We use cookies to enhance the usability of our website. If you continue, we'll assume that you are happy to receive all cookies. More information. Don't show this again.
HNRNPA1
HPA
RESOURCES
  • TISSUE
  • BRAIN
  • SINGLE CELL
  • SUBCELLULAR
  • CANCER
  • BLOOD
  • CELL LINE
  • STRUCTURE & INTERACTION
ABOUT
  • INTRODUCTION
  • HISTORY
  • ORGANIZATION
  • PUBLICATIONS
  • ANTIBODY SUBMISSION
  • ANTIBODY AVAILABILITY
  • ACKNOWLEDGMENTS
  • CONTACT
NEWS
  • NEWS ARTICLES
  • PRESS ROOM
LEARN
  • DICTIONARY
  • PROTEIN CLASSES
  • PROTEIN EVIDENCE
  • METHODS
  • EDUCATIONAL VIDEOS
DATA
  • DOWNLOADABLE DATA
  • PUBLICATION DATA
  • RELEASE HISTORY
HELP
  • ANTIBODY VALIDATION
  • ASSAYS & ANNOTATION
  • DISCLAIMER
  • HELP & FAQ
  • PRIVACY STATEMENT
  • LICENCE & CITATION
Fields »
Search result

Field
Term
Gene name
Class
Subclass
Class
Keyword
Chromosome
External id
Tissue
Cell type
Expression
Antibody panel
Tissue
Main location
Patient ID
Annotation
Tissue
Category
Tau score
Cluster
Reliability
Brain region
Category
Tau score
Brain region
Category
Tau score
Brain region
Category
Tau score
Cluster
Reliability
Tissue
Cell type
Enrichment
Cell type
Category
Tau score
Cell type
Category
Tau score
Cell type
Category
Tau score
Cell lineage
Category
Tau score
Cluster
Cluster
Location
Searches
Location
Cell line
Class
Type
Phase
Reliability
Cancer
Prognosis
Cancer
Category
Cancer
Category
Tau score
Cluster
Variants
Interacting gene (ensg_id)
Type
Number of interactions
Pathway
Category
Score
Score
Score
Validation
Validation
Validation
Validation
Antibodies
Data type
Column


  • SUMMARY

  • TISSUE

  • BRAIN

  • SINGLE CELL

  • SUBCELL

  • CANCER

  • BLOOD

  • CELL LINE

  • STRUCT & INT

  • HNRNPA1
TISSUE PRIMARY DATA SALIVARY GLAND Show tissue menu
ADIPOSE TISSUE ADRENAL GLAND AMYGDALA APPENDIX BASAL GANGLIA BONE MARROW BREAST BRONCHUS CEREBELLUM CEREBRAL CORTEX CERVIX CHOROID PLEXUS COLON DUODENUM
ENDOMETRIUM EPIDIDYMIS ESOPHAGUS FALLOPIAN TUBE GALLBLADDER HEART MUSCLE HIPPOCAMPAL FORMATION HYPOTHALAMUS KIDNEY LIVER LUNG LYMPH NODE MIDBRAIN NASOPHARYNX
ORAL MUCOSA OVARY PANCREAS PARATHYROID GLAND PITUITARY GLAND PLACENTA PROSTATE RECTUM RETINA SALIVARY GLAND SEMINAL VESICLE SKELETAL MUSCLE SKIN SMALL INTESTINE
SMOOTH MUSCLE SOFT TISSUE SPINAL CORD SPLEEN STOMACH TESTIS THYMUS THYROID GLAND TONGUE TONSIL URINARY BLADDER VAGINA
ANTIBODIES
AND
VALIDATION
Dictionary
Salivary gland
Tissue proteome
Salivary gland
SALIVARY GLAND - Expression summary
Protein expression
Salivary glandi

On the top, protein expression in current human tissue, based on all annotated cell types, is reported with the units not detected (n), low (l), medium (m) and high (h). Underneath, protein expression in each annotated cell type are reported using the same units.

Protein expression data is based on knowledge-based annotation. For genes where more than one antibody has been used, a collective score is set.

If knowledge-based annotation could not be performed for a gene, no data is displayed here. View antibody staining data further down this page.

h
m
l
n
Glandular cells: High
RNA expressioni

A summary of mRNA expression data available for current tissue based on several datasets. The mRNA expression levels in human tissues are based on RNA-seq data generated by the Human Protein Atlas (HPA), Genotype-Tissue Expression (GTEx) portal and CAGE data generated by the FANTOM5 consortium. Consensus normalized expression levels for human tissues was created by combining the data from HPA and GTEx datasets.

The mRNA expression levels in pig are based on RNA-seq data generated by the Human Protein Atlas (HPA), and for mouse, HPA data and in situ hybridization generated by the Allen brain atlas are reported.

Scroll down to view mRNA expression data in more detail.
Consensus:387.1 nTPM
HPA:354.6 nTPM
GTEx:387.1 nTPM
FANTOM5:15.5 Scaled Tags Per Million

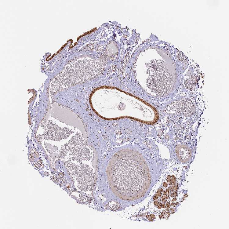
SALIVARY GLAND - Antibody stainingi

Antibody staining in the annotated cell types in the current human tissue is reported as not detected, low, medium, or high, based on conventional immunohistochemistry profiling in selected tissues. This score is based on the combination of the staining intensity and fraction of stained cells.

Each image is clickable and will lead to virtual microscopy that enables deeper exploration of all samples and also displays staining intensity scores, fraction scores and subcellular localization as well as patient and tissue information for each sample.

Antibody HPA001609Antibody HPA001666Antibody CAB010894
Glandular cells HighMediumHigh







SALIVARY GLAND - HPA RNA-seqi

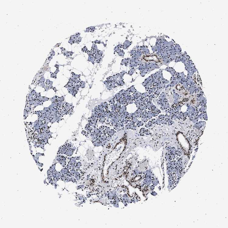
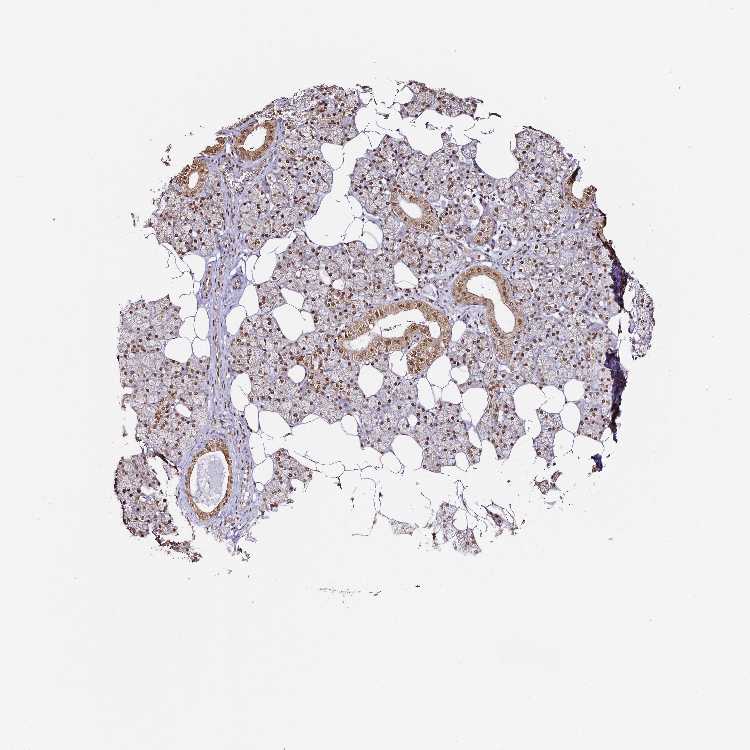
The RNA-seq details section shows detailed information about the individual samples used for the transcript profiling and results of the RNA-seq analysis.

Information about each individual sample is listed below, including gender, age, a tissue section image and estimated fractions of cell types. nTPM (normalized transcripts per million) values give a quantification of the gene abundance which is comparable between different genes and samples.
Average nTPMi

Max subtype nTPM is the value for the subtype with the largest average nTPM across the subtype samples.

354.6
overview
Female, age 68
Salivary gland sample 216
nTPM: 423.2
Cell types%
Glandular cells:
45

Ductal cells:
25

Adipocytes:
5

Other cell types:
25

overview
Male, age 60
Salivary gland sample 217
nTPM: 302.4
Cell types%
Glandular cells:
55

Ductal cells:
20

Adipocytes:
5

Endothelial cells:
5

Other cell types:
15

overview
Female, age 21
Salivary gland sample 218
nTPM: 338.2
Cell types%
Glandular cells:
55

Ductal cells:
15

Adipocytes:
5

Endothelial cells:
5

Other cell types:
20


SALIVARY GLAND - GTEx RNA-seqi

RNA-Seq data generated by the Genotype-Tissue Expression (GTEx) project from human tissues is reported as mean nTPM. More information can be found on the GTEx portal.

Distribution across the dataset is visualized with box plots, shown as median and 25th and 75th percentiles. Points are displayed as outliers if they are above or below 1.5 times the interquartile range. nTPM values of the individual samples are presented next to the box plot.
Max subtype nTPMi

Max subtype nTPM is the value for the subtype with the largest average nTPM across the subtype samples.

387.1
GTEx sample id Sample description nTPM
Minor Salivary Gland
Average nTPM: 387.1
Samples: 162

Max nTPM: 631.6
Min nTPM: 236.4
Std nTPM: 78.6
Median nTPM: 375.6
GTEX-1OJC3-1026-SM-E6CQK 20-29 years, male 631.6
GTEX-Y5LM-1826-SM-4VDT9 40-49 years, female 622.7
GTEX-15EU6-2626-SM-7KUN4 50-59 years, male 603.9
GTEX-18QFQ-0626-SM-718AW 30-39 years, male 564.8
GTEX-XMK1-2626-SM-4B65R 40-49 years, male 547.7
GTEX-1R9PO-2626-SM-E6CPU 60-69 years, female 540.8
GTEX-ZAB5-2326-SM-5IJFR 50-59 years, male 535.0
GTEX-11P81-2026-SM-5P9GT 30-39 years, female 528.0
GTEX-13OVI-2326-SM-5KM47 60-69 years, female 527.1
GTEX-13111-2326-SM-5LZUQ 50-59 years, male 527.0
GTEX-1NSGN-0626-SM-E9J35 50-59 years, male 523.8
GTEX-1QCLZ-2526-SM-EXUST 60-69 years, female 522.1
GTEX-1I6K7-0926-SM-A96SV 40-49 years, male 517.6
GTEX-1PPH8-1526-SM-E6CQO 20-29 years, male 514.3
GTEX-1I4MK-1326-SM-B2LWT 50-59 years, female 505.5
GTEX-YF7O-2226-SM-5CVN8 50-59 years, male 488.2
GTEX-1GPI7-0326-SM-7MKH6 20-29 years, male 487.1
GTEX-1PIEJ-0626-SM-DTX99 20-29 years, female 483.4
GTEX-1339X-2326-SM-5HL5B 40-49 years, male 481.1
GTEX-1QP9N-2026-SM-DPRZT 30-39 years, male 479.7
GTEX-1HCU7-0126-SM-C1YR3 50-59 years, male 477.3
GTEX-1AX9K-2126-SM-72D7K 50-59 years, male 467.6
GTEX-1R9K5-0626-SM-DPRZB 50-59 years, male 466.5
GTEX-ZA64-1726-SM-5CVMF 20-29 years, male 466.0
GTEX-18A7B-2826-SM-7KFTK 70-79 years, male 462.0
GTEX-1AYD5-2726-SM-7MXVG 50-59 years, male 460.6
GTEX-14PN4-2526-SM-686ZG 50-59 years, male 459.8
GTEX-1C64O-0626-SM-7DHL1 60-69 years, male 457.7
GTEX-WH7G-2126-SM-4M1XU 40-49 years, male 457.0
GTEX-13QBU-2126-SM-5KLZN 40-49 years, female 456.0
GTEX-11P82-0926-SM-5986X 20-29 years, male 455.3
GTEX-11EMC-2526-SM-5PNVU 60-69 years, female 453.5
GTEX-Y3I4-1926-SM-4TT8L 50-59 years, male 452.5
GTEX-17KNJ-2726-SM-7KFRE 50-59 years, male 451.5
GTEX-1JKYR-0726-SM-AHZ3K 20-29 years, male 450.1
GTEX-ZLWG-2026-SM-DO11F 50-59 years, female 444.5
GTEX-18D9U-2226-SM-7KFTN 40-49 years, male 443.8
GTEX-1445S-2926-SM-5O993 60-69 years, male 441.6
GTEX-1J1R8-1826-SM-AHZ3B 40-49 years, male 439.9
GTEX-13O21-1926-SM-5MR39 50-59 years, male 439.1
GTEX-1JN6P-2526-SM-CNNPX 60-69 years, male 438.4
GTEX-12WSN-2226-SM-5DUXT 40-49 years, male 437.6
GTEX-ZXG5-2826-SM-5NQ8T 60-69 years, male 437.3
GTEX-1C6VR-0726-SM-7P8OV 60-69 years, male 437.3
GTEX-Y5V6-2226-SM-4VDTC 60-69 years, male 436.5
GTEX-13113-1526-SM-5EGHV 60-69 years, female 431.5
GTEX-1GZ2Q-2526-SM-9KNVW 40-49 years, male 431.2
GTEX-1S83E-0626-SM-E9TKC 40-49 years, male 431.2
GTEX-WY7C-1426-SM-4OND1 50-59 years, male 430.7
GTEX-ZT9W-2126-SM-51MSF 50-59 years, male 430.5
GTEX-145ME-1626-SM-5RQI3 40-49 years, female 430.1
GTEX-1GMR2-2026-SM-7MKHK 50-59 years, male 428.4
GTEX-13JVG-2926-SM-5J2N9 60-69 years, male 428.3
GTEX-WOFM-2126-SM-4OOSR 20-29 years, male 425.9
GTEX-1AX8Z-0626-SM-731EH 60-69 years, male 424.6
GTEX-1GTWX-2526-SM-9JGHG 60-69 years, male 415.7
GTEX-1192X-2926-SM-5N9BA 50-59 years, male 414.9
GTEX-X261-2426-SM-4PQZU 50-59 years, male 414.4
GTEX-1GN1W-2526-SM-9JGHX 50-59 years, female 407.3
GTEX-ZF29-2126-SM-DNZYX 60-69 years, female 406.7
GTEX-1HR9M-2526-SM-A9G3J 60-69 years, male 405.3
GTEX-1B8KZ-1726-SM-73KV7 50-59 years, male 402.9
GTEX-ZPU1-2326-SM-57WEP 40-49 years, male 402.9
GTEX-1LC47-2426-SM-DHXKK 60-69 years, male 401.1
GTEX-1MGNQ-1926-SM-DTX8L 40-49 years, male 400.5
GTEX-1HFI7-2426-SM-B2LXV 50-59 years, female 400.0
GTEX-14PJ3-1526-SM-664O9 50-59 years, male 399.6
GTEX-WHSB-2326-SM-4M1XK 50-59 years, male 398.3
GTEX-ZQG8-2126-SM-4YCF1 60-69 years, female 397.9
GTEX-1P4AB-2926-SM-EXOJR 50-59 years, male 396.5
GTEX-11ZTS-3026-SM-5EQM7 60-69 years, female 393.5
GTEX-ZLFU-2226-SM-EXUS7 40-49 years, male 391.6
GTEX-13QJC-2326-SM-5Q5CD 60-69 years, female 390.0
GTEX-12WSL-2126-SM-5GCNG 50-59 years, male 389.0
GTEX-18A67-0626-SM-7KFSL 50-59 years, male 388.1
GTEX-XV7Q-2426-SM-4BRV8 40-49 years, female 383.5
GTEX-ZG7Y-2426-SM-DO11H 50-59 years, male 381.8
GTEX-1R9K4-0526-SM-E76P1 60-69 years, male 380.6
GTEX-YB5K-1726-SM-5IFIZ 40-49 years, female 379.8
GTEX-WFJO-2026-SM-4LVM3 30-39 years, male 377.7
GTEX-1KD5A-2226-SM-EV79U 50-59 years, male 375.7
GTEX-1EH9U-2926-SM-7DHLX 60-69 years, male 375.4
GTEX-146FR-1226-SM-5SIA7 60-69 years, female 375.0
GTEX-ZP4G-1926-SM-57WDZ 20-29 years, female 375.0
GTEX-X5EB-1726-SM-4E3J7 40-49 years, male 371.9
GTEX-1CB4I-2526-SM-7MKG1 50-59 years, male 367.8
GTEX-131XF-2826-SM-5EGKH 60-69 years, male 367.0
GTEX-1R9PM-1726-SM-E8VOA 20-29 years, male 366.8
GTEX-1QMI2-0426-SM-EWRND 60-69 years, male 366.2
GTEX-11TUW-2426-SM-5EQKB 60-69 years, male 364.8
GTEX-1JN1M-2426-SM-ARU93 60-69 years, female 363.9
GTEX-14PJN-1726-SM-69LO7 30-39 years, male 362.3
GTEX-1QEPI-0626-SM-E76QE 60-69 years, female 359.1
GTEX-1LKK1-2926-SM-EVR4Z 50-59 years, female 356.9
GTEX-12WSM-1826-SM-5BC64 60-69 years, male 356.1
GTEX-1H4P4-2026-SM-9WPNV 50-59 years, male 355.7
GTEX-1LVAO-2626-SM-EVR4S 60-69 years, male 354.8
GTEX-1B8SF-1826-SM-731DJ 60-69 years, male 352.0
GTEX-1RNSC-2926-SM-EV79L 60-69 years, male 349.9
GTEX-1J8QM-1826-SM-A96TA 60-69 years, female 349.7
GTEX-13G51-2426-SM-5LZY8 60-69 years, male 348.2
GTEX-12BJ1-2226-SM-5BC6G 60-69 years, male 347.5
GTEX-11WQK-2926-SM-5EQKT 50-59 years, male 345.2
GTEX-Y111-2626-SM-4TT24 50-59 years, male 343.5
GTEX-1HSEH-1826-SM-A96SA 60-69 years, male 342.3
GTEX-1A3MV-1726-SM-72D68 30-39 years, male 342.2
GTEX-1MCQQ-2226-SM-DLHC4 60-69 years, male 340.6
GTEX-1117F-3026-SM-5GZYU 60-69 years, female 340.3
GTEX-1KANC-1326-SM-CYPT8 50-59 years, female 340.2
GTEX-1KD4Q-2526-SM-CXZKL 40-49 years, male 339.9
GTEX-1POEN-2226-SM-DPRXV 30-39 years, female 339.4
GTEX-1S82P-0726-SM-EVR4O 60-69 years, female 339.3
GTEX-1GN1V-2926-SM-9JGI3 60-69 years, male 337.2
GTEX-13OVK-1826-SM-6PALE 40-49 years, male 336.9
GTEX-1314G-2026-SM-5LZUM 30-39 years, male 336.2
GTEX-178AV-1426-SM-6LLID 40-49 years, male 333.3
GTEX-XGQ4-2626-SM-4AT6B 50-59 years, male 333.2
GTEX-X15G-2126-SM-4PQZR 50-59 years, female 333.0
GTEX-131XH-2626-SM-5GCNP 50-59 years, male 332.7
GTEX-11EQ9-2026-SM-5P9JI 30-39 years, male 332.6
GTEX-1LSNL-2626-SM-EV7AT 50-59 years, male 332.6
GTEX-1I1HK-2526-SM-A96SM 60-69 years, male 330.8
GTEX-1AMEY-1126-SM-72D79 30-39 years, female 328.0
GTEX-1LVA9-2526-SM-EVR5H 50-59 years, male 327.3
GTEX-1C64N-2926-SM-79OLM 50-59 years, male 327.1
GTEX-15SHV-2226-SM-6M464 60-69 years, male 326.5
GTEX-1IY9M-2926-SM-A96TH 60-69 years, male 325.4
GTEX-13CF2-2426-SM-5LZYL 60-69 years, male 320.7
GTEX-14E1K-2626-SM-664OJ 50-59 years, male 320.4
GTEX-14B4R-1426-SM-5Q5CG 30-39 years, male 320.3
GTEX-1B97J-2126-SM-79OL6 50-59 years, female 319.0
GTEX-1OJC4-3126-SM-EXOJK 50-59 years, female 318.9
GTEX-ZQUD-2126-SM-51MSY 30-39 years, male 317.5
GTEX-WYVS-2026-SM-4RGNS 40-49 years, female 315.8
GTEX-1IDJD-2526-SM-C1YSA 30-39 years, male 315.4
GTEX-1J8EW-2826-SM-A96T9 60-69 years, female 313.7
GTEX-1RAZA-0626-SM-EAZ4H 20-29 years, male 313.0
GTEX-111FC-2926-SM-5GZY7 60-69 years, male 311.9
GTEX-11NV4-1926-SM-5N9D4 60-69 years, male 311.4
GTEX-1HSMQ-0926-SM-A96SI 50-59 years, male 310.3
GTEX-1GF9X-0226-SM-7P8SM 40-49 years, female 309.1
GTEX-1H1CY-2326-SM-9OSXW 60-69 years, female 307.5
GTEX-15CHC-1226-SM-686ZH 60-69 years, female 306.4
GTEX-ZE7O-2926-SM-51MSG 50-59 years, female 302.6
GTEX-17MFQ-1626-SM-7938Z 20-29 years, male 293.0
GTEX-1IDJC-1626-SM-AHZ2R 50-59 years, male 291.8
GTEX-X3Y1-1926-SM-4PQZO 40-49 years, male 288.4
GTEX-1MCC2-2226-SM-EV7AJ 30-39 years, female 285.7
GTEX-1HSGN-0626-SM-A9G2E 40-49 years, female 285.1
GTEX-14JIY-3026-SM-6EU1R 60-69 years, male 283.9
GTEX-1IE54-0826-SM-AHZ2Z 40-49 years, female 283.4
GTEX-11ZTT-2226-SM-5CVLP 60-69 years, female 281.3
GTEX-1C4CL-2026-SM-731EB 30-39 years, male 278.1
GTEX-15RJE-2726-SM-6LPJ1 40-49 years, male 273.0
GTEX-13NYB-2426-SM-5IFF4 40-49 years, male 269.3
GTEX-13OVL-2926-SM-5IFG3 50-59 years, male 266.7
GTEX-1IOXB-2826-SM-AHZ32 50-59 years, male 266.1
GTEX-ZC5H-2726-SM-5KLZW 40-49 years, female 256.9
GTEX-13VXT-1726-SM-5IFF5 20-29 years, female 256.1
GTEX-1B932-0626-SM-731EM 40-49 years, female 255.6
GTEX-1I6K6-0626-SM-ARU7J 30-39 years, male 247.5
GTEX-1LBAC-0626-SM-D3L9T 20-29 years, male 236.4
Show allShow less

SALIVARY GLAND - FANTOM5 CAGEi

RNA expression in human tissues obtained through Cap Analysis of Gene Expression (CAGE) generated by the FANTOM5 project are reported as Scaled Tags Per Million.

Max subtype Scaled Tags Per Millioni

Max subtype Scaled Tags Per Million is the value for the subtype with the largest average Scaled Tags Per Million across the subtype samples.

15.5
FANTOM5 sample id Sample description Scaled Tags Per Million
Parotid gland
Scaled Tags Per Million: 13.8
FF:10199-103F1 23 years, male 13.8
Salivary gland
Scaled Tags Per Million: 4.1
FF:10093-102C3 16-60 years, mixed 4.1
Submaxillary gland
Scaled Tags Per Million: 15.5
FF:10202-103F4 24 years, male 15.5

Contact

  • NEWS ARTICLES
  • PRESS ROOM

The Project

  • INTRODUCTION
  • ORGANIZATION
  • PUBLICATIONS

The Human Protein Atlas

  • DOWNLOADABLE DATA
  • LICENCE & CITATION
  • HELP & FAQ
The Human Protein Atlas project is funded
by the Knut & Alice Wallenberg Foundation.


contact@proteinatlas.org