We use cookies to enhance the usability of our website. If you continue, we'll assume that you are happy to receive all cookies. More information. Don't show this again.
ATP5PD
HPA
RESOURCES
  • TISSUE
  • BRAIN
  • SINGLE CELL
  • SUBCELLULAR
  • CANCER
  • BLOOD
  • CELL LINE
  • STRUCTURE & INTERACTION
ABOUT
  • INTRODUCTION
  • HISTORY
  • ORGANIZATION
  • PUBLICATIONS
  • ANTIBODY SUBMISSION
  • ANTIBODY AVAILABILITY
  • ACKNOWLEDGMENTS
  • CONTACT
NEWS
  • NEWS ARTICLES
  • PRESS ROOM
LEARN
  • DICTIONARY
  • PROTEIN CLASSES
  • PROTEIN EVIDENCE
  • METHODS
  • EDUCATIONAL VIDEOS
DATA
  • DOWNLOADABLE DATA
  • PUBLICATION DATA
  • RELEASE HISTORY
HELP
  • ANTIBODY VALIDATION
  • ASSAYS & ANNOTATION
  • DISCLAIMER
  • HELP & FAQ
  • PRIVACY STATEMENT
  • LICENCE & CITATION
Fields »
Search result

Field
Term
Gene name
Class
Subclass
Class
Keyword
Chromosome
External id
Tissue
Cell type
Expression
Antibody panel
Tissue
Main location
Patient ID
Annotation
Tissue
Category
Tau score
Cluster
Reliability
Brain region
Category
Tau score
Brain region
Category
Tau score
Brain region
Category
Tau score
Cluster
Reliability
Tissue
Cell type
Enrichment
Cell type
Category
Tau score
Cell type
Category
Tau score
Cell type
Category
Tau score
Cell lineage
Category
Tau score
Cluster
Cluster
Location
Searches
Location
Cell line
Class
Type
Phase
Reliability
Cancer
Prognosis
Cancer
Category
Cancer
Category
Tau score
Cluster
Variants
Interacting gene (ensg_id)
Type
Number of interactions
Pathway
Category
Score
Score
Score
Validation
Validation
Validation
Validation
Antibodies
Data type
Column


  • SUMMARY

  • TISSUE

  • BRAIN

  • SINGLE CELL

  • SUBCELL

  • CANCER

  • BLOOD

  • CELL LINE

  • STRUCT & INT

  • ATP5PD
TISSUE PRIMARY DATA SKIN Show tissue menu
ADIPOSE TISSUE ADRENAL GLAND AMYGDALA APPENDIX BASAL GANGLIA BONE MARROW BREAST BRONCHUS CEREBELLUM CEREBRAL CORTEX CERVIX CHOROID PLEXUS COLON DUODENUM
ENDOMETRIUM EPIDIDYMIS ESOPHAGUS FALLOPIAN TUBE GALLBLADDER HEART MUSCLE HIPPOCAMPAL FORMATION HYPOTHALAMUS KIDNEY LIVER LUNG LYMPH NODE MIDBRAIN NASOPHARYNX
ORAL MUCOSA OVARY PANCREAS PARATHYROID GLAND PITUITARY GLAND PLACENTA PROSTATE RECTUM RETINA SALIVARY GLAND SEMINAL VESICLE SKELETAL MUSCLE SKIN SMALL INTESTINE
SMOOTH MUSCLE SOFT TISSUE SPINAL CORD SPLEEN STOMACH TESTIS THYMUS THYROID GLAND TONGUE TONSIL URINARY BLADDER VAGINA
ANTIBODIES
AND
VALIDATION
Dictionary
Skin
Tissue proteome
Skin
SKIN - Expression summary
Protein expression
Skini

On the top, protein expression in current human tissue, based on all annotated cell types, is reported with the units not detected (n), low (l), medium (m) and high (h). Underneath, protein expression in each annotated cell type are reported using the same units.

Protein expression data is based on knowledge-based annotation. For genes where more than one antibody has been used, a collective score is set.

If knowledge-based annotation could not be performed for a gene, no data is displayed here. View antibody staining data further down this page.

h
m
l
n
Epidermal cells: Medium
Fibroblasts: Medium
Keratinocytes: Low
Langerhans: High
Melanocytes: High
RNA expressioni

A summary of mRNA expression data available for current tissue based on several datasets. The mRNA expression levels in human tissues are based on RNA-seq data generated by the Human Protein Atlas (HPA), Genotype-Tissue Expression (GTEx) portal and CAGE data generated by the FANTOM5 consortium. Consensus normalized expression levels for human tissues was created by combining the data from HPA and GTEx datasets.

The mRNA expression levels in pig are based on RNA-seq data generated by the Human Protein Atlas (HPA), and for mouse, HPA data and in situ hybridization generated by the Allen brain atlas are reported.

Scroll down to view mRNA expression data in more detail.
Consensus:256.6 nTPM
HPA:218.8 nTPM
GTEx:256.6 nTPM

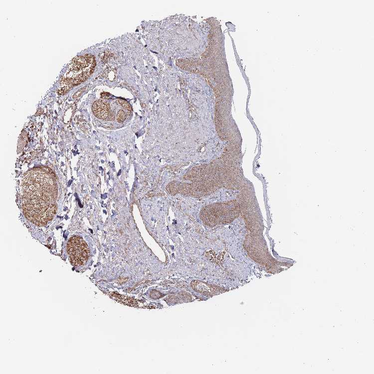
SKIN 1 - Antibody stainingi

Antibody staining in the annotated cell types in the current human tissue is reported as not detected, low, medium, or high, based on conventional immunohistochemistry profiling in selected tissues. This score is based on the combination of the staining intensity and fraction of stained cells.

Each image is clickable and will lead to virtual microscopy that enables deeper exploration of all samples and also displays staining intensity scores, fraction scores and subcellular localization as well as patient and tissue information for each sample.

Antibody HPA042777Antibody HPA048459
Langerhans HighMedium
Fibroblasts MediumMedium
Keratinocytes Not detectedMedium
Melanocytes HighHigh


SKIN 2 - Antibody stainingi

Antibody staining in the annotated cell types in the current human tissue is reported as not detected, low, medium, or high, based on conventional immunohistochemistry profiling in selected tissues. This score is based on the combination of the staining intensity and fraction of stained cells.

Each image is clickable and will lead to virtual microscopy that enables deeper exploration of all samples and also displays staining intensity scores, fraction scores and subcellular localization as well as patient and tissue information for each sample.

Antibody HPA042777Antibody HPA048459
Epidermal cells MediumHigh
  
  
  

SKIN - HPA RNA-seqi

The RNA-seq details section shows detailed information about the individual samples used for the transcript profiling and results of the RNA-seq analysis.

Information about each individual sample is listed below, including gender, age, a tissue section image and estimated fractions of cell types. nTPM (normalized transcripts per million) values give a quantification of the gene abundance which is comparable between different genes and samples.
Average nTPMi

Max subtype nTPM is the value for the subtype with the largest average nTPM across the subtype samples.

218.8
overview
Female, age 34
Skin sample 225
nTPM: 258.3
Cell types%
Keratinocytes:
60

Other cell types:
40

overview
Female, age 30
Skin sample 226
nTPM: 223.7
Cell types%
Keratinocytes:
55

Other cell types:
45

N/A
Male, age 57
Skin sample 227
nTPM: 174.4

SKIN - GTEx RNA-seqi

RNA-Seq data generated by the Genotype-Tissue Expression (GTEx) project from human tissues is reported as mean nTPM. More information can be found on the GTEx portal.

Distribution across the dataset is visualized with box plots, shown as median and 25th and 75th percentiles. Points are displayed as outliers if they are above or below 1.5 times the interquartile range. nTPM values of the individual samples are presented next to the box plot.
Max subtype nTPMi

Max subtype nTPM is the value for the subtype with the largest average nTPM across the subtype samples.

256.6
GTEx sample id Sample description nTPM
Skin - Not Sun Exposed (Suprapubic)
Average nTPM: 256.6
Samples: 604

Max nTPM: 584.7
Min nTPM: 138.0
Std nTPM: 54.7
Median nTPM: 245.8
GTEX-1E2YA-2126-SM-7MXUO 50-59 years, male 584.7
GTEX-1PIGE-1826-SM-E8VOU 20-29 years, male 503.0
GTEX-1OJC3-1226-SM-DTXER 20-29 years, male 449.4
GTEX-11DYG-1526-SM-5A5JS 60-69 years, male 435.9
GTEX-1PPH8-0126-SM-EWRN8 20-29 years, male 429.8
GTEX-YECK-0326-SM-4W1YS 60-69 years, male 429.1
GTEX-Y114-2126-SM-4TT8B 50-59 years, female 428.2
GTEX-1399Q-2326-SM-5KM2X 40-49 years, male 428.0
GTEX-15G19-2426-SM-7KUMR 60-69 years, male 420.8
GTEX-15RIE-1926-SM-7KUKJ 60-69 years, male 419.5
GTEX-1HSMP-0926-SM-A9SKX 70-79 years, male 418.2
GTEX-Y5V6-2326-SM-4VDSA 60-69 years, male 406.1
GTEX-13NYB-0126-SM-5J1MD 40-49 years, male 404.1
GTEX-1LKK1-2626-SM-DKPQE 50-59 years, female 401.1
GTEX-14PJ3-1126-SM-5ZZVX 50-59 years, male 400.4
GTEX-13G51-1826-SM-5KLZH 60-69 years, male 383.3
GTEX-ZTTD-2826-SM-4YCFA 50-59 years, male 382.9
GTEX-15RIG-0726-SM-7KUM7 40-49 years, male 380.1
GTEX-11PRG-0726-SM-5EGL1 50-59 years, male 379.0
GTEX-WFG7-2026-SM-5SI7P 20-29 years, male 377.6
GTEX-1IKOE-1426-SM-CE6T7 30-39 years, female 375.3
GTEX-15SHW-0226-SM-7LTAT 60-69 years, male 370.9
GTEX-ZTX8-1326-SM-4YCEL 20-29 years, male 369.8
GTEX-WH7G-2026-SM-3NMBL 40-49 years, male 361.7
GTEX-17F97-2626-SM-7IGM5 50-59 years, male 358.6
GTEX-14E1K-2026-SM-7DUEI 50-59 years, male 355.4
GTEX-14XAO-1226-SM-6EU1C 60-69 years, female 354.9
GTEX-11DXX-2126-SM-5PNYR 60-69 years, female 354.1
GTEX-1QCLY-0226-SM-EWRNH 30-39 years, male 353.8
GTEX-1AYD5-2626-SM-7PBXY 50-59 years, male 353.7
GTEX-13PL6-1126-SM-5L3IE 40-49 years, female 353.4
GTEX-148VJ-0626-SM-5LUAW 70-79 years, male 351.6
GTEX-16YQH-2226-SM-7IGM2 30-39 years, male 350.4
GTEX-18A6Q-0626-SM-7KFRP 60-69 years, male 349.2
GTEX-ZYW4-0626-SM-59HJR 60-69 years, male 348.4
GTEX-144GO-2026-SM-5O99P 60-69 years, male 347.9
GTEX-18A67-1626-SM-7LT9T 50-59 years, male 346.8
GTEX-1QP9N-1226-SM-E76QN 30-39 years, male 346.5
GTEX-1PBJJ-1026-SM-E76OS 30-39 years, male 346.0
GTEX-ZYT6-2326-SM-5GZY3 30-39 years, male 345.5
GTEX-1KANB-2826-SM-CY8I6 50-59 years, male 345.4
GTEX-1399S-0126-SM-5IJCF 30-39 years, female 345.3
GTEX-11WQC-1826-SM-5GU59 60-69 years, male 344.4
GTEX-ZF3C-0626-SM-DO92O 50-59 years, female 344.1
GTEX-15RJE-2826-SM-7KUM9 40-49 years, male 341.3
GTEX-1313W-0626-SM-5EQ4H 50-59 years, female 341.0
GTEX-1C6WA-2626-SM-7MKGM 60-69 years, male 339.0
GTEX-1H1DG-2426-SM-9QEHJ 70-79 years, male 338.2
GTEX-14ICL-1626-SM-5YYAO 30-39 years, male 338.0
GTEX-1N2DV-1526-SM-DTXEP 40-49 years, male 337.2
GTEX-11P7K-1126-SM-5HL4L 30-39 years, male 336.0
GTEX-1F6I4-2326-SM-7RHGL 60-69 years, male 336.0
GTEX-ZE7O-2726-SM-51MT5 50-59 years, female 335.0
GTEX-13PDP-0726-SM-5L3HP 60-69 years, male 334.6
GTEX-1R9PM-1926-SM-EVR3O 20-29 years, male 334.3
GTEX-13FTY-2126-SM-5IFFB 40-49 years, female 333.9
GTEX-147F4-0726-SM-5TDDD 50-59 years, male 333.0
GTEX-1O9I2-0226-SM-EYYXD 50-59 years, male 332.8
GTEX-1BAJH-2426-SM-7IGP8 70-79 years, male 331.5
GTEX-1HFI6-0126-SM-CNPPI 40-49 years, male 331.4
GTEX-1GN1V-2826-SM-9JGIA 60-69 years, male 331.3
GTEX-WXYG-2026-SM-4E3IY 50-59 years, female 330.5
GTEX-ZPCL-1126-SM-4WWFE 60-69 years, female 330.2
GTEX-1NSGN-0726-SM-DTXEF 50-59 years, male 327.3
GTEX-1I1GP-1326-SM-A9G28 50-59 years, male 325.6
GTEX-14LZ3-0126-SM-69LPM 60-69 years, female 325.0
GTEX-15SKB-2826-SM-6PAMH 60-69 years, male 324.6
GTEX-YB5K-2026-SM-4VDT3 40-49 years, female 323.3
GTEX-16MT9-0126-SM-7EPI8 60-69 years, female 321.3
GTEX-1QAET-0326-SM-EVR3U 50-59 years, male 321.0
GTEX-UPK5-0426-SM-3GAEK 40-49 years, male 320.2
GTEX-14C38-0726-SM-5SI6M 50-59 years, male 319.9
GTEX-12WSD-0626-SM-5GCMW 60-69 years, female 318.6
GTEX-1HT8W-0626-SM-A9G2H 30-39 years, male 318.4
GTEX-XYKS-1426-SM-4BRUO 60-69 years, female 317.5
GTEX-11DXY-0126-SM-5H11Q 60-69 years, male 316.8
GTEX-131XH-0126-SM-5LZUY 50-59 years, male 316.3
GTEX-111VG-1626-SM-5EGIO 60-69 years, male 316.0
GTEX-13SLW-0626-SM-5Q5ER 70-79 years, male 315.0
GTEX-X585-2426-SM-46MW2 50-59 years, male 314.7
GTEX-139UW-0326-SM-5J1ML 60-69 years, male 314.1
GTEX-W5X1-2526-SM-3GILC 40-49 years, female 311.9
GTEX-13SLX-2226-SM-62LEP 50-59 years, female 311.2
GTEX-1CAMS-2226-SM-7PBXQ 40-49 years, female 311.1
GTEX-11OF3-0126-SM-5PNYF 60-69 years, male 310.8
GTEX-ZXG5-2126-SM-59HKD 60-69 years, male 310.8
GTEX-144FL-0626-SM-5LU43 50-59 years, male 309.8
GTEX-ZVZP-1226-SM-5GID7 50-59 years, male 309.8
GTEX-1192X-2726-SM-5N9DN 50-59 years, male 309.4
GTEX-147GR-2426-SM-5ZZWQ 60-69 years, male 308.4
GTEX-14PHY-1226-SM-5ZZWK 60-69 years, female 308.2
GTEX-1EMGI-2326-SM-7PBYA 60-69 years, male 307.9
GTEX-1HBPI-2126-SM-ARL9K 50-59 years, male 307.7
GTEX-ZE9C-2526-SM-5IJDR 60-69 years, male 307.6
GTEX-YFCO-1226-SM-5LUAT 40-49 years, male 307.4
GTEX-1JMQJ-0826-SM-CNPP7 50-59 years, male 305.7
GTEX-1A3MW-0626-SM-731CB 60-69 years, female 305.6
GTEX-1IKJJ-2226-SM-CJI4C 60-69 years, male 305.6
GTEX-1JMQL-2226-SM-CNPP4 50-59 years, female 305.6
GTEX-13RTJ-0126-SM-5S2NN 60-69 years, male 305.5
GTEX-13YAN-0226-SM-5TDC6 60-69 years, male 305.3
GTEX-WI4N-2726-SM-3LK7Y 40-49 years, female 305.0
GTEX-1F48J-0726-SM-7RHGS 50-59 years, female 305.0
GTEX-12126-0826-SM-5FQTZ 20-29 years, male 304.2
GTEX-XBEW-1126-SM-4QARW 40-49 years, male 304.0
GTEX-1117F-2926-SM-5GZYI 60-69 years, female 302.9
GTEX-Z93S-1626-SM-5CVMB 50-59 years, male 302.8
GTEX-15UF6-1926-SM-7KUDV 70-79 years, female 302.6
GTEX-ZYVF-0926-SM-5E44J 50-59 years, female 302.5
GTEX-14JFF-0626-SM-5ZZVT 60-69 years, male 302.2
GTEX-13IVO-0726-SM-5LZYV 70-79 years, male 301.4
GTEX-1CAMR-1326-SM-7PC1F 20-29 years, male 301.4
GTEX-1OJC4-2726-SM-E76PJ 50-59 years, female 300.1
GTEX-15RJ7-2126-SM-6PAMD 40-49 years, male 299.8
GTEX-1HCU6-2526-SM-ADEHL 60-69 years, female 298.9
GTEX-1HBPN-0126-SM-CGQEF 50-59 years, male 298.7
GTEX-ZC5H-1526-SM-5HL9Y 40-49 years, female 298.4
GTEX-ZPU1-1126-SM-4YCF3 40-49 years, male 298.3
GTEX-1JJEA-1826-SM-ARU8P 60-69 years, male 298.3
GTEX-131XG-0326-SM-5L3DX 50-59 years, female 297.8
GTEX-1CAMQ-1326-SM-7P8RV 40-49 years, male 297.1
GTEX-1LVA9-2626-SM-EVYD4 50-59 years, male 296.7
GTEX-1LG7Y-2526-SM-EWRO7 50-59 years, male 296.3
GTEX-1QPFJ-1926-SM-EVYBD 30-39 years, female 296.0
GTEX-14PII-0726-SM-6EU2B 60-69 years, male 295.3
GTEX-145MG-1526-SM-5Q5EM 50-59 years, male 294.9
GTEX-ZF29-0926-SM-4WKFZ 60-69 years, female 294.4
GTEX-1H1ZS-2726-SM-9WG75 70-79 years, male 294.2
GTEX-ZT9X-1526-SM-5DUXD 40-49 years, male 293.5
GTEX-1JMPY-0226-SM-CKZOK 30-39 years, male 293.4
GTEX-1RLM8-2926-SM-E8VON 50-59 years, male 292.7
GTEX-1GN73-0726-SM-7P8TJ 60-69 years, male 292.5
GTEX-14A5H-0826-SM-5QGPJ 60-69 years, male 292.3
GTEX-1H11D-1826-SM-9QEHM 40-49 years, male 292.1
GTEX-1H1CY-0126-SM-9YFLY 60-69 years, female 290.9
GTEX-17MFQ-1526-SM-7KFRR 20-29 years, male 290.8
GTEX-ZDTS-0826-SM-4WKHL 60-69 years, male 290.1
GTEX-1J1OQ-0126-SM-D4P2N 40-49 years, female 289.6
GTEX-1S3DN-2126-SM-E9TIN 50-59 years, male 289.4
GTEX-1H4P4-2126-SM-9WYSL 50-59 years, male 289.3
GTEX-15ER7-0626-SM-6PANF 20-29 years, female 288.7
GTEX-12WSJ-1126-SM-5LZVJ 40-49 years, female 288.4
GTEX-1J8EW-2726-SM-CY8HR 60-69 years, female 288.4
GTEX-139TS-2126-SM-5K7XC 60-69 years, male 288.3
GTEX-13NZ8-1226-SM-5KM4A 60-69 years, female 288.0
GTEX-12ZZX-2426-SM-5GCOE 40-49 years, female 287.6
GTEX-18A66-0626-SM-7LT8Z 60-69 years, male 287.2
GTEX-15G1A-1626-SM-7KUKN 30-39 years, male 286.8
GTEX-1S5ZU-2526-SM-E6CIF 20-29 years, female 286.4
GTEX-144GL-0626-SM-5LU4D 50-59 years, male 286.2
GTEX-1H3O1-1326-SM-9MQLD 60-69 years, male 285.9
GTEX-13OVJ-0826-SM-5J1OK 50-59 years, female 285.4
GTEX-ZVT4-2426-SM-5GIEI 50-59 years, female 283.8
GTEX-1H2FU-0926-SM-9WPPT 60-69 years, female 283.8
GTEX-1LSNL-2726-SM-E9TKJ 50-59 years, male 283.5
GTEX-1NV5F-0626-SM-DTXEG 60-69 years, female 283.5
GTEX-YEC4-1826-SM-4W1YP 40-49 years, male 283.2
GTEX-13112-0126-SM-5P9IU 50-59 years, male 283.1
GTEX-1GMRU-2126-SM-7P8RA 50-59 years, male 282.5
GTEX-11ZUS-2626-SM-5FQUR 30-39 years, male 282.3
GTEX-WHSB-1326-SM-3LK6W 50-59 years, male 281.8
GTEX-1C64N-2626-SM-7PC2N 50-59 years, male 281.7
GTEX-1IE54-1126-SM-A9G2Z 40-49 years, female 281.6
GTEX-1POEN-2326-SM-E9J2L 30-39 years, female 281.1
GTEX-13JVG-0726-SM-5KM16 60-69 years, male 280.7
GTEX-14C39-1726-SM-5RQIL 40-49 years, male 280.6
GTEX-17HG3-2626-SM-7DUF2 30-39 years, female 280.5
GTEX-1RAZQ-1326-SM-E9TK6 30-39 years, male 280.5
GTEX-1I1GU-0926-SM-ACKVS 40-49 years, male 279.6
GTEX-11WQK-1026-SM-5EQLX 50-59 years, male 279.3
GTEX-1JMQK-1226-SM-D4P2S 60-69 years, male 279.2
GTEX-1C6VQ-1226-SM-73KYD 50-59 years, male 278.7
GTEX-13NYC-0126-SM-5L3F4 60-69 years, male 278.6
GTEX-1IL2V-1926-SM-B2LW8 70-79 years, male 278.5
GTEX-12WSH-1526-SM-5BC5W 50-59 years, male 278.2
GTEX-1F88F-0126-SM-9WYSZ 60-69 years, female 278.0
GTEX-1GZ4I-2626-SM-9KNU3 50-59 years, male 277.8
GTEX-117YX-1926-SM-5GIEC 50-59 years, male 277.2
GTEX-ZP4G-1426-SM-4WWCL 20-29 years, female 276.9
GTEX-Y111-0626-SM-4SOIT 50-59 years, male 276.4
GTEX-ZVE1-0726-SM-51MRN 50-59 years, female 276.4
GTEX-13O3O-2326-SM-5IJD6 60-69 years, female 276.3
GTEX-13X6K-0626-SM-5LU5D 60-69 years, female 276.2
GTEX-145MH-2826-SM-5RQJF 50-59 years, male 275.9
GTEX-U8XE-0226-SM-4E3J3 30-39 years, male 274.9
GTEX-17KNJ-2126-SM-718AM 50-59 years, male 274.5
GTEX-1R9K4-2826-SM-DTX8F 60-69 years, male 273.4
GTEX-1HC8U-1326-SM-9YFMJ 40-49 years, female 272.8
GTEX-139TT-2126-SM-5LZWC 60-69 years, male 271.9
GTEX-11ZTT-2126-SM-5CVLO 60-69 years, female 271.6
GTEX-1F5PK-2226-SM-7SB6N 50-59 years, male 270.6
GTEX-1A8FM-0626-SM-7PC25 50-59 years, female 270.5
GTEX-183WM-0326-SM-72D5V 70-79 years, female 269.8
GTEX-ZF2S-1626-SM-57WES 50-59 years, female 269.4
GTEX-1EX96-1026-SM-7MKG2 50-59 years, male 269.3
GTEX-ZY6K-1426-SM-5GZX2 50-59 years, male 269.3
GTEX-1IOXB-2726-SM-CM2RI 50-59 years, male 269.1
GTEX-14BMV-2826-SM-5TDED 50-59 years, male 268.9
GTEX-145MN-1526-SM-5SI9T 30-39 years, male 268.7
GTEX-139D8-1126-SM-5LU8W 30-39 years, female 268.4
GTEX-ZLFU-1826-SM-4WWBV 40-49 years, male 268.1
GTEX-1JN76-0626-SM-CKZOQ 20-29 years, female 267.8
GTEX-14DAR-1226-SM-73KYV 50-59 years, male 267.5
GTEX-13NYS-0626-SM-5L3F1 60-69 years, male 267.1
GTEX-1PPH7-1126-SM-DTX9A 40-49 years, male 267.0
GTEX-1I1CD-0626-SM-CE6SW 60-69 years, female 266.6
GTEX-17HHE-1326-SM-7EWDZ 50-59 years, male 266.5
GTEX-11DZ1-2426-SM-5GZZX 50-59 years, male 265.9
GTEX-12KS4-2126-SM-5FQUT 30-39 years, male 265.9
GTEX-1KAFJ-0126-SM-DIPEK 50-59 years, male 265.3
GTEX-14JG1-1526-SM-5YY9X 40-49 years, male 264.4
GTEX-ZVP2-0326-SM-57WBP 50-59 years, male 264.4
GTEX-1RAZA-2226-SM-E9U4X 20-29 years, male 264.4
GTEX-15DYW-2726-SM-6EU2I 60-69 years, female 264.3
GTEX-111YS-1526-SM-5GZYW 60-69 years, male 264.2
GTEX-ZDTT-0426-SM-4WKFL 60-69 years, male 264.1
GTEX-13OW5-2326-SM-5L3HO 60-69 years, male 263.5
GTEX-ZAJG-1526-SM-5CVML 50-59 years, female 263.5
GTEX-13FTX-1526-SM-5K7VJ 20-29 years, female 263.2
GTEX-17F9Y-0126-SM-79OKX 70-79 years, female 263.1
GTEX-14ABY-2026-SM-62LDL 50-59 years, male 262.9
GTEX-1R9PN-0426-SM-DTXDT 40-49 years, female 262.9
GTEX-YEC3-1326-SM-DO92X 50-59 years, male 262.9
GTEX-1PPGY-1626-SM-EVYBL 60-69 years, male 262.3
GTEX-1GF9X-1326-SM-7PC2Y 40-49 years, female 262.0
GTEX-1HGF4-0126-SM-CNPPX 60-69 years, male 262.0
GTEX-ZAK1-0626-SM-5HL8E 50-59 years, female 261.4
GTEX-1IY9M-2826-SM-ARU8H 60-69 years, male 261.2
GTEX-ZDYS-2426-SM-4WKGI 50-59 years, male 260.7
GTEX-1PIIG-2326-SM-DTXFR 30-39 years, male 260.7
GTEX-1LSVX-2526-SM-DIPEU 60-69 years, male 260.5
GTEX-XMD2-2126-SM-4YCF8 60-69 years, female 260.3
GTEX-15CHC-1126-SM-6LLHQ 60-69 years, female 260.0
GTEX-1GF9V-0826-SM-9KNUV 60-69 years, male 260.0
GTEX-139TU-0726-SM-5L3EK 60-69 years, male 259.6
GTEX-WEY5-2326-SM-3GIKK 40-49 years, female 259.6
GTEX-1S831-1826-SM-EWROF 20-29 years, male 259.6
GTEX-11NUK-2726-SM-5A5MC 50-59 years, male 259.4
GTEX-1B8L1-2226-SM-7P8PT 60-69 years, male 259.4
GTEX-1IDJH-0126-SM-D3L92 70-79 years, male 259.1
GTEX-145MF-0926-SM-5Q5EA 50-59 years, male 258.7
GTEX-12696-0126-SM-5EQ4L 60-69 years, male 258.6
GTEX-1F75I-2226-SM-7SB8U 40-49 years, male 258.6
GTEX-1QW4Y-1126-SM-DTXE3 30-39 years, male 258.4
GTEX-1F52S-2926-SM-7MKGA 60-69 years, female 258.1
GTEX-1I1HK-2326-SM-CKZOH 60-69 years, male 258.0
GTEX-13W3W-0726-SM-5IJDQ 60-69 years, female 257.2
GTEX-1RAZS-2526-SM-E6CHT 50-59 years, male 257.2
GTEX-ZDXO-3126-SM-5IJDF 60-69 years, male 257.1
GTEX-1R7EU-1626-SM-DTXG3 60-69 years, male 256.9
GTEX-14PJ5-1526-SM-6LLIL 60-69 years, female 256.5
GTEX-1E1VI-0326-SM-793D1 50-59 years, male 255.3
GTEX-XXEK-1626-SM-4BRUZ 50-59 years, male 255.2
GTEX-11DXZ-2026-SM-5987S 50-59 years, male 255.1
GTEX-1J8Q2-2626-SM-ACKWQ 60-69 years, male 255.0
GTEX-13VXU-0626-SM-5L3F9 50-59 years, male 254.8
GTEX-1MJK3-0726-SM-E6CJC 20-29 years, male 254.5
GTEX-1HCU7-0726-SM-A9SL1 50-59 years, male 254.4
GTEX-13OVK-1426-SM-6PAN7 40-49 years, male 254.3
GTEX-1CB4I-0126-SM-7RHGG 50-59 years, male 254.2
GTEX-1269C-0126-SM-5EQ5L 60-69 years, female 254.1
GTEX-15D1Q-2826-SM-6LLH7 40-49 years, male 253.7
GTEX-11UD2-2526-SM-5CVNU 50-59 years, male 253.6
GTEX-18D9A-1426-SM-7LT8M 30-39 years, female 253.4
GTEX-1JMLX-0626-SM-ARL8T 50-59 years, male 253.1
GTEX-1JN1M-2726-SM-CY8I4 60-69 years, female 252.9
GTEX-1IDJC-1526-SM-B2LW4 50-59 years, male 252.5
GTEX-1HCVE-2726-SM-CL54F 50-59 years, male 252.4
GTEX-14AS3-1526-SM-5Q5ED 40-49 years, female 252.3
GTEX-17EVQ-0126-SM-7IGLR 70-79 years, male 252.3
GTEX-14A6H-2026-SM-5Q5DD 30-39 years, male 252.2
GTEX-ZWKS-0626-SM-5GIDV 30-39 years, male 252.0
GTEX-1HB9E-0126-SM-CM2S5 50-59 years, male 251.8
GTEX-WY7C-2126-SM-3NB2R 50-59 years, male 251.2
GTEX-ZYFC-0426-SM-5GICQ 50-59 years, male 251.2
GTEX-Y3IK-1626-SM-4YCF5 50-59 years, female 251.1
GTEX-YF7O-1526-SM-5IFI6 50-59 years, male 250.9
GTEX-1KANC-1226-SM-CYPT7 50-59 years, female 250.9
GTEX-15DDE-2926-SM-6LLJ3 50-59 years, female 250.8
GTEX-13FHO-0426-SM-5L3F5 60-69 years, male 250.3
GTEX-1I1GV-0626-SM-ARL7M 60-69 years, male 250.2
GTEX-17F96-0126-SM-7EWDU 70-79 years, male 249.7
GTEX-1RB15-1326-SM-E76Q9 60-69 years, male 249.6
GTEX-1JK1U-0226-SM-ARZMX 60-69 years, male 249.5
GTEX-13OW6-2726-SM-5J2OE 50-59 years, male 249.3
GTEX-1F75A-0726-SM-7RHHD 50-59 years, male 248.9
GTEX-1HR9M-2226-SM-CNPPY 60-69 years, male 248.4
GTEX-1IDFM-0326-SM-ARL7V 60-69 years, male 248.4
GTEX-14PHX-2226-SM-6EU2P 50-59 years, male 247.9
GTEX-12ZZY-0726-SM-5EQ66 60-69 years, male 247.7
GTEX-14753-0726-SM-5QGQO 60-69 years, male 247.5
GTEX-145LS-0626-SM-7EPG7 60-69 years, female 247.2
GTEX-1JMPZ-0726-SM-CY8HZ 30-39 years, male 247.2
GTEX-17F9E-2326-SM-79OKD 50-59 years, male 247.0
GTEX-XBED-1926-SM-47JYP 60-69 years, male 247.0
GTEX-1QEPI-2626-SM-DTXF4 60-69 years, female 247.0
GTEX-145ME-1726-SM-5Q5EU 40-49 years, female 246.9
GTEX-1CB4J-1326-SM-7P8RX 60-69 years, male 246.9
GTEX-1R46S-2426-SM-E76QA 60-69 years, female 246.9
GTEX-1QP66-1226-SM-DTX7U 50-59 years, male 246.8
GTEX-ZPIC-0526-SM-DO91W 40-49 years, female 246.1
GTEX-1I19N-0126-SM-CYPSF 70-79 years, male 245.9
GTEX-1GN1U-0626-SM-9MQL9 50-59 years, female 245.8
GTEX-14PJO-2526-SM-6AJBQ 60-69 years, male 245.5
GTEX-15CHR-1126-SM-7EWF4 50-59 years, male 245.5
GTEX-1J8QM-2426-SM-A9SLS 60-69 years, female 245.2
GTEX-1CB4H-1126-SM-7MKGL 60-69 years, female 245.1
GTEX-1HSMQ-2626-SM-A9SML 50-59 years, male 244.5
GTEX-1RMOY-1326-SM-E9TIH 50-59 years, male 244.5
GTEX-XK95-0226-SM-4AT58 40-49 years, male 244.2
GTEX-ZZ64-1026-SM-5GZXG 20-29 years, male 244.2
GTEX-XQ3S-1426-SM-4BOPR 20-29 years, male 243.9
GTEX-13X6I-1826-SM-5SIAO 60-69 years, male 243.8
GTEX-1C64O-1326-SM-7MGWR 60-69 years, male 243.8
GTEX-18QFQ-1826-SM-72D52 30-39 years, male 243.7
GTEX-1LVAN-0626-SM-CNPOQ 50-59 years, female 243.6
GTEX-13N11-2326-SM-5IJBF 50-59 years, female 243.5
GTEX-1LVAM-0726-SM-E6CIL 50-59 years, female 243.3
GTEX-15EO6-2426-SM-6PALZ 50-59 years, male 242.8
GTEX-XAJ8-1426-SM-47JYM 40-49 years, male 242.6
GTEX-1ICLZ-0326-SM-ARL82 60-69 years, male 242.6
GTEX-11VI4-1126-SM-5EQMD 40-49 years, female 242.5
GTEX-14C5O-0326-SM-5ZZUX 60-69 years, male 242.5
GTEX-1QP28-1126-SM-EVYC4 50-59 years, female 242.2
GTEX-11ZU8-0126-SM-5EQ58 60-69 years, male 241.6
GTEX-15EU6-2226-SM-6EU2L 50-59 years, male 241.6
GTEX-12WSF-1626-SM-7KUG5 70-79 years, male 241.2
GTEX-ZZPU-0826-SM-5GZX5 50-59 years, female 241.0
GTEX-1HR98-2226-SM-ADEI2 60-69 years, male 240.8
GTEX-1K2DU-1226-SM-CYPT4 20-29 years, male 240.7
GTEX-1A8G6-2726-SM-731AR 60-69 years, male 240.6
GTEX-ZYFG-1526-SM-5GZYM 60-69 years, female 240.1
GTEX-12WSK-2126-SM-5CVNC 40-49 years, female 239.8
GTEX-WK11-2726-SM-3NMAQ 50-59 years, male 239.8
GTEX-1LGRB-0926-SM-COH3K 50-59 years, female 239.6
GTEX-12ZZZ-0726-SM-5GCNZ 60-69 years, male 239.2
GTEX-XV7Q-1826-SM-4BRUV 40-49 years, female 239.1
GTEX-1I1GT-1026-SM-ARZLV 60-69 years, female 239.1
GTEX-1LGOU-1326-SM-D3L8M 20-29 years, female 239.1
GTEX-132AR-0326-SM-5KM2C 50-59 years, female 238.8
GTEX-1C6VR-0126-SM-7RHGB 60-69 years, male 238.8
GTEX-1I6K7-1926-SM-B2LXR 40-49 years, male 238.8
GTEX-1H1DF-1126-SM-9WG7G 40-49 years, female 238.5
GTEX-14E6C-2426-SM-5S2NF 40-49 years, male 238.4
GTEX-1MCYP-0526-SM-E9U6Q 20-29 years, female 238.3
GTEX-11O72-0626-SM-5PNYE 40-49 years, male 238.1
GTEX-1LVAO-2726-SM-E9TJ8 60-69 years, male 238.1
GTEX-ZYY3-2926-SM-5GIEB 60-69 years, female 238.0
GTEX-1QP2A-1726-SM-E76QC 50-59 years, male 237.9
GTEX-14PJN-1826-SM-6AJ98 30-39 years, male 237.8
GTEX-131XW-0626-SM-5PNVD 50-59 years, female 237.6
GTEX-1GN1W-2426-SM-9KNUU 50-59 years, female 237.6
GTEX-146FQ-2126-SM-5RQHU 30-39 years, male 237.2
GTEX-1497J-0226-SM-5QGPU 60-69 years, male 237.1
GTEX-1F6IF-0926-SM-7SB7M 60-69 years, male 236.9
GTEX-VUSG-2326-SM-4KL1U 50-59 years, male 236.8
GTEX-12584-0726-SM-5FQTK 40-49 years, male 236.7
GTEX-1LB8K-0726-SM-D5OV2 50-59 years, male 236.4
GTEX-13OVH-0526-SM-5L3E6 70-79 years, male 236.3
GTEX-XQ8I-0926-SM-4BOOF 50-59 years, male 236.1
GTEX-1N2EE-0626-SM-E76PW 60-69 years, male 236.1
GTEX-17HGU-2326-SM-7DUFE 50-59 years, male 235.9
GTEX-13QJC-0126-SM-5ZZWJ 60-69 years, female 235.8
GTEX-1CB4E-0926-SM-7EPHT 60-69 years, male 235.8
GTEX-14B4R-1326-SM-5Q5EZ 30-39 years, male 234.8
GTEX-UPJH-0226-SM-3GADV 50-59 years, male 234.8
GTEX-XOT4-0626-SM-4B66L 60-69 years, female 234.8
GTEX-Y3I4-1726-SM-4TT89 50-59 years, male 234.7
GTEX-ZLV1-1526-SM-DO91J 60-69 years, female 234.7
GTEX-1AX8Z-0726-SM-73KTS 60-69 years, male 234.6
GTEX-1B97I-0626-SM-73KUZ 40-49 years, male 234.6
GTEX-1QMI2-2526-SM-E8VNZ 60-69 years, male 234.6
GTEX-12WSM-1926-SM-5BC65 60-69 years, male 234.5
GTEX-1KXAM-1626-SM-D3LAD 60-69 years, male 234.4
GTEX-13O61-1426-SM-5KM3D 60-69 years, male 234.3
GTEX-178AV-1726-SM-7KUL8 40-49 years, male 234.2
GTEX-17HII-1426-SM-7EPGG 50-59 years, male 234.2
GTEX-13OVG-1626-SM-5J1NF 60-69 years, male 234.1
GTEX-16NPX-0726-SM-7KULC 50-59 years, male 233.8
GTEX-VJYA-1526-SM-3GIJV 60-69 years, male 233.7
GTEX-YJ8O-2526-SM-5HL85 40-49 years, female 233.6
GTEX-1F5PL-0926-SM-7PC2W 40-49 years, female 233.4
GTEX-13FLV-0126-SM-5K7WT 50-59 years, male 233.3
GTEX-144GM-0526-SM-79OJO 20-29 years, male 233.3
GTEX-131XF-2626-SM-5EQ6K 60-69 years, male 232.9
GTEX-WFG8-2126-SM-3GIKQ 20-29 years, male 232.9
GTEX-1H3VE-0726-SM-9YFL5 40-49 years, male 232.4
GTEX-11P82-1426-SM-DTXFY 20-29 years, male 232.3
GTEX-145LU-1926-SM-79OJN 50-59 years, male 232.2
GTEX-12WSL-2026-SM-5GCML 50-59 years, male 231.8
GTEX-1L5NE-1126-SM-D3L9P 50-59 years, male 231.7
GTEX-18D9B-0926-SM-7LG4U 60-69 years, male 231.6
GTEX-1IDJF-2026-SM-CL53V 20-29 years, male 231.6
GTEX-16XZZ-0726-SM-7KUF2 60-69 years, male 231.3
GTEX-1399U-1126-SM-5L3DB 50-59 years, female 231.2
GTEX-16MTA-0926-SM-6M47Z 50-59 years, male 231.1
GTEX-1S82U-1026-SM-E6CJK 30-39 years, female 230.7
GTEX-X4EO-2926-SM-4E3JH 60-69 years, female 230.5
GTEX-1HSKV-1226-SM-ADEI4 60-69 years, male 230.5
GTEX-1EKGG-0626-SM-7DUGJ 60-69 years, male 230.3
GTEX-1F75B-0726-SM-7PC3R 50-59 years, male 230.3
GTEX-11TUW-0626-SM-5LU9M 60-69 years, male 230.2
GTEX-145MO-2826-SM-5LU96 60-69 years, male 230.2
GTEX-1HCUA-0826-SM-ADEHM 50-59 years, female 230.2
GTEX-17EVP-2626-SM-7IGMA 40-49 years, male 230.1
GTEX-14PJ6-2626-SM-6EU2T 60-69 years, female 229.9
GTEX-1MCC2-1826-SM-DIPEX 30-39 years, female 229.8
GTEX-139YR-1026-SM-5LZYN 50-59 years, male 229.7
GTEX-111CU-1126-SM-5EGIM 50-59 years, male 229.3
GTEX-1GMR8-0626-SM-7RHI7 50-59 years, female 229.1
GTEX-1JKYR-0626-SM-ARL8R 20-29 years, male 228.8
GTEX-14BIN-1126-SM-5RQJZ 50-59 years, female 228.7
GTEX-1IDJI-0126-SM-CMKHS 50-59 years, female 228.3
GTEX-1K2DA-1026-SM-CGQGF 50-59 years, male 227.9
GTEX-1GN2E-0226-SM-9WG6K 60-69 years, male 227.8
GTEX-1I6K6-1726-SM-CGQFD 30-39 years, male 227.8
GTEX-1F6RS-2026-SM-7RHHC 60-69 years, female 227.6
GTEX-145LT-0526-SM-5LUB2 40-49 years, male 227.5
GTEX-1A3MV-1826-SM-731CD 30-39 years, male 227.5
GTEX-1EN7A-2426-SM-793DB 40-49 years, male 227.5
GTEX-1AX9J-1326-SM-731BJ 60-69 years, male 227.4
GTEX-1GMR3-0126-SM-A9SLW 40-49 years, male 227.2
GTEX-1AX9I-2226-SM-73KUO 60-69 years, male 227.0
GTEX-1JMOU-1026-SM-CYPSS 60-69 years, female 226.9
GTEX-1B8SF-0126-SM-7DUG3 60-69 years, male 226.6
GTEX-1ICG6-1226-SM-A9SLN 70-79 years, female 226.6
GTEX-1J8JJ-0626-SM-ARZMQ 60-69 years, female 226.6
GTEX-11TT1-1826-SM-5EQLV 20-29 years, male 226.2
GTEX-Y5LM-0926-SM-6LLJG 40-49 years, female 226.2
GTEX-1JJ6O-2726-SM-CNPOG 60-69 years, male 225.6
GTEX-18D9U-0126-SM-731BM 40-49 years, male 225.3
GTEX-12WSC-2826-SM-5BC5Y 50-59 years, male 224.7
GTEX-16GPK-0626-SM-7KFSF 60-69 years, male 224.7
GTEX-1F88E-1626-SM-7SB8Z 60-69 years, female 224.7
GTEX-145MI-0626-SM-5SI8S 60-69 years, female 224.5
GTEX-11DXW-0826-SM-5H118 40-49 years, male 224.3
GTEX-133LE-2326-SM-5K7W3 20-29 years, female 224.2
GTEX-1GZ2Q-0126-SM-9WG6M 40-49 years, male 224.1
GTEX-1B8KZ-0326-SM-73KY4 50-59 years, male 224.0
GTEX-1GZ4H-0526-SM-9KNU9 50-59 years, female 224.0
GTEX-1PDJ9-1226-SM-EXUSX 20-29 years, male 224.0
GTEX-1B8KE-1126-SM-7EPHI 50-59 years, male 223.9
GTEX-11GSP-2326-SM-5HL63 60-69 years, female 223.2
GTEX-18465-2826-SM-7LT9J 50-59 years, male 223.1
GTEX-Y8E4-2026-SM-5IFJB 40-49 years, male 223.1
GTEX-1314G-1326-SM-5BC6E 30-39 years, male 222.7
GTEX-X8HC-0626-SM-4E3HQ 50-59 years, female 222.6
GTEX-16BQI-1326-SM-6M486 30-39 years, female 222.5
GTEX-1IDJE-1426-SM-ADEIW 50-59 years, female 221.8
GTEX-1LBAC-0826-SM-CY8IJ 20-29 years, male 221.5
GTEX-1CAV2-0126-SM-7IGN7 40-49 years, female 221.3
GTEX-1122O-1026-SM-9WYSF 60-69 years, female 221.3
GTEX-1KD5A-0126-SM-E9U54 50-59 years, male 221.2
GTEX-13113-1626-SM-5EQ4I 60-69 years, female 220.8
GTEX-16Z82-2626-SM-7KULU 60-69 years, male 220.8
GTEX-X4EP-0626-SM-3P621 60-69 years, female 220.8
GTEX-17F98-1326-SM-7DUEP 40-49 years, female 220.6
GTEX-11GS4-0226-SM-5HL77 60-69 years, male 220.3
GTEX-13X6J-0626-SM-5LU5F 50-59 years, male 219.9
GTEX-1ICLY-0826-SM-CMKG1 50-59 years, male 219.8
GTEX-11P81-2226-SM-5PNYI 30-39 years, female 219.6
GTEX-ZLWG-0826-SM-59888 50-59 years, female 219.1
GTEX-1GTWX-2026-SM-9YFLM 60-69 years, male 219.1
GTEX-131YS-2826-SM-5EQ47 60-69 years, female 219.0
GTEX-17HHY-0426-SM-7DHLC 50-59 years, male 219.0
GTEX-13N1W-2426-SM-5IJD1 70-79 years, male 218.8
GTEX-1J8Q3-0526-SM-ARL8U 60-69 years, male 218.5
GTEX-1QP29-1826-SM-DTX9S 50-59 years, male 218.5
GTEX-1KWVE-1026-SM-D3L9O 30-39 years, male 218.3
GTEX-14LLW-2626-SM-62LDZ 70-79 years, female 217.8
GTEX-1EU9M-1426-SM-793AI 60-69 years, male 217.7
GTEX-WHPG-2626-SM-3NMBR 50-59 years, male 217.7
GTEX-ZAB4-2126-SM-5HL8U 40-49 years, male 217.7
GTEX-13X6H-0926-SM-5SIB2 50-59 years, female 216.8
GTEX-11EQ8-0926-SM-5H12V 60-69 years, male 216.7
GTEX-1A8G7-1326-SM-73KVM 60-69 years, male 216.7
GTEX-1N5O9-0926-SM-E9J3C 60-69 years, male 216.6
GTEX-139T8-0626-SM-5KLZX 60-69 years, male 216.5
GTEX-111FC-2526-SM-5GZXU 60-69 years, male 216.3
GTEX-1LSNM-0826-SM-DIPG8 50-59 years, male 216.0
GTEX-X3Y1-2026-SM-3P5YM 40-49 years, male 215.8
GTEX-11EM3-1226-SM-5N9DD 20-29 years, female 215.7
GTEX-ZYFD-0626-SM-5E44E 50-59 years, male 215.6
GTEX-V1D1-2026-SM-3GAF4 50-59 years, male 215.4
GTEX-1RAZR-2126-SM-E9U6T 40-49 years, male 215.2
GTEX-1H1E6-0426-SM-9WYUS 30-39 years, male 214.8
GTEX-1C475-1326-SM-7SB73 40-49 years, female 214.7
GTEX-1I1GS-2626-SM-B2LY3 60-69 years, male 214.3
GTEX-11LCK-2226-SM-5HL4Q 30-39 years, male 214.2
GTEX-1GF9W-1426-SM-7PBYM 60-69 years, male 213.8
GTEX-13PVQ-0626-SM-5LU47 50-59 years, male 213.6
GTEX-X5EB-1926-SM-4E3IW 40-49 years, male 213.4
GTEX-13D11-0926-SM-5J2NC 50-59 years, female 212.1
GTEX-14DAQ-0626-SM-793DS 60-69 years, female 212.0
GTEX-18A7B-2726-SM-7LG56 70-79 years, male 211.9
GTEX-13O3Q-0126-SM-5KM34 50-59 years, male 211.8
GTEX-1HSGN-0826-SM-ACKW3 40-49 years, female 211.6
GTEX-1H1DE-1326-SM-9KNUG 20-29 years, male 211.5
GTEX-1JMQI-1726-SM-ARL93 50-59 years, male 211.4
GTEX-14PKU-0126-SM-6LLHV 40-49 years, female 210.5
GTEX-13PVR-0426-SM-5RQK2 60-69 years, female 210.3
GTEX-183FY-1026-SM-7939A 20-29 years, male 209.8
GTEX-WHWD-1826-SM-3LK6I 50-59 years, male 209.8
GTEX-1HFI7-2326-SM-CGQFS 50-59 years, female 209.7
GTEX-1B933-2426-SM-7DHMD 50-59 years, female 209.6
GTEX-ZU9S-1826-SM-5NQ9E 30-39 years, male 209.6
GTEX-12BJ1-0926-SM-5EQ62 60-69 years, male 209.5
GTEX-1KANA-1326-SM-DIPFA 20-29 years, male 208.9
GTEX-1AMFI-1326-SM-7939R 50-59 years, female 208.6
GTEX-13FTW-0326-SM-5K7UW 40-49 years, male 208.2
GTEX-13NZ9-2626-SM-5L3FK 50-59 years, male 208.2
GTEX-147F3-1726-SM-5SIAW 50-59 years, female 207.7
GTEX-14PK6-0226-SM-62LF5 70-79 years, female 207.7
GTEX-17MF6-2626-SM-79OKQ 40-49 years, male 207.5
GTEX-1GPI6-1926-SM-9KNV7 60-69 years, male 207.4
GTEX-11NSD-0626-SM-5A5LU 20-29 years, male 207.0
GTEX-1GMR2-0826-SM-7PC3V 50-59 years, male 206.7
GTEX-WRHU-2826-SM-3MJG8 50-59 years, female 206.4
GTEX-16AAH-0626-SM-793C9 50-59 years, male 206.2
GTEX-13FH7-1126-SM-5K7UG 50-59 years, female 206.0
GTEX-1JJE9-2626-SM-ARZMT 70-79 years, male 206.0
GTEX-1C2JI-1026-SM-73KY1 50-59 years, male 205.9
GTEX-13VXT-1926-SM-5K7UO 20-29 years, female 205.8
GTEX-1H23P-0626-SM-9WG6T 60-69 years, male 205.8
GTEX-13OVL-0126-SM-5L3GJ 50-59 years, male 205.7
GTEX-WHSE-0126-SM-3NMBT 20-29 years, male 205.7
GTEX-WYJK-0526-SM-3NM8Z 50-59 years, male 204.6
GTEX-1F75W-2726-SM-7SB8H 60-69 years, male 204.4
GTEX-11EQ9-1626-SM-5PNY8 30-39 years, male 204.1
GTEX-16NGA-0726-SM-731AO 40-49 years, female 203.9
GTEX-1M4P7-0726-SM-E6CJ3 60-69 years, male 203.1
GTEX-13OW7-0426-SM-5K7VK 50-59 years, male 203.0
GTEX-Y9LG-1126-SM-4VBQ7 30-39 years, male 202.9
GTEX-16MT8-2926-SM-7DUFO 60-69 years, female 201.9
GTEX-1GPI7-1826-SM-9KNU1 20-29 years, male 201.5
GTEX-1HBPM-0726-SM-9YFL7 60-69 years, female 201.5
GTEX-1211K-1526-SM-5FQU4 60-69 years, female 201.4
GTEX-18A7A-0126-SM-731AH 50-59 years, female 201.1
GTEX-ZVTK-0226-SM-51MRG 20-29 years, male 200.7
GTEX-ZGAY-1826-SM-DO91Q 40-49 years, female 200.7
GTEX-Y8LW-1526-SM-5IFHL 50-59 years, female 199.9
GTEX-ZVE2-2826-SM-5GU51 50-59 years, male 199.6
GTEX-1HCU9-0426-SM-9WYSD 20-29 years, male 199.3
GTEX-15CHQ-0326-SM-69LQD 60-69 years, male 199.1
GTEX-14PJ2-0626-SM-6LLII 50-59 years, male 199.0
GTEX-ZA64-1026-SM-5HL8R 20-29 years, male 198.1
GTEX-14PJ4-0226-SM-5YY92 60-69 years, male 197.5
GTEX-1IDJU-1726-SM-CMKHU 60-69 years, female 197.3
GTEX-XBEC-0726-SM-4QARZ 50-59 years, male 197.1
GTEX-1J1R8-2026-SM-CL53Y 40-49 years, male 196.8
GTEX-WFON-1926-SM-3LK7L 40-49 years, male 196.7
GTEX-1JN6P-2926-SM-CL54D 60-69 years, male 196.2
GTEX-1B932-2326-SM-79OL5 40-49 years, female 196.0
GTEX-1GL5R-1326-SM-7RHHF 50-59 years, male 195.5
GTEX-1212Z-0126-SM-59HK4 60-69 years, male 195.3
GTEX-1B996-0426-SM-7EWF8 60-69 years, male 194.4
GTEX-1HSMO-0626-SM-ACKXC 60-69 years, male 194.3
GTEX-13U4I-2226-SM-5LU5H 40-49 years, female 194.1
GTEX-14BMU-1226-SM-5S2OR 20-29 years, female 192.5
GTEX-1QCLZ-2426-SM-EVYBW 60-69 years, female 192.2
GTEX-1A32A-0626-SM-731AQ 50-59 years, female 191.6
GTEX-XPVG-2126-SM-4B667 50-59 years, male 191.1
GTEX-1GZHY-0626-SM-9KNVC 50-59 years, female 190.5
GTEX-1LG7Z-1626-SM-CXKYR 30-39 years, male 190.2
GTEX-12C56-1526-SM-5FQUQ 20-29 years, male 190.0
GTEX-13OW8-1026-SM-5J1NQ 60-69 years, male 190.0
GTEX-14E6E-0526-SM-793DN 30-39 years, male 189.0
GTEX-1S82P-2126-SM-E6CI5 60-69 years, female 188.7
GTEX-11EI6-2826-SM-5H11D 60-69 years, male 188.4
GTEX-1EWIQ-0326-SM-7DHMQ 70-79 years, female 188.1
GTEX-1IDJD-2326-SM-ACKWX 30-39 years, male 186.9
GTEX-12WSA-0426-SM-5EQ5X 60-69 years, male 183.9
GTEX-1477Z-0326-SM-7IGLA 60-69 years, male 183.5
GTEX-14JG6-1426-SM-9WG7C 30-39 years, female 183.1
GTEX-1S83E-1326-SM-E6CJM 40-49 years, male 182.9
GTEX-1CB4F-1026-SM-7DUH1 60-69 years, male 182.4
GTEX-XUW1-0926-SM-4BONX 50-59 years, female 182.3
GTEX-15FZZ-0526-SM-7KUGD 30-39 years, female 182.1
GTEX-13QBU-1226-SM-5LU4G 40-49 years, female 181.6
GTEX-1399R-1326-SM-5PNYS 30-39 years, male 181.4
GTEX-1EH9U-2826-SM-7DUGT 60-69 years, male 180.4
GTEX-14PKV-1126-SM-6LLJ1 20-29 years, female 178.6
GTEX-1H3NZ-2726-SM-9WYTQ 60-69 years, male 177.5
GTEX-ZUA1-2626-SM-5NQ92 40-49 years, male 174.2
GTEX-1A3MX-2626-SM-7PC24 60-69 years, male 173.6
GTEX-13JUV-2026-SM-5K7UA 40-49 years, female 173.2
GTEX-1HUB1-1426-SM-CGQF5 60-69 years, male 171.7
GTEX-WYBS-0626-SM-3NMAS 60-69 years, female 170.9
GTEX-13N2G-0226-SM-5K7VF 60-69 years, male 170.4
GTEX-ZVT2-0126-SM-5GIDQ 50-59 years, female 169.8
GTEX-1I4MK-0126-SM-CY8G6 50-59 years, female 169.4
GTEX-1IDJV-0126-SM-COH3Y 60-69 years, male 168.1
GTEX-ZT9W-1126-SM-57WDR 50-59 years, male 164.7
GTEX-1HCU8-2526-SM-CE6RX 60-69 years, female 164.5
GTEX-1GF9U-2026-SM-7SB92 40-49 years, female 163.1
GTEX-1JKYN-0826-SM-ARU8S 30-39 years, male 162.4
GTEX-1K9T9-1526-SM-DIPFR 50-59 years, female 161.8
GTEX-1HKZK-0726-SM-ACKW2 40-49 years, male 160.4
GTEX-17JCI-2926-SM-7DUFF 60-69 years, female 155.4
GTEX-WYVS-1626-SM-3NM9R 40-49 years, female 154.0
GTEX-Y5V5-0126-SM-5S2NW 60-69 years, female 150.3
GTEX-147JS-0226-SM-5S2U9 60-69 years, male 143.7
GTEX-ZTSS-1426-SM-5985P 40-49 years, male 142.3
GTEX-1AMEY-0826-SM-72D65 30-39 years, female 138.0
Show allShow less
Skin - Sun Exposed (Lower leg)
Average nTPM: 241.4
Samples: 701

Max nTPM: 655.7
Min nTPM: 118.5
Std nTPM: 55.6
Median nTPM: 232.5
GTEX-SE5C-1626-SM-2XCE3 40-49 years, female 655.7
GTEX-POMQ-2226-SM-2I5FK 20-29 years, female 592.5
GTEX-15SB6-1726-SM-6PAME 50-59 years, female 523.8
GTEX-Y3IK-2426-SM-4WWDU 50-59 years, female 513.0
GTEX-W5X1-3026-SM-EAZAX 40-49 years, female 465.3
GTEX-RVPV-0126-SM-EAZAW 60-69 years, male 445.2
GTEX-1122O-2126-SM-5EGIR 60-69 years, female 417.2
GTEX-O5YT-0126-SM-48TBW 20-29 years, male 411.9
GTEX-Y5V6-2426-SM-4VDSB 60-69 years, male 406.6
GTEX-139UW-2826-SM-5L3E7 60-69 years, male 399.0
GTEX-1R9PM-2026-SM-E76OY 20-29 years, male 392.4
GTEX-1KD4Q-0226-SM-E9TJ9 40-49 years, male 382.5
GTEX-1PIIG-0226-SM-EWRN6 30-39 years, male 382.0
GTEX-ZVZO-0126-SM-5A5L9 40-49 years, male 375.2
GTEX-X88G-0126-SM-47JZ3 30-39 years, male 370.4
GTEX-183WM-0126-SM-7LTAB 70-79 years, female 369.3
GTEX-S33H-1026-SM-EZ6L6 30-39 years, male 366.0
GTEX-1H1CY-2826-SM-9MQM3 60-69 years, female 365.2
GTEX-13NYB-2526-SM-5K7Z6 40-49 years, male 364.2
GTEX-Y114-2426-SM-4TT8A 50-59 years, female 361.9
GTEX-1C6VQ-0126-SM-7P8RI 50-59 years, male 358.4
GTEX-OIZH-0126-SM-2HMIS 50-59 years, male 357.4
GTEX-14E6C-0126-SM-5RQIP 40-49 years, male 357.1
GTEX-1497J-2426-SM-7IGNX 60-69 years, male 356.6
GTEX-18D9A-1926-SM-7LG6P 30-39 years, female 354.4
GTEX-ZVTK-0426-SM-51MRS 20-29 years, male 353.7
GTEX-Z93S-0126-SM-5HL7M 50-59 years, male 351.4
GTEX-139TS-2826-SM-5J1OO 60-69 years, male 351.2
GTEX-1MJK2-0426-SM-DTXE5 50-59 years, male 350.7
GTEX-11DXZ-2326-SM-5EGGV 50-59 years, male 350.3
GTEX-15ER7-0326-SM-7KUEV 20-29 years, female 348.3
GTEX-1K2DA-1826-SM-CGQGT 50-59 years, male 347.1
GTEX-ZYT6-0226-SM-5NQ6T 30-39 years, male 341.2
GTEX-131XF-5016-SM-7MGWE 60-69 years, male 340.5
GTEX-14PN4-0126-SM-6EU2V 50-59 years, male 337.1
GTEX-1EWIQ-0126-SM-7RHH2 70-79 years, female 337.0
GTEX-111FC-0126-SM-5N9DL 60-69 years, male 335.3
GTEX-15UF6-0826-SM-6PALJ 70-79 years, female 333.2
GTEX-1JJEA-0326-SM-CNPOT 60-69 years, male 331.6
GTEX-13CF2-2526-SM-5LZYX 60-69 years, male 330.9
GTEX-145LT-1726-SM-5QGP3 40-49 years, male 327.1
GTEX-OIZG-0726-SM-33HBL 50-59 years, male 325.2
GTEX-17JCI-0126-SM-7LG5G 60-69 years, female 324.6
GTEX-13FHP-0126-SM-5IJBG 50-59 years, male 323.9
GTEX-13FTW-2626-SM-5K7WL 40-49 years, male 323.8
GTEX-15G19-0126-SM-6PANQ 60-69 years, male 323.8
GTEX-15ETS-0126-SM-7KUMW 40-49 years, female 323.7
GTEX-12126-0326-SM-5PNW3 20-29 years, male 322.1
GTEX-XUZC-1726-SM-4BRWS 30-39 years, female 321.7
GTEX-ZE9C-2726-SM-57WB5 60-69 years, male 319.9
GTEX-145LS-0126-SM-5QGP1 60-69 years, female 319.7
GTEX-1399U-2326-SM-5K7WY 50-59 years, female 317.9
GTEX-1GZ2Q-0226-SM-7P8TL 40-49 years, male 317.4
GTEX-131XE-2326-SM-5PNZ2 50-59 years, male 317.1
GTEX-P4QT-0126-SM-2I3FL 50-59 years, female 316.2
GTEX-1CAV2-2226-SM-7P8P2 40-49 years, female 314.8
GTEX-1B8SF-1426-SM-7DUGL 60-69 years, male 314.6
GTEX-13FXS-0226-SM-5IJCK 50-59 years, male 314.0
GTEX-P4PP-0126-SM-3LK69 30-39 years, female 312.7
GTEX-Y8DK-0126-SM-4TT3L 60-69 years, male 312.0
GTEX-11TUW-2726-SM-E9J4M 60-69 years, male 311.5
GTEX-13G51-2526-SM-5LZYK 60-69 years, male 311.0
GTEX-1OJC3-0126-SM-E76QX 20-29 years, male 310.9
GTEX-145MO-0326-SM-5Q5B3 60-69 years, male 309.8
GTEX-1I1GV-0526-SM-A9G29 60-69 years, male 308.3
GTEX-12WSE-0526-SM-793B2 20-29 years, male 307.7
GTEX-1GMR3-1926-SM-9KNUZ 40-49 years, male 307.5
GTEX-1CAMS-0426-SM-7P8T2 40-49 years, female 307.2
GTEX-QV44-1926-SM-2S1RF 50-59 years, male 306.8
GTEX-S7SE-0126-SM-2XCD5 50-59 years, male 306.8
GTEX-1GF9V-0326-SM-7RHI5 60-69 years, male 306.2
GTEX-139D8-0226-SM-5KLZO 30-39 years, female 305.8
GTEX-QESD-1426-SM-2S1R9 20-29 years, male 305.1
GTEX-YJ89-0126-SM-4TT3X 60-69 years, male 305.0
GTEX-1A3MX-0126-SM-731BR 60-69 years, male 302.5
GTEX-1O97I-0326-SM-EYYX7 60-69 years, male 302.4
GTEX-14E6E-1826-SM-5S2R7 30-39 years, male 301.0
GTEX-UJHI-1526-SM-3DB99 50-59 years, female 301.0
GTEX-13OW6-0426-SM-5L3HM 50-59 years, male 300.7
GTEX-1IKJJ-0126-SM-CNPQB 60-69 years, male 299.7
GTEX-1R9K4-0126-SM-DTX9X 60-69 years, male 299.5
GTEX-TMZS-0126-SM-3DB9Q 60-69 years, male 298.7
GTEX-QDVN-2026-SM-3GAEP 50-59 years, male 298.6
GTEX-1IDJH-0326-SM-A9SLQ 70-79 years, male 298.5
GTEX-XYKS-2126-SM-4E3IB 60-69 years, female 298.4
GTEX-13113-5016-SM-7EPIP 60-69 years, female 298.0
GTEX-ZVT2-2526-SM-51MT1 50-59 years, female 297.8
GTEX-14753-0426-SM-5NQAM 60-69 years, male 296.8
GTEX-TML8-1926-SM-32QOS 40-49 years, female 295.6
GTEX-VJYA-1126-SM-3GIJU 60-69 years, male 295.6
GTEX-1HFI6-0226-SM-ADEHZ 40-49 years, male 294.3
GTEX-1IKK5-0626-SM-ARL8A 60-69 years, male 293.8
GTEX-1HT8W-0126-SM-CNPPP 30-39 years, male 293.7
GTEX-U8XE-0326-SM-3DB8P 30-39 years, male 293.0
GTEX-ZWKS-0126-SM-5SIAA 30-39 years, male 291.9
GTEX-Z93T-0126-SM-5HL5N 50-59 years, male 291.4
GTEX-15D1Q-0126-SM-7KUG6 40-49 years, male 290.2
GTEX-13CF3-2426-SM-5IFGX 60-69 years, female 290.1
GTEX-11DYG-0126-SM-59883 60-69 years, male 288.7
GTEX-X4XY-0226-SM-4E3IZ 60-69 years, male 288.4
GTEX-1GN1U-0126-SM-7PBZK 50-59 years, female 287.6
GTEX-Y8E4-0626-SM-4WWDL 40-49 years, male 287.4
GTEX-1IOXB-0126-SM-ARL8G 50-59 years, male 287.3
GTEX-144FL-0126-SM-5TDC8 50-59 years, male 287.1
GTEX-1JN6P-0126-SM-D3L98 60-69 years, male 286.9
GTEX-14ICK-0226-SM-6EU25 40-49 years, male 286.7
GTEX-1HGF4-2426-SM-ACKXM 60-69 years, male 286.3
GTEX-PX3G-0126-SM-2I3EN 20-29 years, female 286.2
GTEX-14PII-0226-SM-6EU1T 60-69 years, male 285.9
GTEX-12ZZX-0126-SM-5EGK9 40-49 years, female 285.6
GTEX-1QAET-0926-SM-E76QM 50-59 years, male 285.3
GTEX-U412-0426-SM-3DB9O 60-69 years, male 285.1
GTEX-14PJM-0226-SM-62LF1 50-59 years, female 284.9
GTEX-ZYFD-0126-SM-5GIDL 50-59 years, male 284.4
GTEX-117XS-2726-SM-5N9BL 60-69 years, male 284.2
GTEX-1LG7Z-1726-SM-D3LA4 30-39 years, male 284.2
GTEX-16MT8-0426-SM-7KUEY 60-69 years, female 284.0
GTEX-18A6Q-0126-SM-731BZ 60-69 years, male 284.0
GTEX-RTLS-0126-SM-447CA 60-69 years, female 283.8
GTEX-1N2DW-0226-SM-E9TK2 50-59 years, male 283.7
GTEX-1F75A-0126-SM-7RHGM 50-59 years, male 283.4
GTEX-1JMQI-2226-SM-CM2SD 50-59 years, male 283.4
GTEX-11UD2-0226-SM-5EQKY 50-59 years, male 283.2
GTEX-13OVK-2026-SM-7KUEO 40-49 years, male 283.2
GTEX-13FHO-0226-SM-5IFGY 60-69 years, male 281.5
GTEX-XQ3S-1526-SM-4BOOC 20-29 years, male 281.2
GTEX-1L5NE-2526-SM-E6CIE 50-59 years, male 280.9
GTEX-12696-2426-SM-5EQ6H 60-69 years, male 280.8
GTEX-ZDYS-2026-SM-5HL5L 50-59 years, male 280.8
GTEX-ZAK1-0126-SM-5IJD3 50-59 years, female 280.5
GTEX-11UD1-0126-SM-5PNYG 40-49 years, female 280.4
GTEX-PSDG-0226-SM-DKPOZ 50-59 years, male 280.3
GTEX-1PPH8-0226-SM-E8VND 20-29 years, male 279.9
GTEX-1PIGE-0126-SM-EVYBJ 20-29 years, male 279.8
GTEX-13IVO-0126-SM-5J1NG 70-79 years, male 279.4
GTEX-VJWN-0126-SM-3GIK7 50-59 years, female 279.1
GTEX-11GS4-2726-SM-5A5LE 60-69 years, male 279.0
GTEX-15RIG-0226-SM-7KFTL 40-49 years, male 278.3
GTEX-ZTX8-1426-SM-5DUVO 20-29 years, male 278.0
GTEX-1EMGI-0126-SM-9KNUE 60-69 years, male 278.0
GTEX-WQUQ-0426-SM-3MJFU 60-69 years, male 277.4
GTEX-146FQ-0126-SM-5NQA9 30-39 years, male 277.1
GTEX-X585-0226-SM-4QAS2 50-59 years, male 276.7
GTEX-11WQC-2526-SM-5CVLE 60-69 years, male 276.5
GTEX-1KANC-1526-SM-D3LAB 50-59 years, female 276.4
GTEX-1S83E-0126-SM-EWRO4 40-49 years, male 275.4
GTEX-11H98-0126-SM-5EGHG 50-59 years, male 275.1
GTEX-WVJS-0126-SM-4MVOT 50-59 years, male 275.0
GTEX-1192W-2626-SM-5Q5AF 60-69 years, male 274.8
GTEX-X8HC-0126-SM-4E3JW 50-59 years, female 274.8
GTEX-13OVH-0126-SM-5MR4B 70-79 years, male 274.6
GTEX-1HCU6-0126-SM-CL54K 60-69 years, female 274.5
GTEX-16GPK-0126-SM-7DHLE 60-69 years, male 274.3
GTEX-1R7EU-0226-SM-EVR4G 60-69 years, male 274.3
GTEX-ZF3C-0126-SM-DO92D 50-59 years, female 274.3
GTEX-1ICLZ-0126-SM-CKZPO 60-69 years, male 274.2
GTEX-1QP9N-1426-SM-DTXFL 30-39 years, male 274.2
GTEX-1JMLX-0226-SM-CM2RO 50-59 years, male 273.9
GTEX-YFC4-0126-SM-5CVLY 40-49 years, female 273.4
GTEX-1HR98-0126-SM-B2LWI 60-69 years, male 273.4
GTEX-1NV5F-0226-SM-E8VNY 60-69 years, female 273.2
GTEX-SJXC-0126-SM-2XCFF 60-69 years, male 273.0
GTEX-WI4N-1026-SM-3LK7N 40-49 years, female 272.9
GTEX-1HBPI-1526-SM-C1YQ1 50-59 years, male 272.4
GTEX-T6MN-0126-SM-32PLP 50-59 years, male 272.2
GTEX-1J8JJ-0226-SM-CL53I 60-69 years, female 272.2
GTEX-WFG8-2226-SM-3GIL9 20-29 years, male 272.1
GTEX-11OF3-2626-SM-5GU7F 60-69 years, male 271.9
GTEX-1KWVE-1426-SM-E9TJO 30-39 years, male 271.6
GTEX-1JMPZ-0226-SM-CNPP1 30-39 years, male 271.4
GTEX-1JMQL-0226-SM-CNPP5 50-59 years, female 270.3
GTEX-13PDP-0126-SM-5L3HD 60-69 years, male 270.1
GTEX-14JG1-0426-SM-6ETZZ 40-49 years, male 270.1
GTEX-1S3DN-2226-SM-EVYCD 50-59 years, male 270.1
GTEX-13NZ8-0826-SM-5MR3I 60-69 years, female 269.8
GTEX-1H4P4-0726-SM-9YFLR 50-59 years, male 269.2
GTEX-PWCY-1826-SM-DHXIZ 20-29 years, female 269.2
GTEX-132NY-0326-SM-5IJBL 60-69 years, male 269.1
GTEX-1LBAC-0126-SM-DIPEZ 20-29 years, male 269.1
GTEX-12WSJ-1826-SM-5GCNY 40-49 years, female 268.4
GTEX-1GN2E-0426-SM-9MQKX 60-69 years, male 268.0
GTEX-17F98-0626-SM-79OMX 40-49 years, female 267.8
GTEX-1PDJ9-0326-SM-DTX95 20-29 years, male 267.7
GTEX-1RB15-2126-SM-E9TIM 60-69 years, male 267.5
GTEX-145MN-2226-SM-5SIAU 30-39 years, male 267.4
GTEX-PLZ6-1426-SM-DKPOT 30-39 years, male 267.3
GTEX-13OW5-0126-SM-DTXFS 60-69 years, male 266.7
GTEX-1POEN-0126-SM-EYYXJ 30-39 years, female 266.7
GTEX-14A5I-0126-SM-5TDEA 50-59 years, female 266.1
GTEX-15DDE-0126-SM-6LPKH 50-59 years, female 265.6
GTEX-18A7A-0226-SM-718BH 50-59 years, female 265.4
GTEX-1HCUA-2426-SM-ADEIS 50-59 years, female 265.4
GTEX-131YS-0126-SM-5KM1M 60-69 years, female 265.2
GTEX-1OFPY-2426-SM-DTXEJ 60-69 years, male 265.2
GTEX-1F6I4-0126-SM-9MQL2 60-69 years, male 265.1
GTEX-XAJ8-0826-SM-47JY6 40-49 years, male 264.8
GTEX-1IDJF-0126-SM-CM2RS 20-29 years, male 264.7
GTEX-1HSMO-0126-SM-CL547 60-69 years, male 264.3
GTEX-1211K-2026-SM-5EQ4Z 60-69 years, female 263.9
GTEX-13NZB-2526-SM-5J1OM 30-39 years, male 263.6
GTEX-1IDFM-0126-SM-COH2V 60-69 years, male 263.6
GTEX-11TT1-2526-SM-5EGIB 20-29 years, male 263.5
GTEX-P4PQ-0126-SM-2S1NM 60-69 years, male 263.5
GTEX-WXYG-2326-SM-4E3I6 50-59 years, female 263.4
GTEX-11WQK-0526-SM-5EQLD 50-59 years, male 263.3
GTEX-1J8QM-2126-SM-CYPSJ 60-69 years, female 263.2
GTEX-14C5O-0126-SM-5SI6N 60-69 years, male 262.5
GTEX-13X6J-0126-SM-5QGOU 50-59 years, male 262.3
GTEX-ZV68-0126-SM-59HKS 50-59 years, female 262.3
GTEX-12ZZY-0226-SM-5LZVE 60-69 years, male 261.9
GTEX-13O3Q-2426-SM-5IJBR 50-59 years, male 261.9
GTEX-1S5ZA-0126-SM-EVYCV 20-29 years, male 261.9
GTEX-ZXES-1826-SM-5E43S 30-39 years, female 261.8
GTEX-XBEW-0626-SM-4QASP 40-49 years, male 261.7
GTEX-Y111-0126-SM-4SOIV 50-59 years, male 261.3
GTEX-1EX96-1626-SM-7PBXR 50-59 years, male 261.2
GTEX-1JKYR-0126-SM-CNPOJ 20-29 years, male 261.2
GTEX-1LB8K-0226-SM-EWRNW 50-59 years, male 261.0
GTEX-145MF-0626-SM-5LUAI 50-59 years, male 260.7
GTEX-1H1DG-0126-SM-9WYU2 70-79 years, male 260.7
GTEX-1H3VE-0326-SM-9YFLH 40-49 years, male 259.8
GTEX-1QPFJ-0226-SM-E76PB 30-39 years, female 259.5
GTEX-14E6D-0126-SM-62LDV 50-59 years, male 259.1
GTEX-13W46-0226-SM-5SIAG 50-59 years, male 258.8
GTEX-131XH-2226-SM-5DUXJ 50-59 years, male 258.3
GTEX-1B8L1-2526-SM-9WYTF 60-69 years, male 258.2
GTEX-ZF2S-2326-SM-4WWCE 50-59 years, female 257.7
GTEX-1GZ4H-1726-SM-7PBZJ 50-59 years, female 257.3
GTEX-1ICG6-2526-SM-CGQFZ 70-79 years, female 257.2
GTEX-1GZHY-0326-SM-9QEHI 50-59 years, female 257.1
GTEX-11DXW-0226-SM-5H122 40-49 years, male 256.9
GTEX-1C64N-0126-SM-793D7 50-59 years, male 256.7
GTEX-ZU9S-0226-SM-5E441 30-39 years, male 256.7
GTEX-1PWST-0226-SM-E76QJ 70-79 years, male 256.6
GTEX-183FY-0126-SM-7LT9P 20-29 years, male 256.5
GTEX-18465-0126-SM-731BN 50-59 years, male 256.5
GTEX-1MCQQ-0826-SM-DLHC2 60-69 years, male 256.3
GTEX-11DXX-2426-SM-5GZZW 60-69 years, female 255.8
GTEX-XUYS-0126-SM-47JWZ 50-59 years, male 255.8
GTEX-1B996-0226-SM-7RHGO 60-69 years, male 255.8
GTEX-O5YW-0126-SM-3LK6D 50-59 years, male 255.7
GTEX-1MA7W-2026-SM-E9TJ6 20-29 years, female 255.4
GTEX-1M5QR-1226-SM-EWROB 40-49 years, male 254.0
GTEX-14BIN-0626-SM-793DP 50-59 years, female 253.7
GTEX-14XAO-2326-SM-6EU1B 60-69 years, female 253.6
GTEX-15EU6-0426-SM-6PAN5 50-59 years, male 253.6
GTEX-1CB4H-0226-SM-7PBXM 60-69 years, female 253.6
GTEX-13O3P-0126-SM-5KM4S 50-59 years, male 253.3
GTEX-13RTK-1426-SM-5QGQJ 20-29 years, male 253.1
GTEX-1CB4G-0226-SM-7PC3O 60-69 years, male 253.1
GTEX-WY7C-2326-SM-3NB2U 50-59 years, male 252.6
GTEX-ZGAY-0526-SM-4WWBB 40-49 years, female 251.9
GTEX-QCQG-1726-SM-3GIJ9 50-59 years, female 251.6
GTEX-13111-1626-SM-5EGJY 50-59 years, male 251.3
GTEX-T2IS-0126-SM-4DM6O 20-29 years, female 251.1
GTEX-ZDTS-0126-SM-4WAY5 60-69 years, male 250.6
GTEX-ZYFG-2326-SM-5E44B 60-69 years, female 250.5
GTEX-QDVJ-1726-SM-2I5FX 50-59 years, male 250.4
GTEX-NFK9-0226-SM-2HMKQ 40-49 years, male 250.2
GTEX-146FH-0126-SM-5QGPP 50-59 years, female 250.1
GTEX-ZPIC-1726-SM-DHXIU 40-49 years, female 250.1
GTEX-14BMU-2226-SM-5TDE9 20-29 years, female 249.9
GTEX-ZVZP-2426-SM-59HKJ 50-59 years, male 249.7
GTEX-1MGNQ-0126-SM-EVYCJ 40-49 years, male 249.7
GTEX-1212Z-2526-SM-5EGKP 60-69 years, male 249.6
GTEX-11DZ1-0126-SM-5985Q 50-59 years, male 249.5
GTEX-117YX-2326-SM-5H12W 50-59 years, male 248.8
GTEX-18A67-0126-SM-7LG5P 50-59 years, male 248.7
GTEX-YB5E-2026-SM-5IFIS 40-49 years, male 248.2
GTEX-1KXAM-2226-SM-CYPTC 60-69 years, male 248.1
GTEX-T5JW-1626-SM-3GADZ 20-29 years, female 247.9
GTEX-1RLM8-2326-SM-EWRN4 50-59 years, male 247.6
GTEX-R3RS-0126-SM-3GIJL 40-49 years, female 247.4
GTEX-1F7RK-0126-SM-7PC2S 20-29 years, female 247.4
GTEX-13FTX-1826-SM-5J1NX 20-29 years, female 246.4
GTEX-S32W-2126-SM-2XCB1 50-59 years, female 246.4
GTEX-1JMQK-0226-SM-CL543 60-69 years, male 246.3
GTEX-1LGRB-2526-SM-CNPPQ 50-59 years, female 246.3
GTEX-13N11-2526-SM-5K7UE 50-59 years, female 245.8
GTEX-1J8EW-0126-SM-CJI4F 60-69 years, female 245.8
GTEX-ZVT4-0126-SM-DTXFN 50-59 years, female 245.8
GTEX-117YW-2626-SM-5GZZH 50-59 years, male 244.7
GTEX-1PFEY-1526-SM-E76PP 30-39 years, male 244.6
GTEX-13JUV-2726-SM-5LZZ8 40-49 years, female 244.5
GTEX-1R46S-0626-SM-E9J41 60-69 years, female 244.5
GTEX-13O21-1426-SM-5K7XI 50-59 years, male 244.3
GTEX-T2YK-0526-SM-32QPJ 50-59 years, male 244.3
GTEX-XQ8I-0426-SM-4BOPO 50-59 years, male 243.9
GTEX-11OC5-0126-SM-5HL6A 60-69 years, male 243.8
GTEX-145MI-0526-SM-5O9A8 60-69 years, female 243.7
GTEX-13PVR-2326-SM-5QGR1 60-69 years, female 243.4
GTEX-1JMQJ-0526-SM-CYPSU 50-59 years, male 243.4
GTEX-1JN1M-0326-SM-CYPT3 60-69 years, female 243.3
GTEX-YJ8A-0426-SM-5IFID 20-29 years, male 243.2
GTEX-1NHNU-1026-SM-E9J2A 50-59 years, male 243.0
GTEX-1BAJH-0526-SM-793CQ 70-79 years, male 242.1
GTEX-YB5K-2126-SM-4WWDJ 40-49 years, female 241.9
GTEX-PVOW-0126-SM-2XCFA 40-49 years, male 241.8
GTEX-1E2YA-0126-SM-9KNUC 50-59 years, male 241.6
GTEX-1313W-0126-SM-5LZUN 50-59 years, female 241.5
GTEX-17HHY-0126-SM-7LG5D 50-59 years, male 241.3
GTEX-Y5LM-1926-SM-5RQJH 40-49 years, female 241.3
GTEX-PWO3-1526-SM-48TCM 60-69 years, female 241.1
GTEX-1HSGN-0226-SM-CGQFV 40-49 years, female 240.7
GTEX-1F6RS-0126-SM-9MQKZ 60-69 years, female 240.6
GTEX-1GF9U-2126-SM-7SB7L 40-49 years, female 240.6
GTEX-Q734-1926-SM-2I5EV 40-49 years, female 240.5
GTEX-1I1GP-2226-SM-CGQFK 50-59 years, male 240.4
GTEX-15SHU-0126-SM-7KUEH 40-49 years, female 240.2
GTEX-WYJK-0126-SM-3NMAB 50-59 years, male 240.0
GTEX-18QFQ-0126-SM-731BE 30-39 years, male 239.7
GTEX-1AX8Z-0126-SM-7DHM6 60-69 years, male 239.5
GTEX-S95S-1226-SM-4GICG 60-69 years, male 239.1
GTEX-1JMPY-1326-SM-ARL8Y 30-39 years, male 238.6
GTEX-ZTPG-0326-SM-5O9AX 20-29 years, female 238.5
GTEX-1QMI2-0226-SM-EVYBX 60-69 years, male 238.4
GTEX-S7PM-0126-SM-4AD6S 60-69 years, male 238.2
GTEX-14PHX-2326-SM-62LEM 50-59 years, male 238.0
GTEX-1KANA-0726-SM-D3L9I 20-29 years, male 238.0
GTEX-11O72-0126-SM-59887 40-49 years, male 237.6
GTEX-12ZZZ-0626-SM-5DUXI 60-69 years, male 237.5
GTEX-1B933-0126-SM-7PC29 50-59 years, female 237.3
GTEX-ZE7O-0126-SM-57WC1 50-59 years, female 237.0
GTEX-145LU-0126-SM-5TDCB 50-59 years, male 236.9
GTEX-14BIM-0226-SM-7IGLD 60-69 years, female 236.8
GTEX-X4EO-0326-SM-3P5YO 60-69 years, female 236.5
GTEX-1IL2U-0226-SM-CE6T8 60-69 years, male 236.5
GTEX-1GMRU-0126-SM-9YFLV 50-59 years, male 235.9
GTEX-1LVAN-0226-SM-COH3S 50-59 years, female 235.9
GTEX-145LV-2126-SM-5LU8N 50-59 years, male 235.8
GTEX-NPJ8-0126-SM-2YUNR 40-49 years, male 235.7
GTEX-1F5PL-0326-SM-7P8PQ 40-49 years, female 235.6
GTEX-QVJO-1626-SM-2S1QW 60-69 years, female 235.5
GTEX-W5WG-1826-SM-4KL2Y 50-59 years, female 235.3
GTEX-QEG4-0226-SM-2S1PY 30-39 years, male 235.2
GTEX-13VXU-0126-SM-5SI9F 50-59 years, male 234.9
GTEX-17F96-1626-SM-7DUFL 70-79 years, male 234.6
GTEX-1J1OQ-0226-SM-CYPSH 40-49 years, female 234.6
GTEX-13X6I-0626-SM-5QGP9 60-69 years, male 234.5
GTEX-17KNJ-2326-SM-7DHLQ 50-59 years, male 234.4
GTEX-X5EB-2226-SM-46MW4 40-49 years, male 234.3
GTEX-SN8G-0126-SM-32PLI 50-59 years, female 234.2
GTEX-1MUQO-0126-SM-EAZ58 60-69 years, male 233.9
GTEX-ZYFC-0226-SM-5NQ75 50-59 years, male 233.8
GTEX-1ICLY-0126-SM-D4P36 50-59 years, male 233.4
GTEX-1IL2V-0126-SM-CM2TX 70-79 years, male 233.4
GTEX-1I4MK-2226-SM-ACKWD 50-59 years, female 233.2
GTEX-Q2AH-1626-SM-3GAF8 40-49 years, male 233.0
GTEX-148VI-1626-SM-5SI6E 60-69 years, female 232.9
GTEX-1I19N-0326-SM-ACKVX 70-79 years, male 232.7
GTEX-1399T-2826-SM-5KLYZ 60-69 years, male 232.5
GTEX-1HSKV-0226-SM-A9SKJ 60-69 years, male 232.4
GTEX-RM2N-1426-SM-2TF4H 50-59 years, male 232.1
GTEX-14DAR-2026-SM-5S2O3 50-59 years, male 232.0
GTEX-1A32A-0126-SM-718B1 50-59 years, female 231.3
GTEX-13U4I-0126-SM-5LU38 40-49 years, female 231.2
GTEX-13SLW-0126-SM-5SI6C 70-79 years, male 231.1
GTEX-111VG-2426-SM-5GZXD 60-69 years, male 231.0
GTEX-SUCS-1926-SM-32PM3 70-79 years, male 231.0
GTEX-OXRN-0126-SM-48TDM 50-59 years, male 230.6
GTEX-11XUK-2026-SM-5EQLF 40-49 years, female 230.5
GTEX-X4EP-0126-SM-3P5YV 60-69 years, female 230.5
GTEX-144GL-0126-SM-5TDE2 50-59 years, male 230.4
GTEX-1F88F-2726-SM-7PBZZ 60-69 years, female 230.4
GTEX-13FH7-2026-SM-E9J4I 50-59 years, female 230.3
GTEX-17EVQ-0226-SM-7LG4P 70-79 years, male 229.8
GTEX-1LC47-0326-SM-E9TJP 60-69 years, male 229.7
GTEX-1399R-2726-SM-5IJBA 30-39 years, male 229.6
GTEX-SIU8-0126-SM-2XCDT 50-59 years, male 229.5
GTEX-X261-0126-SM-3NMD6 50-59 years, male 229.4
GTEX-1I1CD-0126-SM-CM2TK 60-69 years, female 229.2
GTEX-Y3I4-2126-SM-4TT7C 50-59 years, male 228.8
GTEX-1N2EF-0226-SM-EYYXB 60-69 years, male 228.6
GTEX-13OVL-0226-SM-5L3E9 50-59 years, male 228.5
GTEX-X4XX-0126-SM-3NMC2 60-69 years, male 228.5
GTEX-ZF29-2326-SM-DO92K 60-69 years, female 228.4
GTEX-ZTSS-1926-SM-57WEW 40-49 years, male 228.2
GTEX-139TU-0126-SM-5K7WH 60-69 years, male 228.1
GTEX-145ME-1826-SM-5SI9G 40-49 years, female 228.1
GTEX-ZAJG-0126-SM-5HL94 50-59 years, female 228.1
GTEX-144GN-2326-SM-5LU4F 50-59 years, male 227.6
GTEX-1H3VY-0126-SM-ACKXD 50-59 years, male 227.6
GTEX-1EU9M-0226-SM-7P8SP 60-69 years, male 227.5
GTEX-1GF9W-0326-SM-9KNUN 60-69 years, male 227.5
GTEX-18A7B-0126-SM-7LG64 70-79 years, male 227.4
GTEX-1GF9X-2026-SM-7PC3A 40-49 years, female 227.1
GTEX-17HG3-2226-SM-7938L 30-39 years, female 227.0
GTEX-1KAFJ-2026-SM-CY8ID 50-59 years, male 227.0
GTEX-1B8SG-0126-SM-73KZ3 50-59 years, male 226.9
GTEX-XBED-2226-SM-47JYQ 60-69 years, male 226.7
GTEX-1H1DE-2126-SM-9WG6R 20-29 years, male 226.7
GTEX-ZZ64-1726-SM-5GZYB 20-29 years, male 226.5
GTEX-18D9U-0226-SM-718BP 40-49 years, male 226.4
GTEX-1H3O1-0426-SM-9YFKY 60-69 years, male 226.1
GTEX-U8T8-0126-SM-3DB94 60-69 years, male 225.8
GTEX-1LG7Y-0526-SM-DKPQC 50-59 years, male 225.8
GTEX-1192X-0226-SM-5H12D 50-59 years, male 225.6
GTEX-12WSD-0126-SM-59HKN 60-69 years, female 225.3
GTEX-14PJ3-1826-SM-62LEX 50-59 years, male 225.2
GTEX-ZDTT-2726-SM-4WKF8 60-69 years, male 225.2
GTEX-13NYS-0126-SM-5MR3W 60-69 years, male 224.7
GTEX-1CB4F-0426-SM-9KNV4 60-69 years, male 224.1
GTEX-1F75B-0126-SM-9KNVL 50-59 years, male 223.7
GTEX-1RAZQ-0726-SM-EAZ43 30-39 years, male 223.7
GTEX-113JC-2326-SM-5EQ4E 50-59 years, female 223.6
GTEX-12584-0126-SM-5EGKQ 40-49 years, male 223.6
GTEX-13S7M-0126-SM-5SI6A 60-69 years, female 223.6
GTEX-TKQ1-1026-SM-4GICL 30-39 years, male 223.5
GTEX-VUSG-2526-SM-4KL1V 50-59 years, male 223.5
GTEX-131XW-0426-SM-5LZWP 50-59 years, female 223.4
GTEX-15EOM-0126-SM-7KUGG 20-29 years, female 223.3
GTEX-13D11-2426-SM-5KM1V 50-59 years, female 223.2
GTEX-147F4-0226-SM-5QGPW 50-59 years, male 223.2
GTEX-1HB9E-0226-SM-E9U4R 50-59 years, male 223.2
GTEX-133LE-1826-SM-5J1MV 20-29 years, female 223.0
GTEX-1M4P7-0226-SM-DIPEV 60-69 years, male 222.8
GTEX-1QP66-1726-SM-E8VO1 50-59 years, male 222.8
GTEX-13N2G-2626-SM-5J1OT 60-69 years, male 222.7
GTEX-ZV6S-2326-SM-4YCEY 40-49 years, female 222.7
GTEX-17HII-0226-SM-7LG4E 50-59 years, male 222.5
GTEX-1RDX4-0126-SM-E9J4P 50-59 years, female 222.4
GTEX-11EQ9-2426-SM-5HL5T 30-39 years, male 222.1
GTEX-WZTO-0126-SM-3NM95 40-49 years, male 222.0
GTEX-1H2FU-0126-SM-9WYSI 60-69 years, female 221.9
GTEX-1A3MW-0126-SM-73KXX 60-69 years, female 221.8
GTEX-OOBJ-0126-SM-E6CJW 60-69 years, male 221.8
GTEX-RWSA-0126-SM-2XCBB 40-49 years, male 221.7
GTEX-RUSQ-1526-SM-2TF62 50-59 years, male 221.6
GTEX-WRHK-1426-SM-3MJF9 20-29 years, female 221.3
GTEX-12WSA-0226-SM-5BC5V 60-69 years, male 221.2
GTEX-139T8-0126-SM-5K7XZ 60-69 years, male 221.1
GTEX-ZY6K-1826-SM-5GZXK 50-59 years, male 221.1
GTEX-1IGQW-0126-SM-COH42 60-69 years, male 221.1
GTEX-15UKP-0426-SM-7KUFQ 20-29 years, male 220.9
GTEX-SSA3-0126-SM-32QPU 60-69 years, male 220.9
GTEX-1R9PO-2126-SM-E9J4O 60-69 years, female 220.9
GTEX-14BMV-0126-SM-5S2PO 50-59 years, male 220.4
GTEX-14PK6-1926-SM-6ETZU 70-79 years, female 220.3
GTEX-15CHC-2126-SM-6EU21 60-69 years, female 220.3
GTEX-1HCU7-0226-SM-CL545 50-59 years, male 220.3
GTEX-1GPI7-0126-SM-9MQL8 20-29 years, male 219.9
GTEX-1HCU8-0626-SM-A9SM9 60-69 years, female 219.4
GTEX-1A3MV-1926-SM-718BT 30-39 years, male 219.3
GTEX-T5JC-0426-SM-32PLO 20-29 years, male 219.2
GTEX-15SDE-2226-SM-7IGLO 50-59 years, female 219.1
GTEX-1C475-1826-SM-73KWA 40-49 years, female 219.1
GTEX-UPJH-0326-SM-3GADU 50-59 years, male 219.0
GTEX-1CB4E-2226-SM-793DC 60-69 years, male 218.9
GTEX-13QJ3-0326-SM-5S2RA 50-59 years, male 218.8
GTEX-1I1GR-0126-SM-CL55F 60-69 years, male 218.8
GTEX-11ZVC-2526-SM-5FQTE 50-59 years, female 218.4
GTEX-ZAB4-0226-SM-5N9F5 40-49 years, male 218.4
GTEX-ZQUD-1426-SM-57WER 30-39 years, male 218.4
GTEX-1QCLY-0326-SM-E8VOG 30-39 years, male 218.4
GTEX-XXEK-2226-SM-4BRUM 50-59 years, male 218.2
GTEX-XMD2-0126-SM-4YCDU 60-69 years, female 217.4
GTEX-1269C-2526-SM-5EGJ3 60-69 years, female 217.3
GTEX-1K2DU-2326-SM-E9TIV 20-29 years, male 217.2
GTEX-1CAMR-1926-SM-7EPI2 20-29 years, male 216.8
GTEX-13OVI-1426-SM-5L3EY 60-69 years, female 216.7
GTEX-14A5H-0426-SM-5QGQF 60-69 years, male 216.6
GTEX-148VJ-0126-SM-5TDDN 70-79 years, male 216.4
GTEX-1HSMQ-1226-SM-CGQFX 50-59 years, male 216.2
GTEX-12KS4-0326-SM-5EQ41 30-39 years, male 215.9
GTEX-1GN73-0226-SM-9WG67 60-69 years, male 215.8
GTEX-1EKGG-0226-SM-9WYTH 60-69 years, male 215.2
GTEX-ZQG8-1626-SM-DHXIT 60-69 years, female 215.2
GTEX-Q2AI-1326-SM-2S1PL 40-49 years, male 214.9
GTEX-OXRO-0126-SM-2YUN4 60-69 years, female 214.7
GTEX-T8EM-1026-SM-3DB7M 40-49 years, male 214.7
GTEX-1C6VR-2426-SM-79OLD 60-69 years, male 214.5
GTEX-1F6IF-0726-SM-7P8TW 60-69 years, male 214.3
GTEX-OXRK-0226-SM-3NB2G 50-59 years, female 214.1
GTEX-ZVE2-0226-SM-59HJB 50-59 years, male 213.2
GTEX-1AYCT-2426-SM-7IGQ3 50-59 years, male 213.0
GTEX-12WSC-0126-SM-5EQ4P 50-59 years, male 212.9
GTEX-13SLX-0526-SM-5S2ON 50-59 years, female 212.7
GTEX-1H11D-0226-SM-9WG6Z 40-49 years, male 212.6
GTEX-1H3NZ-0126-SM-ACKX7 60-69 years, male 212.6
GTEX-1J8Q2-0526-SM-CM2RW 60-69 years, male 212.4
GTEX-OHPL-0126-SM-2HMJ7 60-69 years, female 212.2
GTEX-RNOR-0126-SM-E9J4R 50-59 years, female 212.1
GTEX-RWS6-2026-SM-2XCB5 60-69 years, female 212.0
GTEX-1C4CL-0526-SM-73KVK 30-39 years, male 211.9
GTEX-YEC4-2126-SM-5IFJH 40-49 years, male 211.9
GTEX-12WSK-2326-SM-5GCOH 40-49 years, female 211.8
GTEX-1LGOU-2026-SM-DIPFF 20-29 years, female 211.8
GTEX-1CB4I-0226-SM-79OLH 50-59 years, male 211.4
GTEX-13112-2826-SM-5DUWH 50-59 years, male 211.1
GTEX-15SHW-0326-SM-6PAML 60-69 years, male 210.9
GTEX-1AX9K-2326-SM-73KWU 50-59 years, male 210.5
GTEX-1314G-1526-SM-5EGK2 30-39 years, male 210.3
GTEX-14PJ6-2126-SM-6EU1V 60-69 years, female 210.3
GTEX-1F52S-0126-SM-9MQJU 60-69 years, female 210.2
GTEX-11NUK-0126-SM-5A5L3 50-59 years, male 209.5
GTEX-13YAN-0326-SM-5O9DF 60-69 years, male 209.4
GTEX-139TT-0126-SM-5K7Y5 60-69 years, male 209.1
GTEX-1KD5A-0226-SM-D5OV3 50-59 years, male 208.9
GTEX-16XZZ-0126-SM-793DV 60-69 years, male 208.8
GTEX-1AYD5-2426-SM-73KXR 50-59 years, male 208.5
GTEX-12WSN-5019-SM-79OM6 40-49 years, male 208.2
GTEX-1AX9J-0226-SM-73KXM 60-69 years, male 208.1
GTEX-PLZ4-0126-SM-5SI8O 50-59 years, female 208.1
GTEX-ZVT3-0126-SM-5GU6I 60-69 years, female 207.9
GTEX-Z9EW-1626-SM-5CVMN 40-49 years, male 207.5
GTEX-1HBPM-0226-SM-ARL9F 60-69 years, female 207.3
GTEX-17MF6-0126-SM-7LG4F 40-49 years, male 207.1
GTEX-1I1GQ-0126-SM-COH3H 50-59 years, male 206.8
GTEX-1LH75-2426-SM-E9TJE 50-59 years, female 206.7
GTEX-OXRP-0126-SM-3NB32 60-69 years, female 206.6
GTEX-11ZU8-2526-SM-5EQKI 60-69 years, male 206.5
GTEX-XUW1-0426-SM-4BOOT 50-59 years, female 206.5
GTEX-13OW8-1326-SM-5J1OW 60-69 years, male 206.4
GTEX-14ABY-0226-SM-5TDCQ 50-59 years, male 206.3
GTEX-17F97-0326-SM-7LG5B 50-59 years, male 206.1
GTEX-1RAZA-0126-SM-E6CI3 20-29 years, male 206.1
GTEX-1MCYP-1926-SM-E9J2R 20-29 years, female 206.0
GTEX-1QP67-1626-SM-EAZ3X 40-49 years, female 205.2
GTEX-11EI6-0126-SM-5985R 60-69 years, male 205.0
GTEX-15DYW-0126-SM-7KULE 60-69 years, female 204.8
GTEX-OOBK-0126-SM-2YUND 40-49 years, male 204.8
GTEX-11EM3-2426-SM-59861 20-29 years, female 204.5
GTEX-16XZY-2126-SM-79OK1 70-79 years, male 204.5
GTEX-11DXY-2626-SM-5GIE7 60-69 years, male 204.4
GTEX-1C6WA-0126-SM-7PC2B 60-69 years, male 204.0
GTEX-1JJ6O-0126-SM-E6CI8 60-69 years, male 203.9
GTEX-1I1GU-2226-SM-CGQFA 40-49 years, male 203.8
GTEX-1IY9M-0126-SM-D3L8S 60-69 years, male 203.8
GTEX-1JN76-0126-SM-CNPPE 20-29 years, female 203.8
GTEX-14JG6-2226-SM-6EU2G 30-39 years, female 203.7
GTEX-SNMC-1226-SM-2XCFP 20-29 years, male 203.6
GTEX-1IKOH-0226-SM-COH4E 60-69 years, female 203.3
GTEX-13FTY-0526-SM-5L3EV 40-49 years, female 203.0
GTEX-1PPH7-2326-SM-EVYB8 40-49 years, male 202.8
GTEX-13VXT-0126-SM-5LU4I 20-29 years, female 202.7
GTEX-ZAB5-1826-SM-5HL7C 50-59 years, male 202.7
GTEX-Y5V5-2326-SM-4V6GA 60-69 years, female 202.6
GTEX-11GSO-2426-SM-5A5LY 60-69 years, male 202.3
GTEX-14DAQ-0126-SM-5S2MQ 60-69 years, female 202.0
GTEX-14LZ3-0226-SM-62LET 60-69 years, female 201.8
GTEX-RU72-0926-SM-2TF6B 50-59 years, female 201.8
GTEX-1AX9I-0126-SM-7SB74 60-69 years, male 201.8
GTEX-11P82-1626-SM-59879 20-29 years, male 201.5
GTEX-WYVS-2126-SM-3NMA3 40-49 years, female 201.2
GTEX-1HSMP-0126-SM-E6CJS 70-79 years, male 200.6
GTEX-11LCK-1026-SM-5A5KB 30-39 years, male 200.2
GTEX-1RQEC-0426-SM-E6CHU 60-69 years, male 200.2
GTEX-147GR-0526-SM-5S2MY 60-69 years, male 200.1
GTEX-17HHE-2026-SM-79OKF 50-59 years, male 199.9
GTEX-1J8Q3-1626-SM-CMKGC 60-69 years, male 199.8
GTEX-18A66-0226-SM-718BD 60-69 years, male 199.5
GTEX-13O1R-0126-SM-5L3EH 60-69 years, male 199.0
GTEX-U3ZH-2026-SM-3DB78 30-39 years, male 198.7
GTEX-1EN7A-0126-SM-7SB81 40-49 years, male 198.7
GTEX-1H23P-0126-SM-ADEJ3 60-69 years, male 198.5
GTEX-13NYC-0326-SM-E9J4S 60-69 years, male 198.3
GTEX-13RTL-0126-SM-7LG5S 40-49 years, male 198.0
GTEX-17HGU-0226-SM-7DHKV 50-59 years, male 198.0
GTEX-1R7EV-2426-SM-EVYBG 40-49 years, male 197.8
GTEX-1GN1W-0526-SM-9MQJQ 50-59 years, female 197.6
GTEX-1I1GT-0626-SM-CGQER 60-69 years, female 197.5
GTEX-13OVJ-0126-SM-5KM36 50-59 years, female 197.3
GTEX-XPVG-2626-SM-4B669 50-59 years, male 196.8
GTEX-1JJE9-0326-SM-CL53Z 70-79 years, male 196.8
GTEX-ZYY3-0126-SM-5GZY5 60-69 years, female 196.3
GTEX-1S82Z-0826-SM-E6CHY 30-39 years, female 196.3
GTEX-1B8KE-2126-SM-73KYX 50-59 years, male 196.1
GTEX-12WSL-2526-SM-5GCNJ 50-59 years, male 195.9
GTEX-16BQI-0226-SM-7KUEX 30-39 years, female 195.8
GTEX-1CB4J-0626-SM-7DHMP 60-69 years, male 195.7
GTEX-1QEPI-0126-SM-EWRMQ 60-69 years, female 195.1
GTEX-11P7K-2126-SM-5GU7G 30-39 years, male 195.0
GTEX-13O3O-0126-SM-E9J49 60-69 years, female 195.0
GTEX-1C2JI-1826-SM-73KXC 50-59 years, male 194.8
GTEX-TMMY-0226-SM-33HBA 40-49 years, female 194.6
GTEX-1H1ZS-0426-SM-9WG6G 70-79 years, male 194.6
GTEX-1HSEH-0126-SM-ACKXN 60-69 years, male 194.6
GTEX-1GMR8-0126-SM-9WYTM 50-59 years, female 194.3
GTEX-17MFQ-1726-SM-793C7 20-29 years, male 194.2
GTEX-1F75I-0326-SM-9YFLU 40-49 years, male 193.9
GTEX-1JK1U-2026-SM-CM2RZ 60-69 years, male 193.8
GTEX-PW2O-1526-SM-7RHHB 20-29 years, male 193.6
GTEX-XV7Q-2526-SM-4BRV9 40-49 years, female 193.5
GTEX-13X6H-2126-SM-7EWD5 50-59 years, female 193.0
GTEX-Q2AG-0126-SM-33HBV 40-49 years, female 192.5
GTEX-15DCD-0126-SM-7KUEK 70-79 years, female 192.3
GTEX-1KANB-0526-SM-E6CJH 50-59 years, male 192.1
GTEX-1C64O-0126-SM-7SB8P 60-69 years, male 191.9
GTEX-1GPI6-0126-SM-9WG69 60-69 years, male 191.8
GTEX-17EVP-0326-SM-7DHLG 40-49 years, male 190.7
GTEX-11ZTT-2426-SM-5EQLS 60-69 years, female 190.4
GTEX-13N1W-0126-SM-5K7VT 70-79 years, male 190.4
GTEX-ZC5H-0226-SM-4WAY9 40-49 years, female 190.0
GTEX-1I6K6-0126-SM-A9SLE 30-39 years, male 190.0
GTEX-14LLW-0126-SM-6LLIO 70-79 years, female 189.4
GTEX-1CAMQ-0226-SM-7IGPK 40-49 years, male 189.4
GTEX-ZDXO-3026-SM-5J1N5 60-69 years, male 189.3
GTEX-11ZTS-0126-SM-5EQ6M 60-69 years, female 188.7
GTEX-18D9B-0526-SM-7LTAS 60-69 years, male 188.2
GTEX-147F3-0526-SM-5SI98 50-59 years, female 188.1
GTEX-X638-0126-SM-47JZ8 70-79 years, female 187.8
GTEX-11EMC-2926-SM-5EQ4F 60-69 years, female 187.7
GTEX-14BIL-0126-SM-5SI92 50-59 years, male 187.5
GTEX-1GN1V-0126-SM-9WPOS 60-69 years, male 187.5
GTEX-15F5U-1526-SM-6PANO 40-49 years, male 187.1
GTEX-1F48J-0126-SM-7P8TT 50-59 years, female 187.1
GTEX-1HCVE-0126-SM-CGQEU 50-59 years, male 187.1
GTEX-11ZUS-0626-SM-59885 30-39 years, male 186.9
GTEX-WFON-2126-SM-3LK7O 40-49 years, male 186.7
GTEX-11GSP-2526-SM-5N9BP 60-69 years, female 186.4
GTEX-1QW4Y-1526-SM-EAZ3Z 30-39 years, male 186.2
GTEX-131XG-2626-SM-5KM17 50-59 years, female 186.1
GTEX-V1D1-2226-SM-3NMAX 50-59 years, male 186.1
GTEX-1JKYN-1326-SM-CGQG9 30-39 years, male 186.0
GTEX-1H1E6-1726-SM-ACKVK 30-39 years, male 185.9
GTEX-1128S-2326-SM-5GZZY 60-69 years, female 185.8
GTEX-1HBPN-0226-SM-9YFM1 50-59 years, male 185.6
GTEX-13W3W-2426-SM-5LU5B 60-69 years, female 185.5
GTEX-1J1R8-1726-SM-ARL8M 40-49 years, male 185.4
GTEX-1LNCM-1126-SM-E9U5E 50-59 years, female 185.3
GTEX-16AAH-1726-SM-7939C 50-59 years, male 184.9
GTEX-1E1VI-0126-SM-7DHMZ 50-59 years, male 184.9
GTEX-1LSNM-1926-SM-E6CII 50-59 years, male 184.8
GTEX-1B97I-1626-SM-73KYO 40-49 years, male 184.7
GTEX-WH7G-2326-SM-3NMBC 40-49 years, male 184.2
GTEX-1A8FM-0226-SM-7SB7Q 50-59 years, female 184.1
GTEX-T6MO-1626-SM-32QOM 40-49 years, female 183.9
GTEX-ZYW4-0126-SM-5E44A 60-69 years, male 183.9
GTEX-1QP29-0626-SM-EWRMX 50-59 years, male 183.6
GTEX-14PN3-2426-SM-6LLHS 60-69 years, female 183.3
GTEX-169BO-1326-SM-9MQK2 50-59 years, male 183.3
GTEX-16NPX-0226-SM-79OMT 50-59 years, male 183.1
GTEX-R45C-0126-SM-EAZ2R 60-69 years, female 183.0
GTEX-16YQH-0126-SM-7DUFJ 30-39 years, male 182.9
GTEX-1S82Y-2026-SM-EVYCM 40-49 years, male 182.9
GTEX-11P81-2326-SM-59875 30-39 years, female 182.8
GTEX-13OW7-0126-SM-5MR3B 50-59 years, male 182.4
GTEX-17EUY-0426-SM-793BD 20-29 years, male 182.4
GTEX-11VI4-1726-SM-5CVLH 40-49 years, female 182.3
GTEX-QLQ7-1626-SM-2S1R8 60-69 years, male 181.7
GTEX-1IDJU-2626-SM-CM2RT 60-69 years, female 181.0
GTEX-13NZA-0226-SM-5K7Z7 60-69 years, male 180.8
GTEX-17GQL-2026-SM-718BA 60-69 years, male 180.6
GTEX-X62O-0126-SM-4E3JN 50-59 years, male 179.8
GTEX-12WSG-2826-SM-E9J4H 50-59 years, female 179.7
GTEX-ZXG5-0126-SM-5GIEU 60-69 years, male 179.3
GTEX-1HFI7-1826-SM-ACKXH 50-59 years, female 179.3
GTEX-WOFL-0126-SM-3MJG2 60-69 years, male 178.7
GTEX-11TTK-0126-SM-5987B 60-69 years, female 178.4
GTEX-1PBJI-0526-SM-E8VNK 20-29 years, female 178.0
GTEX-1N2DV-0226-SM-E6CJ6 40-49 years, male 177.0
GTEX-1HUB1-0426-SM-E9U4U 60-69 years, male 176.8
GTEX-12C56-1726-SM-5EQ61 20-29 years, male 176.6
GTEX-1GTWX-0126-SM-9YFLK 60-69 years, male 176.5
GTEX-1MA7X-2226-SM-E6CIY 60-69 years, male 175.7
GTEX-ZEX8-2426-SM-4WKG4 50-59 years, male 175.0
GTEX-TSE9-0126-SM-3DB83 60-69 years, female 174.9
GTEX-16NGA-1726-SM-731B4 40-49 years, female 174.8
GTEX-Y8LW-1826-SM-5S2MV 50-59 years, female 174.2
GTEX-13RTJ-2426-SM-5S2Q2 60-69 years, male 174.0
GTEX-ZZPT-0226-SM-5E43X 50-59 years, male 173.8
GTEX-1F5PK-2426-SM-7RHHY 50-59 years, male 173.8
GTEX-1JMOU-1526-SM-CL54I 60-69 years, female 173.2
GTEX-QLQW-1126-SM-2S1Q8 30-39 years, male 173.0
GTEX-OXRL-0126-SM-2YUMP 50-59 years, male 172.8
GTEX-1QP2A-0126-SM-E9J43 50-59 years, male 172.4
GTEX-RN64-0126-SM-2TC68 50-59 years, male 172.1
GTEX-139T4-0226-SM-5HL5S 50-59 years, female 170.4
GTEX-R55E-0126-SM-2TC5Y 20-29 years, male 170.1
GTEX-1AMEY-1326-SM-73KYK 30-39 years, female 169.7
GTEX-1K9T9-0126-SM-EVYCF 50-59 years, female 169.3
GTEX-11NSD-2226-SM-5986V 20-29 years, male 169.2
GTEX-14PHW-0126-SM-6LLJI 60-69 years, female 168.8
GTEX-P44H-0226-SM-2XCEU 40-49 years, male 167.9
GTEX-QDT8-0126-SM-48TZ1 30-39 years, female 167.7
GTEX-OIZF-0126-SM-7SB8I 60-69 years, male 167.7
GTEX-14A6H-0126-SM-5QGPK 30-39 years, male 167.3
GTEX-1AMFI-2026-SM-731BH 50-59 years, female 166.8
GTEX-1GL5R-1826-SM-9KNUY 50-59 years, male 164.3
GTEX-14E7W-0126-SM-6LLJ9 70-79 years, male 164.1
GTEX-1C6VS-0526-SM-7DUEN 60-69 years, male 164.0
GTEX-OHPM-0126-SM-2YUN9 50-59 years, male 163.5
GTEX-1HKZK-0326-SM-9WYUH 40-49 years, male 162.5
GTEX-R55G-2526-SM-2TC6D 40-49 years, female 161.9
GTEX-13OVG-1926-SM-5L3DK 60-69 years, male 161.3
GTEX-1IE54-0126-SM-CMKHW 40-49 years, female 160.9
GTEX-PLZ5-2026-SM-2S1O4 50-59 years, male 159.4
GTEX-146FR-1326-SM-E9J48 60-69 years, female 158.2
GTEX-U4B1-1826-SM-4DXSU 40-49 years, male 157.8
GTEX-1I1HK-0126-SM-COH49 60-69 years, male 157.4
GTEX-U3ZM-1526-SM-3DB9D 40-49 years, male 157.1
GTEX-ZF28-0126-SM-4WKGK 60-69 years, male 156.8
GTEX-1B8KZ-2026-SM-7DHMB 50-59 years, male 155.0
GTEX-14JIY-0126-SM-6LLH6 60-69 years, male 154.8
GTEX-ZUA1-0126-SM-5GU76 40-49 years, male 153.7
GTEX-1I1GS-0126-SM-B2LVW 60-69 years, male 153.3
GTEX-1HCU9-1526-SM-A9SL7 20-29 years, male 151.8
GTEX-1OJC4-0126-SM-E9J2E 50-59 years, female 151.5
GTEX-113IC-0126-SM-5HL6T 60-69 years, male 148.2
GTEX-1HBPH-0426-SM-B2LW5 40-49 years, female 134.9
GTEX-U3ZN-2326-SM-3DB7W 30-39 years, female 118.5
Show allShow less

Contact

  • NEWS ARTICLES
  • PRESS ROOM

The Project

  • INTRODUCTION
  • ORGANIZATION
  • PUBLICATIONS

The Human Protein Atlas

  • DOWNLOADABLE DATA
  • LICENCE & CITATION
  • HELP & FAQ
The Human Protein Atlas project is funded
by the Knut & Alice Wallenberg Foundation.


contact@proteinatlas.org