL2V-1126-SM-CMKGH 70-79 years, male 179.9
GTEX-13JUV-0226-SM-5IJCC 40-49 years, female 179.8
GTEX-1IKOE-0626-SM-A9G31 30-39 years, female 179.6
GTEX-12WSD-1226-SM-5HL9Q 60-69 years, female 179.5
GTEX-13O3O-1426-SM-5KM2S 60-69 years, female 178.7
GTEX-1EU9M-1926-SM-7RHH4 60-69 years, male 177.8
GTEX-14BIL-0926-SM-7DHKN 50-59 years, male 177.6
GTEX-13NYS-1926-SM-5IJCB 60-69 years, male 177.3
GTEX-1B8SF-1326-SM-7IGQJ 60-69 years, male 177.0
GTEX-1B933-0826-SM-79OMW 50-59 years, female 176.6
GTEX-ZE7O-0626-SM-57WCD 50-59 years, female 176.0
GTEX-XQ3S-0526-SM-4BOQA 20-29 years, male 175.7
GTEX-ZYVF-1826-SM-5E44F 50-59 years, female 175.2
GTEX-1H1DG-0826-SM-9QEIW 70-79 years, male 174.9
GTEX-ZDXO-0426-SM-4WKF6 60-69 years, male 174.2
GTEX-ZPIC-0426-SM-DO91V 40-49 years, female 174.1
GTEX-13SLW-0826-SM-5QGP7 70-79 years, male 173.7
GTEX-1QMI2-1026-SM-DTX7T 60-69 years, male 173.3
GTEX-13FTW-0826-SM-5K7XR 40-49 years, male 172.8
GTEX-15RIE-1326-SM-6PAMM 60-69 years, male 172.6
GTEX-147JS-1326-SM-5SI6D 60-69 years, male 172.3
GTEX-XOT4-1126-SM-4B66E 60-69 years, female 172.2
GTEX-11DYG-1026-SM-5A5JQ 60-69 years, male 172.1
GTEX-13PL7-0726-SM-5KM1S 60-69 years, female 171.7
GTEX-14PJ2-1126-SM-69LOD 50-59 years, male 171.1
GTEX-Y5V5-0726-SM-4VBPY 60-69 years, female 170.8
GTEX-1PPGY-0926-SM-DTXFF 60-69 years, male 170.7
GTEX-13OW6-0926-SM-5L3GM 50-59 years, male 170.6
GTEX-148VJ-1426-SM-5TDE3 70-79 years, male 170.5
GTEX-1I1GP-0626-SM-ARL7H 50-59 years, male 170.2
GTEX-12ZZX-0726-SM-5EGKA 40-49 years, female 170.1
GTEX-ZYFC-1026-SM-5GZX9 50-59 years, male 169.7
GTEX-13N1W-0926-SM-5MR36 70-79 years, male 169.5
GTEX-1LSNL-0626-SM-DIPFJ 50-59 years, male 169.1
GTEX-11DXY-1026-SM-5987V 60-69 years, male 168.8
GTEX-14BMV-1026-SM-5SI6B 50-59 years, male 168.8
GTEX-UTHO-1226-SM-3GAEE 60-69 years, male 168.8
GTEX-1KXAM-1426-SM-D3LAC 60-69 years, male 168.7
GTEX-1MCC2-0226-SM-EVYD5 30-39 years, female 168.4
GTEX-ZZPU-1126-SM-5N9CW 50-59 years, female 168.1
GTEX-13NZA-0826-SM-5K7WS 60-69 years, male 167.9
GTEX-15D1Q-0426-SM-6AJ9G 40-49 years, male 167.9
GTEX-XQ8I-0226-SM-4BOPM 50-59 years, male 167.8
GTEX-X3Y1-0226-SM-3P5Z5 40-49 years, male 167.4
GTEX-13FHP-0826-SM-5K7V5 50-59 years, male 167.3
GTEX-14PJ4-0926-SM-5YY98 60-69 years, male 166.5
GTEX-XXEK-2026-SM-4BRVE 50-59 years, male 165.8
GTEX-ZZPT-0926-SM-5GICZ 50-59 years, male 165.8
GTEX-14BIN-2126-SM-793AX 50-59 years, female 165.2
GTEX-12584-1026-SM-59HK3 40-49 years, male 164.9
GTEX-13JVG-1126-SM-5KM2M 60-69 years, male 164.4
GTEX-X4XX-1126-SM-3NMBY 60-69 years, male 164.4
GTEX-ZG7Y-1426-SM-4WWBM 50-59 years, male 164.1
GTEX-1KANB-1126-SM-DHXJT 50-59 years, male 164.1
GTEX-13FTZ-0326-SM-5J1O1 60-69 years, male 164.0
GTEX-1MJK2-1626-SM-EVYCQ 50-59 years, male 164.0
GTEX-ZVZQ-0726-SM-51MR3 60-69 years, female 163.9
GTEX-ZYT6-0926-SM-5GIEM 30-39 years, male 163.7
GTEX-13W3W-0526-SM-5LU3X 60-69 years, female 163.6
GTEX-16GPK-1226-SM-7LTAU 60-69 years, male 163.6
GTEX-ZPU1-0726-SM-5HL6O 40-49 years, male 163.5
GTEX-16MT8-0826-SM-7KULO 60-69 years, female 163.4
GTEX-1QPFJ-0926-SM-EVR3K 30-39 years, female 163.4
GTEX-1339X-0326-SM-5K7Z8 40-49 years, male 163.3
GTEX-1GN73-2326-SM-9MQKV 60-69 years, male 163.0
GTEX-1L5NE-0526-SM-DIPG5 50-59 years, male 162.8
GTEX-18465-0726-SM-7LG4L 50-59 years, male 162.6
GTEX-Y114-0126-SM-4TT8K 50-59 years, female 162.6
GTEX-11P81-0526-SM-59873 30-39 years, female 162.5
GTEX-1LB8K-0926-SM-D4P42 50-59 years, male 162.5
GTEX-13QBU-0226-SM-5LU48 40-49 years, female 161.9
GTEX-1GF9V-1726-SM-9KNW4 60-69 years, male 161.9
GTEX-132QS-0526-SM-5IJC7 60-69 years, male 161.6
GTEX-XBEC-1226-SM-4AT65 50-59 years, male 161.4
GTEX-12ZZY-1226-SM-5GCNK 60-69 years, male 161.1
GTEX-ZXG5-0626-SM-5NQ85 60-69 years, male 160.9
GTEX-1NHNU-0626-SM-E6CP1 50-59 years, male 160.9
GTEX-1117F-0726-SM-5GIEN 60-69 years, female 160.3
GTEX-1LSNM-0426-SM-E9TIZ 50-59 years, male 160.3
GTEX-11ONC-1026-SM-5GU64 60-69 years, male 160.2
GTEX-ZF3C-1126-SM-57WEG 50-59 years, female 160.1
GTEX-VUSG-0726-SM-3GIK1 50-59 years, male 160.0
GTEX-WRHU-1026-SM-4E3ID 50-59 years, female 159.9
GTEX-Y3I4-0526-SM-4TT6X 50-59 years, male 159.8
GTEX-13SLX-0926-SM-5S2NM 50-59 years, female 159.2
GTEX-14PII-1026-SM-5ZZVW 60-69 years, male 159.2
GTEX-WK11-0626-SM-3NMAV 50-59 years, male 159.2
GTEX-14PHX-0626-SM-5YY8Z 50-59 years, male 158.9
GTEX-14PK6-0726-SM-6LLIX 70-79 years, female 158.9
GTEX-1CB4E-0626-SM-7DHMW 60-69 years, male 158.5
GTEX-16YQH-0726-SM-7IGM1 30-39 years, male 158.2
GTEX-1E2YA-0626-SM-7P8P4 50-59 years, male 158.1
GTEX-17GQL-0626-SM-731CN 60-69 years, male 158.0
GTEX-X261-0926-SM-3NMCY 50-59 years, male 157.6
GTEX-1R9JW-0426-SM-E76QL 30-39 years, female 157.6
GTEX-1HUB1-0726-SM-CGQF4 60-69 years, male 157.4
GTEX-11DXX-0526-SM-5PNVR 60-69 years, female 157.3
GTEX-11TT1-1426-SM-5EGIA 20-29 years, male 156.4
GTEX-15CHR-0326-SM-7DHN3 50-59 years, male 156.3
GTEX-1AYCT-0526-SM-7RHHS 50-59 years, male 156.1
GTEX-11LCK-0826-SM-5PNYD 30-39 years, male 155.6
GTEX-13O61-0426-SM-5L3ET 60-69 years, male 155.6
GTEX-1C2JI-0626-SM-7DHM1 50-59 years, male 155.2
GTEX-1CB4I-1526-SM-7DHMY 50-59 years, male 155.1
GTEX-1I1HK-0626-SM-CNPQM 60-69 years, male 155.0
GTEX-14JG1-0826-SM-5ZZWR 40-49 years, male 154.9
GTEX-1445S-1226-SM-5O9BF 60-69 years, male 154.7
GTEX-131XF-0426-SM-5HL7U 60-69 years, male 154.6
GTEX-YB5K-0226-SM-5IFJE 40-49 years, female 154.6
GTEX-1QP6S-1026-SM-DTXFW 40-49 years, male 154.3
GTEX-18A7A-1226-SM-7LTAJ 50-59 years, female 154.0
GTEX-1GMR8-1026-SM-9MQLA 50-59 years, female 153.9
GTEX-X5EB-0626-SM-46MVQ 40-49 years, male 153.7
GTEX-Z93S-0326-SM-5HL84 50-59 years, male 153.3
GTEX-1C64N-0826-SM-7RHGQ 50-59 years, male 153.1
GTEX-1H3VY-1126-SM-A96TP 50-59 years, male 153.1
GTEX-1LVAO-0626-SM-EWRNT 60-69 years, male 152.7
GTEX-1OFPY-0926-SM-DTX8Q 60-69 years, male 152.0
GTEX-1B8L1-0426-SM-7SB76 60-69 years, male 151.9
GTEX-1F75A-1026-SM-7PC3W 50-59 years, male 151.9
GTEX-11EMC-0826-SM-59862 60-69 years, female 151.6
GTEX-17KNJ-0626-SM-7LT9L 50-59 years, male 151.4
GTEX-ZF29-0426-SM-4WKFN 60-69 years, female 150.8
GTEX-YFC4-0426-SM-4TT3J 40-49 years, female 150.4
GTEX-15DCE-0826-SM-7KULW 20-29 years, male 150.2
GTEX-16XZZ-1026-SM-7DHKS 60-69 years, male 150.2
GTEX-1F75I-1326-SM-7PBZX 40-49 years, male 150.1
GTEX-1HBPN-0926-SM-CGQEG 50-59 years, male 150.1
GTEX-183WM-0926-SM-718AN 70-79 years, female 149.7
GTEX-1IKJJ-0626-SM-CY8GF 60-69 years, male 149.6
GTEX-YEC4-0226-SM-4W1YG 40-49 years, male 149.4
GTEX-ZUA1-0726-SM-4YCD9 40-49 years, male 149.2
GTEX-WQUQ-1326-SM-3MJFF 60-69 years, male 148.9
GTEX-13PVR-0926-SM-5S2RB 60-69 years, female 148.8
GTEX-18D9B-1126-SM-7KFSH 60-69 years, male 148.7
GTEX-1H1CY-0426-SM-9KNVD 60-69 years, female 148.6
GTEX-16NPX-0826-SM-6M489 50-59 years, male 148.5
GTEX-VJWN-1026-SM-4M1ZN 50-59 years, female 148.0
GTEX-14H4A-0426-SM-5ZZWO 40-49 years, female 147.7
GTEX-1JK1U-0626-SM-CKZOJ 60-69 years, male 147.6
GTEX-1HSGN-0926-SM-CNNQM 40-49 years, female 147.5
GTEX-1HSKV-0726-SM-ACKWE 60-69 years, male 147.4
GTEX-ZDTT-0326-SM-4WKF9 60-69 years, male 147.2
GTEX-1EX96-2626-SM-9MQJV 50-59 years, male 147.1
GTEX-1313W-1126-SM-5EQ5U 50-59 years, female 147.0
GTEX-Y3IK-1026-SM-51MR7 50-59 years, female 146.9
GTEX-1GN2E-1426-SM-7RHHI 60-69 years, male 146.9
GTEX-1HCUA-0626-SM-ACKVT 50-59 years, female 146.7
GTEX-145LV-0226-SM-5S2QG 50-59 years, male 146.5
GTEX-1HFI7-0526-SM-A9SMA 50-59 years, female 146.3
GTEX-1211K-0226-SM-59HJY 60-69 years, female 146.2
GTEX-18D9U-1426-SM-718BO 40-49 years, male 146.1
GTEX-WZTO-1226-SM-3NMAZ 40-49 years, male 145.4
GTEX-15SHU-0926-SM-6PAMK 40-49 years, female 145.2
GTEX-18A66-1126-SM-731C5 60-69 years, male 145.2
GTEX-ZEX8-0326-SM-DO92C 50-59 years, male 145.2
GTEX-14E1K-0826-SM-5ZZW9 50-59 years, male 145.1
GTEX-1399S-0826-SM-5KM23 30-39 years, female 144.1
GTEX-13O21-0326-SM-5J1N9 50-59 years, male 143.9
GTEX-XPT6-0226-SM-4B65L 20-29 years, male 143.9
GTEX-13FXS-1026-SM-62LFQ 50-59 years, male 143.8
GTEX-WHWD-0326-SM-3LK6L 50-59 years, male 143.7
GTEX-15CHC-0326-SM-5ZZVP 60-69 years, female 143.6
GTEX-ZGAY-0226-SM-4WWAL 40-49 years, female 143.6
GTEX-ZAB4-0926-SM-5CVN4 40-49 years, male 143.5
GTEX-WFG8-0726-SM-3GILP 20-29 years, male 143.2
GTEX-1QCLZ-1126-SM-EWRNB 60-69 years, female 143.2
GTEX-18A6Q-1526-SM-731CO 60-69 years, male 143.0
GTEX-1CAMQ-0726-SM-7P8SG 40-49 years, male 142.6
GTEX-YJ8O-0826-SM-5CVM3 40-49 years, female 141.9
GTEX-12WSN-0226-SM-5DUXH 40-49 years, male 141.8
GTEX-14A6H-0326-SM-5NQAN 30-39 years, male 141.3
GTEX-1A8FM-1026-SM-7PC26 50-59 years, female 141.1
GTEX-14PHY-0326-SM-62LE3 60-69 years, female 140.9
GTEX-1H3O1-0226-SM-9WYSW 60-69 years, male 140.7
GTEX-ZPCL-0526-SM-DO91R 60-69 years, female 140.7
GTEX-12WSA-1126-SM-5EGKU 60-69 years, male 140.6
GTEX-12WSC-1026-SM-5EQ5Y 50-59 years, male 140.6
GTEX-V955-0826-SM-CYPR5 60-69 years, male 140.6
GTEX-15EU6-1326-SM-6PANG 50-59 years, male 140.5
GTEX-17F96-0826-SM-7DHLU 70-79 years, male 140.2
GTEX-1192W-0226-SM-5EGGT 60-69 years, male 140.0
GTEX-1A8G6-1826-SM-73KY8 60-69 years, male 139.8
GTEX-1BAJH-1026-SM-7EWEG 70-79 years, male 139.6
GTEX-13O1R-0926-SM-5L3DS 60-69 years, male 139.5
GTEX-ZAK1-1126-SM-5PNXU 50-59 years, female 139.4
GTEX-13OVG-0426-SM-5KM2T 60-69 years, male 139.0
GTEX-1JN6P-0826-SM-ARL97 60-69 years, male 139.0
GTEX-1IL2U-1226-SM-CL53P 60-69 years, male 138.3
GTEX-1HCVE-0826-SM-CM2SF 50-59 years, male 137.9
GTEX-13FH7-0826-SM-5J2NW 50-59 years, female 137.8
GTEX-14DAQ-1026-SM-793B1 60-69 years, female 137.8
GTEX-1J8EW-0626-SM-CM2TY 60-69 years, female 137.8
GTEX-17MF6-0926-SM-7LTAL 40-49 years, male 137.7
GTEX-XGQ4-0526-SM-4AT6C 50-59 years, male 137.7
GTEX-1F88F-0326-SM-9KNV3 60-69 years, female 137.4
GTEX-14XAO-0926-SM-69LPZ 60-69 years, female 137.3
GTEX-111VG-0326-SM-5GZX7 60-69 years, male 137.1
GTEX-Y8E4-0426-SM-4V6GB 40-49 years, male 137.1
GTEX-ZT9W-0526-SM-57WFG 50-59 years, male 137.1
GTEX-ZV7C-0526-SM-9WPNK 50-59 years, male 136.7
GTEX-11GS4-0426-SM-5N9CD 60-69 years, male 136.4
GTEX-15RJE-0726-SM-7KUEG 40-49 years, male 136.4
GTEX-ZF2S-0826-SM-4WWBI 50-59 years, female 136.4
GTEX-WEY5-0226-SM-3GIKN 40-49 years, female 136.3
GTEX-WOFL-1226-SM-4OOST 60-69 years, male 136.0
GTEX-1QP29-1426-SM-DTX9Q 50-59 years, male 135.9
GTEX-1CB4G-0726-SM-79OOJ 60-69 years, male 135.7
GTEX-ZVT3-0826-SM-5GIC8 60-69 years, female 135.7
GTEX-1399T-0726-SM-5J1MH 60-69 years, male 135.6
GTEX-13U4I-0626-SM-5LU5L 40-49 years, female 135.5
GTEX-1LVAN-1526-SM-CNPQN 50-59 years, female 135.3
GTEX-13FHO-1226-SM-5L3EF 60-69 years, male 134.7
GTEX-12WSK-0526-SM-5CVNA 40-49 years, female 134.6
GTEX-117YX-0626-SM-5EGJI 50-59 years, male 134.5
GTEX-1B8KE-0326-SM-73KTY 50-59 years, male 134.3
GTEX-13NZ9-0126-SM-5K7XV 50-59 years, male 134.1
GTEX-14PN3-0726-SM-6EU14 60-69 years, female 133.9
GTEX-14C38-1326-SM-62LDK 50-59 years, male 133.8
GTEX-YECK-1226-SM-4W21G 60-69 years, male 133.7
GTEX-146FR-0926-SM-5QGPE 60-69 years, female 133.6
GTEX-V1D1-0626-SM-4JBHN 50-59 years, male 133.5
GTEX-131YS-0826-SM-5PNYV 60-69 years, female 132.6
GTEX-15UF7-1526-SM-6LPI7 40-49 years, male 132.6
GTEX-1EWIQ-1126-SM-7EPIK 70-79 years, female 132.6
GTEX-WFON-0226-SM-3GIKR 40-49 years, male 132.2
GTEX-ZDTS-1226-SM-4WKGL 60-69 years, male 132.1
GTEX-1JMQK-0926-SM-ARL96 60-69 years, male 132.1
GTEX-139YR-0526-SM-5L3DG 50-59 years, male 132.0
GTEX-1477Z-1126-SM-5P9GK 60-69 years, male 132.0
GTEX-14ASI-0826-SM-5Q5EB 60-69 years, male 132.0
GTEX-12WSE-0926-SM-5S2VX 20-29 years, male 131.9
GTEX-W5X1-0826-SM-3GILN 40-49 years, female 131.8
GTEX-X4EP-0326-SM-3P5Z6 60-69 years, female 131.8
GTEX-1B932-1326-SM-79OM4 40-49 years, female 131.6
GTEX-1AX9K-0426-SM-73KUG 50-59 years, male 131.5
GTEX-1HFI6-0826-SM-9YFM2 40-49 years, male 131.5
GTEX-1M5QR-1626-SM-E9U5O 40-49 years, male 131.4
GTEX-14PJM-0826-SM-6LLIW 50-59 years, female 131.2
GTEX-1AX8Z-1126-SM-731CS 60-69 years, male 131.2
GTEX-11NUK-0926-SM-5HL57 50-59 years, male 131.1
GTEX-ZYFG-0526-SM-5GZXX 60-69 years, female 131.0
GTEX-17F9E-0726-SM-793A1 50-59 years, male 130.8
GTEX-144GL-1026-SM-5O99R 50-59 years, male 130.2
GTEX-WL46-0726-SM-3LK5Z 50-59 years, male 129.7
GTEX-1122O-0626-SM-5N9B9 60-69 years, female 129.6
GTEX-13112-0526-SM-5EQ4S 50-59 years, male 129.1
GTEX-11ZVC-0526-SM-5N9G1 50-59 years, female 128.0
GTEX-WHPG-1026-SM-3NMBA 50-59 years, male 128.0
GTEX-1IY9M-0626-SM-D4P2L 60-69 years, male 128.0
GTEX-1J8Q2-1026-SM-ARU8I 60-69 years, male 127.3
GTEX-111YS-0326-SM-5GZZ3 60-69 years, male 126.7
GTEX-1AX9I-1026-SM-73KYF 60-69 years, male 126.2
GTEX-111FC-0626-SM-5N9CU 60-69 years, male 126.1
GTEX-13OVI-0326-SM-5K7X1 60-69 years, female 126.1
GTEX-1IDJU-0626-SM-CKZOG 60-69 years, female 126.0
GTEX-1HR98-1026-SM-CKZOM 60-69 years, male 125.9
GTEX-WYBS-1226-SM-3NM9N 60-69 years, female 125.5
GTEX-ZAB5-0126-SM-5CVMT 50-59 years, male 125.2
GTEX-1LGOU-0326-SM-D3LAM 20-29 years, female 125.0
GTEX-11EM3-0426-SM-5N9BZ 20-29 years, female 124.8
GTEX-WH7G-0326-SM-3NMBH 40-49 years, male 124.7
GTEX-14E7W-1126-SM-5ZZVS 70-79 years, male 124.5
GTEX-117XS-0726-SM-5H131 60-69 years, male 124.4
GTEX-1CAMS-1126-SM-7MXUQ 40-49 years, female 124.4
GTEX-1ICG6-0726-SM-B2LY5 70-79 years, female 124.3
GTEX-1HSMQ-0426-SM-ADEIM 50-59 years, male 124.0
GTEX-18A67-1026-SM-731CE 50-59 years, male 123.8
GTEX-1LG7Y-1426-SM-D4P31 50-59 years, male 123.4
GTEX-1B8SG-0726-SM-79ONS 50-59 years, male 122.9
GTEX-1IDJH-1126-SM-COH3R 70-79 years, male 122.8
GTEX-WFG7-0826-SM-3GIKU 20-29 years, male 122.6
GTEX-1AX9J-0926-SM-73KXA 60-69 years, male 122.5
GTEX-11NV4-0826-SM-5BC4S 60-69 years, male 122.1
GTEX-117YW-0426-SM-5GZZZ 50-59 years, male 121.5
GTEX-15CHQ-1326-SM-6871Z 60-69 years, male 121.5
GTEX-11ZUS-0326-SM-5EQ4W 30-39 years, male 121.2
GTEX-1I1CD-1326-SM-A9SMM 60-69 years, female 120.9
GTEX-1R7EV-0426-SM-DTX7Z 40-49 years, male 120.1
GTEX-14PJ6-0626-SM-686Z6 60-69 years, female 119.7
GTEX-1CB4H-0626-SM-7IGN3 60-69 years, female 119.2
GTEX-YEC3-0426-SM-CYPS8 50-59 years, male 119.2
GTEX-WYJK-1126-SM-3NM9Z 50-59 years, male 119.0
GTEX-1J8QM-0326-SM-CL53D 60-69 years, female 118.9
GTEX-1HCU7-1226-SM-B2LX8 50-59 years, male 118.4
GTEX-14E6C-0326-SM-5Q5EE 40-49 years, male 118.2
GTEX-11DXZ-0326-SM-5EGH1 50-59 years, male 117.8
GTEX-1IOXB-0726-SM-A9G32 50-59 years, male 117.5
GTEX-13VXT-0726-SM-5SIAD 20-29 years, female 116.8
GTEX-1I1GV-1426-SM-B2LXN 60-69 years, male 116.2
GTEX-1IDJD-0226-SM-CKZOA 30-39 years, male 116.2
GTEX-1A3MX-1226-SM-731B3 60-69 years, male 115.2
GTEX-1J8Q3-1126-SM-ARU8N 60-69 years, male 114.8
GTEX-1JMOU-0326-SM-ARL8X 60-69 years, female 114.5
GTEX-1F48J-1126-SM-9WYSY 50-59 years, female 114.1
GTEX-1EH9U-0626-SM-7PC33 60-69 years, male 114.0
GTEX-17HGU-1126-SM-793BP 50-59 years, male 113.9
GTEX-1GTWX-0926-SM-9MQKM 60-69 years, male 113.8
GTEX-1KANC-0226-SM-E9TIW 50-59 years, female 113.2
GTEX-1C64O-0926-SM-79OLN 60-69 years, male 111.5
GTEX-1H11D-1026-SM-9QEIU 40-49 years, male 111.0
GTEX-ZVT2-0926-SM-5GICE 50-59 years, female 110.3
GTEX-1399R-1726-SM-5K7YJ 30-39 years, male 109.5
GTEX-11ZTT-0526-SM-5EQLA 60-69 years, female 108.0
GTEX-1CB4J-0226-SM-7P8T4 60-69 years, male 107.5
GTEX-1HC8U-0626-SM-B2LWB 40-49 years, female 106.9
GTEX-15SDE-1826-SM-7KUFN 50-59 years, female 106.2
GTEX-1I1GR-1026-SM-A9SLC 60-69 years, male 104.0
GTEX-1I1GQ-1226-SM-CL55J 50-59 years, male 102.1
GTEX-1GMR2-1326-SM-9KNUT 50-59 years, male 101.0
GTEX-1399U-0726-SM-5KM1D 50-59 years, female 100.7
GTEX-ZLFU-0326-SM-4WWBK 40-49 years, male 99.8
GTEX-1GL5R-0426-SM-9WPOP 50-59 years, male 98.6
GTEX-1NSGN-1226-SM-E76OL 50-59 years, male 96.7
GTEX-13YAN-1426-SM-7EPG8 60-69 years, male 96.2
Show allShow less
Heart - Left Ventricle
Average nTPM: 234.0
Samples: 432

Max nTPM: 884.7
Min nTPM: 102.1
Std nTPM: 108.0
Median nTPM: 206.6
GTEX-17GQL-0526-SM-72D5N 60-69 years, male 884.7
GTEX-YF7O-0426-SM-5P9FS 50-59 years, male 865.3
GTEX-11EM3-0626-SM-5H12Z 20-29 years, female 722.3
GTEX-1J8QM-0426-SM-AHZ3X 60-69 years, female 718.6
GTEX-1IDJU-0726-SM-CNPQ9 60-69 years, female 705.5
GTEX-SUCS-0326-SM-32PLL 70-79 years, male 681.0
GTEX-ZPIC-0826-SM-4WWFJ 40-49 years, female 632.7
GTEX-YB5K-0126-SM-5IFJ2 40-49 years, female 614.5
GTEX-PWCY-0526-SM-5P9HG 20-29 years, female 601.1
GTEX-1GN1W-0326-SM-9JGHF 50-59 years, female 587.5
GTEX-12WSK-0626-SM-5LZUJ 40-49 years, female 581.0
GTEX-1HSMQ-0226-SM-C1YQL 50-59 years, male 562.3
GTEX-1LGOU-0726-SM-E9TIY 20-29 years, female 558.4
GTEX-14XAO-1126-SM-6EU11 60-69 years, female 545.4
GTEX-O5YV-0326-SM-2I5H2 60-69 years, female 531.7
GTEX-1IDJF-0726-SM-CJI1U 20-29 years, male 516.2
GTEX-1LSNM-0526-SM-DIPG6 50-59 years, male 498.3
GTEX-131XG-0626-SM-5GCMP 50-59 years, female 493.1
GTEX-ZF2S-1026-SM-9QEGK 50-59 years, female 491.9
GTEX-YEC4-0326-SM-4W216 40-49 years, male 488.4
GTEX-145MN-0626-SM-5QGRH 30-39 years, male 478.9
GTEX-XV7Q-0826-SM-4BRV7 40-49 years, female 474.6
GTEX-WH7G-0426-SM-3NMBJ 40-49 years, male 470.9
GTEX-1I6K7-0626-SM-ARL7Q 40-49 years, male 469.9
GTEX-1QP2A-1126-SM-EVR3H 50-59 years, male 460.4
GTEX-PLZ5-0626-SM-2I5F8 50-59 years, male 447.8
GTEX-11I78-0826-SM-5A5K4 50-59 years, female 423.4
GTEX-ZGAY-0326-SM-57WF5 40-49 years, female 419.4
GTEX-WY7C-0526-SM-3NB3D 50-59 years, male 410.4
GTEX-OIZI-0926-SM-E6CHF 40-49 years, male 405.4
GTEX-U3ZN-1426-SM-3DB87 30-39 years, female 380.9
GTEX-1OKEX-0726-SM-DPRYE 60-69 years, male 380.6
GTEX-OIZH-0326-SM-2HMKC 50-59 years, male 377.0
GTEX-13VXT-1126-SM-5LU3A 20-29 years, female 373.2
GTEX-13QBU-0426-SM-5J2O4 40-49 years, female 371.9
GTEX-13W3W-0426-SM-5SI9D 60-69 years, female 371.4
GTEX-P78B-0426-SM-2I5F5 40-49 years, female 371.3
GTEX-1CB4E-0526-SM-7MXTK 60-69 years, male 370.7
GTEX-18A66-1226-SM-7LT8G 60-69 years, male 369.8
GTEX-R45C-0926-SM-3GAD4 60-69 years, female 369.7
GTEX-1K9T9-1126-SM-D3L9E 50-59 years, female 365.2
GTEX-14H4A-0626-SM-5ZZUT 40-49 years, female 351.2
GTEX-1H11D-1226-SM-9WPQ2 40-49 years, male 348.6
GTEX-1QCLZ-0926-SM-E6CQZ 60-69 years, female 347.7
GTEX-R55G-0526-SM-2TC5O 40-49 years, female 346.2
GTEX-X15G-0426-SM-4PQZ6 50-59 years, female 345.3
GTEX-WHWD-0426-SM-3LK83 50-59 years, male 339.6
GTEX-SIU8-0826-SM-2XCDQ 50-59 years, male 337.1
GTEX-145LV-0326-SM-5Q5BW 50-59 years, male 334.9
GTEX-WFG7-0726-SM-3GIKO 20-29 years, male 327.2
GTEX-P4QS-0326-SM-2I3EU 60-69 years, male 326.7
GTEX-1JMOU-0226-SM-CNNPD 60-69 years, female 325.7
GTEX-ZDTT-0726-SM-4WKFK 60-69 years, male 322.6
GTEX-1211K-0626-SM-5FQUZ 60-69 years, female 321.5
GTEX-15RIE-1726-SM-7KUMU 60-69 years, male 321.5
GTEX-ZPCL-0426-SM-DNZZ4 60-69 years, female 319.0
GTEX-13CF3-0726-SM-5J2MY 60-69 years, female 315.2
GTEX-1M5QR-1026-SM-DHXK9 40-49 years, male 307.6
GTEX-1122O-0826-SM-5GICV 60-69 years, female 307.4
GTEX-13O3O-1526-SM-5KM1C 60-69 years, female 307.0
GTEX-1HSMO-1226-SM-CL548 60-69 years, male 304.7
GTEX-Y114-0226-SM-4TT8W 50-59 years, female 300.3
GTEX-OOBJ-0326-SM-33HBO 60-69 years, male 293.3
GTEX-P4PP-0326-SM-33HC4 30-39 years, female 291.5
GTEX-1F5PK-0326-SM-9KNUD 50-59 years, male 291.1
GTEX-15CHC-0426-SM-6LLHI 60-69 years, female 288.7
GTEX-17F9E-0926-SM-7IGMG 50-59 years, male 281.0
GTEX-ZG7Y-0926-SM-5EQ6O 50-59 years, male 278.1
GTEX-1N2EF-2826-SM-E6CQF 60-69 years, male 276.9
GTEX-1B97J-0726-SM-7RHG3 50-59 years, female 276.8
GTEX-146FR-0626-SM-5RQJ1 60-69 years, female 275.0
GTEX-1QPFJ-1026-SM-E6CR6 30-39 years, female 271.4
GTEX-WHSE-0926-SM-3NMBS 20-29 years, male 268.5
GTEX-1J8Q3-1226-SM-CKZPT 60-69 years, male 267.9
GTEX-12WSN-5001-SM-7DHMK 40-49 years, male 267.6
GTEX-ZAJG-0826-SM-5PNVA 50-59 years, female 267.0
GTEX-1MCC2-0326-SM-EV7AK 30-39 years, female 266.5
GTEX-U4B1-0326-SM-3DB8K 40-49 years, male 266.2
GTEX-12WSG-0526-SM-5FQTH 50-59 years, female 266.1
GTEX-1PPGY-1126-SM-E76OU 60-69 years, male 265.4
GTEX-1RQEC-0926-SM-EWROG 60-69 years, male 265.4
GTEX-XPT6-0126-SM-4B65S 20-29 years, male 264.9
GTEX-13PVQ-1226-SM-5IJDC 50-59 years, male 264.3
GTEX-1I1GP-0826-SM-A96SD 50-59 years, male 261.9
GTEX-13S86-0226-SM-5S2PJ 40-49 years, male 261.5
GTEX-YEC3-0726-SM-CMKFH 50-59 years, male 260.4
GTEX-132QS-0426-SM-5KLZ6 60-69 years, male 259.8
GTEX-14PJ6-0726-SM-69LOL 60-69 years, female 258.7
GTEX-Y3I4-0626-SM-4TT7A 50-59 years, male 258.7
GTEX-Y3IK-0826-SM-51MT8 50-59 years, female 258.7
GTEX-1HSGN-1126-SM-CJI4G 40-49 years, female 258.1
GTEX-13X6H-0426-SM-5LU4E 50-59 years, female 257.8
GTEX-XGQ4-0326-SM-4GIEE 50-59 years, male 257.1
GTEX-1HCUA-0526-SM-A9SMH 50-59 years, female 256.8
GTEX-1OFPY-1026-SM-EXUSO 60-69 years, male 256.4
GTEX-17JCI-1126-SM-7IGMM 60-69 years, female 256.1
GTEX-1JK1U-0526-SM-CYPSQ 60-69 years, male 254.8
GTEX-16XZY-0426-SM-793BI 70-79 years, male 254.6
GTEX-ZEX8-0426-SM-DO92Y 50-59 years, male 254.1
GTEX-13FTW-1026-SM-5L3E3 40-49 years, male 253.4
GTEX-QMRM-0526-SM-2I5GA 50-59 years, male 252.3
GTEX-WEY5-0426-SM-3GIKT 40-49 years, female 251.8
GTEX-OXRK-0826-SM-2HMK7 50-59 years, female 251.7
GTEX-UJHI-0426-SM-3DB8Y 50-59 years, female 251.6
GTEX-SE5C-0626-SM-2XCDV 40-49 years, female 251.2
GTEX-U8XE-1126-SM-3DB8W 30-39 years, male 251.2
GTEX-13D11-1726-SM-5IFGQ 50-59 years, female 249.9
GTEX-1KXAM-1326-SM-E9TJW 60-69 years, male 249.8
GTEX-1HCU6-1026-SM-A9G25 60-69 years, female 248.6
GTEX-13PVR-1026-SM-5QGQW 60-69 years, female 247.0
GTEX-1HC8U-0726-SM-ACKXL 40-49 years, female 247.0
GTEX-Y8E4-0326-SM-4VBRR 40-49 years, male 246.3
GTEX-111YS-0426-SM-5987O 60-69 years, male 246.2
GTEX-XPVG-0826-SM-4B654 50-59 years, male 245.9
GTEX-13N1W-1026-SM-5IJC5 70-79 years, male 244.1
GTEX-18D9U-1126-SM-72D5Y 40-49 years, male 243.8
GTEX-OHPK-0326-SM-2HMJO 50-59 years, female 243.7
GTEX-1CB4I-1626-SM-7RHGV 50-59 years, male 242.6
GTEX-14PK6-0826-SM-5ZZVO 70-79 years, female 242.2
GTEX-ZYFG-0426-SM-5E43M 60-69 years, female 242.0
GTEX-1MUQO-1226-SM-E9TJK 60-69 years, male 239.9
GTEX-146FH-1026-SM-5RQIF 50-59 years, female 239.6
GTEX-1HBPH-0126-SM-CNNQ7 40-49 years, female 239.6
GTEX-1POEN-0626-SM-EVR4B 30-39 years, female 239.3
GTEX-1QP29-1526-SM-EXUSY 50-59 years, male 238.1
GTEX-1RMOY-0626-SM-E9TIE 50-59 years, male 238.0
GTEX-1R9K5-1326-SM-E6CPR 50-59 years, male 237.3
GTEX-14C39-0926-SM-5TDDV 40-49 years, male 237.2
GTEX-QV44-0526-SM-2S1RE 50-59 years, male 236.9
GTEX-12696-1126-SM-5FQTI 60-69 years, male 236.7
GTEX-131XF-5001-SM-7DHLY 60-69 years, male 236.7
GTEX-QDVN-0326-SM-2I3FS 50-59 years, male 236.3
GTEX-QESD-0526-SM-2I5G5 20-29 years, male 236.2
GTEX-1GMR3-0326-SM-7P8QT 40-49 years, male 236.1
GTEX-1JJE9-1426-SM-ARL8P 70-79 years, male 235.4
GTEX-14A6H-0226-SM-5Q5DX 30-39 years, male 234.1
GTEX-13FH7-0926-SM-5J2MR 50-59 years, female 233.1
GTEX-1LC47-1026-SM-D3LAH 60-69 years, male 232.9
GTEX-12ZZZ-1726-SM-59HK5 60-69 years, male 232.5
GTEX-ZF29-0226-SM-4WKHO 60-69 years, female 232.4
GTEX-ZTPG-1226-SM-4YCDO 20-29 years, female 231.5
GTEX-P4PQ-0326-SM-2HMJ8 60-69 years, male 231.2
GTEX-1LVAN-1726-SM-CNNR1 50-59 years, female 230.9
GTEX-RU72-0326-SM-2TF5T 50-59 years, female 230.2
GTEX-14PJ4-1126-SM-5YY91 60-69 years, male 230.0
GTEX-RUSQ-0526-SM-2TF72 50-59 years, male 229.6
GTEX-1AX8Z-5007-SM-AHZ36 60-69 years, male 229.2
GTEX-XXEK-0926-SM-4BRWH 50-59 years, male 229.0
GTEX-OIZF-0326-SM-3MJGY 60-69 years, male 228.1
GTEX-1L5NE-0426-SM-E9TIX 50-59 years, male 227.6
GTEX-13O21-2326-SM-5MR3X 50-59 years, male 227.4
GTEX-XBED-0526-SM-47JY3 60-69 years, male 227.3
GTEX-N7MS-0826-SM-2HML4 60-69 years, male 227.1
GTEX-1GN73-2426-SM-7RHFQ 60-69 years, male 226.9
GTEX-1LGRB-1126-SM-CNPP2 50-59 years, female 226.6
GTEX-12BJ1-0226-SM-5LUA2 60-69 years, male 225.8
GTEX-Y5V6-0826-SM-4VBRU 60-69 years, male 225.5
GTEX-1497J-1226-SM-5Q5BL 60-69 years, male 224.8
GTEX-1399R-1926-SM-5K7X8 30-39 years, male 224.3
GTEX-1F75I-1126-SM-9WYUO 40-49 years, male 223.6
GTEX-O5YW-0326-SM-2I5EI 50-59 years, male 223.4
GTEX-1IDJE-0326-SM-CM2TD 50-59 years, female 223.3
GTEX-1AYCT-0426-SM-73KVZ 50-59 years, male 223.2
GTEX-17F9Y-1326-SM-7MGW9 70-79 years, female 222.7
GTEX-S32W-0626-SM-2XCBG 50-59 years, female 221.8
GTEX-WI4N-0626-SM-3TW8Z 40-49 years, female 221.8
GTEX-1R9JW-0526-SM-EWRNK 30-39 years, female 221.7
GTEX-1EU9M-1826-SM-7DUGU 60-69 years, male 221.4
GTEX-WHPG-0826-SM-3NMBF 50-59 years, male 221.1
GTEX-1JMQK-0626-SM-D4P2R 60-69 years, male 220.2
GTEX-13NZB-0226-SM-5KM1T 30-39 years, male 220.1
GTEX-13SLX-1026-SM-5ZZUQ 50-59 years, female 219.5
GTEX-ZDXO-0726-SM-57WBT 60-69 years, male 219.2
GTEX-117YX-1126-SM-5H128 50-59 years, male 218.9
GTEX-ZAB5-0226-SM-5CVMH 50-59 years, male 218.6
GTEX-1R9K4-1326-SM-DTX8G 60-69 years, male 218.4
GTEX-OHPL-0326-SM-33HC8 60-69 years, female 217.8
GTEX-11DXX-0326-SM-5PNWC 60-69 years, female 217.4
GTEX-1RB15-0326-SM-E6CQB 60-69 years, male 217.3
GTEX-1IKK5-1526-SM-CKZPW 60-69 years, male 216.8
GTEX-14PN3-0526-SM-69LQF 60-69 years, female 216.6
GTEX-1IDJI-1026-SM-A96TE 50-59 years, female 216.3
GTEX-11O72-1126-SM-5N9E2 40-49 years, male 216.1
GTEX-R53T-0926-SM-3GADH 50-59 years, female 216.0
GTEX-1J8EW-0926-SM-A9G33 60-69 years, female 215.9
GTEX-1314G-0126-SM-5LZUL 30-39 years, male 214.6
GTEX-18A67-1226-SM-7KFRS 50-59 years, male 214.6
GTEX-12WSD-1126-SM-5EGJD 60-69 years, female 213.8
GTEX-15DDE-1126-SM-6LLHN 50-59 years, female 213.8
GTEX-15EOM-5007-SM-793DG 20-29 years, female 213.5
GTEX-ZVZP-0226-SM-5NQ73 50-59 years, male 213.3
GTEX-13O61-0526-SM-5J2M1 60-69 years, male 213.1
GTEX-1IKJJ-0826-SM-A96SP 60-69 years, male 212.9
GTEX-ZQUD-1526-SM-7IGO2 30-39 years, male 212.8
GTEX-14JIY-1126-SM-6EU28 60-69 years, male 212.3
GTEX-1HFI7-0826-SM-A9G23 50-59 years, female 212.2
GTEX-17KNJ-0826-SM-793A4 50-59 years, male 211.2
GTEX-147JS-1526-SM-5ZZWF 60-69 years, male 211.1
GTEX-ZZPU-0926-SM-5GZYT 50-59 years, female 210.9
GTEX-1R7EV-0326-SM-E76PA 40-49 years, male 210.8
GTEX-1GMR2-1426-SM-7RHHK 50-59 years, male 210.4
GTEX-R55E-1026-SM-2TC5S 20-29 years, male 210.2
GTEX-ZPU1-0626-SM-4YCDM 40-49 years, male 210.1
GTEX-15CHR-0226-SM-7PC2Z 50-59 years, male 209.8
GTEX-1JJ6O-2126-SM-CNNP6 60-69 years, male 209.5
GTEX-11ZUS-0226-SM-5FQT8 30-39 years, male 209.0
GTEX-P44G-0826-SM-2I5ES 30-39 years, male 209.0
GTEX-13FLV-0926-SM-5L3DZ 50-59 years, male 208.9
GTEX-1B932-1026-SM-793CL 40-49 years, female 208.3
GTEX-NPJ8-0426-SM-2HMK6 40-49 years, male 208.0
GTEX-XQ3S-0626-SM-4BOOB 20-29 years, male 208.0
GTEX-131XE-0626-SM-5HL98 50-59 years, male 207.8
GTEX-S33H-0526-SM-COH1W 30-39 years, male 207.8
GTEX-1C2JI-0526-SM-7EWEQ 50-59 years, male 207.4
GTEX-WZTO-1326-SM-3NM8X 40-49 years, male 207.0
GTEX-13U4I-0826-SM-5SIBD 40-49 years, female 206.6
GTEX-RNOR-0826-SM-2TF5C 50-59 years, female 206.6
GTEX-POMQ-0326-SM-2I5FO 20-29 years, female 206.3
GTEX-1PWST-1026-SM-DTXF2 70-79 years, male 206.0
GTEX-13O1R-1226-SM-5J1NU 60-69 years, male 205.5
GTEX-WFG8-0626-SM-3GILJ 20-29 years, male 205.5
GTEX-1O9I2-1126-SM-DTXEA 50-59 years, male 204.8
GTEX-1A3MW-1326-SM-7189P 60-69 years, female 204.6
GTEX-ZDYS-0226-SM-5HL4K 50-59 years, male 204.6
GTEX-1ICLY-1326-SM-CJI47 50-59 years, male 204.6
GTEX-QLQ7-0526-SM-2I5G3 60-69 years, male 204.3
GTEX-1212Z-0626-SM-5FQTB 60-69 years, male 203.8
GTEX-1LH75-0426-SM-E9TJF 50-59 years, female 203.6
GTEX-XQ8I-0126-SM-4BOPL 50-59 years, male 203.3
GTEX-14PHX-2126-SM-6EU2U 50-59 years, male 203.2
GTEX-1B8KE-0126-SM-793AM 50-59 years, male 203.2
GTEX-1399S-1026-SM-5KLZ9 30-39 years, female 203.0
GTEX-11ONC-0126-SM-5PNW6 60-69 years, male 202.3
GTEX-11LCK-0926-SM-5A5KA 30-39 years, male 202.2
GTEX-OXRO-2026-SM-2YUMZ 60-69 years, female 202.1
GTEX-14PJ2-1026-SM-6EU1M 50-59 years, male 201.8
GTEX-1269C-0826-SM-5N9EM 60-69 years, female 201.1
GTEX-14PHY-0226-SM-5ZZWM 60-69 years, female 199.9
GTEX-1F6IF-2526-SM-7P8TV 60-69 years, male 199.6
GTEX-1R9PO-0326-SM-DTXA1 60-69 years, female 199.2
GTEX-OXRL-0326-SM-2I3F2 50-59 years, male 198.4
GTEX-PX3G-0326-SM-2I3EO 20-29 years, female 198.4
GTEX-14E1K-1026-SM-73KUR 50-59 years, male 197.6
GTEX-11GS4-0526-SM-5A5KQ 60-69 years, male 197.5
GTEX-13OW5-1126-SM-5J1NR 60-69 years, male 196.8
GTEX-Q2AH-0526-SM-2I3ED 40-49 years, male 196.4
GTEX-18D9B-1226-SM-72D6V 60-69 years, male 196.1
GTEX-11TUW-1026-SM-5GU7D 60-69 years, male 195.6
GTEX-145MO-1126-SM-5NQBX 60-69 years, male 195.4
GTEX-O5YT-0326-SM-32PKA 20-29 years, male 195.4
GTEX-X3Y1-0426-SM-3P5Z4 40-49 years, male 195.2
GTEX-13OVL-0526-SM-5KLZQ 50-59 years, male 194.8
GTEX-1H23P-1226-SM-9QEJ2 60-69 years, male 194.8
GTEX-13JVG-1326-SM-5N9F8 60-69 years, male 194.6
GTEX-RWS6-0326-SM-2XCAP 60-69 years, female 194.5
GTEX-131XH-0226-SM-5LZVB 50-59 years, male 194.2
GTEX-1GF9V-1626-SM-7PBXL 60-69 years, male 194.1
GTEX-1IKOE-1026-SM-ARZMF 30-39 years, female 193.9
GTEX-1F6I4-0726-SM-7PC2P 60-69 years, male 193.8
GTEX-Y5V5-0626-SM-4VBPX 60-69 years, female 193.4
GTEX-17HII-1326-SM-7IGOB 50-59 years, male 192.9
GTEX-1EMGI-1226-SM-793DD 60-69 years, male 192.9
GTEX-OHPM-0326-SM-33HCA 50-59 years, male 192.5
GTEX-WFON-0326-SM-3GIKX 40-49 years, male 192.4
GTEX-132NY-1726-SM-5EGKK 60-69 years, male 192.0
GTEX-1PPH7-2026-SM-E9J3N 40-49 years, male 191.8
GTEX-1339X-0426-SM-5KLZY 40-49 years, male 190.9
GTEX-1KANC-0426-SM-CXZK5 50-59 years, female 190.7
GTEX-1IDJH-1026-SM-E9TKH 70-79 years, male 190.2
GTEX-16BQI-0926-SM-6M485 30-39 years, female 190.1
GTEX-1AX9K-0526-SM-73KV1 50-59 years, male 189.8
GTEX-13O3P-1626-SM-5K7X3 50-59 years, male 189.7
GTEX-1EX96-2526-SM-7RHGW 50-59 years, male 189.6
GTEX-V1D1-0526-SM-4JBGW 50-59 years, male 189.0
GTEX-1HCU7-1326-SM-CNPPW 50-59 years, male 188.5
GTEX-WRHU-1226-SM-4E3IJ 50-59 years, female 188.2
GTEX-11TT1-1326-SM-5PNYM 20-29 years, male 187.8
GTEX-12WSC-1126-SM-5EQ4G 50-59 years, male 187.6
GTEX-ZV7C-0326-SM-57WB1 50-59 years, male 187.5
GTEX-18A6Q-1626-SM-7KFTA 60-69 years, male 186.9
GTEX-1GZ4I-1026-SM-9KNV5 50-59 years, male 186.9
GTEX-1JN6P-1126-SM-CKZON 60-69 years, male 186.9
GTEX-1RAZS-0826-SM-E76QP 50-59 years, male 186.7
GTEX-147F4-1226-SM-5NQAY 50-59 years, male 186.2
GTEX-13NYB-0226-SM-5N9G4 40-49 years, male 186.1
GTEX-15RJ7-0226-SM-7KUMN 40-49 years, male 185.6
GTEX-V955-0726-SM-3GAFG 60-69 years, male 185.6
GTEX-REY6-1026-SM-2TF4Y 60-69 years, male 185.4
GTEX-1JMPZ-1426-SM-CJI3C 30-39 years, male 185.2
GTEX-UPK5-0326-SM-CYPR4 40-49 years, male 185.2
GTEX-13N11-0426-SM-5KM3O 50-59 years, female 185.0
GTEX-1AX9J-1026-SM-72D6E 60-69 years, male 184.8
GTEX-18465-0926-SM-731AY 50-59 years, male 184.3
GTEX-1S3DN-0726-SM-E9TIO 50-59 years, male 184.0
GTEX-RTLS-0826-SM-2TF5Q 60-69 years, female 183.2
GTEX-ZUA1-0826-SM-4YCDL 40-49 years, male 182.7
GTEX-139YR-0826-SM-5LZXY 50-59 years, male 182.4
GTEX-15CHQ-1526-SM-69LPW 60-69 years, male 182.0
GTEX-1LG7Y-1226-SM-CXZKD 50-59 years, male 182.0
GTEX-14E7W-1226-SM-5RQIU 70-79 years, male 181.9
GTEX-1GN1V-0826-SM-9KNU6 60-69 years, male 181.9
GTEX-1J8Q2-1226-SM-A9G2W 60-69 years, male 181.4
GTEX-15DYW-1126-SM-6LPK5 60-69 years, female 181.3
GTEX-T6MN-0926-SM-32PLX 50-59 years, male 181.2
GTEX-1C6VQ-1126-SM-7EWET 50-59 years, male 181.1
GTEX-SNMC-0126-SM-2XCFO 20-29 years, male 181.1
GTEX-WQUQ-1426-SM-3MJFD 60-69 years, male 181.1
GTEX-13OW6-1126-SM-5L3HL 50-59 years, male 180.9
GTEX-13OVG-0526-SM-5K7YD 60-69 years, male 180.8
GTEX-UJMC-0526-SM-3GAE3 50-59 years, male 180.2
GTEX-14C5O-1326-SM-5S2UW 60-69 years, male 179.7
GTEX-14C38-1426-SM-5RQHZ 50-59 years, male 179.3
GTEX-1JN1M-1026-SM-CNPOS 60-69 years, female 179.0
GTEX-16YQH-0926-SM-793BC 30-39 years, male 178.7
GTEX-11DXZ-0626-SM-5GU77 50-59 years, male 177.1
GTEX-1C64O-0826-SM-79OKZ 60-69 years, male 177.0
GTEX-1MJIX-0326-SM-EVR42 40-49 years, male 176.9
GTEX-ZDTS-1326-SM-6LLHE 60-69 years, male 176.4
GTEX-1CB4J-0326-SM-7PBZO 60-69 years, male 176.2
GTEX-QDVJ-0426-SM-2I5FW 50-59 years, male 176.1
GTEX-X261-1426-SM-4PQZ1 50-59 years, male 175.6
GTEX-R55C-0326-SM-3GAF1 40-49 years, male 175.5
GTEX-1GF9U-0426-SM-7RHHA 40-49 years, female 175.3
GTEX-1GMRU-1526-SM-9WYT5 50-59 years, male 175.3
GTEX-WWYW-1326-SM-3NB2S 50-59 years, female 174.7
GTEX-RWSA-0626-SM-2XCBD 40-49 years, male 173.7
GTEX-1399U-0526-SM-5K7YM 50-59 years, female 173.3
GTEX-1GN2E-1326-SM-9KNVG 60-69 years, male 173.3
GTEX-1399T-0426-SM-5PNVJ 60-69 years, male 172.4
GTEX-QEG5-0926-SM-2TC64 20-29 years, male 172.4
GTEX-1JMLX-1626-SM-ARZMV 50-59 years, male 172.4
GTEX-14JG1-1026-SM-6ETZY 40-49 years, male 171.8
GTEX-14E6D-0926-SM-5S2QV 50-59 years, male 171.5
GTEX-1KD4Q-0726-SM-DIPGE 40-49 years, male 171.5
GTEX-1BAJH-1626-SM-73KUV 70-79 years, male 171.0
GTEX-13OW8-2126-SM-5J1OS 60-69 years, male 170.2
GTEX-14DAQ-1126-SM-664MT 60-69 years, female 170.2
GTEX-WYJK-1026-SM-3NM8W 50-59 years, male 170.0
GTEX-ZAB4-1026-SM-5HL7T 40-49 years, male 169.2
GTEX-1F48J-1026-SM-7P8SO 50-59 years, female 169.2
GTEX-1EN7A-0726-SM-7PBXT 40-49 years, male 168.7
GTEX-1CB4G-0826-SM-7DUGF 60-69 years, male 168.6
GTEX-YFC4-0526-SM-5ZZVI 40-49 years, female 168.2
GTEX-1AX9I-1126-SM-7EPHH 60-69 years, male 167.9
GTEX-NFK9-0926-SM-2HMJU 40-49 years, male 167.9
GTEX-13RTJ-0726-SM-5QGQN 60-69 years, male 167.2
GTEX-1GL5R-0326-SM-9WYTJ 50-59 years, male 167.1
GTEX-ZLFU-0226-SM-4WWFH 40-49 years, male 166.6
GTEX-WK11-0826-SM-EZ6LH 50-59 years, male 166.6
GTEX-ZVT2-1026-SM-5GU55 50-59 years, female 166.2
GTEX-1HBPM-1226-SM-A9SM8 60-69 years, female 165.8
GTEX-11GSP-1326-SM-5A5KY 60-69 years, female 165.6
GTEX-111FC-0826-SM-5GZWO 60-69 years, male 165.3
GTEX-13112-0426-SM-5PNVC 50-59 years, male 165.2
GTEX-1EKGG-1126-SM-7MGXB 60-69 years, male 165.0
GTEX-1E1VI-1326-SM-7IGQD 50-59 years, male 164.9
GTEX-U3ZH-0326-SM-3DB7A 30-39 years, male 164.5
GTEX-12ZZW-1026-SM-5GCMM 50-59 years, male 163.6
GTEX-1A8G6-1626-SM-7MGWO 60-69 years, male 163.5
GTEX-1H1CY-0326-SM-9QEIZ 60-69 years, female 163.5
GTEX-11DXY-0826-SM-5EGGR 60-69 years, male 162.2
GTEX-1ICLZ-1026-SM-A9SLF 60-69 years, male 162.1
GTEX-148VI-0326-SM-5RQK7 60-69 years, female 161.4
GTEX-132AR-2026-SM-5IJG4 50-59 years, female 161.1
GTEX-1CAMS-1326-SM-79OJR 40-49 years, female 160.3
GTEX-1HCVE-1126-SM-9WPPG 50-59 years, male 160.2
GTEX-PSDG-0926-SM-2I5FP 50-59 years, male 160.1
GTEX-1LVA9-0926-SM-EVR5G 50-59 years, male 160.0
GTEX-1ICG6-0626-SM-ACKWS 70-79 years, female 159.8
GTEX-1B8SG-0826-SM-7EWF7 50-59 years, male 159.0
GTEX-X8HC-1626-SM-46MWE 50-59 years, female 158.7
GTEX-1I1HK-0726-SM-B2LY4 60-69 years, male 158.2
GTEX-15SHU-1126-SM-7KUMB 40-49 years, female 158.1
GTEX-11EMC-0726-SM-5EGJO 60-69 years, female 157.3
GTEX-17HHY-1426-SM-7EWDQ 50-59 years, male 156.0
GTEX-ZF3C-1226-SM-4WWCB 50-59 years, female 156.0
GTEX-14PJM-1126-SM-6LLHK 50-59 years, female 155.6
GTEX-148VJ-1526-SM-5Q5DU 70-79 years, male 154.6
GTEX-15SHW-1226-SM-6M46C 60-69 years, male 154.6
GTEX-1IL2U-1326-SM-A9G2O 60-69 years, male 154.5
GTEX-OIZG-1126-SM-2HMIU 50-59 years, male 154.1
GTEX-1KD5A-1026-SM-CY8I8 50-59 years, male 153.1
GTEX-16NPX-0926-SM-7KUEZ 50-59 years, male 152.9
GTEX-1JJEA-0826-SM-CL53T 60-69 years, male 152.8
GTEX-1I1GQ-1426-SM-B2LWY 50-59 years, male 152.7
GTEX-13X6K-1826-SM-5O9CR 60-69 years, female 151.9
GTEX-1A3MX-1326-SM-72D58 60-69 years, male 151.8
GTEX-QEG4-0426-SM-33HC3 30-39 years, male 151.2
GTEX-1B996-1126-SM-73KWN 60-69 years, male 151.1
GTEX-ZYFC-1126-SM-5E44W 50-59 years, male 151.0
GTEX-14BIL-1126-SM-79OMC 50-59 years, male 150.9
GTEX-1EWIQ-1426-SM-7IGOS 70-79 years, female 150.8
GTEX-17HGU-1026-SM-79OKL 50-59 years, male 150.6
GTEX-PVOW-0426-SM-5MR5R 40-49 years, male 150.3
GTEX-WL46-0926-SM-3LK7T 50-59 years, male 149.7
GTEX-1I1GV-1326-SM-A96SE 60-69 years, male 149.3
GTEX-1313W-1426-SM-5KLZU 50-59 years, female 149.0
GTEX-13CF2-0426-SM-5KM1H 60-69 years, male 147.5
GTEX-1NV8Z-1526-SM-DTX8X 60-69 years, male 146.9
GTEX-1EH9U-0826-SM-7IGPT 60-69 years, male 146.3
GTEX-14E6C-0426-SM-5YYA8 40-49 years, male 146.1
GTEX-15ER7-1726-SM-6PAMX 20-29 years, female 145.2
GTEX-13FHP-1026-SM-5K7Y2 50-59 years, male 144.9
GTEX-13YAN-1326-SM-5Q5F1 60-69 years, male 144.5
GTEX-1O97I-0826-SM-E8VNE 60-69 years, male 144.0
GTEX-11ZVC-0426-SM-5CVLD 50-59 years, female 142.9
GTEX-12584-0926-SM-5FQTN 40-49 years, male 142.8
GTEX-12ZZY-1126-SM-5DUWQ 60-69 years, male 142.8
GTEX-T2IS-0426-SM-32QPE 20-29 years, female 142.5
GTEX-14A5I-1226-SM-5NQBW 50-59 years, female 142.4
GTEX-YJ8O-0926-SM-EAZ2Z 40-49 years, female 138.0
GTEX-17MF6-0726-SM-7LT8E 40-49 years, male 136.8
GTEX-ZYT6-1726-SM-5E44P 30-39 years, male 134.6
GTEX-15RJE-0626-SM-7KUKR 40-49 years, male 134.5
GTEX-ZYW4-0926-SM-59HJS 60-69 years, male 134.0
GTEX-1LB8K-1026-SM-DHXJJ 50-59 years, male 133.6
GTEX-13X6I-1426-SM-5SI9Z 60-69 years, male 132.3
GTEX-QVJO-1926-SM-2S1QZ 60-69 years, female 131.8
GTEX-RN64-0826-SM-2TC62 50-59 years, male 130.6
GTEX-QEL4-0926-SM-3GAD1 50-59 years, male 129.7
GTEX-1H1ZS-1126-SM-9MQLJ 70-79 years, male 128.6
GTEX-1H3NZ-1126-SM-9WYT9 60-69 years, male 128.4
GTEX-14BIN-2226-SM-5YYA1 50-59 years, female 127.3
GTEX-117YW-0326-SM-5N9CY 50-59 years, male 126.5
GTEX-N7MT-1326-SM-2I3FV 60-69 years, female 125.1
GTEX-1HT8W-1726-SM-CNNQB 30-39 years, male 123.9
GTEX-16MT8-0926-SM-6M487 60-69 years, female 117.3
GTEX-13FTZ-0226-SM-5K7X6 60-69 years, male 116.5
GTEX-1B8L1-0526-SM-79ONX 60-69 years, male 114.7
GTEX-XBEC-1326-SM-4AT69 50-59 years, male 109.4
GTEX-1GTWX-1026-SM-7P8QW 60-69 years, male 102.4
GTEX-P44H-0726-SM-48TBT 40-49 years, male 102.1
Show allShow less

HEART MUSCLE - FANTOM5 CAGEi

RNA expression in human tissues obtained through Cap Analysis of Gene Expression (CAGE) generated by the FANTOM5 project are reported as Scaled Tags Per Million.

Max subtype Scaled Tags Per Millioni

Max subtype Scaled Tags Per Million is the value for the subtype with the largest average Scaled Tags Per Million across the subtype samples.

463.7
FANTOM5 sample id Sample description Scaled Tags Per Million
Heart
Scaled Tags Per Million: 463.7
FF:10016-101C7 70,73,74 years, mixed 463.7
Left atrium
Scaled Tags Per Million: 249.8
FF:10079-102A7 40 years, male 249.8
Left ventricle
Scaled Tags Per Million: 363.8
FF:10078-102A6 73 years, female 363.8

Contact

  • NEWS ARTICLES
  • PRESS ROOM

The Project

  • INTRODUCTION
  • ORGANIZATION
  • PUBLICATIONS

The Human Protein Atlas

  • DOWNLOADABLE DATA
  • LICENCE & CITATION
  • HELP & FAQ
The Human Protein Atlas project is funded
by the Knut & Alice Wallenberg Foundation.


contact@proteinatlas.org