We use cookies to enhance the usability of our website. If you continue, we'll assume that you are happy to receive all cookies. More information. Don't show this again.
PEA15
HPA
RESOURCES
  • TISSUE
  • BRAIN
  • SINGLE CELL
  • SUBCELLULAR
  • CANCER
  • BLOOD
  • CELL LINE
  • STRUCTURE & INTERACTION
ABOUT
  • INTRODUCTION
  • HISTORY
  • ORGANIZATION
  • PUBLICATIONS
  • ANTIBODY SUBMISSION
  • ANTIBODY AVAILABILITY
  • ACKNOWLEDGMENTS
  • CONTACT
NEWS
  • NEWS ARTICLES
  • PRESS ROOM
LEARN
  • DICTIONARY
  • PROTEIN CLASSES
  • PROTEIN EVIDENCE
  • METHODS
  • EDUCATIONAL VIDEOS
DATA
  • DOWNLOADABLE DATA
  • PUBLICATION DATA
  • RELEASE HISTORY
HELP
  • ANTIBODY VALIDATION
  • ASSAYS & ANNOTATION
  • DISCLAIMER
  • HELP & FAQ
  • PRIVACY STATEMENT
  • LICENCE & CITATION
Fields »
Search result

Field
Term
Gene name
Class
Subclass
Class
Keyword
Chromosome
External id
Tissue
Cell type
Expression
Antibody panel
Tissue
Main location
Patient ID
Annotation
Tissue
Category
Tau score
Cluster
Reliability
Brain region
Category
Tau score
Brain region
Category
Tau score
Brain region
Category
Tau score
Cluster
Reliability
Tissue
Cell type
Enrichment
Cell type
Category
Tau score
Cell type
Category
Tau score
Cell type
Category
Tau score
Cell lineage
Category
Tau score
Cluster
Cluster
Location
Searches
Location
Cell line
Class
Type
Phase
Reliability
Cancer
Prognosis
Cancer
Category
Cancer
Category
Tau score
Cluster
Variants
Interacting gene (ensg_id)
Type
Number of interactions
Pathway
Category
Score
Score
Score
Validation
Validation
Validation
Validation
Antibodies
Data type
Column


  • SUMMARY

  • TISSUE

  • BRAIN

  • SINGLE CELL

  • SUBCELL

  • CANCER

  • BLOOD

  • CELL LINE

  • STRUCT & INT

  • PEA15
TISSUE PRIMARY DATA COLON Show tissue menu
ADIPOSE TISSUE ADRENAL GLAND AMYGDALA APPENDIX BASAL GANGLIA BONE MARROW BREAST BRONCHUS CEREBELLUM CEREBRAL CORTEX CERVIX CHOROID PLEXUS COLON DUODENUM
ENDOMETRIUM EPIDIDYMIS ESOPHAGUS FALLOPIAN TUBE GALLBLADDER HEART MUSCLE HIPPOCAMPAL FORMATION HYPOTHALAMUS KIDNEY LIVER LUNG LYMPH NODE MIDBRAIN NASOPHARYNX
ORAL MUCOSA OVARY PANCREAS PARATHYROID GLAND PITUITARY GLAND PLACENTA PROSTATE RECTUM RETINA SALIVARY GLAND SEMINAL VESICLE SKELETAL MUSCLE SKIN SMALL INTESTINE
SMOOTH MUSCLE SOFT TISSUE SPINAL CORD SPLEEN STOMACH TESTIS THYMUS THYROID GLAND TONGUE TONSIL URINARY BLADDER VAGINA
ANTIBODIES
AND
VALIDATION
Dictionary
Colon
Tissue proteome
Intestine
COLON - Expression summary
Protein expression
Coloni

On the top, protein expression in current human tissue, based on all annotated cell types, is reported with the units not detected (n), low (l), medium (m) and high (h). Underneath, protein expression in each annotated cell type are reported using the same units.

Protein expression data is based on knowledge-based annotation. For genes where more than one antibody has been used, a collective score is set.

If knowledge-based annotation could not be performed for a gene, no data is displayed here. View antibody staining data further down this page.

h
m
l
n
Endothelial cells: Not detected
Glandular cells: Not detected
Peripheral nerve/ganglion: Low
RNA expressioni

A summary of mRNA expression data available for current tissue based on several datasets. The mRNA expression levels in human tissues are based on RNA-seq data generated by the Human Protein Atlas (HPA), Genotype-Tissue Expression (GTEx) portal and CAGE data generated by the FANTOM5 consortium. Consensus normalized expression levels for human tissues was created by combining the data from HPA and GTEx datasets.

The mRNA expression levels in pig are based on RNA-seq data generated by the Human Protein Atlas (HPA), and for mouse, HPA data and in situ hybridization generated by the Allen brain atlas are reported.

Scroll down to view mRNA expression data in more detail.
Consensus:141.5 nTPM
HPA:57.6 nTPM
GTEx:141.5 nTPM
FANTOM5:89.2 Scaled Tags Per Million

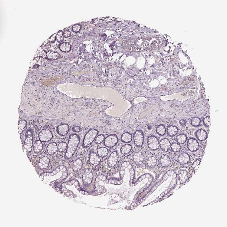
COLON - Antibody stainingi

Antibody staining in the annotated cell types in the current human tissue is reported as not detected, low, medium, or high, based on conventional immunohistochemistry profiling in selected tissues. This score is based on the combination of the staining intensity and fraction of stained cells.

Each image is clickable and will lead to virtual microscopy that enables deeper exploration of all samples and also displays staining intensity scores, fraction scores and subcellular localization as well as patient and tissue information for each sample.

Antibody HPA070820
Endothelial cells Not detected
Glandular cells Not detected
Peripheral nerve/ganglion Low



COLON - HPA RNA-seqi

The RNA-seq details section shows detailed information about the individual samples used for the transcript profiling and results of the RNA-seq analysis.

Information about each individual sample is listed below, including gender, age, a tissue section image and estimated fractions of cell types. nTPM (normalized transcripts per million) values give a quantification of the gene abundance which is comparable between different genes and samples.
Average nTPMi

Max subtype nTPM is the value for the subtype with the largest average nTPM across the subtype samples.

57.6
overview
Male, age 54
Colon sample 67
nTPM: 35.1
Cell types%
Glandular cells:
65

Smooth muscle cells:
10

Other cell types:
25

overview
Female, age 57
Colon sample 68
nTPM: 32.2
Cell types%
Glandular cells:
40

Smooth muscle cells:
5

Other cell types:
55

overview
Male, age 80
Colon sample 69
nTPM: 21.3
Cell types%
Glandular cells:
55

Smooth muscle cells:
5

Other cell types:
40

overview
Male, age 68
Colon sample 70
nTPM: 43.1
Cell types%
Glandular cells:
35

Smooth muscle cells:
10

Other cell types:
55

overview
Female, age 68
Colon sample 76
nTPM: 60.6
Cell types%
Glandular cells:
25

Smooth muscle cells:
5

Other cell types:
70

overview
Female, age 61
Colon sample 299
nTPM: 196.1
Cell types%
Glandular cells:
5

Smooth muscle cells:
65

Other cell types:
30

overview
Male, age 80
Colon sample 300
nTPM: 53.7
Cell types%
Glandular cells:
15

Smooth muscle cells:
20

Other cell types:
65

overview
Female, age 78
Colon sample 368
nTPM: 32
Cell types%
Glandular cells:
45

Smooth muscle cells:
5

Other cell types:
50

overview
Male, age 84
Colon sample 381
nTPM: 85.6
Cell types%
Glandular cells:
50

Smooth muscle cells:
15

Other cell types:
35

overview
Male, age 80
Colon sample 384
nTPM: 37.5
Cell types%
Glandular cells:
20

Smooth muscle cells:
35

Other cell types:
45

overview
Female, age 78
Colon sample 389
nTPM: 45.7
Cell types%
Glandular cells:
35

Smooth muscle cells:
10

Other cell types:
55

overview
Female, age 69
Colon sample 391
nTPM: 54.8
Cell types%
Glandular cells:
10

Smooth muscle cells:
45

Other cell types:
45

overview
Female, age 72
Colon sample 403
nTPM: 51.1
Cell types%
Glandular cells:
20

Smooth muscle cells:
15

Other cell types:
65


COLON - GTEx RNA-seqi

RNA-Seq data generated by the Genotype-Tissue Expression (GTEx) project from human tissues is reported as mean nTPM. More information can be found on the GTEx portal.

Distribution across the dataset is visualized with box plots, shown as median and 25th and 75th percentiles. Points are displayed as outliers if they are above or below 1.5 times the interquartile range. nTPM values of the individual samples are presented next to the box plot.
Max subtype nTPMi

Max subtype nTPM is the value for the subtype with the largest average nTPM across the subtype samples.

141.5
GTEx sample id Sample description nTPM
Colon - Sigmoid
Average nTPM: 141.5
Samples: 373

Max nTPM: 691.1
Min nTPM: 19.7
Std nTPM: 61.4
Median nTPM: 131.2
GTEX-11EQ8-2626-SM-5N9BO 60-69 years, male 691.1
GTEX-1PBJJ-2026-SM-DTX8U 30-39 years, male 483.1
GTEX-ZDTS-2726-SM-5L3E2 60-69 years, male 425.8
GTEX-14C5O-2626-SM-5RQI5 60-69 years, male 406.8
GTEX-1I1CD-2826-SM-A9SL4 60-69 years, female 378.8
GTEX-13X6J-2826-SM-7EPGA 50-59 years, male 337.6
GTEX-15ER7-2826-SM-6PAN2 20-29 years, female 312.1
GTEX-YFCO-1526-SM-5YYB8 40-49 years, male 284.4
GTEX-ZVZQ-2626-SM-59HLB 60-69 years, female 283.0
GTEX-1CB4F-1926-SM-7MKFN 60-69 years, male 268.9
GTEX-ZF2S-1826-SM-4WKFF 50-59 years, female 267.7
GTEX-1N2EF-1726-SM-EXUSI 60-69 years, male 264.3
GTEX-ZF28-2526-SM-57WFH 60-69 years, male 260.3
GTEX-17F96-2126-SM-7KFSM 70-79 years, male 259.1
GTEX-ZTTD-2626-SM-57WEX 50-59 years, male 257.4
GTEX-15RIE-2026-SM-7KFRW 60-69 years, male 250.8
GTEX-12WSG-2426-SM-5EQLZ 50-59 years, female 249.6
GTEX-18A6Q-2226-SM-7LG61 60-69 years, male 248.9
GTEX-11ZU8-1126-SM-5EQ5K 60-69 years, male 241.2
GTEX-1C64N-2226-SM-7SB7C 50-59 years, male 237.5
GTEX-ZQG8-2426-SM-57WEE 60-69 years, female 235.4
GTEX-1HBPH-2526-SM-ACKXK 40-49 years, female 232.0
GTEX-13OVK-1026-SM-7KFTC 40-49 years, male 228.1
GTEX-ZYFD-2226-SM-5E43P 50-59 years, male 226.2
GTEX-11P7K-1826-SM-5HL5A 30-39 years, male 221.9
GTEX-1JJE9-2526-SM-ARU8K 70-79 years, male 217.7
GTEX-1LVAO-2826-SM-E9TJH 60-69 years, male 215.7
GTEX-183WM-2526-SM-731BP 70-79 years, female 215.4
GTEX-1IDJH-2826-SM-CJI49 70-79 years, male 214.0
GTEX-1J8EW-2426-SM-CE6T5 60-69 years, female 211.1
GTEX-1RQEC-2626-SM-EVR3Z 60-69 years, male 211.1
GTEX-WHSE-2726-SM-EZ6ML 20-29 years, male 211.0
GTEX-11TT1-0926-SM-5GU5M 20-29 years, male 209.6
GTEX-XAJ8-0726-SM-47JY5 40-49 years, male 209.1
GTEX-12ZZW-2426-SM-5DUWE 50-59 years, male 208.3
GTEX-12WSM-1426-SM-5GCPA 60-69 years, male 207.0
GTEX-1K9T9-2926-SM-E9TKD 50-59 years, female 206.3
GTEX-ZE9C-2126-SM-4WKGY 60-69 years, male 203.2
GTEX-1EU9M-2726-SM-7P8QD 60-69 years, male 200.1
GTEX-1GN73-2726-SM-9WYUB 60-69 years, male 199.9
GTEX-12ZZX-2726-SM-5N9FT 40-49 years, female 199.6
GTEX-1IDJI-2226-SM-CKZPM 50-59 years, female 199.1
GTEX-1JN6P-2126-SM-ARL98 60-69 years, male 198.3
GTEX-1A3MX-2326-SM-718B4 60-69 years, male 196.4
GTEX-YF7O-1626-SM-5IFII 50-59 years, male 193.6
GTEX-1LB8K-2526-SM-DIPEQ 50-59 years, male 193.5
GTEX-1RMOY-1726-SM-EVYC9 50-59 years, male 193.1
GTEX-1LSNL-1626-SM-E9TJY 50-59 years, male 190.6
GTEX-15UF6-2726-SM-7KULY 70-79 years, female 189.7
GTEX-1R9PO-2026-SM-E9J4N 60-69 years, female 189.5
GTEX-1E2YA-2526-SM-7IGOU 50-59 years, male 189.2
GTEX-1B8L1-1926-SM-7IGND 60-69 years, male 188.3
GTEX-11EMC-1426-SM-5N9E4 60-69 years, female 188.2
GTEX-11I78-1326-SM-5PNY9 50-59 years, female 185.5
GTEX-1P4AB-2626-SM-DTXEU 50-59 years, male 184.3
GTEX-ZE7O-2626-SM-51MSS 50-59 years, female 183.9
GTEX-1GMR8-2926-SM-9KNW5 50-59 years, female 183.0
GTEX-139D8-2926-SM-5IJBM 30-39 years, female 182.7
GTEX-13G51-2126-SM-5IJD9 60-69 years, male 182.2
GTEX-1JJEA-2526-SM-CY8HJ 60-69 years, male 178.0
GTEX-15DYW-2426-SM-7KUG8 60-69 years, female 176.9
GTEX-1IL2U-2526-SM-C1YQV 60-69 years, male 176.2
GTEX-ZVT3-2826-SM-5GU6A 60-69 years, female 176.1
GTEX-WI4N-2226-SM-4OOS9 40-49 years, female 174.3
GTEX-17HHE-1626-SM-7DHLN 50-59 years, male 173.1
GTEX-11ZTS-1526-SM-5N9G7 60-69 years, female 172.8
GTEX-1RLM8-1726-SM-E9TKF 50-59 years, male 172.6
GTEX-1LKK1-2426-SM-DIPES 50-59 years, female 172.2
GTEX-14C39-1626-SM-5S2P4 40-49 years, male 172.1
GTEX-Z93S-2626-SM-57WBX 50-59 years, male 171.4
GTEX-132AR-2826-SM-5IJFV 50-59 years, female 170.0
GTEX-17JCI-2826-SM-7IGNA 60-69 years, female 168.7
GTEX-1BAJH-2726-SM-7IGNJ 70-79 years, male 168.3
GTEX-ZYT6-2826-SM-5GICX 30-39 years, male 168.2
GTEX-17F9Y-2626-SM-7IGN9 70-79 years, female 167.9
GTEX-1399R-2126-SM-5K7WZ 30-39 years, male 167.8
GTEX-1HSKV-2326-SM-A9SL9 60-69 years, male 166.4
GTEX-1B996-2726-SM-7DUGG 60-69 years, male 166.1
GTEX-1PIIG-2126-SM-EXUSD 30-39 years, male 165.4
GTEX-13OVJ-1826-SM-5KM2D 50-59 years, female 165.1
GTEX-12KS4-2326-SM-5EGJB 30-39 years, male 165.0
GTEX-13RTJ-1926-SM-5YYA2 60-69 years, male 164.7
GTEX-X4EO-2726-SM-4E3HS 60-69 years, female 164.6
GTEX-1EMGI-2626-SM-7IGNR 60-69 years, male 162.5
GTEX-1LSVX-2026-SM-E9TJD 60-69 years, male 161.9
GTEX-13FHO-2726-SM-5K7VG 60-69 years, male 161.6
GTEX-XXEK-1826-SM-4BRVC 50-59 years, male 161.4
GTEX-147GR-2826-SM-5RQK8 60-69 years, male 159.9
GTEX-16Z82-2426-SM-7KUMS 60-69 years, male 159.6
GTEX-139TS-2226-SM-5J2N1 60-69 years, male 157.5
GTEX-1GMRU-2626-SM-9WPPM 50-59 years, male 157.5
GTEX-ZG7Y-1826-SM-4WWD3 50-59 years, male 156.9
GTEX-ZAB5-1426-SM-5HL9D 50-59 years, male 156.7
GTEX-1A32A-2626-SM-73KX9 50-59 years, female 155.6
GTEX-1C6VQ-2626-SM-7IGMQ 50-59 years, male 155.4
GTEX-11DXY-2026-SM-5N9CZ 60-69 years, male 155.1
GTEX-ZAJG-2626-SM-5S2NU 50-59 years, female 155.0
GTEX-111CU-1226-SM-5EGIN 50-59 years, male 154.9
GTEX-11PRG-2026-SM-5GU5F 50-59 years, male 153.8
GTEX-1RDX4-1926-SM-E6CJJ 50-59 years, female 153.2
GTEX-1H3VE-2326-SM-9KNVU 40-49 years, male 153.0
GTEX-1PBJI-2526-SM-E6CP4 20-29 years, female 152.6
GTEX-11DXZ-1626-SM-5GIDI 50-59 years, male 152.5
GTEX-117XS-2226-SM-5GIE1 60-69 years, male 151.8
GTEX-16BQI-2026-SM-7KULQ 30-39 years, female 151.4
GTEX-15RIF-1426-SM-7KUKQ 20-29 years, male 150.9
GTEX-11EM3-1626-SM-5N9CO 20-29 years, female 150.8
GTEX-YJ8A-1726-SM-5P9IQ 20-29 years, male 150.4
GTEX-XBED-1726-SM-47JYO 60-69 years, male 149.4
GTEX-1LGOU-1726-SM-D3L8P 20-29 years, female 148.5
GTEX-17EUY-1726-SM-79OK4 20-29 years, male 148.3
GTEX-1F75W-2126-SM-7RHIA 60-69 years, male 148.1
GTEX-ZYY3-2226-SM-5E45A 60-69 years, female 147.7
GTEX-1JMQJ-2626-SM-CY8HQ 50-59 years, male 147.5
GTEX-132NY-2726-SM-5PNY2 60-69 years, male 147.0
GTEX-11EI6-2626-SM-5PNVT 60-69 years, male 146.6
GTEX-15CHQ-2626-SM-686YZ 60-69 years, male 146.5
GTEX-1RAZR-2026-SM-E9TKE 40-49 years, male 146.3
GTEX-15RJE-2226-SM-6M46A 40-49 years, male 146.2
GTEX-1LG7Y-2226-SM-E9U5K 50-59 years, male 145.9
GTEX-14BIN-2426-SM-5TDCF 50-59 years, female 145.4
GTEX-ZPCL-1626-SM-57WGC 60-69 years, female 144.8
GTEX-ZXES-1726-SM-5E43G 30-39 years, female 144.6
GTEX-13CF2-1826-SM-5N9GK 60-69 years, male 144.4
GTEX-12WSD-2626-SM-5EGJE 60-69 years, female 144.3
GTEX-1K2DA-1626-SM-CGQGB 50-59 years, male 144.2
GTEX-12ZZY-2726-SM-5EQ45 60-69 years, male 143.6
GTEX-16XZZ-2726-SM-7EWDO 60-69 years, male 143.1
GTEX-1EH9U-1926-SM-7P8QM 60-69 years, male 143.1
GTEX-13N2G-2226-SM-5IJCU 60-69 years, male 142.6
GTEX-1QCLY-2026-SM-EVR4C 30-39 years, male 142.3
GTEX-17KNJ-1826-SM-7LT9N 50-59 years, male 142.1
GTEX-145MH-2726-SM-5QGQ6 50-59 years, male 141.9
GTEX-15RJ7-1726-SM-6PAL3 40-49 years, male 141.9
GTEX-14AS3-1026-SM-5TDD7 40-49 years, female 141.6
GTEX-XQ8I-2326-SM-4BOQC 50-59 years, male 140.8
GTEX-1LVAN-2626-SM-CNPQF 50-59 years, female 140.8
GTEX-XV7Q-2226-SM-4BRVY 40-49 years, female 140.7
GTEX-14A5H-1626-SM-5SIAN 60-69 years, male 140.6
GTEX-1I1GP-2826-SM-A9SKZ 50-59 years, male 140.6
GTEX-14A5I-2426-SM-5Q5CP 50-59 years, female 140.4
GTEX-1RAZQ-2026-SM-E76P7 30-39 years, male 140.2
GTEX-13CF3-1326-SM-5LZXZ 60-69 years, female 139.8
GTEX-ZZ64-0826-SM-5E449 20-29 years, male 139.6
GTEX-14PJ3-1226-SM-5ZZVY 50-59 years, male 139.3
GTEX-ZVT4-2626-SM-5N9GJ 50-59 years, female 139.2
GTEX-1HSEH-1926-SM-A96SB 60-69 years, male 139.2
GTEX-ZTSS-1226-SM-51MSZ 40-49 years, male 139.1
GTEX-145LT-0826-SM-5S2QL 40-49 years, male 138.9
GTEX-17HG3-1126-SM-7DUFC 30-39 years, female 137.9
GTEX-11EQ9-1526-SM-5PNY7 30-39 years, male 137.8
GTEX-1AYCT-1926-SM-793AE 50-59 years, male 137.8
GTEX-13U4I-2626-SM-5SI9C 40-49 years, female 137.7
GTEX-ZLV1-1326-SM-DO11Q 60-69 years, female 137.7
GTEX-131YS-2926-SM-5EGKI 60-69 years, female 137.5
GTEX-18465-2726-SM-7LT9I 50-59 years, male 137.4
GTEX-131XE-1026-SM-5EGKE 50-59 years, male 137.1
GTEX-14PK6-1826-SM-69LOM 70-79 years, female 137.1
GTEX-11ONC-1926-SM-5GU75 60-69 years, male 136.6
GTEX-18A67-2226-SM-7LT9Z 50-59 years, male 136.6
GTEX-13OW8-2726-SM-5L3FZ 60-69 years, male 136.4
GTEX-1CB4G-2726-SM-79OO4 60-69 years, male 136.3
GTEX-11GS4-1826-SM-5HL4T 60-69 years, male 136.1
GTEX-1B8KE-1526-SM-7DUG2 50-59 years, male 136.0
GTEX-X15G-1526-SM-4PQZM 50-59 years, female 136.0
GTEX-14DAQ-2926-SM-664MV 60-69 years, female 135.9
GTEX-YECK-2826-SM-5IFHF 60-69 years, male 135.7
GTEX-13PL7-2426-SM-5J2N3 60-69 years, female 135.5
GTEX-17GQL-1626-SM-7LG69 60-69 years, male 135.5
GTEX-144GM-1126-SM-79OJK 20-29 years, male 134.9
GTEX-12WSJ-1426-SM-5GCON 40-49 years, female 134.4
GTEX-11ZTT-1626-SM-5EQKR 60-69 years, female 134.3
GTEX-WQUQ-2626-SM-4MVNP 60-69 years, male 133.8
GTEX-1J1OQ-2826-SM-D3L88 40-49 years, female 133.7
GTEX-139UW-2326-SM-5KM1Y 60-69 years, male 133.5
GTEX-1HCU7-2726-SM-A9G3D 50-59 years, male 133.5
GTEX-1HCUA-1926-SM-B2LWE 50-59 years, female 133.5
GTEX-13PVQ-2726-SM-5L3H7 50-59 years, male 133.2
GTEX-12WSL-1826-SM-5LZW9 50-59 years, male 133.1
GTEX-1JK1U-1426-SM-CNPOW 60-69 years, male 133.0
GTEX-ZLFU-1426-SM-4WWEU 40-49 years, male 132.6
GTEX-ZPU1-1726-SM-4WWFV 40-49 years, male 132.4
GTEX-1HCVE-2326-SM-9WYUD 50-59 years, male 132.3
GTEX-1JKYR-2026-SM-CNPON 20-29 years, male 131.7
GTEX-1JMLX-2526-SM-CY8HX 50-59 years, male 131.7
GTEX-1OFPY-1226-SM-E76OM 60-69 years, male 131.7
GTEX-1HSMO-2526-SM-A9SKP 60-69 years, male 131.2
GTEX-11DXX-1926-SM-5EGJK 60-69 years, female 131.1
GTEX-11TUW-2326-SM-5EQMO 60-69 years, male 130.5
GTEX-14JG6-1626-SM-5YYBC 30-39 years, female 130.5
GTEX-V955-1726-SM-4JBHF 60-69 years, male 130.5
GTEX-11P81-1426-SM-5P9JN 30-39 years, female 129.9
GTEX-Y3I4-1126-SM-4TT7Y 50-59 years, male 129.9
GTEX-18A66-2626-SM-72D67 60-69 years, male 129.8
GTEX-147JS-2626-SM-5S2UX 60-69 years, male 129.7
GTEX-13FTW-2126-SM-5K7YG 40-49 years, male 129.6
GTEX-15G19-2726-SM-6LPKG 60-69 years, male 129.6
GTEX-1JMQK-2326-SM-ARZN4 60-69 years, male 129.5
GTEX-1HBPI-2226-SM-9WYTY 50-59 years, male 129.3
GTEX-ZT9W-1726-SM-51MS3 50-59 years, male 128.4
GTEX-1PIGE-1526-SM-DTXFC 20-29 years, male 128.2
GTEX-1339X-1726-SM-5P9J9 40-49 years, male 128.1
GTEX-13OW6-2226-SM-5N9FL 50-59 years, male 127.7
GTEX-13OW5-2826-SM-5KM1G 60-69 years, male 127.1
GTEX-1H1DE-1626-SM-9KNU5 20-29 years, male 127.1
GTEX-1KANA-1726-SM-CY8IG 20-29 years, male 127.0
GTEX-1LGRB-2026-SM-COH47 50-59 years, female 127.0
GTEX-1QW4Y-1426-SM-E76P3 30-39 years, male 126.9
GTEX-1GMR3-2526-SM-7P8QS 40-49 years, male 126.4
GTEX-146FH-2426-SM-5Q5EW 50-59 years, female 125.2
GTEX-15F5U-1426-SM-7KUN2 40-49 years, male 125.1
GTEX-1GPI7-1926-SM-9KNUH 20-29 years, male 125.1
GTEX-WXYG-1726-SM-4ONCU 50-59 years, female 125.0
GTEX-1H3NZ-2526-SM-9KNVO 60-69 years, male 124.7
GTEX-1GF9X-1426-SM-7RHGX 40-49 years, female 124.5
GTEX-14PHX-1126-SM-5YYA5 50-59 years, male 124.3
GTEX-145LS-2926-SM-5O99G 60-69 years, female 124.2
GTEX-14BMU-1326-SM-5RQIH 20-29 years, female 123.5
GTEX-1CAMR-1026-SM-7P8QI 20-29 years, male 123.5
GTEX-1477Z-2126-SM-5Q5CM 60-69 years, male 123.4
GTEX-1KXAM-1926-SM-D3LAG 60-69 years, male 123.4
GTEX-1HBPN-2026-SM-B2LWA 50-59 years, male 123.1
GTEX-15UF7-1326-SM-7KUKV 40-49 years, male 122.9
GTEX-1F5PK-1726-SM-7RHHW 50-59 years, male 122.9
GTEX-183FY-1426-SM-7DHLM 20-29 years, male 122.3
GTEX-16MTA-1626-SM-6M47N 50-59 years, male 122.1
GTEX-1399U-2226-SM-5KLZI 50-59 years, female 121.7
GTEX-ZAB4-2426-SM-5HL8A 40-49 years, male 121.7
GTEX-ZLWG-1826-SM-DO11I 50-59 years, female 121.5
GTEX-WY7C-1926-SM-4ONCI 50-59 years, male 121.4
GTEX-YEC3-2026-SM-DKPOL 50-59 years, male 121.4
GTEX-13D11-0626-SM-5LZYY 50-59 years, female 121.1
GTEX-1L5NE-1926-SM-D3L9R 50-59 years, male 121.1
GTEX-1B932-2126-SM-7IGMU 40-49 years, female 121.0
GTEX-13O61-1526-SM-5KM3P 60-69 years, male 120.8
GTEX-13O1R-2426-SM-5KLZZ 60-69 years, male 120.7
GTEX-1QPFJ-2426-SM-EVR3L 30-39 years, female 120.4
GTEX-1AX9K-1626-SM-73KUS 50-59 years, male 120.2
GTEX-12BJ1-2026-SM-5FQUH 60-69 years, male 120.1
GTEX-1GTWX-2626-SM-9WPOT 60-69 years, male 119.9
GTEX-ZYFG-1826-SM-5GZWX 60-69 years, female 119.8
GTEX-1A3MV-1026-SM-72D5U 30-39 years, male 118.6
GTEX-WFG7-1626-SM-4LVMF 20-29 years, male 118.5
GTEX-WFG8-1726-SM-4LVM6 20-29 years, male 118.5
GTEX-1R9K5-2226-SM-DTX9G 50-59 years, male 118.5
GTEX-13X6I-2726-SM-5Q5ET 60-69 years, male 118.4
GTEX-1JMPZ-2626-SM-ARU8Z 30-39 years, male 118.1
GTEX-145MO-2626-SM-5QGPD 60-69 years, male 117.9
GTEX-1IKOE-2126-SM-A96T5 30-39 years, female 117.9
GTEX-1LG7Z-1326-SM-DIPF3 30-39 years, male 117.8
GTEX-1212Z-1826-SM-5FQSH 60-69 years, male 117.7
GTEX-ZV6S-1126-SM-57WE9 40-49 years, female 117.4
GTEX-1S5ZA-1426-SM-E6CJQ 20-29 years, male 117.3
GTEX-1HCU6-2926-SM-B2LWV 60-69 years, female 116.2
GTEX-1GZ4H-1326-SM-7P8TE 50-59 years, female 116.1
GTEX-1J8JJ-2426-SM-D4P4A 60-69 years, female 116.0
GTEX-ZC5H-2426-SM-4WAZ6 40-49 years, female 115.6
GTEX-1QP29-2526-SM-E6CQ3 50-59 years, male 115.6
GTEX-117YX-0526-SM-5EGJH 50-59 years, male 115.2
GTEX-14E6E-1726-SM-5S2R6 30-39 years, male 114.8
GTEX-15ETS-2326-SM-7KUGC 40-49 years, female 114.7
GTEX-1QP67-1426-SM-E8VOO 40-49 years, female 114.7
GTEX-1AMFI-1826-SM-73KWB 50-59 years, female 114.2
GTEX-1I1GR-2226-SM-ARL7F 60-69 years, male 114.1
GTEX-1J1R8-1426-SM-CL55O 40-49 years, male 113.8
GTEX-13PVR-1726-SM-5Q5EC 60-69 years, female 113.5
GTEX-16NGA-0926-SM-718AG 40-49 years, female 112.8
GTEX-1QP2A-2226-SM-DTXF6 50-59 years, male 112.7
GTEX-1CAMS-2626-SM-7PBY3 40-49 years, female 112.5
GTEX-1C4CL-1626-SM-7DUF3 30-39 years, male 112.3
GTEX-YJ8O-1426-SM-5PNV9 40-49 years, female 112.2
GTEX-1LBAC-1726-SM-D3L9W 20-29 years, male 111.8
GTEX-1R7EU-1826-SM-DTX9L 60-69 years, male 111.6
GTEX-14PJ4-1826-SM-5YY97 60-69 years, male 111.2
GTEX-18D9A-1326-SM-7LT8P 30-39 years, female 111.0
GTEX-ZP4G-1526-SM-57WE5 20-29 years, female 110.9
GTEX-1LVAM-1726-SM-DHXKQ 50-59 years, female 110.0
GTEX-1N2DV-1826-SM-E6CJ5 40-49 years, male 110.0
GTEX-12696-1926-SM-5EGJT 60-69 years, male 109.8
GTEX-139T6-1426-SM-5P9J7 50-59 years, male 109.5
GTEX-13SLW-2826-SM-5Q5ES 70-79 years, male 109.4
GTEX-17MFQ-1226-SM-7KFSA 20-29 years, male 109.0
GTEX-1H3VY-2526-SM-9KNW1 50-59 years, male 108.7
GTEX-17HGU-2626-SM-79OKN 50-59 years, male 108.5
GTEX-1JN76-1326-SM-ARU94 20-29 years, female 108.3
GTEX-WYVS-1126-SM-4SOJX 40-49 years, female 108.2
GTEX-ZA64-1426-SM-5CVMC 20-29 years, male 108.0
GTEX-1S831-1726-SM-EWROJ 20-29 years, male 108.0
GTEX-1B97I-1526-SM-73KUK 40-49 years, male 107.7
GTEX-1MGNQ-2126-SM-EV7AC 40-49 years, male 107.7
GTEX-1PIEJ-1826-SM-EWRMN 20-29 years, female 107.5
GTEX-1PDJ9-2026-SM-E76PT 20-29 years, male 107.3
GTEX-13X6K-2726-SM-5O9DG 60-69 years, female 107.2
GTEX-WRHK-1126-SM-4MVOJ 20-29 years, female 106.9
GTEX-WHWD-1526-SM-4OORV 50-59 years, male 106.5
GTEX-1QP28-2226-SM-DTX8C 50-59 years, female 106.5
GTEX-XUZC-1526-SM-4BRV4 30-39 years, female 106.4
GTEX-ZY6K-1326-SM-5GZWP 50-59 years, male 105.9
GTEX-1AX9J-2526-SM-73KUY 60-69 years, male 105.5
GTEX-15EO6-2326-SM-6LPKK 50-59 years, male 104.7
GTEX-15G1A-1926-SM-7KUFF 30-39 years, male 104.7
GTEX-1HBPM-2626-SM-9WYU5 60-69 years, female 104.6
GTEX-131XG-1526-SM-5GCNQ 50-59 years, female 104.1
GTEX-1HFI7-1626-SM-9WYTR 50-59 years, female 104.1
GTEX-1ICG6-2226-SM-B2LY7 70-79 years, female 104.0
GTEX-Y114-1626-SM-4TT7I 50-59 years, female 103.8
GTEX-ZPIC-2626-SM-57WE2 40-49 years, female 103.7
GTEX-1QP9N-0826-SM-DTX9O 30-39 years, male 103.3
GTEX-111YS-1826-SM-5GIEP 60-69 years, male 103.2
GTEX-1LSNM-1426-SM-E6CIH 50-59 years, male 103.0
GTEX-1HB9E-2526-SM-D4P35 50-59 years, male 102.9
GTEX-13111-1926-SM-5GCOL 50-59 years, male 102.5
GTEX-13QBU-2026-SM-5KLZB 40-49 years, female 102.5
GTEX-18QFQ-1726-SM-731C9 30-39 years, male 102.2
GTEX-14PN3-1926-SM-6EU1Y 60-69 years, female 102.0
GTEX-1JKYN-2226-SM-ARZNE 30-39 years, male 102.0
GTEX-1QCLZ-2026-SM-EAZ4A 60-69 years, female 101.7
GTEX-1PPH8-2226-SM-EWRN7 20-29 years, male 101.3
GTEX-1S82P-2026-SM-E9TIQ 60-69 years, female 101.3
GTEX-1H1E6-1826-SM-A9G21 30-39 years, male 101.2
GTEX-WHPG-1626-SM-4M1ZL 50-59 years, male 101.0
GTEX-XUW1-1826-SM-4BOQD 50-59 years, female 100.9
GTEX-148VJ-2426-SM-5NQ9Y 70-79 years, male 100.2
GTEX-1HSMQ-2526-SM-A9SMK 50-59 years, male 100.2
GTEX-1HKZK-2026-SM-9WYUF 40-49 years, male 99.9
GTEX-1F5PL-1926-SM-7MXTP 40-49 years, female 99.8
GTEX-1211K-1826-SM-5EGJ2 60-69 years, female 99.1
GTEX-14E1K-1626-SM-664MO 50-59 years, male 99.0
GTEX-15DZA-1026-SM-6PAND 30-39 years, female 98.7
GTEX-1C2JI-1726-SM-73KUW 50-59 years, male 98.0
GTEX-1C475-1526-SM-7DHM3 40-49 years, female 98.0
GTEX-1122O-1426-SM-5H11R 60-69 years, female 97.2
GTEX-1GL5R-1726-SM-9KNUX 50-59 years, male 97.0
GTEX-WFON-1326-SM-4LVMN 40-49 years, male 96.4
GTEX-1H23P-2626-SM-9KNVN 60-69 years, male 96.4
GTEX-1HSGN-2226-SM-A9SL6 40-49 years, female 94.7
GTEX-13FH7-1626-SM-5J2O9 50-59 years, female 94.6
GTEX-1J8QM-1226-SM-CY8HI 60-69 years, female 94.2
GTEX-1H1ZS-2626-SM-9QEIX 70-79 years, male 94.1
GTEX-1I6K6-1926-SM-A96SN 30-39 years, male 93.6
GTEX-13OVI-2126-SM-5KM3U 60-69 years, female 93.3
GTEX-1GMR2-1826-SM-9KNUP 50-59 years, male 93.0
GTEX-145ME-1126-SM-5SIAT 40-49 years, female 92.7
GTEX-1J8Q3-2426-SM-CL53S 60-69 years, male 92.6
GTEX-14E6C-2226-SM-5QGQG 40-49 years, male 90.6
GTEX-1I1GT-2026-SM-CKZPK 60-69 years, female 89.9
GTEX-1R9JW-2126-SM-E76QT 30-39 years, female 89.1
GTEX-ZVT2-1726-SM-51MRO 50-59 years, female 88.4
GTEX-14PKV-1926-SM-686YU 20-29 years, female 87.9
GTEX-Y9LG-1326-SM-4VBQB 30-39 years, male 85.8
GTEX-1IDJU-1926-SM-CL53W 60-69 years, female 84.2
GTEX-1JMPY-1026-SM-ARZN1 30-39 years, male 83.3
GTEX-Y5LM-1426-SM-5RQJL 40-49 years, female 81.1
GTEX-13VXT-2026-SM-5L3EW 20-29 years, female 79.6
GTEX-ZF29-1826-SM-4WKG8 60-69 years, female 74.1
GTEX-Y8LW-1126-SM-4VDS4 50-59 years, female 73.0
GTEX-Y8E4-2326-SM-EAZAZ 40-49 years, male 67.3
GTEX-1C64O-2426-SM-7P8R3 60-69 years, male 66.9
GTEX-11VI4-1426-SM-5GU6O 40-49 years, female 65.7
GTEX-1PFEY-1726-SM-DPRZ4 30-39 years, male 61.3
GTEX-1AMEY-1826-SM-72D5L 30-39 years, female 50.2
GTEX-1OJC3-1826-SM-DTX93 20-29 years, male 49.6
GTEX-13113-1426-SM-5EGHU 60-69 years, female 46.9
GTEX-15FZZ-1826-SM-6LLJP 30-39 years, female 45.1
GTEX-WYJK-2326-SM-4ONDN 50-59 years, male 39.2
GTEX-WH7G-1426-SM-4LVMU 40-49 years, male 39.0
GTEX-VJYA-2126-SM-4KL1O 60-69 years, male 38.8
GTEX-13W3W-2226-SM-5LU4M 60-69 years, female 35.5
GTEX-Y5V6-1626-SM-4VDT2 60-69 years, male 32.4
GTEX-W5WG-2026-SM-4LMIB 50-59 years, female 30.7
GTEX-X5EB-1126-SM-46MVV 40-49 years, male 27.2
GTEX-WOFM-1926-SM-4OOSP 20-29 years, male 24.7
GTEX-ZQUD-1026-SM-4YCEZ 30-39 years, male 19.7
Show allShow less
Colon - Transverse
Average nTPM: 87.2
Samples: 406

Max nTPM: 419.9
Min nTPM: 16.9
Std nTPM: 59.1
Median nTPM: 75.4
GTEX-1ICLZ-2426-SM-CKZOD 60-69 years, male 419.9
GTEX-1LVAN-2526-SM-CNPPC 50-59 years, female 362.6
GTEX-14C5O-2526-SM-73KU2 60-69 years, male 340.7
GTEX-1F75B-2726-SM-7P8QO 50-59 years, male 295.6
GTEX-XAJ8-0426-SM-47JYJ 40-49 years, male 291.9
GTEX-17F96-2026-SM-79ON4 70-79 years, male 288.9
GTEX-U412-1726-SM-EZ6KX 60-69 years, male 249.1
GTEX-1N2EF-1926-SM-DTX8M 60-69 years, male 244.6
GTEX-1JN1M-2626-SM-CY8I3 60-69 years, female 228.1
GTEX-1AX8Z-2726-SM-73KUC 60-69 years, male 227.0
GTEX-1IGQW-2326-SM-CE6RV 60-69 years, male 218.6
GTEX-ZYVF-2826-SM-5GIDK 50-59 years, female 215.2
GTEX-1J1OQ-2726-SM-AHZ3R 40-49 years, female 206.8
GTEX-11GSP-1626-SM-5986N 60-69 years, female 205.6
GTEX-WVJS-2426-SM-EZ6LI 50-59 years, male 204.5
GTEX-17EVQ-1826-SM-7IGPH 70-79 years, male 199.9
GTEX-15UF6-2626-SM-6M466 70-79 years, female 198.4
GTEX-Z93S-2426-SM-5HL8N 50-59 years, male 196.5
GTEX-13FH7-1526-SM-5J2N6 50-59 years, female 193.1
GTEX-Y3I4-1426-SM-4TT9C 50-59 years, male 192.9
GTEX-14AS3-1126-SM-5Q5CR 40-49 years, female 188.9
GTEX-R45C-2126-SM-EZ6KZ 60-69 years, female 186.9
GTEX-11O72-2226-SM-5PNW2 40-49 years, male 186.5
GTEX-11ZVC-2126-SM-5EGJ1 50-59 years, female 184.2
GTEX-1EMGI-2726-SM-7P8S4 60-69 years, male 183.4
GTEX-17F9E-1826-SM-7IGMC 50-59 years, male 182.9
GTEX-145LS-2726-SM-5Q5D8 60-69 years, female 181.0
GTEX-17JCI-2626-SM-7EWE6 60-69 years, female 179.9
GTEX-1LG7Y-2126-SM-DIPER 50-59 years, male 173.9
GTEX-1EH9U-2026-SM-7PBYS 60-69 years, male 171.6
GTEX-111VG-2226-SM-5N9DU 60-69 years, male 168.1
GTEX-1POEN-2026-SM-E6CRL 30-39 years, female 168.0
GTEX-1H1DG-2226-SM-9WPPC 70-79 years, male 167.3
GTEX-1HCVE-2526-SM-A9G2G 50-59 years, male 166.0
GTEX-12ZZZ-2426-SM-5GCNN 60-69 years, male 160.1
GTEX-1IKK5-2726-SM-CNPQ6 60-69 years, male 159.1
GTEX-QLQ7-1126-SM-CYPRB 60-69 years, male 159.1
GTEX-1CB4F-2026-SM-79OLU 60-69 years, male 157.5
GTEX-XGQ4-1226-SM-4AT67 50-59 years, male 157.3
GTEX-SJXC-2226-SM-EVYAK 60-69 years, male 156.6
GTEX-1GN73-2626-SM-9KNUQ 60-69 years, male 156.4
GTEX-1OKEX-1226-SM-DTXEC 60-69 years, male 156.3
GTEX-SNMC-1126-SM-4DM5M 20-29 years, male 155.7
GTEX-OXRN-2026-SM-E6CHK 50-59 years, male 155.6
GTEX-14ICL-1226-SM-5S2RD 30-39 years, male 153.9
GTEX-15DZA-0926-SM-69LQ3 30-39 years, female 152.1
GTEX-1IOXB-2626-SM-CJI2N 50-59 years, male 151.1
GTEX-13FHP-2426-SM-5KLZ5 50-59 years, male 150.7
GTEX-1HCU7-2626-SM-C1YQO 50-59 years, male 149.8
GTEX-14PJ5-0926-SM-6LLIK 60-69 years, female 148.9
GTEX-117YX-0826-SM-5H11J 50-59 years, male 148.5
GTEX-14BMV-2426-SM-5S2PP 50-59 years, male 148.3
GTEX-1JJE9-2426-SM-D3L8T 70-79 years, male 148.3
GTEX-13O3P-2326-SM-5KM55 50-59 years, male 148.0
GTEX-1HSMP-2326-SM-D3L8R 70-79 years, male 146.0
GTEX-15CHC-1626-SM-5ZZWS 60-69 years, female 145.3
GTEX-1C6VQ-2726-SM-73KUL 50-59 years, male 144.6
GTEX-P78B-1726-SM-3P5ZV 40-49 years, female 143.5
GTEX-13OVG-1426-SM-5K7VP 60-69 years, male 143.3
GTEX-15CHQ-2526-SM-6EU24 60-69 years, male 142.8
GTEX-13CF3-1426-SM-5K7YY 60-69 years, female 141.7
GTEX-1GMR2-1726-SM-9JGI2 50-59 years, male 139.2
GTEX-1JJ6O-2426-SM-ARU8J 60-69 years, male 139.2
GTEX-1N5O9-2726-SM-E76QH 60-69 years, male 138.7
GTEX-X4EO-2526-SM-EWRM8 60-69 years, female 138.3
GTEX-1CB4I-2226-SM-7P8SL 50-59 years, male 137.8
GTEX-14DAQ-2726-SM-5S2QY 60-69 years, female 137.3
GTEX-13U4I-2426-SM-5LU34 40-49 years, female 136.5
GTEX-1IDJD-2226-SM-A96TD 30-39 years, male 136.1
GTEX-13OW5-2626-SM-5MR3M 60-69 years, male 135.9
GTEX-18A7B-2026-SM-72D71 70-79 years, male 135.9
GTEX-15SHU-2526-SM-6M47D 40-49 years, female 135.0
GTEX-QDVJ-1326-SM-48U1X 50-59 years, male 134.4
GTEX-WEY5-1426-SM-4LMJ3 40-49 years, female 134.4
GTEX-13W3W-2126-SM-5K7UX 60-69 years, female 134.0
GTEX-16Z82-2226-SM-6LPJ7 60-69 years, male 132.7
GTEX-1AYD5-1726-SM-7RHFW 50-59 years, male 132.5
GTEX-16NPV-2626-SM-6M484 50-59 years, female 132.1
GTEX-1NV5F-2226-SM-DTX8O 60-69 years, female 131.8
GTEX-ZAB4-2226-SM-5HL97 40-49 years, male 131.7
GTEX-1RAZQ-2126-SM-DTX9V 30-39 years, male 131.6
GTEX-11TTK-2426-SM-5PNYO 60-69 years, female 130.6
GTEX-144GL-2526-SM-5TDDL 50-59 years, male 130.4
GTEX-16MT8-2726-SM-7IGLJ 60-69 years, female 130.3
GTEX-11ONC-2026-SM-5HL61 60-69 years, male 129.9
GTEX-1LBAC-1626-SM-CXZKV 20-29 years, male 129.7
GTEX-145MO-2426-SM-5NQ9W 60-69 years, male 129.6
GTEX-1C2JI-1626-SM-7EPHC 50-59 years, male 129.0
GTEX-ZXES-1626-SM-5NQ7L 30-39 years, female 128.7
GTEX-1KANB-1526-SM-CXZK4 50-59 years, male 127.3
GTEX-1LSVX-1726-SM-DHXJP 60-69 years, male 127.0
GTEX-15DYW-2326-SM-6PAMU 60-69 years, female 126.7
GTEX-1PWST-2426-SM-EWRMP 70-79 years, male 126.6
GTEX-RWS6-1826-SM-47JXX 60-69 years, female 125.8
GTEX-13QJ3-2626-SM-9OSXQ 50-59 years, male 125.4
GTEX-1S5VW-2926-SM-E9U6H 60-69 years, male 125.3
GTEX-18A7A-2226-SM-7LT8K 50-59 years, female 124.9
GTEX-11EQ9-1426-SM-5987G 30-39 years, male 124.6
GTEX-13OVK-0826-SM-7KULZ 40-49 years, male 124.4
GTEX-PSDG-1826-SM-EAZ2S 50-59 years, male 123.6
GTEX-17KNJ-1726-SM-7LG6A 50-59 years, male 123.5
GTEX-1GZ4I-2426-SM-9WPPP 50-59 years, male 123.2
GTEX-1AX9I-2626-SM-73KU5 60-69 years, male 123.0
GTEX-1BAJH-2326-SM-7IGMO 70-79 years, male 121.9
GTEX-17GQL-1526-SM-7LTAC 60-69 years, male 121.7
GTEX-1JMLX-2726-SM-CM2SB 50-59 years, male 121.6
GTEX-14H4A-1926-SM-5ZZWN 40-49 years, female 119.7
GTEX-Y8LW-1226-SM-4WWDP 50-59 years, female 119.5
GTEX-1PPGY-2826-SM-DTX9H 60-69 years, male 119.5
GTEX-14E1K-1826-SM-793DT 50-59 years, male 118.9
GTEX-17HII-2726-SM-7MGVM 50-59 years, male 118.6
GTEX-1JMPZ-2426-SM-C1YQP 30-39 years, male 118.4
GTEX-13O3O-2526-SM-5L3DR 60-69 years, female 118.3
GTEX-1AMEY-1926-SM-73KVT 30-39 years, female 118.1
GTEX-ZYFC-2626-SM-5NQ6S 50-59 years, male 118.1
GTEX-ZYFG-1926-SM-5GID5 60-69 years, female 116.8
GTEX-18D9B-2526-SM-718BN 60-69 years, male 116.4
GTEX-12WSJ-1526-SM-5GCNI 40-49 years, female 115.7
GTEX-17MF6-2426-SM-7LTAM 40-49 years, male 115.6
GTEX-14PJ3-0926-SM-69LQG 50-59 years, male 114.7
GTEX-147JS-2526-SM-5S2Q8 60-69 years, male 114.5
GTEX-1S82U-0726-SM-E9TKI 30-39 years, female 113.9
GTEX-XXEK-1926-SM-4BRVD 50-59 years, male 113.1
GTEX-X5EB-0926-SM-46MVT 40-49 years, male 112.4
GTEX-16NGA-1026-SM-7KFS3 40-49 years, female 111.8
GTEX-1QMI2-2626-SM-E6CR4 60-69 years, male 111.3
GTEX-18QFQ-1526-SM-72D57 30-39 years, male 110.8
GTEX-1IDJF-1826-SM-CKZOE 20-29 years, male 110.7
GTEX-1MUQO-2626-SM-EWRO3 60-69 years, male 109.5
GTEX-1339X-1626-SM-5IJDN 40-49 years, male 109.4
GTEX-1R9K5-2126-SM-E8VN1 50-59 years, male 109.0
GTEX-1GZ4H-1226-SM-9KNUA 50-59 years, female 108.8
GTEX-1MCC2-1626-SM-DIPEW 30-39 years, female 108.8
GTEX-16XZZ-2626-SM-6M47S 60-69 years, male 108.4
GTEX-TKQ1-0626-SM-4DXTS 30-39 years, male 108.0
GTEX-15G1A-1826-SM-7KUKO 30-39 years, male 107.9
GTEX-V955-1626-SM-4JBHJ 60-69 years, male 107.5
GTEX-WY7C-1626-SM-4ONC8 50-59 years, male 107.1
GTEX-145ME-0826-SM-5O9AF 40-49 years, female 106.9
GTEX-1HCU6-2726-SM-A9SKV 60-69 years, female 106.6
GTEX-1RMOY-1626-SM-EVYC8 50-59 years, male 106.6
GTEX-1I1GT-1926-SM-ARU7D 60-69 years, female 106.5
GTEX-YEC4-1926-SM-5IFHJ 40-49 years, male 105.8
GTEX-WQUQ-2526-SM-4MVNO 60-69 years, male 105.2
GTEX-1GL5R-2426-SM-7MXV1 50-59 years, male 105.2
GTEX-1GMR3-2826-SM-9WPOG 40-49 years, male 104.9
GTEX-1QW4Y-1326-SM-EWRMZ 30-39 years, male 104.6
GTEX-13O61-1626-SM-5KM3T 60-69 years, male 104.3
GTEX-1LH75-2126-SM-EVR5F 50-59 years, female 103.2
GTEX-12WSL-1626-SM-5GCMU 50-59 years, male 102.7
GTEX-OXRO-0726-SM-E9U4C 60-69 years, female 102.5
GTEX-ZF29-1726-SM-4WKFV 60-69 years, female 102.4
GTEX-14BIN-3026-SM-5ZZUS 50-59 years, female 101.8
GTEX-1IDJC-1326-SM-CL53H 50-59 years, male 101.6
GTEX-13OVJ-1726-SM-5IJDZ 50-59 years, female 100.8
GTEX-11TUW-2026-SM-5EQL8 60-69 years, male 100.4
GTEX-1E2YA-2626-SM-7MGWW 50-59 years, male 99.6
GTEX-1AYCT-1826-SM-731EG 50-59 years, male 99.3
GTEX-111YS-1626-SM-5GZZ9 60-69 years, male 99.2
GTEX-OXRL-1426-SM-3NM9E 50-59 years, male 98.1
GTEX-T6MO-0826-SM-4DM51 40-49 years, female 97.7
GTEX-Y8E4-2426-SM-4WWDN 40-49 years, male 97.2
GTEX-1A3MV-1126-SM-718BS 30-39 years, male 97.1
GTEX-XYKS-2226-SM-4E3IU 60-69 years, female 97.0
GTEX-ZV6S-1226-SM-59HLH 40-49 years, female 96.4
GTEX-13OW6-2126-SM-5N9GL 50-59 years, male 96.2
GTEX-148VJ-2626-SM-5QGPI 70-79 years, male 96.0
GTEX-1LGOU-1626-SM-D3LAK 20-29 years, female 95.7
GTEX-1H1DE-1526-SM-ARL9B 20-29 years, male 94.9
GTEX-13VXT-2426-SM-5LU46 20-29 years, female 94.2
GTEX-11P81-1126-SM-5GU5G 30-39 years, female 94.0
GTEX-Y114-1526-SM-4TT79 50-59 years, female 93.7
GTEX-15DCE-2026-SM-7KUFE 20-29 years, male 93.6
GTEX-X15G-1326-SM-4PQZJ 50-59 years, female 93.3
GTEX-13OVI-2026-SM-5J1MU 60-69 years, female 93.1
GTEX-17F98-1026-SM-7IGO8 40-49 years, female 92.5
GTEX-1B996-2626-SM-73KZ1 60-69 years, male 92.0
GTEX-S341-1426-SM-4AD6U 40-49 years, female 91.4
GTEX-1C64O-2326-SM-73KU8 60-69 years, male 91.3
GTEX-NFK9-2026-SM-3LK5K 40-49 years, male 90.6
GTEX-S3XE-1126-SM-4AD4N 50-59 years, male 89.9
GTEX-WYJK-2226-SM-4ONDJ 50-59 years, male 89.2
GTEX-1I1GR-2526-SM-CNNQF 60-69 years, male 88.1
GTEX-1RDX4-1826-SM-EVR54 50-59 years, female 87.5
GTEX-U3ZH-1326-SM-4DXSF 30-39 years, male 87.0
GTEX-14PJM-2626-SM-686ZD 50-59 years, female 86.1
GTEX-117YW-1826-SM-5PNY5 50-59 years, male 84.7
GTEX-X3Y1-1726-SM-4PQZL 40-49 years, male 84.2
GTEX-15ER7-2926-SM-7KUFK 20-29 years, female 83.7
GTEX-11NSD-1626-SM-5986U 20-29 years, male 82.6
GTEX-ZZ64-0726-SM-5GZX4 20-29 years, male 81.8
GTEX-12KS4-2426-SM-5LU8P 30-39 years, male 80.4
GTEX-13S86-1626-SM-5Q5C5 40-49 years, male 79.7
GTEX-ZY6K-1226-SM-5GZYL 50-59 years, male 79.5
GTEX-XUW1-1926-SM-4BOP1 50-59 years, female 79.0
GTEX-1NHNU-2326-SM-E6CQE 50-59 years, male 78.7
GTEX-QMRM-1226-SM-447C6 50-59 years, male 78.6
GTEX-14JIY-3326-SM-6871E 60-69 years, male 76.9
GTEX-1K9T9-2826-SM-D4P3F 50-59 years, female 76.7
GTEX-15RIE-1826-SM-6M48P 60-69 years, male 76.5
GTEX-O5YT-1426-SM-3MJHC 20-29 years, male 76.5
GTEX-14C39-1926-SM-5ZZW5 40-49 years, male 75.5
GTEX-1HKZK-2126-SM-A9SL3 40-49 years, male 75.5
GTEX-WYVS-1826-SM-4OND6 40-49 years, female 75.2
GTEX-1R9JW-2026-SM-EAZ4O 30-39 years, female 75.2
GTEX-ZGAY-2126-SM-4YCFB 40-49 years, female 73.4
GTEX-QDVN-1326-SM-48TZ3 50-59 years, male 72.6
GTEX-1GF9X-1526-SM-7P8QP 40-49 years, female 72.5
GTEX-RU1J-1326-SM-46MUL 20-29 years, female 71.5
GTEX-1MJK3-0926-SM-EV7AY 20-29 years, male 71.4
GTEX-1128S-1626-SM-5H12O 60-69 years, female 70.8
GTEX-Q734-1126-SM-48TZY 40-49 years, female 70.6
GTEX-1GF9U-1526-SM-7MXUW 40-49 years, female 70.4
GTEX-14ICK-1026-SM-6AJA4 40-49 years, male 69.9
GTEX-OHPN-2026-SM-E9TIA 60-69 years, female 69.7
GTEX-SE5C-1526-SM-4BRWU 40-49 years, female 69.3
GTEX-VJYA-2026-SM-4KL1K 60-69 years, male 66.7
GTEX-18D9U-1926-SM-7KFTM 40-49 years, male 66.3
GTEX-PX3G-1426-SM-48U1J 20-29 years, female 65.8
GTEX-1R9PM-1526-SM-DPRY8 20-29 years, male 65.7
GTEX-1GPI7-1726-SM-7P8R1 20-29 years, male 65.6
GTEX-O5YW-1426-SM-3MJHF 50-59 years, male 65.4
GTEX-1HFI7-1726-SM-A9G22 50-59 years, female 65.1
GTEX-1HSGN-2626-SM-CE6S1 40-49 years, female 63.0
GTEX-1KXAM-2126-SM-CY8I9 60-69 years, male 62.3
GTEX-131XE-0826-SM-5HL9W 50-59 years, male 61.1
GTEX-WH7G-1326-SM-4LVMS 40-49 years, male 60.9
GTEX-146FQ-1926-SM-5NQBY 30-39 years, male 60.8
GTEX-11TT1-1026-SM-5PNW7 20-29 years, male 60.7
GTEX-1B932-2826-SM-73KUD 40-49 years, female 60.7
GTEX-ZP4G-1726-SM-4WWCM 20-29 years, female 59.3
GTEX-ZPCL-1826-SM-57WF1 60-69 years, female 58.5
GTEX-OIZH-1426-SM-3NB1O 50-59 years, male 58.3
GTEX-OHPM-1426-SM-3TW8Y 50-59 years, male 58.0
GTEX-XQ8I-2126-SM-4BOOM 50-59 years, male 57.7
GTEX-ZPU1-1926-SM-57WDT 40-49 years, male 57.3
GTEX-18A66-2426-SM-7KFSQ 60-69 years, male 56.8
GTEX-1JK1U-1526-SM-AHZ46 60-69 years, male 56.7
GTEX-1MGNQ-2026-SM-EAZ51 40-49 years, male 56.7
GTEX-QEL4-1926-SM-D3L8D 50-59 years, male 56.4
GTEX-13X6H-1926-SM-7EWD3 50-59 years, female 56.2
GTEX-ZG7Y-2126-SM-DO117 50-59 years, male 56.0
GTEX-1I6K6-1826-SM-B2LX5 30-39 years, male 55.2
GTEX-PWCY-1026-SM-48TD4 20-29 years, female 54.6
GTEX-1PIGE-1426-SM-E9U61 20-29 years, male 54.3
GTEX-1PPH8-2026-SM-DTX7P 20-29 years, male 54.3
GTEX-17HGU-2426-SM-7EWDP 50-59 years, male 53.8
GTEX-ZTSS-1126-SM-5985O 40-49 years, male 53.5
GTEX-139TS-1926-SM-5IJFO 60-69 years, male 53.0
GTEX-15SB6-1226-SM-7KUMP 50-59 years, female 52.9
GTEX-17EUY-1826-SM-7DUEZ 20-29 years, male 52.8
GTEX-1QPFJ-2326-SM-E6CR7 30-39 years, female 52.0
GTEX-S4P3-1226-SM-4AD4Y 50-59 years, female 51.7
GTEX-1JKYR-1926-SM-C1YR7 20-29 years, male 51.6
GTEX-1NSGN-2326-SM-E9U5X 50-59 years, male 51.6
GTEX-147GR-2726-SM-664OO 60-69 years, male 50.8
GTEX-14JG6-1726-SM-69LPL 30-39 years, female 50.6
GTEX-1QCLZ-1926-SM-E6CR3 60-69 years, female 50.5
GTEX-XV7Q-2126-SM-4BRVX 40-49 years, female 50.3
GTEX-178AV-1326-SM-6LPJX 40-49 years, male 50.2
GTEX-ZDYS-2326-SM-4WKG6 50-59 years, male 50.0
GTEX-144GN-1126-SM-5LU33 50-59 years, male 49.3
GTEX-Y3IK-1826-SM-4WWDS 50-59 years, female 48.8
GTEX-R55C-1126-SM-48FCJ 40-49 years, male 48.5
GTEX-SNOS-1226-SM-4DM5H 40-49 years, male 47.9
GTEX-XBEW-1926-SM-4SOJO 40-49 years, male 47.7
GTEX-1C4CL-2126-SM-7IGQC 30-39 years, male 47.5
GTEX-TKQ2-1326-SM-4DXT9 50-59 years, male 47.4
GTEX-1KANA-1926-SM-DHXKF 20-29 years, male 47.4
GTEX-1MA7W-0626-SM-EV79Z 20-29 years, female 47.0
GTEX-S4UY-0826-SM-4AD4Z 40-49 years, female 46.8
GTEX-1H3VY-2426-SM-9WPPD 50-59 years, male 46.5
GTEX-PLZ6-0926-SM-3P5ZQ 30-39 years, male 46.3
GTEX-1S3DN-1826-SM-EV79K 50-59 years, male 45.6
GTEX-U3ZM-1126-SM-4DXUB 40-49 years, male 45.2
GTEX-1CAMS-2526-SM-7EPH7 40-49 years, female 45.1
GTEX-1F5PL-2126-SM-7PC2O 40-49 years, female 44.9
GTEX-1F75I-2426-SM-9WPOY 40-49 years, male 44.4
GTEX-1HCU9-1326-SM-B2LXT 20-29 years, male 44.2
GTEX-QLQW-0426-SM-447A7 30-39 years, male 44.1
GTEX-11VI4-1526-SM-5EQKC 40-49 years, female 43.7
GTEX-144GM-1226-SM-5LU52 20-29 years, male 43.6
GTEX-OOBJ-1426-SM-E6CHH 60-69 years, male 43.6
GTEX-11P7K-1526-SM-5EGI7 30-39 years, male 43.2
GTEX-S7SF-1926-SM-4AT5B 20-29 years, female 42.8
GTEX-1L5NE-2026-SM-CXZKR 50-59 years, male 42.8
GTEX-R53T-1326-SM-48FCQ 50-59 years, female 42.7
GTEX-18D9A-1126-SM-7KFRJ 30-39 years, female 42.6
GTEX-OIZF-1426-SM-2HML2 60-69 years, male 42.4
GTEX-P4PP-1426-SM-3NM9L 30-39 years, female 42.3
GTEX-1R7EU-1926-SM-E9U62 60-69 years, male 42.0
GTEX-P4QT-1426-SM-3NMCX 50-59 years, female 41.5
GTEX-S4Q7-0826-SM-4AD5E 20-29 years, male 41.5
GTEX-1IDJU-2026-SM-A9SLM 60-69 years, female 41.4
GTEX-13PVR-1626-SM-73KVF 60-69 years, female 41.3
GTEX-11LCK-2026-SM-5A5MA 30-39 years, male 41.0
GTEX-139YR-2126-SM-5KM11 50-59 years, male 40.7
GTEX-1HSEH-1726-SM-B2LXH 60-69 years, male 40.7
GTEX-1PIEJ-2026-SM-E6CPA 20-29 years, female 40.6
GTEX-15RIF-1326-SM-6LPKO 20-29 years, male 39.8
GTEX-XBED-1526-SM-4AT5W 60-69 years, male 39.8
GTEX-XMK1-1726-SM-4B64Z 40-49 years, male 38.1
GTEX-1QCLY-1726-SM-DPRXY 30-39 years, male 37.9
GTEX-14BMU-1526-SM-5TDE6 20-29 years, female 37.8
GTEX-Q2AI-0926-SM-48U1F 40-49 years, male 37.7
GTEX-14PK6-1726-SM-6871J 70-79 years, female 37.5
GTEX-1HSMQ-2726-SM-C1YRE 50-59 years, male 37.4
GTEX-YEC3-2426-SM-DO11A 50-59 years, male 36.5
GTEX-YF7O-1726-SM-5IFJ9 50-59 years, male 36.3
GTEX-ZVP2-1526-SM-5NQ82 50-59 years, male 35.6
GTEX-ZF2S-1926-SM-4WWAN 50-59 years, female 35.0
GTEX-1PFEY-1426-SM-E9U6U 30-39 years, male 34.9
GTEX-147F3-1926-SM-5SIB9 50-59 years, female 34.6
GTEX-1LGRB-1426-SM-CNNPT 50-59 years, female 34.6
GTEX-1I4MK-1126-SM-B2LWS 50-59 years, female 34.5
GTEX-1399R-2226-SM-5P9JB 30-39 years, male 34.1
GTEX-1QP67-1326-SM-EAZ4D 40-49 years, female 34.1
GTEX-145LT-0926-SM-5LU9C 40-49 years, male 33.9
GTEX-11I78-1226-SM-5A5K6 50-59 years, female 33.6
GTEX-1AMFI-1726-SM-7189L 50-59 years, female 33.5
GTEX-13111-0726-SM-5DUVE 50-59 years, male 33.3
GTEX-1IKOE-2026-SM-AHZ31 30-39 years, female 33.3
GTEX-R55G-1226-SM-48FDC 40-49 years, female 33.2
GTEX-ZLWG-1726-SM-DNZZ2 50-59 years, female 33.2
GTEX-131XG-1826-SM-5LZV4 50-59 years, female 32.8
GTEX-QCQG-1626-SM-48U26 50-59 years, female 32.8
GTEX-17HHE-1826-SM-79OKE 50-59 years, male 32.6
GTEX-132AR-2726-SM-5PNVN 50-59 years, female 32.5
GTEX-1C475-1626-SM-731FP 40-49 years, female 32.2
GTEX-14PHX-1526-SM-68717 50-59 years, male 32.1
GTEX-Y9LG-1526-SM-4WWDR 30-39 years, male 32.0
GTEX-11DXX-1826-SM-5H126 60-69 years, female 31.5
GTEX-WHSB-0926-SM-4M1XJ 50-59 years, male 31.4
GTEX-111CU-1426-SM-5GZYP 50-59 years, male 31.3
GTEX-13QBU-1826-SM-5IJG3 40-49 years, female 31.3
GTEX-1S83E-1626-SM-EV7B9 40-49 years, male 31.1
GTEX-W5WG-2426-SM-4LMI6 50-59 years, female 30.9
GTEX-ZEX8-1926-SM-4WKFR 50-59 years, male 30.9
GTEX-QV31-0826-SM-CKZNC 30-39 years, male 30.7
GTEX-1B8KZ-1326-SM-7DUG6 50-59 years, male 30.6
GTEX-14PKV-2126-SM-664O3 20-29 years, female 30.3
GTEX-1LVAM-1626-SM-EV79Y 50-59 years, female 30.2
GTEX-PWN1-1426-SM-48TDF 40-49 years, female 30.1
GTEX-WFON-1426-SM-4LVMT 40-49 years, male 30.1
GTEX-15CHR-1426-SM-7DUGV 50-59 years, male 29.9
GTEX-1JMPY-0426-SM-C1YQ3 30-39 years, male 29.8
GTEX-1211K-1726-SM-5FQUJ 60-69 years, female 29.7
GTEX-ZLV1-1226-SM-4WWBX 60-69 years, female 29.7
GTEX-ZDTT-1926-SM-5HL5W 60-69 years, male 29.6
GTEX-16AAH-1326-SM-7KFRG 50-59 years, male 29.5
GTEX-T5JW-1126-SM-4DM5V 20-29 years, female 29.5
GTEX-1LG7Z-1426-SM-CXKYV 30-39 years, male 29.5
GTEX-12C56-0626-SM-5EGGC 20-29 years, male 29.4
GTEX-13PL7-2526-SM-5IFGR 60-69 years, female 29.2
GTEX-OXRK-1726-SM-3NB16 50-59 years, female 29.0
GTEX-UJMC-1326-SM-4IHLS 50-59 years, male 29.0
GTEX-11EM3-1526-SM-5A5KN 20-29 years, female 28.9
GTEX-PLZ5-1126-SM-3P613 50-59 years, male 28.9
GTEX-1H11D-2626-SM-9JGH4 40-49 years, male 28.9
GTEX-RM2N-0926-SM-48FD1 50-59 years, male 28.8
GTEX-1J1R8-1126-SM-CNPQ3 40-49 years, male 28.8
GTEX-WHWD-1226-SM-4OOS1 50-59 years, male 28.6
GTEX-12BJ1-2126-SM-5BC5O 60-69 years, male 28.2
GTEX-14XAO-2026-SM-69LOI 60-69 years, female 28.2
GTEX-U4B1-1126-SM-4DXV3 40-49 years, male 28.0
GTEX-13D11-0826-SM-5KLZJ 50-59 years, female 27.9
GTEX-WFG7-1526-SM-4LVMG 20-29 years, male 27.7
GTEX-1KANC-0926-SM-D3LA9 50-59 years, female 27.7
GTEX-Q2AH-1226-SM-48TZL 40-49 years, male 27.5
GTEX-U3ZN-2126-SM-4DXU1 30-39 years, female 27.5
GTEX-1QP9N-1026-SM-E6CPX 30-39 years, male 27.5
GTEX-R55D-1826-SM-48FEF 50-59 years, male 27.3
GTEX-1RAZA-1726-SM-DPS13 20-29 years, male 27.3
GTEX-13FTW-1826-SM-5IJEN 40-49 years, male 26.9
GTEX-133LE-1526-SM-5IFEN 20-29 years, female 26.7
GTEX-UJHI-1126-SM-4IHLN 50-59 years, female 26.6
GTEX-139T6-1326-SM-5IFFO 50-59 years, male 26.5
GTEX-1H1E6-1926-SM-9OSWD 30-39 years, male 25.9
GTEX-1399S-1926-SM-5J2M5 30-39 years, female 25.6
GTEX-1F5PK-1926-SM-7MXT7 50-59 years, male 25.2
GTEX-XUZC-1326-SM-4BRV2 30-39 years, female 25.1
GTEX-11DXZ-1726-SM-5H12M 50-59 years, male 24.9
GTEX-Y5LM-1526-SM-4VDTA 40-49 years, female 24.9
GTEX-1399U-1926-SM-5IFH7 50-59 years, female 24.6
GTEX-ZV7C-1526-SM-5NQ72 50-59 years, male 24.5
GTEX-14PJ4-1926-SM-6LLHG 60-69 years, male 24.3
GTEX-TML8-1326-SM-4DXTO 40-49 years, female 24.2
GTEX-11P82-1026-SM-5BC5J 20-29 years, male 24.1
GTEX-1CAMR-0926-SM-7MXTD 20-29 years, male 24.1
GTEX-1JKYN-2326-SM-CGQG7 30-39 years, male 24.1
GTEX-YB5E-1626-SM-5IFIQ 40-49 years, male 24.0
GTEX-ZT9W-1826-SM-51MQX 50-59 years, male 23.9
GTEX-14DAR-1526-SM-5RQIX 50-59 years, male 23.7
GTEX-1JN76-1226-SM-C1YRM 20-29 years, female 23.2
GTEX-1N2DV-1426-SM-DPRYQ 40-49 years, male 23.2
GTEX-145MN-1726-SM-5SIA6 30-39 years, male 23.1
GTEX-1RAZR-1926-SM-E6CRF 40-49 years, male 22.9
GTEX-ZPIC-2226-SM-57WDX 40-49 years, female 22.8
GTEX-ZVT2-1926-SM-5GU5T 50-59 years, female 22.6
GTEX-WOFM-2026-SM-4OOSQ 20-29 years, male 21.7
GTEX-XPVG-1826-SM-4B64X 50-59 years, male 21.6
GTEX-14E6E-1526-SM-5RQIG 30-39 years, male 21.0
GTEX-1122O-1526-SM-5N9CL 60-69 years, female 20.0
GTEX-1B8KE-1926-SM-731EE 50-59 years, male 19.3
GTEX-1K2DA-2026-SM-CGQGK 50-59 years, male 18.0
GTEX-13O21-2426-SM-5MR4A 50-59 years, male 16.9
Show allShow less

COLON - FANTOM5 CAGEi

RNA expression in human tissues obtained through Cap Analysis of Gene Expression (CAGE) generated by the FANTOM5 project are reported as Scaled Tags Per Million.

Max subtype Scaled Tags Per Millioni

Max subtype Scaled Tags Per Million is the value for the subtype with the largest average Scaled Tags Per Million across the subtype samples.

89.2
FANTOM5 sample id Sample description Scaled Tags Per Million
Colon
Scaled Tags Per Million: 89.2
FF:10014-101C5 62,83,84 years, mixed 89.2

Contact

  • NEWS ARTICLES
  • PRESS ROOM

The Project

  • INTRODUCTION
  • ORGANIZATION
  • PUBLICATIONS

The Human Protein Atlas

  • DOWNLOADABLE DATA
  • LICENCE & CITATION
  • HELP & FAQ
The Human Protein Atlas project is funded
by the Knut & Alice Wallenberg Foundation.


contact@proteinatlas.org