We use cookies to enhance the usability of our website. If you continue, we'll assume that you are happy to receive all cookies. More information. Don't show this again.
HNRNPA1
HPA
RESOURCES
  • TISSUE
  • BRAIN
  • SINGLE CELL
  • SUBCELLULAR
  • CANCER
  • BLOOD
  • CELL LINE
  • STRUCTURE & INTERACTION
ABOUT
  • INTRODUCTION
  • HISTORY
  • ORGANIZATION
  • PUBLICATIONS
  • ANTIBODY SUBMISSION
  • ANTIBODY AVAILABILITY
  • ACKNOWLEDGMENTS
  • CONTACT
NEWS
  • NEWS ARTICLES
  • PRESS ROOM
LEARN
  • DICTIONARY
  • PROTEIN CLASSES
  • PROTEIN EVIDENCE
  • METHODS
  • EDUCATIONAL VIDEOS
DATA
  • DOWNLOADABLE DATA
  • PUBLICATION DATA
  • RELEASE HISTORY
HELP
  • ANTIBODY VALIDATION
  • ASSAYS & ANNOTATION
  • DISCLAIMER
  • HELP & FAQ
  • PRIVACY STATEMENT
  • LICENCE & CITATION
Fields »
Search result

Field
Term
Gene name
Class
Subclass
Class
Keyword
Chromosome
External id
Tissue
Cell type
Expression
Antibody panel
Tissue
Main location
Patient ID
Annotation
Tissue
Category
Tau score
Cluster
Reliability
Brain region
Category
Tau score
Brain region
Category
Tau score
Brain region
Category
Tau score
Cluster
Reliability
Tissue
Cell type
Enrichment
Cell type
Category
Tau score
Cell type
Category
Tau score
Cell type
Category
Tau score
Cell lineage
Category
Tau score
Cluster
Cluster
Location
Searches
Location
Cell line
Class
Type
Phase
Reliability
Cancer
Prognosis
Cancer
Category
Cancer
Category
Tau score
Cluster
Variants
Interacting gene (ensg_id)
Type
Number of interactions
Pathway
Category
Score
Score
Score
Validation
Validation
Validation
Validation
Antibodies
Data type
Column


  • SUMMARY

  • TISSUE

  • BRAIN

  • SINGLE CELL

  • SUBCELL

  • CANCER

  • BLOOD

  • CELL LINE

  • STRUCT & INT

  • HNRNPA1
TISSUE PRIMARY DATA BREAST Show tissue menu
ADIPOSE TISSUE ADRENAL GLAND AMYGDALA APPENDIX BASAL GANGLIA BONE MARROW BREAST BRONCHUS CEREBELLUM CEREBRAL CORTEX CERVIX CHOROID PLEXUS COLON DUODENUM
ENDOMETRIUM EPIDIDYMIS ESOPHAGUS FALLOPIAN TUBE GALLBLADDER HEART MUSCLE HIPPOCAMPAL FORMATION HYPOTHALAMUS KIDNEY LIVER LUNG LYMPH NODE MIDBRAIN NASOPHARYNX
ORAL MUCOSA OVARY PANCREAS PARATHYROID GLAND PITUITARY GLAND PLACENTA PROSTATE RECTUM RETINA SALIVARY GLAND SEMINAL VESICLE SKELETAL MUSCLE SKIN SMALL INTESTINE
SMOOTH MUSCLE SOFT TISSUE SPINAL CORD SPLEEN STOMACH TESTIS THYMUS THYROID GLAND TONGUE TONSIL URINARY BLADDER VAGINA
ANTIBODIES
AND
VALIDATION
Dictionary
Breast
Tissue proteome
Breast
BREAST - Expression summary
Protein expression
Breasti

On the top, protein expression in current human tissue, based on all annotated cell types, is reported with the units not detected (n), low (l), medium (m) and high (h). Underneath, protein expression in each annotated cell type are reported using the same units.

Protein expression data is based on knowledge-based annotation. For genes where more than one antibody has been used, a collective score is set.

If knowledge-based annotation could not be performed for a gene, no data is displayed here. View antibody staining data further down this page.

h
m
l
n
Adipocytes: Medium
Glandular cells: High
Myoepithelial cells: High
RNA expressioni

A summary of mRNA expression data available for current tissue based on several datasets. The mRNA expression levels in human tissues are based on RNA-seq data generated by the Human Protein Atlas (HPA), Genotype-Tissue Expression (GTEx) portal and CAGE data generated by the FANTOM5 consortium. Consensus normalized expression levels for human tissues was created by combining the data from HPA and GTEx datasets.

The mRNA expression levels in pig are based on RNA-seq data generated by the Human Protein Atlas (HPA), and for mouse, HPA data and in situ hybridization generated by the Allen brain atlas are reported.

Scroll down to view mRNA expression data in more detail.
Consensus:619.4 nTPM
HPA:619.4 nTPM
GTEx:489.6 nTPM
FANTOM5:8.2 Scaled Tags Per Million

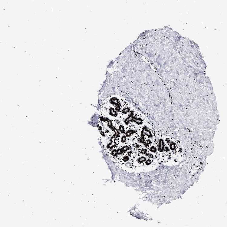
BREAST - Antibody stainingi

Antibody staining in the annotated cell types in the current human tissue is reported as not detected, low, medium, or high, based on conventional immunohistochemistry profiling in selected tissues. This score is based on the combination of the staining intensity and fraction of stained cells.

Each image is clickable and will lead to virtual microscopy that enables deeper exploration of all samples and also displays staining intensity scores, fraction scores and subcellular localization as well as patient and tissue information for each sample.

Antibody HPA001609Antibody HPA001666Antibody CAB010894
Adipocytes Medium--
Glandular cells HighHighHigh
Myoepithelial cells HighHighHigh




BREAST - HPA RNA-seqi

The RNA-seq details section shows detailed information about the individual samples used for the transcript profiling and results of the RNA-seq analysis.

Information about each individual sample is listed below, including gender, age, a tissue section image and estimated fractions of cell types. nTPM (normalized transcripts per million) values give a quantification of the gene abundance which is comparable between different genes and samples.
Average nTPMi

Max subtype nTPM is the value for the subtype with the largest average nTPM across the subtype samples.

619.4
overview
Female, age 52
Breast sample 373
nTPM: 642.8
Cell types%
Glandular cells:
15

Adipocytes:
5

Other cell types:
80

overview
Female, age 80
Breast sample 390
nTPM: 402.4
Cell types%
Glandular cells:
5

Adipocytes:
15

Other cell types:
80

overview
Female, age 47
Breast sample 405
nTPM: 445.8
Cell types%
Glandular cells:
5

Adipocytes:
5

Other cell types:
90

overview
Female, age 38
Breast sample 410
nTPM: 986.4
Cell types%
Glandular cells:
40

Adipocytes:
5

Other cell types:
55


BREAST - GTEx RNA-seqi

RNA-Seq data generated by the Genotype-Tissue Expression (GTEx) project from human tissues is reported as mean nTPM. More information can be found on the GTEx portal.

Distribution across the dataset is visualized with box plots, shown as median and 25th and 75th percentiles. Points are displayed as outliers if they are above or below 1.5 times the interquartile range. nTPM values of the individual samples are presented next to the box plot.
Max subtype nTPMi

Max subtype nTPM is the value for the subtype with the largest average nTPM across the subtype samples.

489.6
GTEx sample id Sample description nTPM
Breast - Mammary Tissue
Average nTPM: 489.6
Samples: 459

Max nTPM: 1079.5
Min nTPM: 207.4
Std nTPM: 127.5
Median nTPM: 473.9
GTEX-1N2EF-2226-SM-E9J33 60-69 years, male 1079.5
GTEX-1IDJH-2226-SM-E6CJV 70-79 years, male 1069.6
GTEX-1LSVX-2426-SM-E6CJX 60-69 years, male 961.9
GTEX-14E6C-1326-SM-62LEQ 40-49 years, male 951.9
GTEX-13FHO-0826-SM-5L3E8 60-69 years, male 951.7
GTEX-13PVQ-1026-SM-5KM3M 50-59 years, male 925.0
GTEX-1CB4J-1826-SM-7EWF9 60-69 years, male 859.7
GTEX-1ICLY-1726-SM-B2LVT 50-59 years, male 856.9
GTEX-1ICLZ-0426-SM-B2LW2 60-69 years, male 847.5
GTEX-1MCYP-0126-SM-E6CIS 20-29 years, female 844.8
GTEX-1JN6P-2426-SM-ARL99 60-69 years, male 835.7
GTEX-1JMLX-2026-SM-CMKGN 50-59 years, male 806.1
GTEX-ZYW4-0826-SM-5GIDG 60-69 years, male 793.7
GTEX-X261-0626-SM-3NMD9 50-59 years, male 790.5
GTEX-14PN4-0626-SM-62LFP 50-59 years, male 772.9
GTEX-1IDFM-0426-SM-B2LVV 60-69 years, male 756.8
GTEX-1H1DG-0526-SM-9YFLN 70-79 years, male 746.5
GTEX-ZTX8-1226-SM-4YCE9 20-29 years, male 744.6
GTEX-18A66-1726-SM-7LG5N 60-69 years, male 740.9
GTEX-1S82Z-0726-SM-E6CHX 30-39 years, female 736.3
GTEX-14PJO-0726-SM-69LO8 60-69 years, male 733.0
GTEX-1B8SG-1226-SM-7IGPF 50-59 years, male 732.1
GTEX-ZA64-1526-SM-5CVMD 20-29 years, male 716.0
GTEX-11DZ1-0326-SM-5N9BN 50-59 years, male 705.4
GTEX-13O3Q-2226-SM-5KM4O 50-59 years, male 702.3
GTEX-14753-2426-SM-5LU8U 60-69 years, male 702.2
GTEX-ZLFU-2126-SM-DO931 40-49 years, male 702.1
GTEX-W5X1-2326-SM-3GIL6 40-49 years, female 700.2
GTEX-1F75I-2026-SM-7SB7N 40-49 years, male 698.6
GTEX-13SLW-2526-SM-62LDQ 70-79 years, male 693.4
GTEX-X4XY-0926-SM-4E3JD 60-69 years, male 687.2
GTEX-17EVQ-0426-SM-7LG57 70-79 years, male 678.4
GTEX-1JMQK-2626-SM-COH2W 60-69 years, male 678.1
GTEX-11P82-1326-SM-5HL62 20-29 years, male 677.6
GTEX-1211K-1926-SM-5EQLB 60-69 years, female 675.2
GTEX-145MF-2226-SM-7EPIR 50-59 years, male 674.6
GTEX-1HBPM-0126-SM-ARL9E 60-69 years, female 674.0
GTEX-183WM-0726-SM-7LTAA 70-79 years, female 672.6
GTEX-WFG8-2026-SM-EXOHO 20-29 years, male 672.4
GTEX-1F5PL-1026-SM-7RHI1 40-49 years, female 670.5
GTEX-13N1W-0626-SM-5MR4U 70-79 years, male 662.9
GTEX-1M4P7-2626-SM-E9U5F 60-69 years, male 661.5
GTEX-1POEN-0926-SM-DTX88 30-39 years, female 655.9
GTEX-REY6-2426-SM-48FF5 60-69 years, male 655.1
GTEX-1I1GP-0426-SM-COH3N 50-59 years, male 654.9
GTEX-1I1GT-1126-SM-ARL7J 60-69 years, female 652.8
GTEX-1GZ2Q-2626-SM-7MXV9 40-49 years, male 652.6
GTEX-1A3MX-2726-SM-718B6 60-69 years, male 648.1
GTEX-1J8Q2-2726-SM-A9G2X 60-69 years, male 646.8
GTEX-11EM3-1326-SM-5N9C6 20-29 years, female 646.3
GTEX-17F97-2526-SM-7EWDV 50-59 years, male 645.9
GTEX-QEG5-0726-SM-D4P1T 20-29 years, male 645.8
GTEX-T2IS-1526-SM-32QPR 20-29 years, female 642.5
GTEX-14PKU-0426-SM-6EU1P 40-49 years, female 641.9
GTEX-1RLM8-2226-SM-EVYD1 50-59 years, male 640.9
GTEX-1I6K6-0826-SM-ARL7Z 30-39 years, male 639.3
GTEX-1C6VQ-0426-SM-79OOX 50-59 years, male 638.0
GTEX-1IDJF-2326-SM-ARL86 20-29 years, male 636.9
GTEX-13O3O-0826-SM-5K7WE 60-69 years, female 634.6
GTEX-1I1GU-1026-SM-ADEHJ 40-49 years, male 631.8
GTEX-1JN1M-3026-SM-CMKGK 60-69 years, female 628.9
GTEX-17EUY-1926-SM-7DUF6 20-29 years, male 627.6
GTEX-WI4N-1426-SM-3LK7H 40-49 years, female 622.5
GTEX-17HG3-0126-SM-7IGNH 30-39 years, female 622.1
GTEX-Z9EW-1526-SM-EZ6LU 40-49 years, male 621.7
GTEX-WOFL-0826-SM-3MJG1 60-69 years, male 620.7
GTEX-QDT8-0626-SM-48TYW 30-39 years, female 619.9
GTEX-1JK1U-1826-SM-ARL8W 60-69 years, male 619.9
GTEX-Y8LW-1626-SM-5IFHX 50-59 years, female 619.6
GTEX-Y9LG-1426-SM-5IFJZ 30-39 years, male 617.8
GTEX-1PDJ9-1126-SM-EXUSW 20-29 years, male 614.7
GTEX-1HCU7-1026-SM-ADEIP 50-59 years, male 614.4
GTEX-1H23P-0726-SM-9WG7K 60-69 years, male 613.5
GTEX-ZGAY-1726-SM-DO91P 40-49 years, female 612.9
GTEX-1IGQW-0926-SM-ADEH6 60-69 years, male 609.3
GTEX-17F9E-2526-SM-7MGW2 50-59 years, male 607.4
GTEX-1JMOU-2026-SM-CMKGU 60-69 years, female 604.6
GTEX-17MF6-0326-SM-7EPH5 40-49 years, male 604.3
GTEX-1CAMS-1426-SM-7IGPM 40-49 years, female 600.2
GTEX-139T6-1626-SM-5PNYZ 50-59 years, male 597.5
GTEX-1AX9J-1126-SM-731B7 60-69 years, male 595.9
GTEX-11TT1-2126-SM-5GU5Y 20-29 years, male 595.8
GTEX-1HCU8-0126-SM-ADEHH 60-69 years, female 595.2
GTEX-1GF9V-2526-SM-7SB8K 60-69 years, male 592.9
GTEX-1GN1W-1926-SM-7P8TH 50-59 years, female 589.5
GTEX-1PPGY-1526-SM-EVYBK 60-69 years, male 589.2
GTEX-13113-5013-SM-7SB7G 60-69 years, female 586.5
GTEX-S32W-2026-SM-4AD6E 50-59 years, female 584.6
GTEX-ZAJG-0626-SM-5HL8X 50-59 years, female 584.6
GTEX-1192X-2326-SM-5987X 50-59 years, male 583.6
GTEX-1IKOE-1326-SM-CE6T6 30-39 years, female 583.0
GTEX-1J8QM-2026-SM-ARZMW 60-69 years, female 581.3
GTEX-XBED-1626-SM-47JYN 60-69 years, male 580.5
GTEX-1NV8Z-2826-SM-E8VME 60-69 years, male 578.0
GTEX-11WQK-2426-SM-5GU5C 50-59 years, male 577.5
GTEX-1F75B-0626-SM-7SB8A 50-59 years, male 575.9
GTEX-1HSMO-0826-SM-ADEIV 60-69 years, male 574.6
GTEX-1KAFJ-0226-SM-DIPEL 50-59 years, male 574.5
GTEX-1JJE9-2326-SM-ARL8Q 70-79 years, male 570.5
GTEX-15G19-2126-SM-6M48J 60-69 years, male 569.5
GTEX-16NGA-0826-SM-718AF 40-49 years, female 569.0
GTEX-1C6VS-0726-SM-7EPHF 60-69 years, male 567.9
GTEX-VJWN-0726-SM-3GIJ8 50-59 years, female 563.7
GTEX-1JJEA-2726-SM-ARL8V 60-69 years, male 563.0
GTEX-133LE-1726-SM-5K7VQ 20-29 years, female 559.9
GTEX-1C6WA-2426-SM-7SB86 60-69 years, male 559.8
GTEX-139T8-0826-SM-5L3DE 60-69 years, male 559.6
GTEX-15EOM-5019-SM-793DK 20-29 years, female 558.4
GTEX-1GPI7-0926-SM-7PC3J 20-29 years, male 558.3
GTEX-1HCU9-0326-SM-9WYSC 20-29 years, male 556.4
GTEX-1QMI2-0726-SM-E9J4F 60-69 years, male 555.3
GTEX-1LGRB-1826-SM-CNPQL 50-59 years, female 554.3
GTEX-1314G-1226-SM-5BC6D 30-39 years, male 553.0
GTEX-Y114-2026-SM-4TT7L 50-59 years, female 551.8
GTEX-1GPI6-0626-SM-7RHHJ 60-69 years, male 549.8
GTEX-1QP9N-1826-SM-E8VMP 30-39 years, male 549.6
GTEX-13D11-1026-SM-5IJFB 50-59 years, female 547.9
GTEX-15SHW-1326-SM-6PAL8 60-69 years, male 547.6
GTEX-1IOXB-1926-SM-ARL8E 50-59 years, male 546.4
GTEX-1E2YA-2726-SM-7IGPW 50-59 years, male 543.0
GTEX-13PL6-2926-SM-5L3I2 40-49 years, female 542.7
GTEX-WYJK-1326-SM-3NB2T 50-59 years, male 541.8
GTEX-ZTTD-1026-SM-51MRD 50-59 years, male 539.8
GTEX-14H4A-2526-SM-5YYAY 40-49 years, female 539.1
GTEX-1HT8W-2226-SM-CGQEC 30-39 years, male 539.1
GTEX-131XW-0726-SM-5EGK3 50-59 years, female 538.8
GTEX-1JMPZ-1626-SM-COH31 30-39 years, male 538.5
GTEX-R3RS-0626-SM-48FE1 40-49 years, female 538.4
GTEX-13SLX-2326-SM-5ZZWE 50-59 years, female 536.9
GTEX-1C475-1226-SM-7SB72 40-49 years, female 534.6
GTEX-1HKZK-1826-SM-ADEJ2 40-49 years, male 533.6
GTEX-1AMEY-1026-SM-718AA 30-39 years, female 533.1
GTEX-1ICG6-1326-SM-ACKWR 70-79 years, female 532.9
GTEX-1J8Q3-1326-SM-CMKI1 60-69 years, male 531.5
GTEX-1GF9U-1726-SM-7MGY5 40-49 years, female 529.2
GTEX-Y3I4-1526-SM-4TT7K 50-59 years, male 527.0
GTEX-S4UY-0726-SM-4AD6X 40-49 years, female 526.8
GTEX-17F98-0526-SM-79OK5 40-49 years, female 526.1
GTEX-1B8KZ-1526-SM-7DUG7 50-59 years, male 526.0
GTEX-S4Q7-1126-SM-4AD6R 20-29 years, male 526.0
GTEX-1117F-2826-SM-5GZXL 60-69 years, female 525.4
GTEX-QEL4-2126-SM-447AE 50-59 years, male 525.2
GTEX-1GMR3-2626-SM-7RHHG 40-49 years, male 524.7
GTEX-14ICK-2426-SM-6EU27 40-49 years, male 523.8
GTEX-1PPH7-0826-SM-E8VNX 40-49 years, male 522.7
GTEX-1KD5A-1926-SM-DKPQA 50-59 years, male 522.3
GTEX-1CAMR-1426-SM-793BO 20-29 years, male 521.3
GTEX-1A3MV-1626-SM-731C1 30-39 years, male 521.0
GTEX-1HCUA-0726-SM-ACKVU 50-59 years, female 520.8
GTEX-18A7A-0726-SM-7LTAI 50-59 years, female 519.4
GTEX-1GMR2-1926-SM-9MQLZ 50-59 years, male 517.9
GTEX-TKQ1-0226-SM-33HB5 30-39 years, male 516.5
GTEX-U412-1826-SM-4DXTJ 60-69 years, male 516.5
GTEX-13O3P-0826-SM-5L3DH 50-59 years, male 516.0
GTEX-11O72-2126-SM-5N9FO 40-49 years, male 514.9
GTEX-Y5LM-1726-SM-4VDSX 40-49 years, female 513.1
GTEX-12WSM-1726-SM-5BC6J 60-69 years, male 513.0
GTEX-13CF3-2126-SM-5IFJP 60-69 years, female 512.9
GTEX-1MJK2-2226-SM-EVYCR 50-59 years, male 511.1
GTEX-1LC47-1226-SM-D4P44 60-69 years, male 510.0
GTEX-1KD4Q-2326-SM-D4P3M 40-49 years, male 508.9
GTEX-WFON-1826-SM-3GILG 40-49 years, male 508.8
GTEX-11LCK-2426-SM-5HL5F 30-39 years, male 506.3
GTEX-15ER7-1626-SM-6PAMZ 20-29 years, female 505.2
GTEX-13O61-1826-SM-5KM4I 60-69 years, male 504.4
GTEX-1K2DA-1726-SM-CGQGS 50-59 years, male 504.1
GTEX-1HSGN-1526-SM-A9SMO 40-49 years, female 503.4
GTEX-1QPFJ-2026-SM-EVYBE 30-39 years, female 501.7
GTEX-11TUW-1826-SM-5BC5D 60-69 years, male 501.5
GTEX-1QP29-1726-SM-E8VMQ 50-59 years, male 500.1
GTEX-1MA7W-1026-SM-DKPQK 20-29 years, female 499.6
GTEX-UPK5-2326-SM-3P5Z8 40-49 years, male 499.0
GTEX-14BMV-0626-SM-793AU 50-59 years, male 498.7
GTEX-1P4AB-1826-SM-E76PU 50-59 years, male 498.6
GTEX-1I4MK-1626-SM-CM2TJ 50-59 years, female 498.4
GTEX-1GZ4H-0326-SM-7P8QX 50-59 years, female 498.2
GTEX-ZY6K-1626-SM-5GZWV 50-59 years, male 498.1
GTEX-1HCVE-2626-SM-ADEJ8 50-59 years, male 497.9
GTEX-11GSP-0926-SM-9WYSG 60-69 years, female 496.3
GTEX-111YS-1926-SM-5GICC 60-69 years, male 496.2
GTEX-1CB4E-0226-SM-79OLW 60-69 years, male 495.8
GTEX-ZVT2-1826-SM-5NQ8W 50-59 years, female 495.6
GTEX-YFCO-1826-SM-4W1YH 40-49 years, male 494.7
GTEX-ZF3C-2326-SM-5S2NC 50-59 years, female 494.4
GTEX-1MCC2-2126-SM-EWRON 30-39 years, female 493.3
GTEX-16BQI-1026-SM-7KUEA 30-39 years, female 493.2
GTEX-1HUB1-1626-SM-CM2SL 60-69 years, male 493.1
GTEX-1A8G7-2426-SM-731AK 60-69 years, male 492.9
GTEX-1B97I-0426-SM-79OL7 40-49 years, male 492.9
GTEX-1OKEX-0826-SM-E9J2B 60-69 years, male 492.5
GTEX-132NY-0826-SM-5K7Y7 60-69 years, male 491.3
GTEX-1HC8U-0826-SM-ADEIL 40-49 years, female 491.3
GTEX-T6MO-0326-SM-32QOK 40-49 years, female 490.0
GTEX-T5JW-2026-SM-4DM63 20-29 years, female 489.8
GTEX-14BMU-1626-SM-5TDE7 20-29 years, female 489.4
GTEX-1B933-2526-SM-7IGO5 50-59 years, female 489.1
GTEX-1HR9M-2426-SM-ACKXI 60-69 years, male 489.1
GTEX-Y3IK-2326-SM-4WWDT 50-59 years, female 489.0
GTEX-ZV6S-1826-SM-5NQ8D 40-49 years, female 487.9
GTEX-14PJ4-2126-SM-6ETZJ 60-69 years, male 487.2
GTEX-145LT-0726-SM-5S2VM 40-49 years, male 486.6
GTEX-1H3VY-0926-SM-ACKXE 50-59 years, male 485.8
GTEX-XMD2-0926-SM-4WWEF 60-69 years, female 485.7
GTEX-T2YK-2226-SM-32QPT 50-59 years, male 485.6
GTEX-131YS-0626-SM-5EGKL 60-69 years, female 484.5
GTEX-ZEX8-2226-SM-57WC6 50-59 years, male 483.1
GTEX-13W3W-1226-SM-5LU4H 60-69 years, female 482.9
GTEX-UTHO-1026-SM-3GAF7 60-69 years, male 482.9
GTEX-12WSN-1326-SM-5GCNT 40-49 years, male 482.3
GTEX-1R46S-2526-SM-E8VN2 60-69 years, female 481.7
GTEX-ZZ64-1226-SM-5E43R 20-29 years, male 481.6
GTEX-1L5NE-2126-SM-CY8IH 50-59 years, male 481.4
GTEX-ZWKS-2826-SM-5NQ74 30-39 years, male 481.1
GTEX-14A5I-0726-SM-5TDEB 50-59 years, female 480.8
GTEX-ZU9S-1926-SM-5NQBP 30-39 years, male 480.5
GTEX-15UF6-0126-SM-6PAMB 70-79 years, female 479.6
GTEX-XGQ4-0926-SM-4AT4U 50-59 years, male 478.5
GTEX-11DXW-0626-SM-5N9ER 40-49 years, male 478.2
GTEX-1JMPY-0526-SM-CL54O 30-39 years, male 478.0
GTEX-WYBS-0926-SM-3NM94 60-69 years, female 477.7
GTEX-14E7W-0826-SM-62LEJ 70-79 years, male 477.4
GTEX-1LVAM-0926-SM-E9TJ2 50-59 years, female 476.6
GTEX-TMMY-0726-SM-33HBE 40-49 years, female 475.8
GTEX-17GQL-0326-SM-7LG5U 60-69 years, male 475.6
GTEX-13W46-0826-SM-5LU3H 50-59 years, male 475.4
GTEX-1KXAM-1026-SM-CY8IA 60-69 years, male 475.3
GTEX-1399U-1826-SM-5PNZ1 50-59 years, female 474.8
GTEX-1QP28-1226-SM-E9J2M 50-59 years, female 474.3
GTEX-145MO-0826-SM-5NQBL 60-69 years, male 474.1
GTEX-132AR-0826-SM-5EGK6 50-59 years, female 473.9
GTEX-1IDJE-0826-SM-CKZNZ 50-59 years, female 473.8
GTEX-17JCI-0726-SM-7EPH1 60-69 years, female 473.1
GTEX-ZPIC-1126-SM-5BC7F 40-49 years, female 473.1
GTEX-1GN1U-0526-SM-9KNTT 50-59 years, female 470.6
GTEX-X62O-0526-SM-EWRMA 50-59 years, male 470.3
GTEX-1H1CY-2226-SM-9WG7E 60-69 years, female 469.9
GTEX-YFC4-1426-SM-5IFJG 40-49 years, female 469.6
GTEX-ZC5H-2626-SM-5J2MG 40-49 years, female 468.2
GTEX-13QJ3-0826-SM-7DHKK 50-59 years, male 465.9
GTEX-SE5C-2126-SM-4BRUJ 40-49 years, female 463.6
GTEX-146FH-0826-SM-5SI8T 50-59 years, female 463.3
GTEX-U3ZH-1426-SM-4DXSR 30-39 years, male 462.9
GTEX-U8XE-0826-SM-4E3J1 30-39 years, male 461.8
GTEX-12WSK-2226-SM-5GCO5 40-49 years, female 461.2
GTEX-ZT9W-2026-SM-51MRA 50-59 years, male 460.1
GTEX-ZVT4-1026-SM-57WC4 50-59 years, female 459.5
GTEX-1H1E6-0926-SM-9YFLT 30-39 years, male 459.2
GTEX-XMD1-0826-SM-4AT52 60-69 years, male 458.8
GTEX-1I19N-2826-SM-CL55D 70-79 years, male 458.8
GTEX-1S82U-1126-SM-E9U6I 30-39 years, female 458.1
GTEX-1M5QR-2526-SM-E9U5P 40-49 years, male 457.5
GTEX-1AX9I-0726-SM-73KWV 60-69 years, male 457.3
GTEX-1EKGG-2626-SM-7IGPY 60-69 years, male 456.8
GTEX-ZLWG-1926-SM-DO92J 50-59 years, female 456.5
GTEX-13QIC-2326-SM-5LU5N 60-69 years, female 456.4
GTEX-15FZZ-0726-SM-7KUFZ 30-39 years, female 455.1
GTEX-UJHI-1426-SM-3DB9C 50-59 years, female 454.9
GTEX-WRHU-0326-SM-3MJFY 50-59 years, female 454.3
GTEX-13NZ8-0126-SM-5IJCT 60-69 years, female 453.6
GTEX-1H1ZS-0126-SM-9YFKQ 70-79 years, male 453.6
GTEX-R55D-0826-SM-48FEA 50-59 years, male 450.8
GTEX-RUSQ-2026-SM-4GIAK 50-59 years, male 450.8
GTEX-ZV7C-1826-SM-5NQ83 50-59 years, male 450.8
GTEX-ZVE2-1226-SM-5NQ8R 50-59 years, male 450.8
GTEX-13FTW-1426-SM-5LZWZ 40-49 years, male 450.1
GTEX-11EQ9-1826-SM-5Q5AJ 30-39 years, male 449.6
GTEX-1B8KE-1226-SM-73KWK 50-59 years, male 448.4
GTEX-1NUQO-2226-SM-E9U68 20-29 years, female 448.3
GTEX-1NHNU-0926-SM-E9J2T 50-59 years, male 448.2
GTEX-1R9JW-0326-SM-EAZ45 30-39 years, female 446.1
GTEX-18A6Q-0926-SM-7LG4N 60-69 years, male 445.6
GTEX-YB5K-1626-SM-5IFIN 40-49 years, female 444.5
GTEX-1I6K7-1026-SM-A9SLK 40-49 years, male 444.3
GTEX-XYKS-1326-SM-4BRUN 60-69 years, female 444.2
GTEX-1R7EU-1226-SM-E8VMR 60-69 years, male 441.6
GTEX-TML8-1226-SM-32QON 40-49 years, female 441.1
GTEX-1QCLZ-2326-SM-DTXDO 60-69 years, female 440.9
GTEX-ZDTT-2126-SM-DKPOM 60-69 years, male 440.2
GTEX-RU72-0626-SM-46MUI 50-59 years, female 438.8
GTEX-11NV4-2026-SM-5N9DG 60-69 years, male 438.3
GTEX-13NZ9-1026-SM-5MR5K 50-59 years, male 438.3
GTEX-S341-1526-SM-4AD6K 40-49 years, female 435.7
GTEX-1122O-1226-SM-5H113 60-69 years, female 435.3
GTEX-X4EP-2926-SM-3P5YQ 60-69 years, female 435.1
GTEX-X15G-1626-SM-3NMB3 50-59 years, female 434.9
GTEX-11WQC-1726-SM-5GU4W 60-69 years, male 433.8
GTEX-12BJ1-1826-SM-5HL9N 60-69 years, male 432.5
GTEX-RWS6-1926-SM-47JXY 60-69 years, female 432.5
GTEX-VUSG-2226-SM-4KKZO 50-59 years, male 431.6
GTEX-1GMRU-0826-SM-9WYT7 50-59 years, male 430.7
GTEX-1GZHY-0726-SM-9WG6B 50-59 years, female 430.6
GTEX-15UF7-0726-SM-6M46D 40-49 years, male 430.0
GTEX-11DXY-2326-SM-5GICW 60-69 years, male 428.9
GTEX-144GM-0926-SM-5O994 20-29 years, male 428.8
GTEX-12ZZX-1126-SM-5EGKB 40-49 years, female 428.0
GTEX-S7SE-0826-SM-4AT4D 50-59 years, male 427.7
GTEX-RU1J-0626-SM-4WAWY 20-29 years, female 427.2
GTEX-T5JC-2126-SM-32PMO 20-29 years, male 427.2
GTEX-1IKJJ-2326-SM-COH3U 60-69 years, male 427.2
GTEX-13N11-1726-SM-5J1OJ 50-59 years, female 426.1
GTEX-PSDG-1626-SM-48TCQ 50-59 years, male 424.5
GTEX-13PVR-2226-SM-7DHKP 60-69 years, female 424.2
GTEX-1GF9X-1026-SM-ACKX2 40-49 years, female 423.7
GTEX-ZDXO-0126-SM-5S2ND 60-69 years, male 423.1
GTEX-17MFQ-0926-SM-7LG4S 20-29 years, male 422.4
GTEX-14B4R-1226-SM-5TDDT 30-39 years, male 422.2
GTEX-17EVP-0226-SM-79OND 40-49 years, male 421.1
GTEX-XV7Q-2326-SM-4BRVZ 40-49 years, female 420.6
GTEX-145MN-1926-SM-5SIAI 30-39 years, male 420.0
GTEX-ZDYS-1126-SM-5K7UB 50-59 years, male 420.0
GTEX-18QFQ-0826-SM-718AX 30-39 years, male 419.9
GTEX-147F4-2826-SM-5NQBN 50-59 years, male 418.9
GTEX-183FY-1126-SM-7DHLJ 20-29 years, male 418.0
GTEX-1GMR8-0726-SM-9KNVI 50-59 years, female 417.1
GTEX-1KANC-1426-SM-CYPT9 50-59 years, female 416.7
GTEX-13VXU-2826-SM-664MA 50-59 years, male 416.2
GTEX-13OW8-0226-SM-5K7UP 60-69 years, male 414.2
GTEX-1LSNL-2826-SM-E9U5L 50-59 years, male 413.1
GTEX-1C64O-0726-SM-7DUFU 60-69 years, male 412.6
GTEX-1J8EW-2626-SM-CL53E 60-69 years, female 412.3
GTEX-12KS4-0126-SM-5Q5A5 30-39 years, male 411.1
GTEX-1QCLY-1626-SM-DTXDW 30-39 years, male 409.7
GTEX-15RJE-2626-SM-7KFT1 40-49 years, male 409.6
GTEX-WXYG-2226-SM-4E3IM 50-59 years, female 409.6
GTEX-1AX8Z-0926-SM-731AW 60-69 years, male 408.8
GTEX-1KANA-2026-SM-DIPFB 20-29 years, male 408.8
GTEX-1313W-0826-SM-5EQ4T 50-59 years, female 408.4
GTEX-1LSNM-1326-SM-E9TJ1 50-59 years, male 407.7
GTEX-V955-2026-SM-3GAFA 60-69 years, male 407.5
GTEX-ZLV1-1426-SM-DO92Z 60-69 years, female 407.4
GTEX-1LVAN-1326-SM-CNPQE 50-59 years, female 407.1
GTEX-1EU9M-2826-SM-7EWFH 60-69 years, male 405.3
GTEX-Y8E4-1626-SM-5S2MW 40-49 years, male 404.9
GTEX-XMK1-1126-SM-4IHJ8 40-49 years, male 404.8
GTEX-1IDJU-1826-SM-CMKHV 60-69 years, female 404.7
GTEX-XOT4-0726-SM-4GIAW 60-69 years, female 404.5
GTEX-15ETS-0626-SM-7KUMX 40-49 years, female 404.3
GTEX-1GZ4I-2826-SM-9MQK5 50-59 years, male 403.9
GTEX-14LLW-0626-SM-62LFC 70-79 years, female 403.7
GTEX-ZF29-1926-SM-5S2P1 60-69 years, female 403.6
GTEX-1R7EV-1526-SM-E8VOD 40-49 years, male 403.6
GTEX-11OF3-1926-SM-59889 60-69 years, male 403.0
GTEX-ZYFC-0826-SM-5E44K 50-59 years, male 402.8
GTEX-1CB4G-2326-SM-79OOI 60-69 years, male 402.0
GTEX-13OW5-2226-SM-5L3HC 60-69 years, male 401.3
GTEX-1K9T9-1426-SM-DIPFQ 50-59 years, female 401.1
GTEX-11GSO-1926-SM-5A5K3 60-69 years, male 400.9
GTEX-1IKOH-2326-SM-CM2TW 60-69 years, female 400.5
GTEX-ZAB4-2526-SM-5HL8M 40-49 years, male 400.4
GTEX-1MA7X-1626-SM-E9U5B 60-69 years, male 400.3
GTEX-YECK-0726-SM-EZ6LV 60-69 years, male 399.5
GTEX-1QEPI-0926-SM-DTXF3 60-69 years, female 399.4
GTEX-18A7B-2626-SM-7LG55 70-79 years, male 398.2
GTEX-1B97J-0426-SM-79OLQ 50-59 years, female 397.2
GTEX-ZAK1-1326-SM-EVYAS 50-59 years, female 396.9
GTEX-11P7K-0726-SM-5EGKX 30-39 years, male 396.8
GTEX-Y111-2026-SM-4SOJA 50-59 years, male 396.7
GTEX-XUW1-2326-SM-4BOO5 50-59 years, female 396.0
GTEX-ZVZQ-0826-SM-51MRF 60-69 years, female 396.0
GTEX-S4P3-1326-SM-4AD6V 50-59 years, female 394.5
GTEX-1MJK3-1126-SM-E9J3F 20-29 years, male 394.5
GTEX-1HR98-0426-SM-COH36 60-69 years, male 394.2
GTEX-18D9A-1526-SM-7LG4J 30-39 years, female 393.7
GTEX-1RAZQ-1226-SM-EWRNL 30-39 years, male 393.6
GTEX-14PHY-1926-SM-5YY95 60-69 years, female 393.4
GTEX-17KNJ-2026-SM-7LG53 50-59 years, male 392.7
GTEX-11EMC-2026-SM-5A5JV 60-69 years, female 391.1
GTEX-1HBPN-2326-SM-9WPPU 50-59 years, male 391.0
GTEX-169BO-1126-SM-7MGWN 50-59 years, male 390.4
GTEX-ZUA1-1526-SM-59HLS 40-49 years, male 390.0
GTEX-139TU-0626-SM-5KM3X 60-69 years, male 387.7
GTEX-ZZPU-0626-SM-5E43T 50-59 years, female 386.5
GTEX-11I78-2226-SM-5PNYA 50-59 years, female 386.2
GTEX-1N5O9-1126-SM-DTXEQ 60-69 years, male 385.4
GTEX-17HGU-1326-SM-79OKB 50-59 years, male 385.0
GTEX-13NZB-2126-SM-5MR4Y 30-39 years, male 384.1
GTEX-1EWIQ-1726-SM-7SB7T 70-79 years, female 383.9
GTEX-13FTX-1126-SM-5N9EN 20-29 years, female 383.4
GTEX-1GN2E-2226-SM-9WG6J 60-69 years, male 383.2
GTEX-13CF2-2026-SM-5K7VI 60-69 years, male 382.8
GTEX-1EN7A-1426-SM-7PBY4 40-49 years, male 382.8
GTEX-1LG7Z-0726-SM-CXKYD 30-39 years, male 381.7
GTEX-1H11D-1526-SM-9MQJY 40-49 years, male 381.4
GTEX-1IE54-0626-SM-ARL8D 40-49 years, female 381.2
GTEX-1BAJH-0826-SM-7EWEF 70-79 years, male 381.1
GTEX-1LNCM-0226-SM-DIPF4 50-59 years, female 380.9
GTEX-1F5PK-2126-SM-7PC28 50-59 years, male 380.2
GTEX-14DAR-1326-SM-7DUEG 50-59 years, male 379.7
GTEX-ZVTK-0326-SM-51MRR 20-29 years, male 378.3
GTEX-117YX-1426-SM-5H12H 50-59 years, male 378.2
GTEX-Y5V5-2126-SM-4WWFO 60-69 years, female 375.9
GTEX-1I1HK-2426-SM-ADEHX 60-69 years, male 375.8
GTEX-1R9PN-0326-SM-DTX85 40-49 years, female 375.7
GTEX-17F96-2426-SM-7IGLN 70-79 years, male 375.3
GTEX-Q2AG-0326-SM-48U1O 40-49 years, female 374.9
GTEX-145ME-1526-SM-5Q5F2 40-49 years, female 373.4
GTEX-13S86-1226-SM-5S2OA 40-49 years, male 372.7
GTEX-14ABY-2126-SM-5QGQZ 50-59 years, male 372.1
GTEX-YB5E-1726-SM-5IFJ3 40-49 years, male 369.6
GTEX-1B932-0826-SM-73KXG 40-49 years, female 369.1
GTEX-18465-2026-SM-718AP 50-59 years, male 368.6
GTEX-1B8L1-2426-SM-9WYTE 60-69 years, male 368.5
GTEX-1HFI7-0126-SM-CGQFQ 50-59 years, female 368.4
GTEX-XQ3S-1326-SM-4BOPQ 20-29 years, male 367.7
GTEX-1N2EE-2126-SM-E8VNN 60-69 years, male 367.7
GTEX-11GS4-2126-SM-5A5KR 60-69 years, male 367.5
GTEX-S33H-0326-SM-4AD6N 30-39 years, male 362.5
GTEX-ZYT6-0126-SM-5E45J 30-39 years, male 362.1
GTEX-11EI6-0626-SM-5985T 60-69 years, male 361.7
GTEX-1F6I4-2526-SM-7SB8F 60-69 years, male 360.3
GTEX-11ONC-2126-SM-5HL6E 60-69 years, male 356.1
GTEX-ZTPG-2826-SM-57WGA 20-29 years, female 356.0
GTEX-1269C-2426-SM-5FQSN 60-69 years, female 353.1
GTEX-1IY9M-2726-SM-CMKG5 60-69 years, male 352.6
GTEX-ZQUD-1926-SM-51MSA 30-39 years, male 349.7
GTEX-WY7C-2726-SM-3NB3P 50-59 years, male 349.4
GTEX-1RQEC-2026-SM-DTXDM 60-69 years, male 348.9
GTEX-13FTY-2226-SM-5J1ND 40-49 years, female 348.7
GTEX-1RAZS-1226-SM-E8VMT 50-59 years, male 347.8
GTEX-WYVS-1726-SM-3NMAY 40-49 years, female 346.6
GTEX-1QW4Y-1026-SM-DTXE2 30-39 years, male 346.2
GTEX-16YQH-2826-SM-6PAMY 30-39 years, male 345.8
GTEX-11PRG-0826-SM-5EQ6A 50-59 years, male 345.0
GTEX-QVJO-1826-SM-447C9 60-69 years, female 344.9
GTEX-Y5V6-2126-SM-4WWFX 60-69 years, male 344.8
GTEX-1H4P4-2226-SM-9MQKQ 50-59 years, male 344.7
GTEX-XQ8I-2426-SM-4WAXY 50-59 years, male 342.5
GTEX-11ZUS-0826-SM-5FQUY 30-39 years, male 341.3
GTEX-1F75A-1826-SM-7SB8G 50-59 years, male 340.2
GTEX-1HSEH-2026-SM-ADEHN 60-69 years, male 336.9
GTEX-XUZC-1626-SM-4BRVP 30-39 years, female 336.0
GTEX-14AS3-1626-SM-5S2OY 40-49 years, female 334.6
GTEX-132Q8-1426-SM-5EGK7 60-69 years, male 330.3
GTEX-YEC3-1026-SM-5IFI5 50-59 years, male 330.0
GTEX-U3ZN-1926-SM-4DXSG 30-39 years, female 328.7
GTEX-11ZTT-2326-SM-5EQLG 60-69 years, female 327.8
GTEX-T6MN-0726-SM-32PML 50-59 years, male 325.5
GTEX-1JKYN-0726-SM-ARZMY 30-39 years, male 325.0
GTEX-WHSB-1926-SM-EXOHH 50-59 years, male 323.9
GTEX-1LBAC-0926-SM-CXKY9 20-29 years, male 320.2
GTEX-TKQ2-1826-SM-33HB2 50-59 years, male 313.5
GTEX-ZQG8-0726-SM-5P9H9 60-69 years, female 312.8
GTEX-1JKYR-0926-SM-CMKGJ 20-29 years, male 311.2
GTEX-11NSD-0926-SM-5N9DR 20-29 years, male 310.5
GTEX-1I1GV-2426-SM-CGQFM 60-69 years, male 307.6
GTEX-11P81-1926-SM-5BC53 30-39 years, female 303.8
GTEX-17HHY-0926-SM-793C1 50-59 years, male 302.7
GTEX-14E6E-1326-SM-5S2NR 30-39 years, male 302.6
GTEX-117XS-1926-SM-5GICO 60-69 years, male 300.6
GTEX-17HHE-1426-SM-7EPH4 50-59 years, male 296.8
GTEX-144GL-2026-SM-5LU3O 50-59 years, male 293.0
GTEX-YJ8O-2226-SM-5IFHW 40-49 years, female 291.7
GTEX-QMRM-1626-SM-D4P1U 50-59 years, male 291.4
GTEX-1HSKV-2026-SM-CMKGX 60-69 years, male 289.8
GTEX-ZXES-0826-SM-5E43C 30-39 years, female 270.5
GTEX-11DXZ-1926-SM-5GZZL 50-59 years, male 258.0
GTEX-1R9PM-1826-SM-EVYBH 20-29 years, male 215.7
GTEX-ZF2S-2026-SM-5E461 50-59 years, female 214.9
GTEX-R53T-1526-SM-48FEK 50-59 years, female 207.4
Show allShow less

BREAST - FANTOM5 CAGEi

RNA expression in human tissues obtained through Cap Analysis of Gene Expression (CAGE) generated by the FANTOM5 project are reported as Scaled Tags Per Million.

Max subtype Scaled Tags Per Millioni

Max subtype Scaled Tags Per Million is the value for the subtype with the largest average Scaled Tags Per Million across the subtype samples.

8.2
FANTOM5 sample id Sample description Scaled Tags Per Million
Breast
Scaled Tags Per Million: 8.2
FF:10080-102A8 77 years, female 8.2

Contact

  • NEWS ARTICLES
  • PRESS ROOM

The Project

  • INTRODUCTION
  • ORGANIZATION
  • PUBLICATIONS

The Human Protein Atlas

  • DOWNLOADABLE DATA
  • LICENCE & CITATION
  • HELP & FAQ
The Human Protein Atlas project is funded
by the Knut & Alice Wallenberg Foundation.


contact@proteinatlas.org