We use cookies to enhance the usability of our website. If you continue, we'll assume that you are happy to receive all cookies. More information. Don't show this again.
HNRNPA1
HPA
RESOURCES
  • TISSUE
  • BRAIN
  • SINGLE CELL
  • SUBCELLULAR
  • CANCER
  • BLOOD
  • CELL LINE
  • STRUCTURE & INTERACTION
ABOUT
  • INTRODUCTION
  • HISTORY
  • ORGANIZATION
  • PUBLICATIONS
  • ANTIBODY SUBMISSION
  • ANTIBODY AVAILABILITY
  • ACKNOWLEDGMENTS
  • CONTACT
NEWS
  • NEWS ARTICLES
  • PRESS ROOM
LEARN
  • DICTIONARY
  • PROTEIN CLASSES
  • PROTEIN EVIDENCE
  • METHODS
  • EDUCATIONAL VIDEOS
DATA
  • DOWNLOADABLE DATA
  • PUBLICATION DATA
  • RELEASE HISTORY
HELP
  • ANTIBODY VALIDATION
  • ASSAYS & ANNOTATION
  • DISCLAIMER
  • HELP & FAQ
  • PRIVACY STATEMENT
  • LICENCE & CITATION
Fields »
Search result

Field
Term
Gene name
Class
Subclass
Class
Keyword
Chromosome
External id
Tissue
Cell type
Expression
Antibody panel
Tissue
Main location
Patient ID
Annotation
Tissue
Category
Tau score
Cluster
Reliability
Brain region
Category
Tau score
Brain region
Category
Tau score
Brain region
Category
Tau score
Cluster
Reliability
Tissue
Cell type
Enrichment
Cell type
Category
Tau score
Cell type
Category
Tau score
Cell type
Category
Tau score
Cell lineage
Category
Tau score
Cluster
Cluster
Location
Searches
Location
Cell line
Class
Type
Phase
Reliability
Cancer
Prognosis
Cancer
Category
Cancer
Category
Tau score
Cluster
Variants
Interacting gene (ensg_id)
Type
Number of interactions
Pathway
Category
Score
Score
Score
Validation
Validation
Validation
Validation
Antibodies
Data type
Column


  • SUMMARY

  • TISSUE

  • BRAIN

  • SINGLE CELL

  • SUBCELL

  • CANCER

  • BLOOD

  • CELL LINE

  • STRUCT & INT

  • HNRNPA1
TISSUE PRIMARY DATA THYROID GLAND Show tissue menu
ADIPOSE TISSUE ADRENAL GLAND AMYGDALA APPENDIX BASAL GANGLIA BONE MARROW BREAST BRONCHUS CEREBELLUM CEREBRAL CORTEX CERVIX CHOROID PLEXUS COLON DUODENUM
ENDOMETRIUM EPIDIDYMIS ESOPHAGUS FALLOPIAN TUBE GALLBLADDER HEART MUSCLE HIPPOCAMPAL FORMATION HYPOTHALAMUS KIDNEY LIVER LUNG LYMPH NODE MIDBRAIN NASOPHARYNX
ORAL MUCOSA OVARY PANCREAS PARATHYROID GLAND PITUITARY GLAND PLACENTA PROSTATE RECTUM RETINA SALIVARY GLAND SEMINAL VESICLE SKELETAL MUSCLE SKIN SMALL INTESTINE
SMOOTH MUSCLE SOFT TISSUE SPINAL CORD SPLEEN STOMACH TESTIS THYMUS THYROID GLAND TONGUE TONSIL URINARY BLADDER VAGINA
ANTIBODIES
AND
VALIDATION
Dictionary
Thyroid gland
Tissue proteome
Thyroid gland
THYROID GLAND - Expression summary
Protein expression
Thyroid glandi

On the top, protein expression in current human tissue, based on all annotated cell types, is reported with the units not detected (n), low (l), medium (m) and high (h). Underneath, protein expression in each annotated cell type are reported using the same units.

Protein expression data is based on knowledge-based annotation. For genes where more than one antibody has been used, a collective score is set.

If knowledge-based annotation could not be performed for a gene, no data is displayed here. View antibody staining data further down this page.

h
m
l
n
Glandular cells: High
RNA expressioni

A summary of mRNA expression data available for current tissue based on several datasets. The mRNA expression levels in human tissues are based on RNA-seq data generated by the Human Protein Atlas (HPA), Genotype-Tissue Expression (GTEx) portal and CAGE data generated by the FANTOM5 consortium. Consensus normalized expression levels for human tissues was created by combining the data from HPA and GTEx datasets.

The mRNA expression levels in pig are based on RNA-seq data generated by the Human Protein Atlas (HPA), and for mouse, HPA data and in situ hybridization generated by the Allen brain atlas are reported.

Scroll down to view mRNA expression data in more detail.
Consensus:384.4 nTPM
HPA:279.0 nTPM
GTEx:384.4 nTPM
FANTOM5:19.3 Scaled Tags Per Million

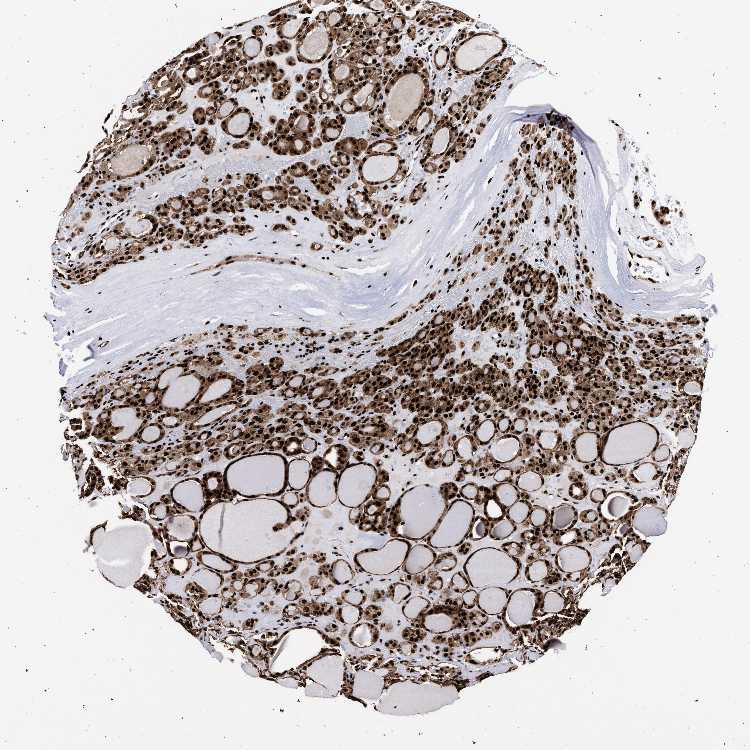
THYROID GLAND - Antibody stainingi

Antibody staining in the annotated cell types in the current human tissue is reported as not detected, low, medium, or high, based on conventional immunohistochemistry profiling in selected tissues. This score is based on the combination of the staining intensity and fraction of stained cells.

Each image is clickable and will lead to virtual microscopy that enables deeper exploration of all samples and also displays staining intensity scores, fraction scores and subcellular localization as well as patient and tissue information for each sample.

Antibody HPA001609Antibody HPA001666Antibody CAB010894
Glandular cells HighMediumHigh






THYROID GLAND - HPA RNA-seqi

The RNA-seq details section shows detailed information about the individual samples used for the transcript profiling and results of the RNA-seq analysis.

Information about each individual sample is listed below, including gender, age, a tissue section image and estimated fractions of cell types. nTPM (normalized transcripts per million) values give a quantification of the gene abundance which is comparable between different genes and samples.
Average nTPMi

Max subtype nTPM is the value for the subtype with the largest average nTPM across the subtype samples.

279.0
overview
Female, age 20
Thyroid gland sample 249
nTPM: 335.2
Cell types%
Glandular cells:
70

Endothelial cells:
20

Other cell types:
10

overview
Female, age 55
Thyroid gland sample 250
nTPM: 301.7
Cell types%
Glandular cells:
70

Endothelial cells:
20

Other cell types:
10

overview
Female, age 58
Thyroid gland sample 251
nTPM: 249.5
Cell types%
Glandular cells:
70

Endothelial cells:
15

Other cell types:
15

overview
Female, age 48
Thyroid gland sample 252
nTPM: 236.8
Cell types%
Glandular cells:
70

Endothelial cells:
20

Other cell types:
10

overview
Male, age 21
Thyroid gland sample 363
nTPM: 271.7
Cell types%
Glandular cells:
75

Endothelial cells:
10

Other cell types:
15


THYROID GLAND - GTEx RNA-seqi

RNA-Seq data generated by the Genotype-Tissue Expression (GTEx) project from human tissues is reported as mean nTPM. More information can be found on the GTEx portal.

Distribution across the dataset is visualized with box plots, shown as median and 25th and 75th percentiles. Points are displayed as outliers if they are above or below 1.5 times the interquartile range. nTPM values of the individual samples are presented next to the box plot.
Max subtype nTPMi

Max subtype nTPM is the value for the subtype with the largest average nTPM across the subtype samples.

384.4
GTEx sample id Sample description nTPM
Thyroid
Average nTPM: 384.4
Samples: 653

Max nTPM: 680.1
Min nTPM: 172.4
Std nTPM: 75.4
Median nTPM: 376.3
GTEX-OIZI-0726-SM-2XCEI 40-49 years, male 680.1
GTEX-13O1R-0826-SM-5J2MB 60-69 years, male 661.3
GTEX-13FHO-0926-SM-5N9EW 60-69 years, male 629.5
GTEX-1PWST-0726-SM-EWRMO 70-79 years, male 628.8
GTEX-OHPL-2626-SM-2HMJA 60-69 years, female 613.8
GTEX-QDVN-0626-SM-2I3FP 50-59 years, male 612.7
GTEX-1O9I2-1226-SM-E6CQC 50-59 years, male 611.3
GTEX-1CB4J-1426-SM-7MKFR 60-69 years, male 610.9
GTEX-13OVJ-0626-SM-5J2O2 50-59 years, female 610.6
GTEX-U8T8-2326-SM-3DB96 60-69 years, male 603.5
GTEX-U412-0726-SM-EVR2Y 60-69 years, male 600.4
GTEX-1I1GP-0326-SM-CNPQ4 50-59 years, male 595.9
GTEX-OXRN-1526-SM-E6CHM 50-59 years, male 593.2
GTEX-WEY5-0526-SM-3GIKZ 40-49 years, female 576.8
GTEX-13RTJ-0326-SM-5YYAE 60-69 years, male 563.0
GTEX-P44G-0626-SM-2I5EO 30-39 years, male 559.9
GTEX-1I1GU-0826-SM-ARZM5 40-49 years, male 555.4
GTEX-S32W-0726-SM-2XCBL 50-59 years, female 555.2
GTEX-15EO6-0126-SM-6LPKJ 50-59 years, male 554.4
GTEX-1F5PL-0826-SM-7MXU7 40-49 years, female 552.2
GTEX-14E6C-2626-SM-5RQJP 40-49 years, male 545.2
GTEX-11O72-2326-SM-5BC7H 40-49 years, male 544.3
GTEX-1HKZK-0826-SM-A9G2C 40-49 years, male 542.0
GTEX-14A5H-0726-SM-5Q5DW 60-69 years, male 537.7
GTEX-QEG5-0826-SM-2I5GF 20-29 years, male 531.1
GTEX-12696-0326-SM-5EGL4 60-69 years, male 528.2
GTEX-1F52S-0526-SM-7P8TP 60-69 years, female 525.8
GTEX-WYBS-1926-SM-3NM8N 60-69 years, female 523.2
GTEX-1B8KZ-0426-SM-731DP 50-59 years, male 514.4
GTEX-13FH7-0126-SM-5KLZ1 50-59 years, female 514.0
GTEX-1PBJI-0726-SM-EXUSQ 20-29 years, female 513.9
GTEX-1H1DG-0726-SM-A96TN 70-79 years, male 513.5
GTEX-14PN4-1526-SM-6871V 50-59 years, male 508.9
GTEX-11UD2-0626-SM-5GU6L 50-59 years, male 508.2
GTEX-OXRL-2626-SM-2I3F1 50-59 years, male 506.4
GTEX-1C475-0226-SM-7MGXM 40-49 years, female 506.3
GTEX-REY6-0526-SM-2TF5M 60-69 years, male 505.9
GTEX-1PDJ9-0826-SM-E76PS 20-29 years, male 505.9
GTEX-WOFL-0726-SM-3MJG4 60-69 years, male 505.6
GTEX-1MJK2-0826-SM-DTXE8 50-59 years, male 504.4
GTEX-11TTK-0826-SM-5N9EG 60-69 years, female 503.7
GTEX-1A3MV-0326-SM-73KW7 30-39 years, male 503.5
GTEX-N7MS-2326-SM-2HMLD 60-69 years, male 503.4
GTEX-1B8SG-1126-SM-7IGMT 50-59 years, male 502.5
GTEX-POYW-0826-SM-2XCEM 60-69 years, male 498.9
GTEX-1LGOU-0126-SM-EV79W 20-29 years, female 498.7
GTEX-144GO-0126-SM-5LUAO 60-69 years, male 497.8
GTEX-WFG8-0426-SM-3GILD 20-29 years, male 497.0
GTEX-14PK6-0426-SM-6EU1J 70-79 years, female 496.8
GTEX-18D9B-0726-SM-72D6K 60-69 years, male 496.5
GTEX-1CB4H-0126-SM-7IGN2 60-69 years, female 495.8
GTEX-1KXAM-1726-SM-D3LAE 60-69 years, male 494.8
GTEX-Y9LG-0426-SM-4VBRT 30-39 years, male 492.5
GTEX-1GF9W-0626-SM-7MXVJ 60-69 years, male 492.3
GTEX-1F48J-0926-SM-7P8PZ 50-59 years, female 491.9
GTEX-1R9K4-0726-SM-EWRN2 60-69 years, male 491.8
GTEX-12WSE-1226-SM-73KUF 20-29 years, male 491.5
GTEX-13N1W-0826-SM-5MR5J 70-79 years, male 490.3
GTEX-QLQ7-0726-SM-2I5G2 60-69 years, male 490.1
GTEX-13NYB-0726-SM-5MR4J 40-49 years, male 488.1
GTEX-12584-0826-SM-5FQSK 40-49 years, male 487.7
GTEX-1PFEY-0226-SM-EVR3M 30-39 years, male 487.6
GTEX-15G1A-0326-SM-6M467 30-39 years, male 486.5
GTEX-11TT1-1126-SM-5P9GV 20-29 years, male 486.0
GTEX-15UF6-1126-SM-6LPJ3 70-79 years, female 484.8
GTEX-13PVQ-0726-SM-5L3GI 50-59 years, male 483.4
GTEX-1CB4G-1526-SM-7P8QG 60-69 years, male 480.5
GTEX-1AMFI-0526-SM-7189M 50-59 years, female 479.6
GTEX-1JMQL-0926-SM-CJI3F 50-59 years, female 478.5
GTEX-13CF3-0926-SM-5LZZC 60-69 years, female 478.4
GTEX-ZPIC-0226-SM-DO91T 40-49 years, female 476.9
GTEX-QV31-0726-SM-3GAEG 30-39 years, male 476.7
GTEX-16NGA-0326-SM-718AJ 40-49 years, female 476.5
GTEX-QXCU-0326-SM-2TC63 50-59 years, male 476.1
GTEX-1M4P7-0626-SM-EVR51 60-69 years, male 475.8
GTEX-1PIIG-2026-SM-EVR43 30-39 years, male 475.3
GTEX-1R46S-0426-SM-EVR48 60-69 years, female 474.1
GTEX-1OFPY-1526-SM-DTX8R 60-69 years, male 473.5
GTEX-WYJK-1626-SM-3NM9J 50-59 years, male 472.7
GTEX-Y5LM-0626-SM-4V6G4 40-49 years, female 472.7
GTEX-12WSK-0926-SM-5CVNQ 40-49 years, female 472.1
GTEX-YF7O-0726-SM-4W213 50-59 years, male 471.2
GTEX-132QS-0326-SM-5IJFN 60-69 years, male 470.8
GTEX-1RNSC-1126-SM-E9TIP 60-69 years, male 470.8
GTEX-TKQ1-0126-SM-33HB3 30-39 years, male 469.4
GTEX-1HB9E-0826-SM-CNNQJ 50-59 years, male 469.4
GTEX-14C38-0826-SM-5S2U8 50-59 years, male 467.1
GTEX-1B933-1026-SM-7P8RO 50-59 years, female 466.3
GTEX-WHSE-0626-SM-4RGNF 20-29 years, male 465.9
GTEX-T6MO-0226-SM-32QOL 40-49 years, female 465.2
GTEX-QV44-0826-SM-2S1RG 50-59 years, male 465.0
GTEX-1ICLY-0726-SM-A96TB 50-59 years, male 463.4
GTEX-ZYFC-0926-SM-5GZWW 50-59 years, male 463.2
GTEX-1JN6P-0626-SM-ARZN6 60-69 years, male 461.5
GTEX-XLM4-0726-SM-4AT64 60-69 years, male 459.8
GTEX-148VJ-0726-SM-5LU8J 70-79 years, male 459.7
GTEX-15DZA-0226-SM-7KFS6 30-39 years, female 459.6
GTEX-1I1GS-0726-SM-C1YS7 60-69 years, male 459.3
GTEX-OHPK-2626-SM-2HMK9 50-59 years, female 459.0
GTEX-1H1ZS-0726-SM-A9G3K 70-79 years, male 459.0
GTEX-ZYVF-1126-SM-5E458 50-59 years, female 458.1
GTEX-1GN73-0826-SM-9OSW4 60-69 years, male 458.1
GTEX-13N11-1026-SM-5K7XQ 50-59 years, female 457.7
GTEX-RUSQ-1026-SM-2TF6V 50-59 years, male 457.7
GTEX-15RIF-0326-SM-7KUFR 20-29 years, male 456.9
GTEX-1EH9U-0926-SM-7EWF1 60-69 years, male 456.7
GTEX-1JMQK-2126-SM-CY8I2 60-69 years, male 456.6
GTEX-1RAZA-0826-SM-EAZ4I 20-29 years, male 456.5
GTEX-QEL4-0726-SM-3GIJ5 50-59 years, male 455.5
GTEX-1CAMS-0826-SM-7P8P1 40-49 years, female 454.9
GTEX-1F75A-0326-SM-7MXTR 50-59 years, male 454.8
GTEX-13OW8-0126-SM-5IJE5 60-69 years, male 454.0
GTEX-1HBPM-0926-SM-ARL9C 60-69 years, female 451.7
GTEX-144GM-0226-SM-5Q5CB 20-29 years, male 451.4
GTEX-ZTX8-0626-SM-59HKC 20-29 years, male 449.6
GTEX-1J8Q3-0226-SM-C1YR4 60-69 years, male 447.8
GTEX-1EX96-0126-SM-9KNVH 50-59 years, male 447.5
GTEX-1B8KE-0626-SM-7189H 50-59 years, male 447.3
GTEX-Q2AH-0726-SM-2I3EA 40-49 years, male 447.3
GTEX-ZQUD-0126-SM-7EPIS 30-39 years, male 446.5
GTEX-139UW-0126-SM-5KM1B 60-69 years, male 446.2
GTEX-ZZ64-0126-SM-5GZXA 20-29 years, male 445.7
GTEX-P4QS-2626-SM-2I3EV 60-69 years, male 445.4
GTEX-11EM3-0126-SM-5985K 20-29 years, female 445.3
GTEX-ZF29-0726-SM-DO92H 60-69 years, female 445.3
GTEX-P4QT-2626-SM-2I3FM 50-59 years, female 445.1
GTEX-13FTW-0626-SM-5IFEX 40-49 years, male 444.7
GTEX-1QW4Y-0226-SM-EAZ3U 30-39 years, male 444.7
GTEX-1IGQW-0626-SM-C1YR9 60-69 years, male 444.5
GTEX-1I1GV-0726-SM-ARZLY 60-69 years, male 444.4
GTEX-1GTWX-0726-SM-9WPPA 60-69 years, male 444.3
GTEX-1J8JJ-0726-SM-AHZ3E 60-69 years, female 443.7
GTEX-1JKYN-1126-SM-CGQG5 30-39 years, male 443.2
GTEX-1HR98-0326-SM-CGQEL 60-69 years, male 442.8
GTEX-14XAO-0426-SM-6AJB6 60-69 years, female 440.7
GTEX-PWN1-2626-SM-2I3FH 40-49 years, female 439.7
GTEX-1HSMQ-0526-SM-A96TY 50-59 years, male 439.2
GTEX-14ICK-1626-SM-6ETZX 40-49 years, male 437.9
GTEX-14PJM-1326-SM-664NX 50-59 years, female 437.3
GTEX-183WM-2626-SM-7KFRY 70-79 years, female 437.2
GTEX-1ICLZ-0526-SM-ARZM8 60-69 years, male 437.2
GTEX-RWSA-0826-SM-2XCBF 40-49 years, male 437.1
GTEX-RVPV-1226-SM-2TF73 60-69 years, male 436.5
GTEX-1LB8K-0626-SM-D4P3Z 50-59 years, male 436.1
GTEX-UJMC-0326-SM-3GAE2 50-59 years, male 436.0
GTEX-17HII-1926-SM-79OLB 50-59 years, male 435.1
GTEX-ZE7O-1126-SM-57WC8 50-59 years, female 435.1
GTEX-X4XY-0826-SM-4E3JM 60-69 years, male 434.9
GTEX-1GZ2Q-0826-SM-7P8TK 40-49 years, male 434.9
GTEX-1C6VQ-0526-SM-7MGWD 50-59 years, male 434.7
GTEX-QDT8-1226-SM-EVR35 30-39 years, female 434.2
GTEX-1LG7Y-0626-SM-DHXJM 50-59 years, male 433.8
GTEX-117YW-0126-SM-5EGGN 50-59 years, male 432.9
GTEX-ZYW4-1126-SM-5SI99 60-69 years, male 432.5
GTEX-15SHU-0726-SM-7KUFI 40-49 years, female 430.7
GTEX-14PN3-0826-SM-69LOS 60-69 years, female 430.1
GTEX-14B4R-0126-SM-5TDE4 30-39 years, male 430.0
GTEX-1KD5A-0426-SM-D4P3X 50-59 years, male 430.0
GTEX-14PKV-0626-SM-6AJA2 20-29 years, female 429.5
GTEX-14PKU-0326-SM-6AJA7 40-49 years, female 429.4
GTEX-X15G-0526-SM-3NMB7 50-59 years, female 428.9
GTEX-1NUQO-0926-SM-DTXEX 20-29 years, female 428.3
GTEX-14PJ4-0326-SM-664OT 60-69 years, male 428.2
GTEX-1JMPY-0126-SM-CJI39 30-39 years, male 428.2
GTEX-113JC-0126-SM-5EGJW 50-59 years, female 427.8
GTEX-YFC4-2626-SM-5P9FQ 40-49 years, female 427.8
GTEX-14C39-0226-SM-5TDDW 40-49 years, male 427.7
GTEX-131XH-0526-SM-5DUX7 50-59 years, male 427.6
GTEX-1269C-0226-SM-5EGKS 60-69 years, female 427.1
GTEX-13QJ3-0926-SM-73KX5 50-59 years, male 426.3
GTEX-X4LF-0426-SM-3NMB5 50-59 years, male 426.3
GTEX-1LVAM-0826-SM-EV79X 50-59 years, female 426.3
GTEX-PX3G-2626-SM-2I3EG 20-29 years, female 425.6
GTEX-1F75B-0826-SM-9QEIT 50-59 years, male 425.3
GTEX-15D1Q-0626-SM-6AJAZ 40-49 years, male 424.9
GTEX-14JG6-1326-SM-9OSXU 30-39 years, female 424.3
GTEX-WFG7-0326-SM-DKPO8 20-29 years, male 424.1
GTEX-1JMPZ-0626-SM-CY8HY 30-39 years, male 423.8
GTEX-17EVP-0126-SM-7EPHW 40-49 years, male 422.2
GTEX-18D9A-0126-SM-7KFSI 30-39 years, female 421.3
GTEX-1OJC3-0626-SM-E8VMO 20-29 years, male 420.7
GTEX-Y114-0626-SM-4TT98 50-59 years, female 420.1
GTEX-X261-0726-SM-EZ6MH 50-59 years, male 419.9
GTEX-WK11-0926-SM-3NMAU 50-59 years, male 419.6
GTEX-1GL5R-0626-SM-7PBZY 50-59 years, male 419.4
GTEX-11GSO-0626-SM-5A5LW 60-69 years, male 419.0
GTEX-13JVG-0926-SM-5IJE1 60-69 years, male 418.5
GTEX-RN5K-2826-SM-EZ6L3 50-59 years, female 418.5
GTEX-U4B1-0626-SM-3DB8L 40-49 years, male 418.2
GTEX-133LE-0326-SM-5P9G4 20-29 years, female 418.1
GTEX-T2IS-0626-SM-32QP6 20-29 years, female 417.8
GTEX-13FXS-0726-SM-5LZXJ 50-59 years, male 417.4
GTEX-117YX-1226-SM-5H11S 50-59 years, male 417.0
GTEX-11TUW-0226-SM-5LU8X 60-69 years, male 417.0
GTEX-1211K-0726-SM-5FQUW 60-69 years, female 417.0
GTEX-1N5O9-1026-SM-DTX8Y 60-69 years, male 416.7
GTEX-11VI4-0226-SM-5GU6C 40-49 years, female 416.1
GTEX-P4PQ-2626-SM-33HC9 60-69 years, male 415.7
GTEX-OXRP-0326-SM-33HBJ 60-69 years, female 415.2
GTEX-SJXC-0726-SM-2XCFJ 60-69 years, male 415.2
GTEX-111CU-0226-SM-5GZXC 50-59 years, male 415.0
GTEX-1QP28-0626-SM-E76P5 50-59 years, female 414.7
GTEX-14PJ3-0126-SM-69LQP 50-59 years, male 414.0
GTEX-14PII-0826-SM-6871S 60-69 years, male 413.8
GTEX-U3ZM-0126-SM-3DB8M 40-49 years, male 413.4
GTEX-17MF6-0626-SM-7LT8D 40-49 years, male 413.1
GTEX-Q2AI-0326-SM-2I3EK 40-49 years, male 412.1
GTEX-1NV5F-0726-SM-DTXEH 60-69 years, female 411.8
GTEX-WH7G-0526-SM-3NMBI 40-49 years, male 411.2
GTEX-1399U-0326-SM-5P9G5 50-59 years, female 411.1
GTEX-13NYC-2426-SM-5MR3K 60-69 years, male 411.1
GTEX-13X6H-0526-SM-5LU4Q 50-59 years, female 411.0
GTEX-1B97J-0626-SM-7P8RU 50-59 years, female 410.6
GTEX-1HBPH-0926-SM-A9SME 40-49 years, female 410.6
GTEX-1JMLX-0826-SM-CNNPP 50-59 years, male 410.6
GTEX-13PL6-1026-SM-5L3E5 40-49 years, female 410.5
GTEX-ZA64-0426-SM-5HL96 20-29 years, male 410.3
GTEX-1H1DE-0226-SM-ARZN8 20-29 years, male 409.3
GTEX-131XG-0226-SM-5IFG1 50-59 years, female 408.4
GTEX-16XZY-0726-SM-79OMU 70-79 years, male 407.9
GTEX-1GN1V-0626-SM-7P8QU 60-69 years, male 407.9
GTEX-X8HC-0726-SM-46MWG 50-59 years, female 407.8
GTEX-1K9T9-0826-SM-EAZ4X 50-59 years, female 407.5
GTEX-11EMC-0226-SM-5EGLP 60-69 years, female 406.9
GTEX-1PBJJ-1926-SM-DTX8T 30-39 years, male 406.5
GTEX-11DZ1-2726-SM-5A5KH 50-59 years, male 406.2
GTEX-11P82-0226-SM-5HL4O 20-29 years, male 406.2
GTEX-ZV6S-0226-SM-59HJT 40-49 years, female 406.1
GTEX-1LG7Z-0526-SM-D4P3Q 30-39 years, male 406.1
GTEX-11DYG-0826-SM-5N9GH 60-69 years, male 406.0
GTEX-1S83E-0726-SM-EV7B6 40-49 years, male 404.9
GTEX-11NV4-0626-SM-5N9BR 60-69 years, male 404.8
GTEX-145ME-0126-SM-5S2QM 40-49 years, female 404.7
GTEX-WVLH-0626-SM-3MJG7 50-59 years, male 403.9
GTEX-WHPG-0226-SM-3NMB9 50-59 years, male 403.8
GTEX-WXYG-0226-SM-3NB2Y 50-59 years, female 403.8
GTEX-1JJE9-0226-SM-CY8HU 70-79 years, male 403.5
GTEX-1QP9N-0126-SM-DPRZS 30-39 years, male 403.2
GTEX-1RDX4-0926-SM-E9U6D 50-59 years, female 403.2
GTEX-14ABY-0926-SM-5Q5DY 50-59 years, male 402.3
GTEX-1FIGZ-0226-SM-7P8QR 40-49 years, male 402.0
GTEX-16BQI-0726-SM-6LPJZ 30-39 years, female 401.7
GTEX-1JMQJ-2026-SM-CNPP9 50-59 years, male 401.2
GTEX-U3ZH-0226-SM-3DB7B 30-39 years, male 400.6
GTEX-WHSB-1626-SM-3LK6J 50-59 years, male 400.4
GTEX-1GMR3-0726-SM-9WPOF 40-49 years, male 400.3
GTEX-12WSN-0726-SM-5GCMS 40-49 years, male 400.2
GTEX-16XZZ-0826-SM-7IGM3 60-69 years, male 400.2
GTEX-139T6-0326-SM-5J2LY 50-59 years, male 399.8
GTEX-1C6VS-0826-SM-7EWEI 60-69 years, male 399.5
GTEX-1GZ4I-0626-SM-9WPPN 50-59 years, male 399.4
GTEX-169BO-0326-SM-7EPIM 50-59 years, male 399.2
GTEX-1IDJU-1626-SM-CJI4B 60-69 years, female 399.1
GTEX-1497J-0126-SM-5Q5BK 60-69 years, male 399.0
GTEX-18A7A-0826-SM-7KFTJ 50-59 years, female 399.0
GTEX-RU72-0126-SM-2TF6Z 50-59 years, female 398.4
GTEX-1RAZR-1126-SM-E6CRC 40-49 years, male 398.4
GTEX-11GS4-0826-SM-5986J 60-69 years, male 397.8
GTEX-1I1GT-0826-SM-B2LWO 60-69 years, female 397.7
GTEX-ZDYS-0626-SM-5J2N5 50-59 years, male 397.5
GTEX-1EU9M-0626-SM-7MXUT 60-69 years, male 396.5
GTEX-1122O-0226-SM-5N9DA 60-69 years, female 396.3
GTEX-1GMR8-0826-SM-9KNUR 50-59 years, female 396.3
GTEX-1QCLZ-0626-SM-E6CR2 60-69 years, female 396.2
GTEX-R3RS-0726-SM-3GIJR 40-49 years, female 396.1
GTEX-14PJO-0626-SM-6LLHH 60-69 years, male 395.9
GTEX-1GN1W-0126-SM-7MXV7 50-59 years, female 395.5
GTEX-1J1OQ-0526-SM-A9G2P 40-49 years, female 395.4
GTEX-1OJC4-0526-SM-E6CQV 50-59 years, female 395.4
GTEX-1QP2A-0626-SM-DTX9C 50-59 years, male 395.0
GTEX-1H3VE-0826-SM-9KNVQ 40-49 years, male 394.1
GTEX-17GQL-0226-SM-7LTAK 60-69 years, male 393.8
GTEX-13O3O-0926-SM-5KM1F 60-69 years, female 393.7
GTEX-13FLW-0326-SM-5J2M4 50-59 years, male 393.0
GTEX-1PPGY-1426-SM-EVR3R 60-69 years, male 392.8
GTEX-13O21-2226-SM-5MR3L 50-59 years, male 392.4
GTEX-11EQ9-0626-SM-5A5K1 30-39 years, male 391.7
GTEX-YEC4-0626-SM-5CVLU 40-49 years, male 391.3
GTEX-ZAJG-0726-SM-5HL9A 50-59 years, female 391.0
GTEX-VJYA-0426-SM-3GIJK 60-69 years, male 390.6
GTEX-RN64-0626-SM-2TC5V 50-59 years, male 390.5
GTEX-1CAMQ-1126-SM-7EWFE 40-49 years, male 389.5
GTEX-14E7W-0926-SM-5YYA4 70-79 years, male 389.2
GTEX-WYVS-0326-SM-3NM9V 40-49 years, female 388.6
GTEX-13111-0226-SM-5EQ55 50-59 years, male 388.2
GTEX-14PJ6-0326-SM-6871H 60-69 years, female 387.5
GTEX-ZT9W-0226-SM-7SB6H 50-59 years, male 387.0
GTEX-1KD4Q-1026-SM-CXZKJ 40-49 years, male 386.8
GTEX-1F75I-0926-SM-7MXUU 40-49 years, male 386.6
GTEX-1GF9V-0926-SM-9KNW7 60-69 years, male 385.7
GTEX-T5JW-1226-SM-3GACY 20-29 years, female 385.6
GTEX-1LSVX-0726-SM-E9TJG 60-69 years, male 385.4
GTEX-1HBPN-1226-SM-B2LW9 50-59 years, male 385.0
GTEX-1LGRB-1226-SM-CNNPS 50-59 years, female 384.9
GTEX-1BAJH-0926-SM-79OO6 70-79 years, male 384.5
GTEX-1GPI7-0726-SM-9WG84 20-29 years, male 384.1
GTEX-13VXU-0826-SM-5KLZ2 50-59 years, male 383.4
GTEX-PLZ4-1226-SM-2I5FE 50-59 years, female 383.4
GTEX-1HT8W-1526-SM-CE6S3 30-39 years, male 383.4
GTEX-17JCI-0626-SM-7IGM7 60-69 years, female 383.3
GTEX-ZV7C-0126-SM-57WDE 50-59 years, male 382.8
GTEX-1HBPI-0826-SM-9WYTX 50-59 years, male 382.5
GTEX-15G19-0626-SM-6M474 60-69 years, male 382.2
GTEX-1HCVE-0726-SM-A96SH 50-59 years, male 382.1
GTEX-111FC-1026-SM-5GZX1 60-69 years, male 381.7
GTEX-1R9K5-0726-SM-EAZ4E 50-59 years, male 381.6
GTEX-XBED-0126-SM-47JY7 60-69 years, male 381.4
GTEX-1K2DA-1526-SM-CGQGQ 50-59 years, male 381.3
GTEX-1EWIQ-0826-SM-7MXTH 70-79 years, female 380.9
GTEX-14PQA-1226-SM-6M47A 50-59 years, female 380.8
GTEX-XMK1-0626-SM-4B65A 40-49 years, male 380.5
GTEX-1R9JW-0226-SM-EVR4K 30-39 years, female 380.3
GTEX-18465-1426-SM-7KFTF 50-59 years, male 380.1
GTEX-1I6K7-1126-SM-A96SW 40-49 years, male 379.9
GTEX-13O61-0226-SM-5KM52 60-69 years, male 379.7
GTEX-15SHV-0426-SM-6M476 60-69 years, male 379.7
GTEX-1AX9K-0626-SM-73KVD 50-59 years, male 379.6
GTEX-ZYFD-0826-SM-5NQ9A 50-59 years, male 379.4
GTEX-1B97I-0326-SM-7DUGB 40-49 years, male 379.1
GTEX-1C2JI-0326-SM-7EWFD 50-59 years, male 379.1
GTEX-1LH75-0626-SM-DIPG3 50-59 years, female 378.7
GTEX-1P4AB-1126-SM-DTX94 50-59 years, male 378.4
GTEX-17F96-0526-SM-79OLE 70-79 years, male 378.1
GTEX-1J8QM-0726-SM-CE6RF 60-69 years, female 377.6
GTEX-13NZA-1026-SM-5MR48 60-69 years, male 377.2
GTEX-15CHQ-0826-SM-69LOT 60-69 years, male 377.0
GTEX-13FHP-0926-SM-5L3EC 50-59 years, male 376.3
GTEX-12ZZZ-1226-SM-59HK1 60-69 years, male 375.8
GTEX-1HGF4-0726-SM-9WYU9 60-69 years, male 375.6
GTEX-17F97-0626-SM-7IGOH 50-59 years, male 375.3
GTEX-1MA7X-0926-SM-DIPEJ 60-69 years, male 375.3
GTEX-1212Z-0426-SM-5FQT6 60-69 years, male 374.5
GTEX-1HCU7-0826-SM-B2LX7 50-59 years, male 374.5
GTEX-1GN1U-0826-SM-9WPPX 50-59 years, female 373.4
GTEX-139TS-0126-SM-5K7XJ 60-69 years, male 373.1
GTEX-RM2N-0526-SM-2TF4N 50-59 years, male 373.1
GTEX-1E1VI-0726-SM-7P8QJ 50-59 years, male 373.0
GTEX-1QP66-0326-SM-DTX7V 50-59 years, male 372.4
GTEX-1B8SF-0626-SM-73KVV 60-69 years, male 372.3
GTEX-13D11-0226-SM-5LZXL 50-59 years, female 371.9
GTEX-1IY9M-1026-SM-A96TG 60-69 years, male 371.8
GTEX-1HFI7-0326-SM-9WPOX 50-59 years, female 371.6
GTEX-1MGNQ-0726-SM-DPRYH 40-49 years, male 371.6
GTEX-S7SF-0226-SM-5SI7H 20-29 years, female 370.8
GTEX-1HCU9-0226-SM-9WPNT 20-29 years, male 370.7
GTEX-18A6Q-0726-SM-7LT8Y 60-69 years, male 370.3
GTEX-1IDJH-0826-SM-CE6SY 70-79 years, male 370.3
GTEX-NFK9-0726-SM-2HMJW 40-49 years, male 369.7
GTEX-W5X1-0426-SM-3GILB 40-49 years, female 369.4
GTEX-18QFQ-0726-SM-7LG6D 30-39 years, male 369.1
GTEX-13X6J-0826-SM-5LU32 50-59 years, male 369.0
GTEX-XV7Q-0326-SM-4BRVM 40-49 years, female 369.0
GTEX-13OVG-0226-SM-5LU93 60-69 years, male 368.8
GTEX-1CB4I-0726-SM-7DUGS 50-59 years, male 368.5
GTEX-18A66-0826-SM-72D5Z 60-69 years, male 367.5
GTEX-1JJEA-0626-SM-D3L96 60-69 years, male 367.5
GTEX-145MH-0426-SM-5LU8T 50-59 years, male 367.3
GTEX-OOBJ-2626-SM-2I3F6 60-69 years, male 367.1
GTEX-Q2AG-0826-SM-2HMKF 40-49 years, female 367.1
GTEX-1H1E6-0326-SM-9OSWE 30-39 years, male 366.9
GTEX-14BMV-0726-SM-73KVE 50-59 years, male 366.8
GTEX-1CB4F-0826-SM-793CV 60-69 years, male 366.6
GTEX-11EI6-0726-SM-59866 60-69 years, male 366.0
GTEX-XGQ4-0426-SM-4AT4I 50-59 years, male 365.9
GTEX-1F6IF-1126-SM-9KNV2 60-69 years, male 365.9
GTEX-SNOS-0226-SM-32PLR 40-49 years, male 365.7
GTEX-T6MN-0626-SM-32PM9 50-59 years, male 365.2
GTEX-YB5K-0526-SM-5LUAS 40-49 years, female 365.0
GTEX-1IOXB-1026-SM-CJI4D 50-59 years, male 364.9
GTEX-12BJ1-0426-SM-5FQSO 60-69 years, male 364.6
GTEX-14DAQ-0826-SM-73KWT 60-69 years, female 364.5
GTEX-1C64N-1026-SM-79ONM 50-59 years, male 364.5
GTEX-12WSL-0626-SM-5GCOY 50-59 years, male 363.9
GTEX-ZTPG-0826-SM-5DUVC 20-29 years, female 363.9
GTEX-132NY-1026-SM-5P9IY 60-69 years, male 363.7
GTEX-13PVR-0626-SM-5S2RC 60-69 years, female 363.6
GTEX-SN8G-1526-SM-4DM79 50-59 years, female 363.4
GTEX-1RAZQ-0926-SM-EAZ4Q 30-39 years, male 363.1
GTEX-131XE-0126-SM-5LZVC 50-59 years, male 362.9
GTEX-1A8G7-1026-SM-73KVA 60-69 years, male 362.3
GTEX-13OW7-0826-SM-5L3EL 50-59 years, male 361.5
GTEX-14E6E-0326-SM-73KY6 30-39 years, male 361.5
GTEX-RU1J-0226-SM-2TF5Y 20-29 years, female 361.4
GTEX-1GF9U-0226-SM-7P8TY 40-49 years, female 361.4
GTEX-13FLV-0226-SM-5J2OF 50-59 years, male 360.7
GTEX-1I6K6-0726-SM-B2LX4 30-39 years, male 360.4
GTEX-QDVJ-0226-SM-2I5FV 50-59 years, male 360.3
GTEX-Q734-0526-SM-2I3EH 40-49 years, female 359.7
GTEX-1HCUA-0126-SM-B2LWC 50-59 years, female 359.6
GTEX-14JIY-1226-SM-6871R 60-69 years, male 359.2
GTEX-1EMGI-0826-SM-7EPHY 60-69 years, male 359.2
GTEX-17F9E-0626-SM-79ON5 50-59 years, male 358.9
GTEX-Y5V6-0526-SM-4VBRV 60-69 years, male 358.1
GTEX-117XS-0526-SM-5987Q 60-69 years, male 356.7
GTEX-15RJ7-0326-SM-6M47H 40-49 years, male 355.9
GTEX-1EN7A-1026-SM-7IGPZ 40-49 years, male 355.8
GTEX-R55C-0626-SM-2TF4Q 40-49 years, male 355.1
GTEX-ZYT6-0426-SM-5GID3 30-39 years, male 354.9
GTEX-YB5E-0626-SM-4VDSE 40-49 years, male 354.8
GTEX-1I1GR-1126-SM-A9G2I 60-69 years, male 354.8
GTEX-13N2G-0726-SM-5MR38 60-69 years, male 354.6
GTEX-WFJO-0226-SM-3GIKW 30-39 years, male 354.3
GTEX-11DXX-0226-SM-5P9HL 60-69 years, female 354.2
GTEX-1HFI6-1326-SM-A9SL8 40-49 years, male 353.1
GTEX-1HSMO-0726-SM-A96TM 60-69 years, male 353.1
GTEX-13O3Q-0626-SM-5IJG1 50-59 years, male 352.8
GTEX-1IDJC-1026-SM-A96T2 50-59 years, male 352.7
GTEX-ZLWG-0526-SM-4WWFB 50-59 years, female 352.2
GTEX-13QBU-0626-SM-5J2OG 40-49 years, female 352.1
GTEX-1RQED-0926-SM-EWRNZ 60-69 years, male 351.8
GTEX-W5WG-1426-SM-4KKZP 50-59 years, female 351.4
GTEX-1H1DF-1026-SM-9QEJ1 40-49 years, female 351.2
GTEX-1KANC-0826-SM-D3LA8 50-59 years, female 350.7
GTEX-11ZTS-1126-SM-5LU9X 60-69 years, female 350.6
GTEX-1HUB1-1226-SM-B2LWX 60-69 years, male 350.5
GTEX-1MCC2-0526-SM-DHXJS 30-39 years, female 349.6
GTEX-1JK1U-0326-SM-CXZJH 60-69 years, male 349.5
GTEX-14C5O-0826-SM-5TDEG 60-69 years, male 349.2
GTEX-13NZ9-1126-SM-5MR37 50-59 years, male 349.1
GTEX-13FTY-0726-SM-5J2OH 40-49 years, female 349.0
GTEX-14A6H-2426-SM-5Q5BO 30-39 years, male 348.9
GTEX-Y3I4-0226-SM-4TT27 50-59 years, male 348.7
GTEX-ZVT3-0726-SM-5GICN 60-69 years, female 348.6
GTEX-1HC8U-1226-SM-9WYUW 40-49 years, female 348.5
GTEX-U3ZN-0326-SM-3DB86 30-39 years, female 348.4
GTEX-1IKOE-0926-SM-ARU7X 30-39 years, female 348.4
GTEX-16Z82-0426-SM-7EPGX 60-69 years, male 348.3
GTEX-1192W-0126-SM-5EGGS 60-69 years, male 347.9
GTEX-1IKJJ-1026-SM-A96SQ 60-69 years, male 347.7
GTEX-X5EB-0726-SM-46MVR 40-49 years, male 347.5
GTEX-1KAFJ-0426-SM-DHXJH 50-59 years, male 347.1
GTEX-11ZTT-1026-SM-5EQKF 60-69 years, female 347.0
GTEX-12WSG-0226-SM-5EGIF 50-59 years, female 346.4
GTEX-145LU-0426-SM-5O9AH 50-59 years, male 346.2
GTEX-O5YV-1526-SM-EV799 60-69 years, female 346.2
GTEX-147GR-0726-SM-5S2PL 60-69 years, male 346.1
GTEX-1C6VR-0426-SM-7IGN6 60-69 years, male 346.1
GTEX-ZGAY-1026-SM-4WWBR 40-49 years, female 346.1
GTEX-V955-0426-SM-3GAEL 60-69 years, male 345.6
GTEX-YJ89-0726-SM-5P9F7 60-69 years, male 345.1
GTEX-14ASI-0726-SM-5Q5DC 60-69 years, male 344.5
GTEX-1CAMR-0226-SM-7DUGO 20-29 years, male 344.5
GTEX-16GPK-0926-SM-6LPJ9 60-69 years, male 343.6
GTEX-17HHY-0826-SM-7EPID 50-59 years, male 343.5
GTEX-15EU6-1426-SM-6M48E 50-59 years, male 343.1
GTEX-1IKOH-0626-SM-CJI35 60-69 years, female 343.1
GTEX-R55G-0726-SM-2TC6J 40-49 years, female 342.8
GTEX-131XF-1826-SM-5EGKG 60-69 years, male 342.7
GTEX-ZT9X-0226-SM-51MT2 40-49 years, male 342.4
GTEX-OHPM-2626-SM-33HC5 50-59 years, male 342.3
GTEX-P78B-0526-SM-2I5F7 40-49 years, female 342.0
GTEX-1GMRU-1126-SM-9KNV1 50-59 years, male 342.0
GTEX-1QP67-0326-SM-EVR45 40-49 years, female 342.0
GTEX-ZDXO-1726-SM-5HL6L 60-69 years, male 341.9
GTEX-111YS-0726-SM-5GZY8 60-69 years, male 341.8
GTEX-16MT8-0626-SM-6M47Q 60-69 years, female 341.6
GTEX-1RQEC-1026-SM-EVR5B 60-69 years, male 341.6
GTEX-1QEPI-0726-SM-E76QG 60-69 years, female 341.5
GTEX-RNOR-0926-SM-2TF56 50-59 years, female 341.3
GTEX-17HG3-0226-SM-7EWEA 30-39 years, female 340.3
GTEX-17HGU-0826-SM-7EWE5 50-59 years, male 339.9
GTEX-16NPX-1426-SM-6LPK3 50-59 years, male 339.8
GTEX-ZVP2-0426-SM-57WC2 50-59 years, male 339.7
GTEX-16YQH-0326-SM-6LPJV 30-39 years, male 339.6
GTEX-ZYY3-1926-SM-5GZXS 60-69 years, female 339.6
GTEX-12WSC-0826-SM-5EQ5Q 50-59 years, male 339.5
GTEX-RWS6-0626-SM-2XCAS 60-69 years, female 338.8
GTEX-1QMI2-0826-SM-EXUT4 60-69 years, male 338.8
GTEX-XUZC-0126-SM-4BOO6 30-39 years, female 338.3
GTEX-ZUA1-0926-SM-4YCDX 40-49 years, male 338.1
GTEX-1A8G6-0626-SM-7IGNB 60-69 years, male 337.8
GTEX-Z9EW-0226-SM-5CVM7 40-49 years, male 337.1
GTEX-1IL2U-0826-SM-CL53Q 60-69 years, male 337.1
GTEX-1B8L1-1626-SM-7IGMH 60-69 years, male 336.5
GTEX-16MTA-0726-SM-7KUL4 50-59 years, male 335.8
GTEX-ZDTS-0926-SM-5YY9D 60-69 years, male 335.7
GTEX-WWYW-0826-SM-3NB2X 50-59 years, female 335.6
GTEX-RTLS-0626-SM-5SI7Z 60-69 years, female 335.4
GTEX-148VI-0526-SM-5TDDG 60-69 years, female 335.3
GTEX-1QPFJ-0626-SM-DTX7Y 30-39 years, female 335.3
GTEX-T8EM-0226-SM-3DB7C 40-49 years, male 335.2
GTEX-1AX9J-2126-SM-731DD 60-69 years, male 335.0
GTEX-1CB4E-0326-SM-7MXT3 60-69 years, male 335.0
GTEX-1192X-1126-SM-5EGGU 50-59 years, male 334.7
GTEX-Y111-1926-SM-4SOIS 50-59 years, male 334.7
GTEX-13PDP-1026-SM-5L3FA 60-69 years, male 333.9
GTEX-PWCY-2326-SM-2I3EQ 20-29 years, female 333.3
GTEX-145LT-0226-SM-5S2QK 40-49 years, male 333.2
GTEX-1ICG6-0426-SM-ARU7M 70-79 years, female 333.2
GTEX-1MJK3-0326-SM-DTX96 20-29 years, male 332.6
GTEX-13VXT-0626-SM-5SIA1 20-29 years, female 332.5
GTEX-11ZVC-0126-SM-5986G 50-59 years, female 331.1
GTEX-1GZHY-1426-SM-9WG5H 50-59 years, female 331.1
GTEX-12ZZY-0826-SM-5EQMT 60-69 years, male 330.9
GTEX-1H2FU-0626-SM-9WPPS 60-69 years, female 330.6
GTEX-1PIGE-0726-SM-DPRZD 20-29 years, male 330.6
GTEX-12WSJ-0326-SM-5GCMT 40-49 years, female 330.4
GTEX-13YAN-0926-SM-5O9C3 60-69 years, male 330.2
GTEX-1HR9M-0626-SM-A96S6 60-69 years, male 330.2
GTEX-11GSP-0126-SM-5A5KU 60-69 years, female 330.1
GTEX-131YS-0726-SM-5P9G9 60-69 years, female 330.0
GTEX-1F88F-0726-SM-7P8R7 60-69 years, female 330.0
GTEX-11XUK-0226-SM-5EQLW 40-49 years, female 329.6
GTEX-13G51-1226-SM-5K7Z3 60-69 years, male 329.3
GTEX-ZF3C-0826-SM-DO11E 50-59 years, female 328.9
GTEX-ZAK1-0726-SM-5HL8Q 50-59 years, female 328.7
GTEX-1AX8Z-0826-SM-7DUFZ 60-69 years, male 328.6
GTEX-WL46-0126-SM-3TW8I 50-59 years, male 328.0
GTEX-1LVAN-0726-SM-CNNPF 50-59 years, female 328.0
GTEX-1QAET-0226-SM-EVR3T 50-59 years, male 327.2
GTEX-11OF3-0626-SM-5BC4Y 60-69 years, male 326.5
GTEX-1B932-0926-SM-73KUP 40-49 years, female 326.4
GTEX-13O3P-0726-SM-5J2OM 50-59 years, male 326.1
GTEX-1HSGN-0726-SM-A9G2F 40-49 years, female 326.1
GTEX-XXEK-1326-SM-4BRV1 50-59 years, male 325.3
GTEX-1128S-0126-SM-5H12S 60-69 years, female 325.0
GTEX-11LCK-0526-SM-5A5M9 30-39 years, male 324.7
GTEX-13OVK-0226-SM-6M472 40-49 years, male 324.6
GTEX-17KNJ-1026-SM-79ONK 50-59 years, male 324.6
GTEX-13112-0326-SM-5P9IW 50-59 years, male 324.3
GTEX-1O97I-1026-SM-E76PI 60-69 years, male 324.3
GTEX-1PPH8-0926-SM-DTX9U 20-29 years, male 324.3
GTEX-1RAZS-1026-SM-E9TID 50-59 years, male 323.9
GTEX-11NSD-0126-SM-5987F 20-29 years, male 323.6
GTEX-145MG-0826-SM-5Q5C2 50-59 years, male 322.7
GTEX-18A67-0826-SM-7KFTI 50-59 years, male 322.7
GTEX-Y3IK-0526-SM-4WWE3 50-59 years, female 322.6
GTEX-1JJ6O-0626-SM-AHZ3H 60-69 years, male 322.6
GTEX-146FQ-0726-SM-5LUA7 30-39 years, male 322.3
GTEX-16AAH-0326-SM-7DHML 50-59 years, male 322.2
GTEX-17EVQ-0526-SM-7KFSK 70-79 years, male 321.7
GTEX-1QP6S-2526-SM-DTX9Z 40-49 years, male 321.7
GTEX-13IVO-0926-SM-5KLZP 70-79 years, male 321.6
GTEX-14753-0926-SM-5Q5BI 60-69 years, male 321.4
GTEX-12ZZX-1226-SM-5EGHS 40-49 years, female 321.2
GTEX-1A8FM-0726-SM-7DUGK 50-59 years, female 321.1
GTEX-SUCS-0226-SM-32PLQ 70-79 years, male 320.4
GTEX-11DXZ-0926-SM-5N9CG 50-59 years, male 320.2
GTEX-14PHW-2926-SM-6AJBA 60-69 years, female 319.9
GTEX-R55E-0826-SM-2TC5M 20-29 years, male 319.5
GTEX-11NUK-1026-SM-5HL5J 50-59 years, male 318.6
GTEX-132AR-1126-SM-5P9GA 50-59 years, female 317.4
GTEX-1K2DU-0126-SM-E9TIU 20-29 years, male 317.1
GTEX-14ICL-0426-SM-5RQJ3 30-39 years, male 316.8
GTEX-147F4-0826-SM-5QGRB 50-59 years, male 316.6
GTEX-TMMY-0826-SM-33HB9 40-49 years, female 316.0
GTEX-ZQG8-0926-SM-57WFF 60-69 years, female 315.6
GTEX-Z93S-0526-SM-EVYB4 50-59 years, male 315.5
GTEX-1399T-0126-SM-5KM15 60-69 years, male 315.1
GTEX-OIZF-2626-SM-7P8QZ 60-69 years, male 314.6
GTEX-WY7C-0226-SM-3NB37 50-59 years, male 314.1
GTEX-1I19N-0226-SM-CE6ST 70-79 years, male 313.6
GTEX-S341-0226-SM-D4P1Y 40-49 years, female 312.4
GTEX-1MUQO-0726-SM-E9TJM 60-69 years, male 312.1
GTEX-1AYCT-0226-SM-73KVB 50-59 years, male 311.9
GTEX-1H11D-0626-SM-9WPQ1 40-49 years, male 311.8
GTEX-12WSD-0926-SM-5GCNL 60-69 years, female 311.7
GTEX-178AV-0726-SM-6LPJI 40-49 years, male 311.7
GTEX-ZTSS-0226-SM-59877 40-49 years, male 311.6
GTEX-15FZZ-0226-SM-6LLI4 30-39 years, female 310.9
GTEX-1I1GQ-0826-SM-CNNQR 50-59 years, male 310.1
GTEX-SIU8-0626-SM-2XCDN 50-59 years, male 309.9
GTEX-1GN2E-0826-SM-9WYT8 60-69 years, male 309.9
GTEX-ZY6K-0226-SM-5SIAY 50-59 years, male 309.6
GTEX-18D9U-1026-SM-72D5R 40-49 years, male 309.5
GTEX-Y8E4-0126-SM-4VBQ2 40-49 years, male 308.4
GTEX-1AMEY-0126-SM-73KTX 30-39 years, female 308.3
GTEX-1EKGG-0726-SM-7IGPX 60-69 years, male 308.3
GTEX-Y5V5-0326-SM-5RQJG 60-69 years, female 308.1
GTEX-13W46-0926-SM-5LU3T 50-59 years, male 306.5
GTEX-14BMU-0226-SM-5S2QA 20-29 years, female 306.5
GTEX-XBEW-0126-SM-4AT66 40-49 years, male 306.4
GTEX-1AX9I-0626-SM-72D54 60-69 years, male 305.8
GTEX-11DXY-0426-SM-5H12R 60-69 years, male 305.3
GTEX-VUSG-0426-SM-3GIKD 50-59 years, male 305.3
GTEX-15ETS-0526-SM-6PAN3 40-49 years, female 305.2
GTEX-ZZPU-1326-SM-5GZWS 50-59 years, female 304.5
GTEX-15RJE-1326-SM-6LPI6 40-49 years, male 303.7
GTEX-ZVZQ-0626-SM-59HJU 60-69 years, female 302.5
GTEX-13OVI-0826-SM-5KLZ8 60-69 years, female 301.6
GTEX-111VG-0526-SM-5N9BW 60-69 years, male 301.5
GTEX-1313W-0726-SM-5EGK1 50-59 years, female 301.2
GTEX-1C4CL-0726-SM-7IGP9 30-39 years, male 300.7
GTEX-XOT4-1526-SM-EAZ2W 60-69 years, female 300.3
GTEX-1HSKV-1026-SM-B2LWK 60-69 years, male 299.5
GTEX-13113-0126-SM-5LZVX 60-69 years, female 299.2
GTEX-14BIN-0126-SM-5TDCG 50-59 years, female 299.2
GTEX-ZYFG-0626-SM-5GZYA 60-69 years, female 298.8
GTEX-WRHU-0926-SM-4E3IG 50-59 years, female 298.3
GTEX-13QJC-0826-SM-5RQKC 60-69 years, female 298.2
GTEX-1J1R8-0126-SM-CJI36 40-49 years, male 297.6
GTEX-YFCO-0326-SM-4W1ZP 40-49 years, male 296.0
GTEX-XUW1-1026-SM-4BONY 50-59 years, female 294.7
GTEX-ZXG5-0926-SM-5NQ8H 60-69 years, male 294.6
GTEX-1H1CY-0726-SM-9OSXX 60-69 years, female 294.6
GTEX-13U4I-0526-SM-5LU59 40-49 years, female 293.7
GTEX-ZPU1-0426-SM-4WWCA 40-49 years, male 293.1
GTEX-S7SE-0726-SM-2XCD7 50-59 years, male 292.2
GTEX-13OW6-0726-SM-5L3FX 50-59 years, male 290.0
GTEX-146FR-0326-SM-5SI8U 60-69 years, female 289.7
GTEX-17HHE-0426-SM-79OK3 50-59 years, male 289.5
GTEX-13OW5-0626-SM-5J2N2 60-69 years, male 289.3
GTEX-OIZG-0226-SM-2TC5L 50-59 years, male 289.2
GTEX-15ER7-0726-SM-7KUMF 20-29 years, female 289.1
GTEX-1S5ZU-0726-SM-EWROH 20-29 years, female 288.6
GTEX-YEC3-0826-SM-4WWFP 50-59 years, male 288.4
GTEX-13RTK-0326-SM-5RQHS 20-29 years, male 286.7
GTEX-139YR-1226-SM-5IFEU 50-59 years, male 285.5
GTEX-TSE9-0626-SM-3DB8B 60-69 years, female 284.5
GTEX-1IL2V-0626-SM-ARU7S 70-79 years, male 284.1
GTEX-1GZ4H-0226-SM-9JGGJ 50-59 years, female 283.8
GTEX-144GL-1226-SM-5O9A4 50-59 years, male 283.7
GTEX-11P7K-0226-SM-5986Z 30-39 years, male 283.5
GTEX-1HSEH-0826-SM-B2LXE 60-69 years, male 283.4
GTEX-183FY-0626-SM-79OKR 20-29 years, male 283.1
GTEX-XYKS-0826-SM-4BRVF 60-69 years, female 281.8
GTEX-15CHR-1726-SM-7DUGW 50-59 years, male 281.3
GTEX-1J8EW-1126-SM-A96T8 60-69 years, female 280.2
GTEX-ZF28-0826-SM-4WKGJ 60-69 years, male 280.1
GTEX-12WSH-0226-SM-5GCOG 50-59 years, male 279.0
GTEX-1RMOY-0126-SM-EWRNN 50-59 years, male 279.0
GTEX-1JKYR-0826-SM-ARU8L 20-29 years, male 278.1
GTEX-15SB6-1526-SM-7KUMQ 50-59 years, female 277.5
GTEX-1LBAC-0726-SM-D3L9U 20-29 years, male 274.2
GTEX-ZVZP-1026-SM-5GICI 50-59 years, male 274.1
GTEX-15CHC-0126-SM-5YYBA 60-69 years, female 274.0
GTEX-ZLFU-0626-SM-4WWBO 40-49 years, male 271.9
GTEX-1399R-0126-SM-5IFEV 30-39 years, male 270.3
GTEX-1QCLY-0826-SM-DTX8A 30-39 years, male 270.3
GTEX-11I78-0526-SM-5986A 50-59 years, female 267.9
GTEX-17F9Y-0526-SM-7EWDC 70-79 years, female 267.3
GTEX-11P81-0126-SM-5HL5Y 30-39 years, female 266.8
GTEX-1IE54-0926-SM-A9G2Y 40-49 years, female 266.2
GTEX-V1D1-0926-SM-4JBHQ 50-59 years, male 260.2
GTEX-ZPCL-0126-SM-4WWC8 60-69 years, female 259.5
GTEX-OXRK-0626-SM-2HMJ5 50-59 years, female 256.5
GTEX-X4XX-0926-SM-46MV7 60-69 years, male 256.4
GTEX-OXRO-1226-SM-48TDL 60-69 years, female 253.7
GTEX-R53T-0526-SM-3GADL 50-59 years, female 251.5
GTEX-SE5C-0726-SM-4BRWY 40-49 years, female 250.2
GTEX-145MI-1126-SM-5O9AK 60-69 years, female 246.4
GTEX-ZLV1-0126-SM-4WWBZ 60-69 years, female 245.0
GTEX-1GF9X-0126-SM-A9G38 40-49 years, female 244.4
GTEX-ZC5H-0626-SM-5LU9K 40-49 years, female 243.3
GTEX-1477Z-0226-SM-5TDCI 60-69 years, male 241.1
GTEX-13NZ8-0226-SM-5J2OK 60-69 years, female 240.3
GTEX-11EQ8-0826-SM-5N9FG 60-69 years, male 235.7
GTEX-ZAB5-0726-SM-5P9JG 50-59 years, male 229.3
GTEX-1R9PM-0226-SM-DPRY7 20-29 years, male 221.3
GTEX-13S86-1126-SM-5RQJX 40-49 years, male 207.2
GTEX-15DDE-0626-SM-69LOK 50-59 years, female 196.0
GTEX-14AS3-0226-SM-5Q5B6 40-49 years, female 193.1
GTEX-15RIE-0426-SM-7KUMH 60-69 years, male 172.4
Show allShow less

THYROID GLAND - FANTOM5 CAGEi

RNA expression in human tissues obtained through Cap Analysis of Gene Expression (CAGE) generated by the FANTOM5 project are reported as Scaled Tags Per Million.

Max subtype Scaled Tags Per Millioni

Max subtype Scaled Tags Per Million is the value for the subtype with the largest average Scaled Tags Per Million across the subtype samples.

19.3
FANTOM5 sample id Sample description Scaled Tags Per Million
Thyroid
Scaled Tags Per Million: 19.3
FF:10028-101E1 67,68,78 years, mixed 19.3

Contact

  • NEWS ARTICLES
  • PRESS ROOM

The Project

  • INTRODUCTION
  • ORGANIZATION
  • PUBLICATIONS

The Human Protein Atlas

  • DOWNLOADABLE DATA
  • LICENCE & CITATION
  • HELP & FAQ
The Human Protein Atlas project is funded
by the Knut & Alice Wallenberg Foundation.


contact@proteinatlas.org